 Call Kai
Call Kai Learn
Learn Practice Test
Practice Test Spaced Repetition
Spaced Repetition Match
Match1/17
Looks like no tags are added yet.
| Name | Mastery | Learn | Test | Matching | Spaced | 
|---|
No study sessions yet.
what is a wheel within a wheel lesion?
associated with hepatic candidiasis
appears with a peripheral hypoechoic zone, an inner echogenic wheel, and a hypoechoic center

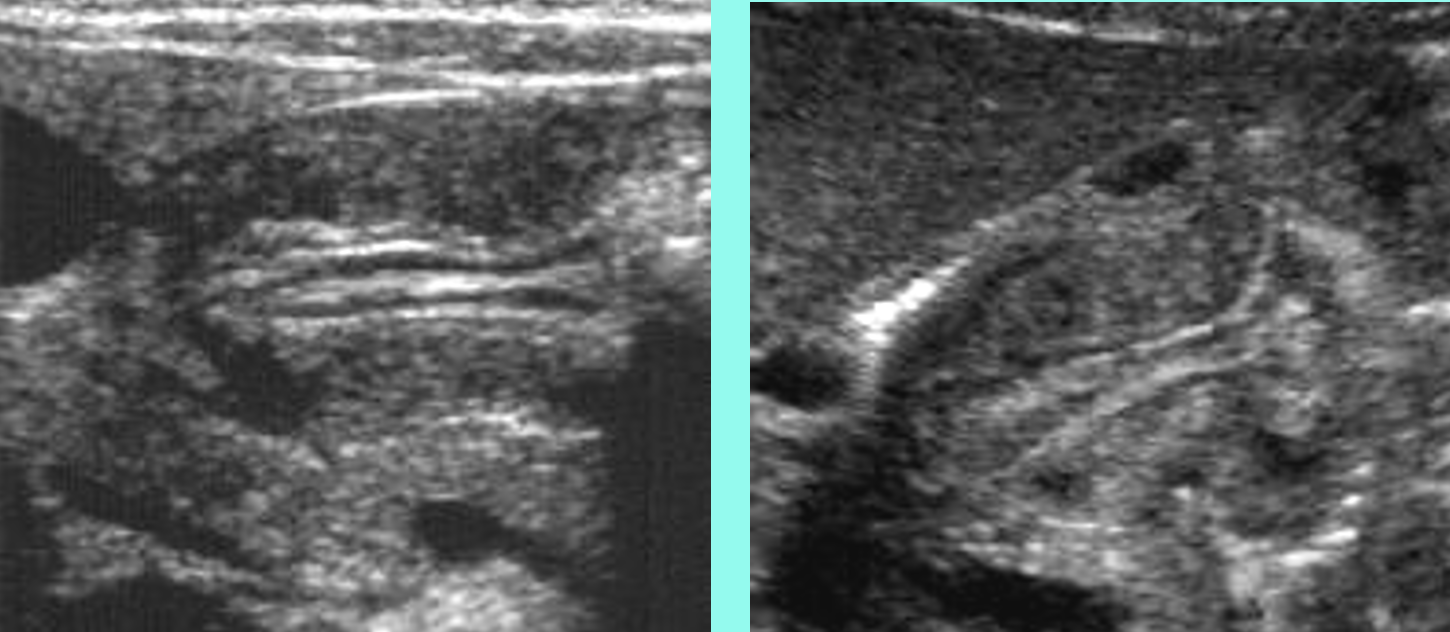
what is a bull’s eyes lesion?
AKA target sign
occurs when center of lesion contains inflammatory cells become calcified
causes it to appear echogenic in the center which a hypoechoic rim surrounding the center.

what is Courvoisier’s Sign?
failure of a dilated gallbladder to contract following a fatty meal
often indicates extrinsic compression of the common bile duct, often due to a mass in the head of the pancreas.
what is Murphy’s sign?
exquisite tenderness of the right costal margin over the area of the gallbladder. Indicates gallbladder disease
usually gallstones or cholecystitis.

