DH105 Dental Anatomy Midterm Practical

0.0(0)
studied byStudied by 0 people
0.0(0)
full-widthCall with Kai
GameKnowt Play
New
learnLearn
examPractice Test
spaced repetitionSpaced Repetition
heart puzzleMatch
flashcardsFlashcards
Card Sorting

1/49

encourage image

There's no tags or description

Looks like no tags are added yet.

Study Analytics
Name
Mastery
Learn
Test
Matching
Spaced

No study sessions yet.

50 Terms

1
New cards

#6

Using the Universal Numbering System, what tooth number is this?

<p>Using the Universal Numbering System, what tooth number is this?</p>
2
New cards

#9

Using the Universal Numbering System, what tooth number is this?

<p>Using the Universal Numbering System, what tooth number is this?</p>
3
New cards

Maxillary left canine - #11

Using the Universal Numbering System, what tooth number is this?

<p>Using the Universal Numbering System, what tooth number is this?</p>
4
New cards

Tooth #28

knowt flashcard image
5
New cards

Tooth #22

knowt flashcard image
6
New cards

incisocervical

What direction is this?

<p>What direction is this?</p>
7
New cards

Cervical

What part of the tooth crown is this?

<p>What part of the tooth crown is this?</p>
8
New cards

enamel

What tissue of the anatomic crown is this?

<p>What tissue of the anatomic crown is this?</p>
9
New cards

pulp

Which tooth tissue contains

<p>Which tooth tissue contains</p>
10
New cards

cementum

Which tooth tissue covers the outer surface of the anatomic root?

<p>Which tooth tissue covers the outer surface of the anatomic root?</p>
11
New cards

dentin

Tissue that makes up the bulk of the tooth.

<p>Tissue that makes up the bulk of the tooth.</p>
12
New cards

Tooth #10

Using the Universal Numbering System, what tooth number is this?

<p>Using the Universal Numbering System, what tooth number is this?</p>
13
New cards

mesiodistal

Which direction is this?

<p>Which direction is this?</p>
14
New cards

mandibular left lateral incisor (#23)

What tooth is this?

<p>What tooth is this?</p>
15
New cards

Tooth #11

Using the Universal Numbering System, what tooth number is this?

<p>Using the Universal Numbering System, what tooth number is this?</p>
16
New cards

Tooth #22

Using the Universal Numbering System, what tooth number is this? (This is the lingual view)

<p>Using the Universal Numbering System, what tooth number is this? (This is the lingual view)</p>
17
New cards

Tooth #4

knowt flashcard image
18
New cards

Tooth #29

knowt flashcard image
19
New cards

Tooth #28

knowt flashcard image
20
New cards

mandibular second premolar

Which tooth is most likely to exhibit this occlusal pattern?

21
New cards

Buccal cusp

knowt flashcard image
22
New cards

Distolingual cusp

knowt flashcard image
23
New cards

Mesiolingual cusp

knowt flashcard image
24
New cards

mesiolingual

knowt flashcard image
25
New cards

mesiobuccal

knowt flashcard image
26
New cards

Buccal groove

knowt flashcard image
27
New cards

Oblique ridge

knowt flashcard image
28
New cards

Mesiobuccal triangular ridge

knowt flashcard image
29
New cards

Central groove

knowt flashcard image
30
New cards

Cusp of Carabelli

knowt flashcard image
31
New cards

edge to edge

What is this called for the anterior teeth?

