1/94
Looks like no tags are added yet.
Name | Mastery | Learn | Test | Matching | Spaced | Call with Kai |
|---|
No study sessions yet.
What are the nine parts of the abdomen?

What diseases can be found in each of the nine parts?

What are the indications for an abdominal XR?
-eval of bowel gas
-evaluation of pneumoperitonoeum
-assessment of radiopaque foreign bodies
-assessment of lines/tubes
-assess stool burden
What can we see in a Supine abdomen view XR?
-gas pattern
-calcification
-massess
What can we see in upright abdomen view XR?
-free air
-air-fluid levels (small bowel obstructions)
When do we use a CXR?
-pneumoperitoneum
-interthoracic conditions that can lead to referred abdomen pain
What views are included in acute abdominal series (AKA abdominal 3 view)?
-supine
-upright
-CXR
When do we use a left lateral decubitus view?
-pts who can't stand
-pneumoperitoneum
How can we use a left lateral decubitus view to identify pneumoperitoneum?
-free air will go to the highest part of the abdominal cavity (the pts right side)
-we will see the free air over the outside of the liver
What are limitations of an abdominal XR?
-hard to differentiate between structures of similar densities
-only 5 basic densities
-poor for disease diagnosis

What is a scout film?
-prelim image before imaging procedure to help position pt and locate areas of interest
How can we differentiate between small and large bowel?

How do valvulae appear on XR?
-stack of coins
-closely stacked and extend across the lumen of the small bowel

What do haustra look like on an XR?
-wide spread and do not traverse the whole diameter

Where does almost all gas in the bowel comes from?
-swallowed air
What is distention?
-normal
-loops of bowel that have sufficient amount of air to fill the lumen
What is dilation?
-abnormal
-loops of bowel filled beyond their normal size
What is a barium enema study?
-air and barium are both used as contrast agents
-allows for excellent visualization of the mucosal surface of the colon
What does stool look like on XR?
-multiple, small bubbles of gas within a semisolid appearing soft tissue
What does constipation look like on XR?
-soft tissue like opacitites with interla mottled air in the large bowel
What does hepatomegaly look like on XR?
-displacement of all bowel loops from RUQ down to the iliac crest and across the midline
What does splenomegaly look like on XR?
-projects below 12th rib
-displaces the stomach bubble toward or across the midline
What is a kidney intravenous pyelogram?
-pt given IV contrast
-we can see kidneys, ureters, and bladder
What are the 4 patterns of calcifications?
-rimlike
-linear
-lamellar
-cloudlike
What does nephrocalcinosis look like on XR?
-cloudlike calcifications within the kidney
What does a calcified gallbladder wall look like on XR?
-rim seen around the gallbladder
What are injection granulomas?
-multiple calcified lesions overlying and next to the ileum
-MC cause of calcifications in gluteal region
-IM injection--> fat necrosis and dystrophic calcifications-->visible granulomas
When do we use IV contrast?
-cancer
-trauma
-acute abdomen
-aortic aneurysm/dissection
When do we use PO contrast?
-non traumatic abdominal pain
-IBD
-abscess
-bowel perforation
-hernia
-bowel obstruction
When do we not use contrast?
-when we suspect a renal or ureteral stone
What is an abdominal aortic aneurysm (AAA)?
-enlargment of abdominal aorta
-Risk factors: HTN, atherosclerosis
-usually asymptomatic, but can cause pain
-large ones can rupture lead to hypotension and death
-get US to follow size, but if concerned about rupture GET CT
What is the risk of an AAA rupturing?

What is a calcified aortic aneurysm?
-common in those with DM
-aorta has rim like calcifications
-aneurysm is when normal diameter exceeds 50% of normal size
What is the difference between hyperecoic and hypecoic livers?
-hyperecoic: too bright=fatty liver
-hypecoic: starry sky=hepatitis
What does a normal pancreas look like?
-6 inches long and across the back of the abdomen, behind the stomach
-head is on the right and connected to doudenum
-tail is on the left side
What is the function of the pancreas?
-make digestive enzymes our body uses to break down and process food
-makes insulin
What do the kidneys look like on imaging?
-renal pelvis in the central portion
-right renal artery is posterior to IVC
-left renal vein in anterior to left renal artery
What does a normal bowel look like on imaging?
-less than 2.5cm
-wall is so thin it is almost invisible
-terminal ileum has fat containing "lips" of the ileocecal value which is outlines with contrast
What does a normal bladder look like on imaging?
-has unopacified urine
-bladder wall is thin and equal thickness around the circumference of the bladder
-rectum is posterior
What is Zenkers diverticulum?
-pouch that forms in the throat where the esophagus and throat meet
-caused by over tightening of cricopharyngeus muscle
-MC in older adults
What is cricopharyngeal achalasia?
-upper esophageal sphincter does not open adequately during swallowing leading to dysphagia
-Use barium swallow to evaluate
What is Barrett's esophagus?
-stratified squamous epithelium is replaced by simple columnar epithelium
-most people have GERD
-has risk in esophageal cancer
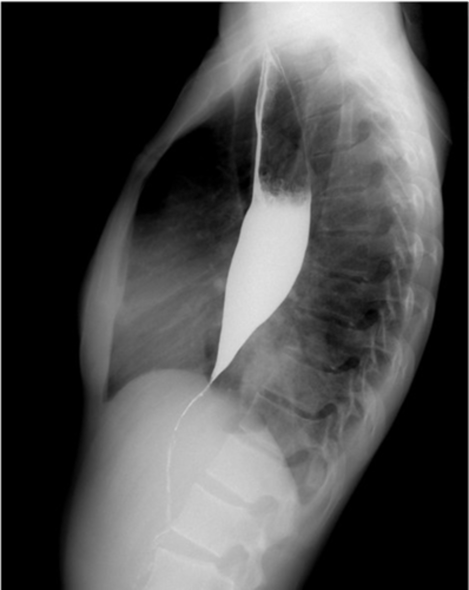
What is Achalasia?
-disease of lower esophageal body and sphincter
-sphincter fails to relax and open to let food pass
-caused by loss of inhibitory neurons in esophagus
-Sx: difficulty swallowing, chest pain, regurgitation
-complications: lung problems, loss of weight
-Dx: XR, endoscopy, esophageal manometry
What does achalsia look like on XR?
-birds beak

