Horse Protozoans

0.0(0)
studied byStudied by 0 people
0.0(0)
full-widthCall Kai
learnLearn
examPractice Test
spaced repetitionSpaced Repetition
heart puzzleMatch
flashcardsFlashcards
GameKnowt Play
Card Sorting

1/25

encourage image

There's no tags or description

Looks like no tags are added yet.

Study Analytics
Name
Mastery
Learn
Test
Matching
Spaced

No study sessions yet.

26 Terms

1
New cards

Eimeria leuckarti is a

Protozoan of the GI Tract (small intestine)

2
New cards

Common name for Eimeria leuckarti

Coccidia

3
New cards

Definitive host for Eimeria leuckarti

Horse ; has it and gets over it, usually immune to getting again

4
New cards

Lifecycle for Eimeria leuckarti

Direct (small intestine)

5
New cards

Dx for Eimeria leuckarti

Oocysts in feces

6
New cards

Prepatent period and Infective stage for Eimeria leuckarti

30 days ; Sporulated oocysts

7
New cards

Tx for Eimeria leuckarti

Sulfa drugs

8
New cards

Signs in host for Eimeria leuckarti

Asymptomatic, maybe inflammation of intestinal cells

9
New cards

Babesia caballi  OR Theileria equi are

Circulatory horse protozoans

10
New cards

Common name for Babesia caballi  OR Theileria equi

Equine piroplasms (reportable to gov)

11
New cards

Definitive Host for Babesia caballi  OR Theileria equi

Horse

12
New cards

Lifecycle for Babesia caballi  OR Theileria equi

Indirect through tick (mares can pass in utero)

13
New cards

Dx in Babesia caballi  OR Theileria equi

Blood smear- basophilic pear shaped trophozoites

14
New cards

Prepatent period for Babesia caballi  OR Theileria equi

10-30 days

15
New cards

Infective stage for Babesia caballi  OR Theileria equi

Trophozoite on blood in tick

16
New cards

Tx for Babesia caballi  OR Theileria equi

Imidocarb Dipropionate

17
New cards

Signs in Host for Babesia caballi  OR Theileria equi

Fever, Depression, icteric, anorexia

18
New cards
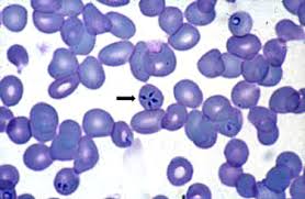
term image

Babesia caballi  OR Theileria equi

19
New cards

Sarcocystis neurona is a

Protozoan in the nervous system

20
New cards

Common name for Sarcocystis neurona

Sarcocystis

21
New cards

Definitive Host for Sarcocystis neurona

Possum

22
New cards

Horses are considered a ____ host for Sarcocystis neurona

aberrant , dont spread

23
New cards

Dx for Sarcocystis neurona

Blood test

24
New cards

Tx for Sarcocystis neurona

Ponzeril, diclazuil

25
New cards

Infective stage for Sarcocystis neurona

Sporulated oocysts

26
New cards

Signs in Host for Sarcocystis neurona

EPM- equine protozoal myelitis, ataxia, weakness, muscle loss, if caught 60-70% chance of recovery, slow or quick onset