<p>What is this called for the anterior teeth?</p>
32
New cards

mesiobuccal triangular ridge groove

knowt flashcard image
33
New cards

central pit

knowt flashcard image
34
New cards

Distal cusp

knowt flashcard image
35
New cards

distal groove

knowt flashcard image
36
New cards

view 1 is the buccal view and view 2 is the lingual view

knowt flashcard image
37
New cards

view 1 is the mesial view and view 2 is the distal view

knowt flashcard image
38
New cards

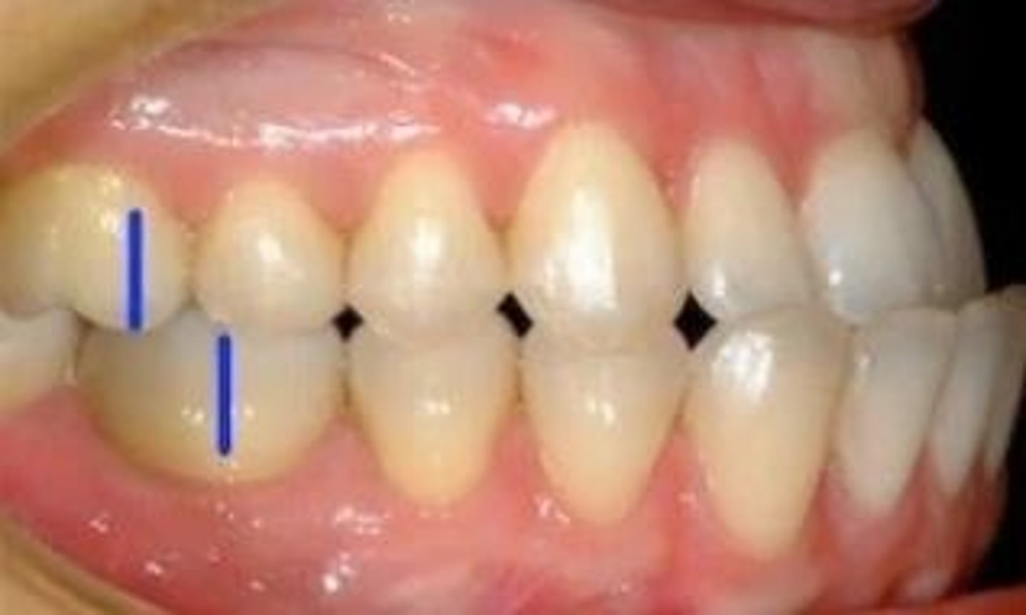
marginal ridges

What area is marked by the black lines?

<p>What area is marked by the black lines?</p>
39
New cards

cingulum

What area is marked by the green circle?

<p>What area is marked by the green circle?</p>
40
New cards

marginal ridges

What areas are marked by the purple and blue lines?

<p>What areas are marked by the purple and blue lines?</p>
41
New cards

embrasure spaces

What are the areas marked by the red lines?