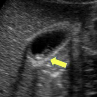
what is WES sign?
contracted GB with stone
Wall- linear anterior wall of GB
Echo- echogenic gallstone
Shadow- posterior to gall stone


what is shown?
WES sign
wall can be difficult to visualize
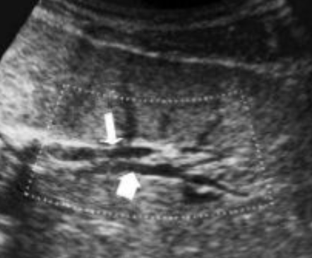
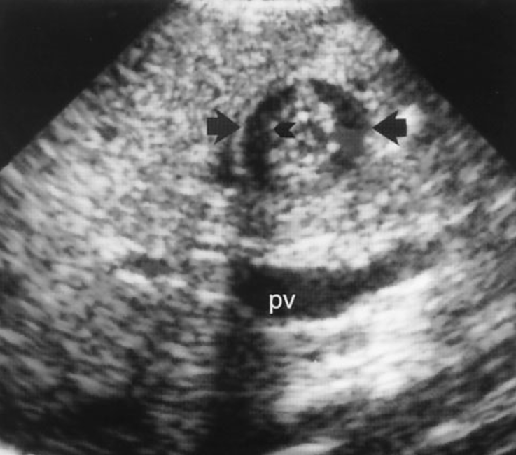
what is the Double Barrel Shotgun Sign?
dilated common bile duct
Portal Vein and Bile Duct near the same size due to dilation of the Bile Duct
See parallel tubular structures in the portal triad with two tubes about the same size.


what is shown?
double barrel shotgun sign

what is the too many tubes sign?
aka Parallel Channel Sign
see dilated branches of intrahepatic ducts
see bile ducts running next to even distal portal branches—these ducts not seen unless dilated.

what is Grey Turner’s Sign?
discoloration of the skin of flank areas due to bleeding from necrotic vessels
seen in hemorrhagic pancreatitis

gut signature?
thickest layers are the echogenic submucosa surrounded by hypoechoic muscularis propia


review gut signature

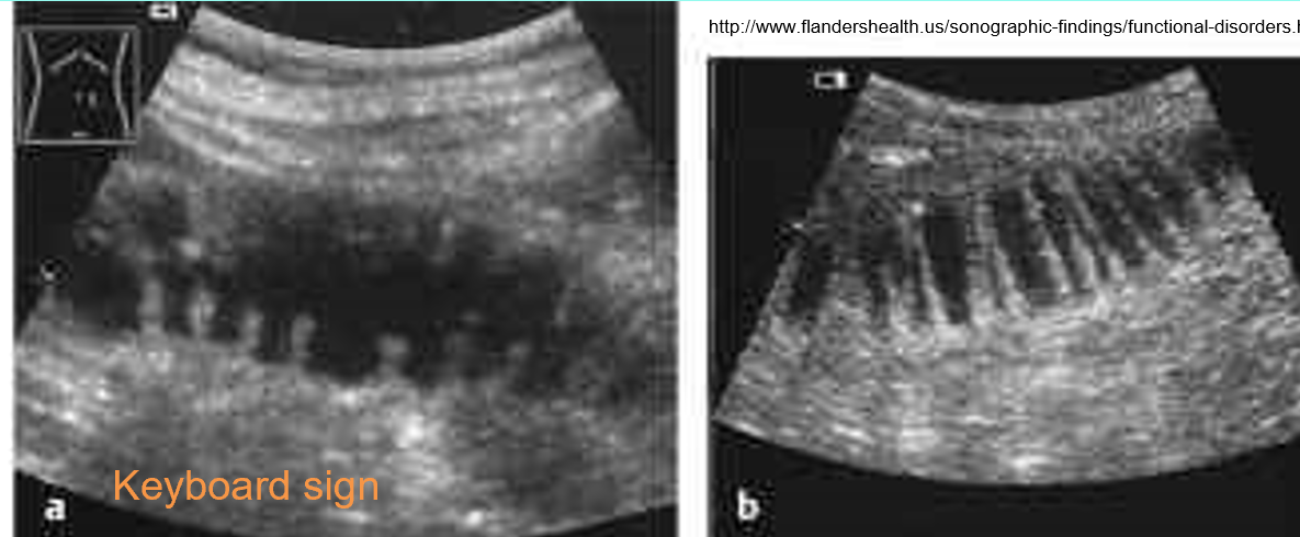
what is keyboard sign?
•valvulae conniventes seen as linear structures closely spaced along wall of duodenum & jejunum


what is shown?
cervix sign in transverse indicating hypertrophic pyloric stenosis (HPS)

what is shown?
target sign in longitudinal plane indicating hypertrophic pyloric stenosis (HPS)

what is shown?
target or donut sign associated with intussusception

what is shown?
pseudokidney sign (intussusception- long axis)

what is shown?
sandwich sign (intussusception- long axis)