1/36
Looks like no tags are added yet.
Name | Mastery | Learn | Test | Matching | Spaced |
|---|
No study sessions yet.

What is A?
Dendrites


What is B?
Terminal Boutons


What is A?
Cell Body


What is B?
Axon Hillock


What is C?
Neurilemma


What is D?
Endoneurium


What is E?
Myelin Sheath


What is F?
Axon


Label This Part
Axon Hillock


Label This Part
Axon


Name the ENTIRE Structure
Nerve

Label This Part
Epineurium


Label This Part
Fascicle


Label This Part
Fascicle

Label This Part
Epineurium


Label This Part
Perineurium

Label This Part
Axons

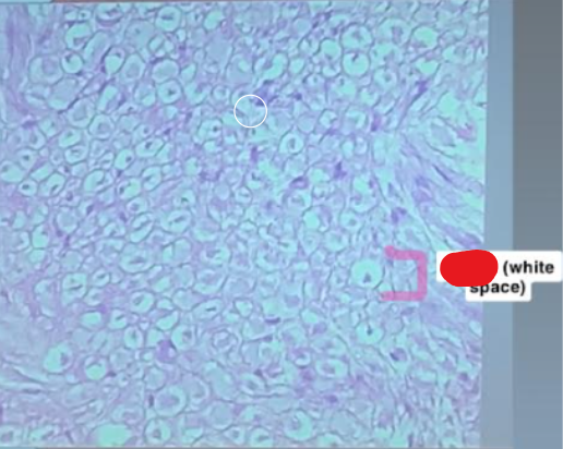
Label The White Space
Myelin

Label the LAYER around the axon
Endoneurium


What is A?
Choroid Plexus of Third Ventricle


What is B?
Intermediate Mass/Adhesion


What is C?
Thalamus


What is D?
Hypothalamus


What is E?
Mammillary Body


What is A?
Posterior (dorsal) Gray Horn


What is B?
Gray Commisure


What is C?
Lateral Gray Horn


What is D?
Anterior (ventral) Gray Horn


Label This Part
Central Canal

What is A?
Lateral White Column


What is B?
Posterior White Column


What is C?
Anterior White Column


What is A?
Dorsal Root


What is B?
Dorsal Root Ganglion


What is C?
Dorsal Ramus


What is D?
Ventral Ramus


What is E?
Ventral Root