<p>What are the areas marked by the red lines?</p>
42
New cards

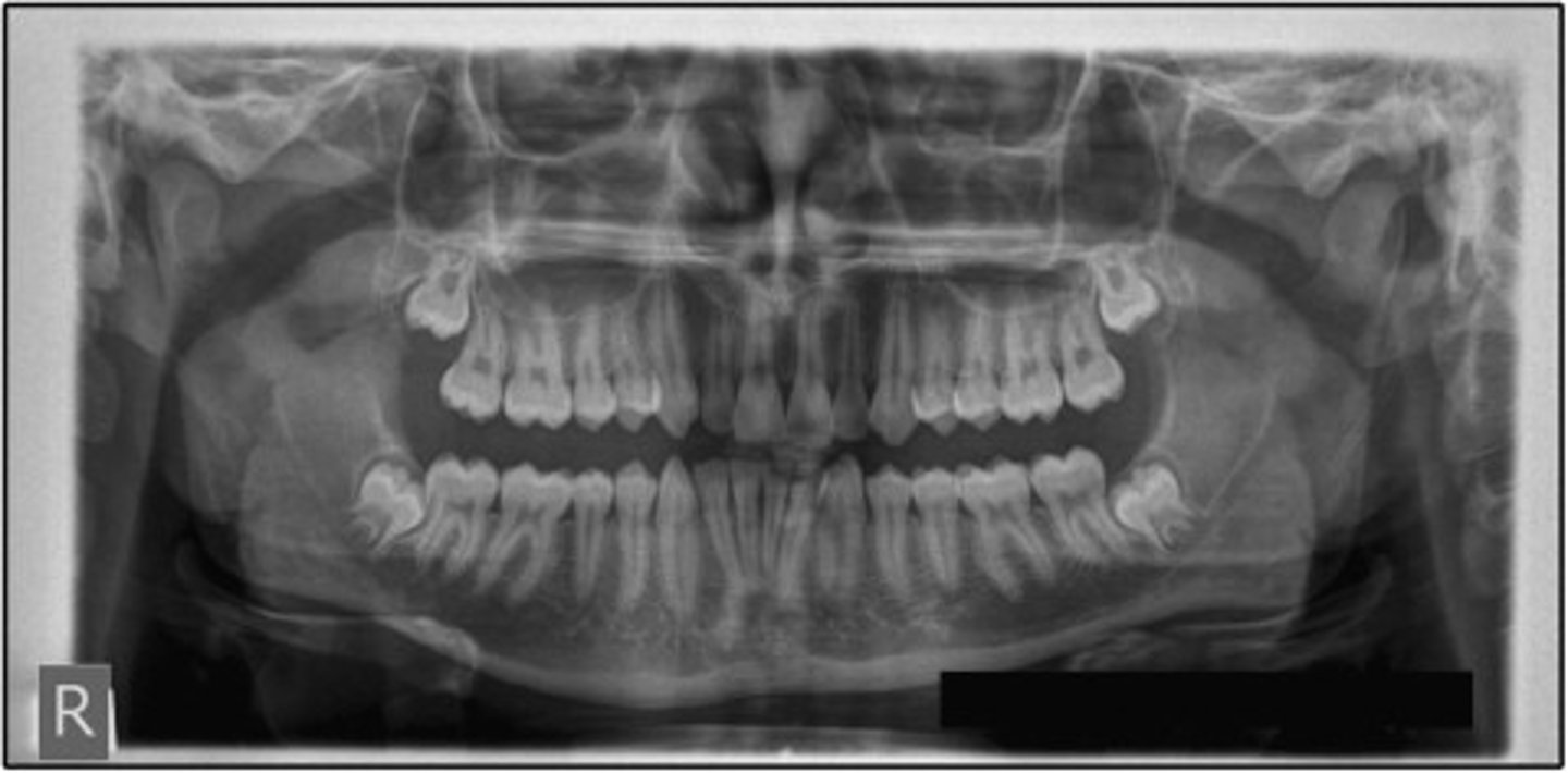
8 years old

How old do you think this child is?

<p>How old do you think this child is?</p>
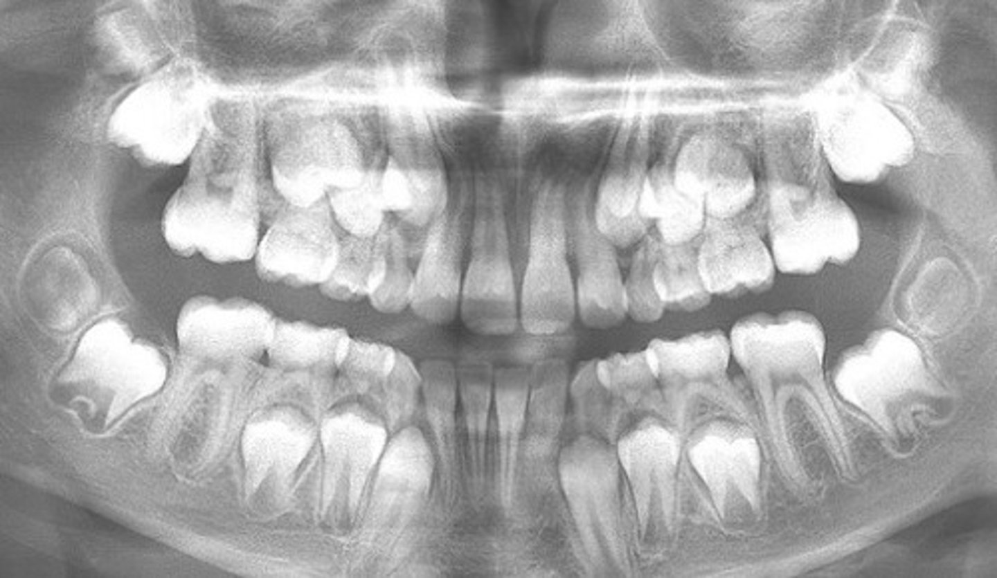
43
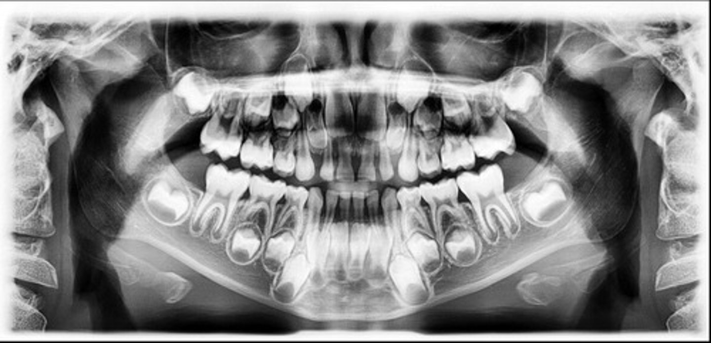
New cards

6 years old

How old is this child?

<p>How old is this child?</p>
44
New cards

14 years old

How old is this child?

<p>How old is this child?</p>
45
New cards

Class I occlusion

When the mesiobuccal cusp of the maxillary first molar occludes with the mesiobuccal groove of the mandibular first molar it is called Angle Class ___ occlusion.

<p>When the mesiobuccal cusp of the maxillary first molar occludes with the mesiobuccal groove of the mandibular first molar it is called Angle Class ___ occlusion.</p>
46
New cards

Class III occlusion

When the mesiobuccal cusp of the maxillary first molar occludes posterior to the mesiobuccal groove of the mandibular first molar it is called Angle Class ___ occlusion. (bulldog look)

<p>When the mesiobuccal cusp of the maxillary first molar occludes posterior to the mesiobuccal groove of the mandibular first molar it is called Angle Class ___ occlusion. (bulldog look)</p>
47
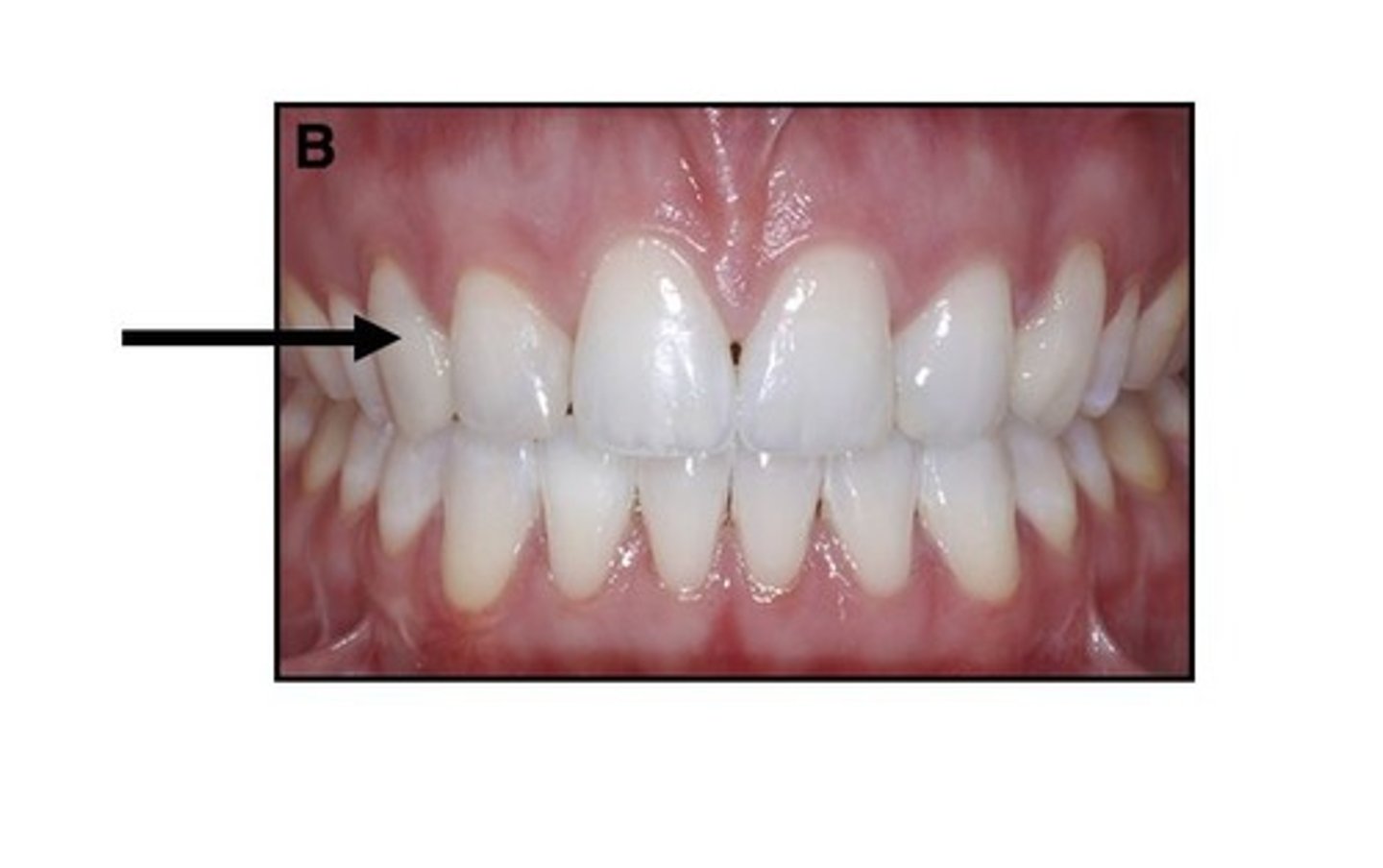
New cards

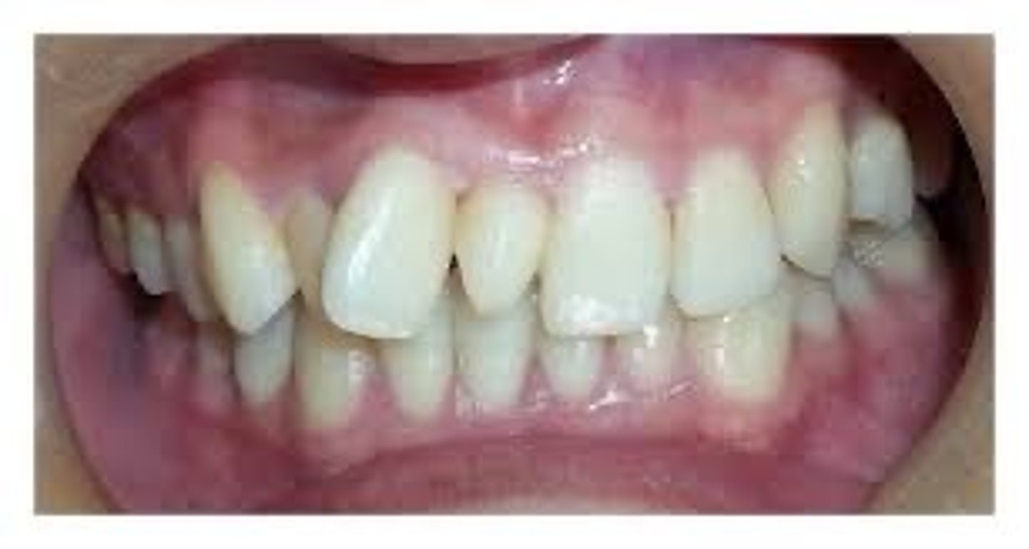
Supernumerary tooth

What dental anomaly is this (extra tooth in maxillary anterior region)?

<p>What dental anomaly is this (extra tooth in maxillary anterior region)?</p>
48
New cards

attrition

This anomaly is caused by tooth to tooth wear as in grinding.

<p>This anomaly is caused by tooth to tooth wear as in grinding.</p>
49
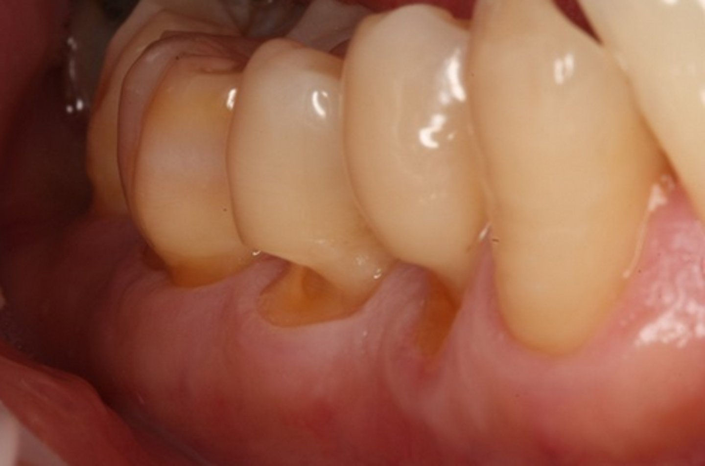
New cards

abfraction

Condition that results in "V" shaped notches in the cervical third of the tooth often caused by occlusal forces.

<p>Condition that results in "V" shaped notches in the cervical third of the tooth often caused by occlusal forces.</p>
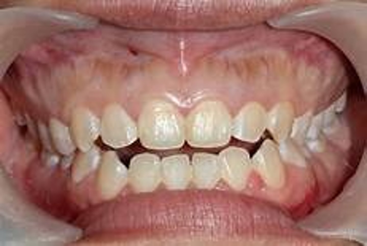
50
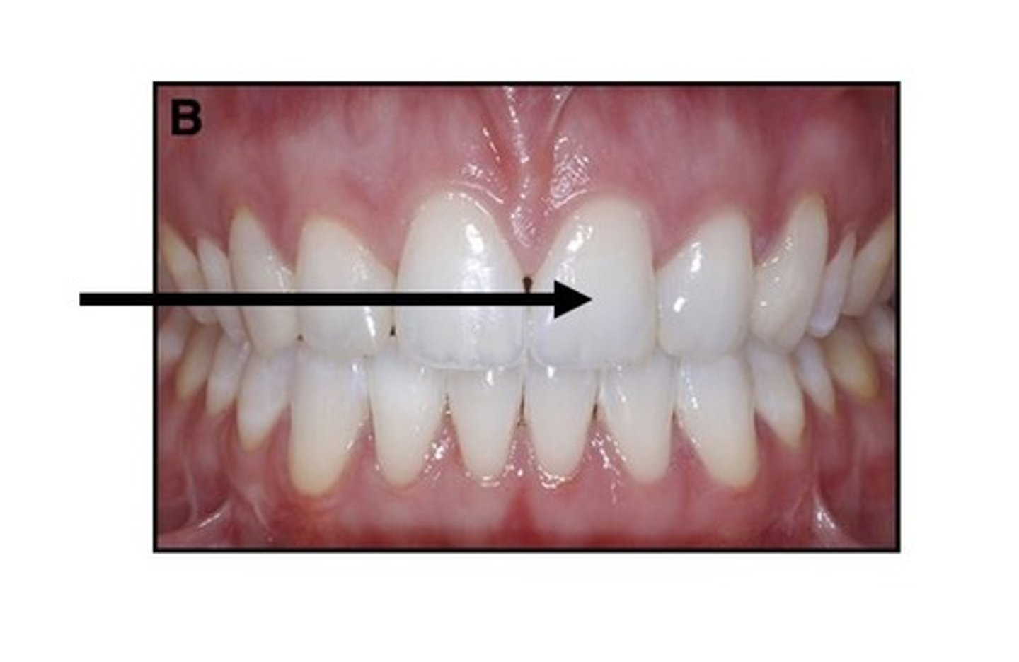
New cards

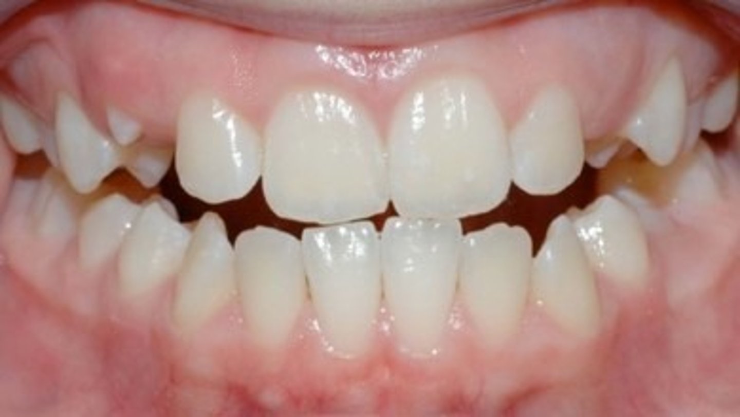
anterior open bite

This condition is called:

<p>This condition is called:</p>