What is a sliding esophageal hernia?
-top part of the stomach pushes through the top part of the diaphragm
-GERD, heartburn, belching, nausea, chest pain
What is a paraesopahgeal hernia?
-stomach pushed up into the chest beside the esophagus
-incarceration: hernia stuck and squeezed
-strangulation: lack of blood supply
What are risk factors for hernia?
-pregnancy
-obesity
-family history
-increased age
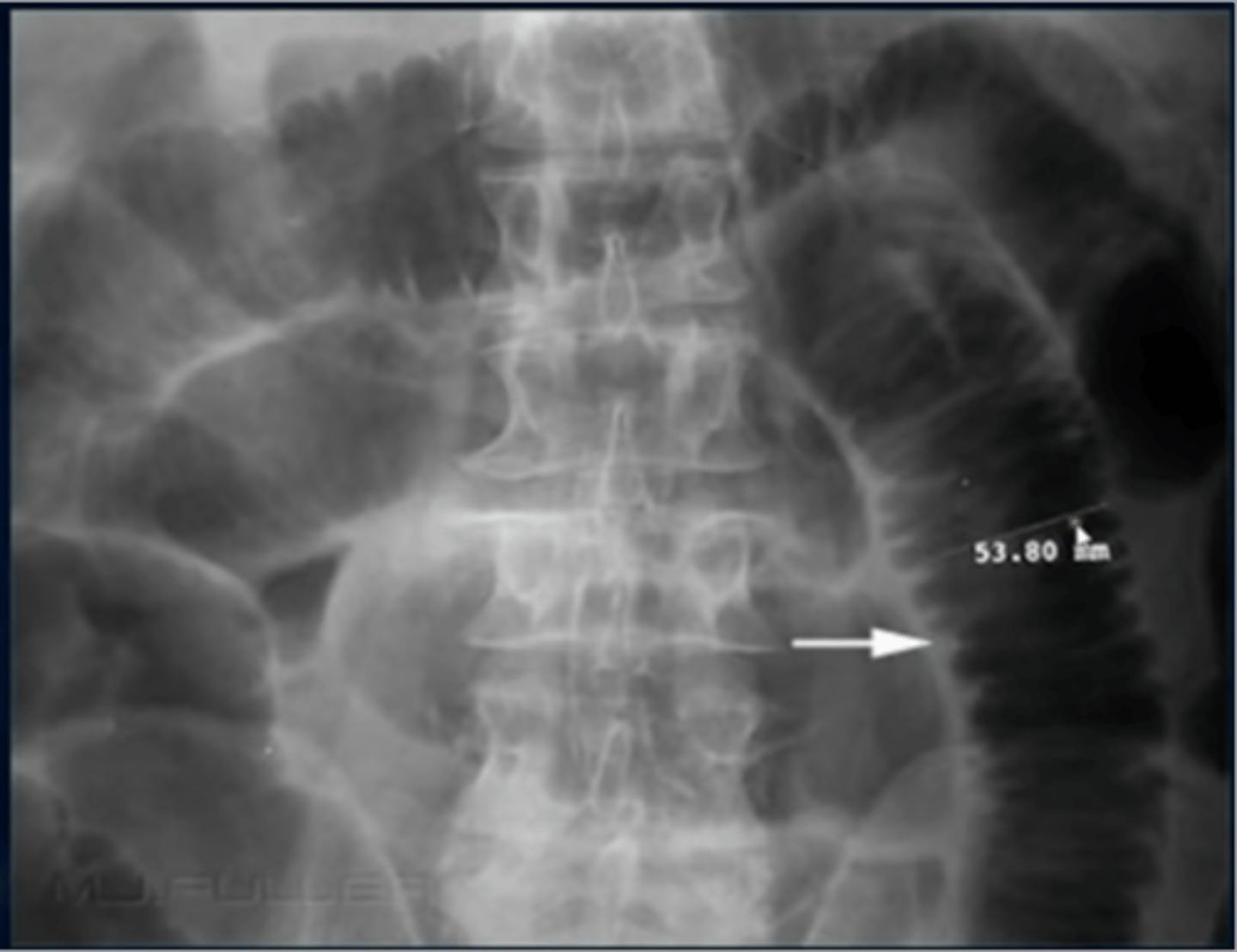
What is a schatzki ring?
-thin, weblike filling defect just above the hernia
What is a small bowel obstruction?
-physical blockage in small intestine (adhesion, tumor, hernia)
-mostly due to adhesion
-Tx: NG tube
-Complications: sepsis, bowel ischemia, death
What is an ileum?
-functional, non mechanical obstruction where bowel muscle fails to contract properly
-due to nerve damage or med SE
-TX: NG tube
What is a localized ileus?
-from focal inflammation from adjacent organs
What is an adynamic ileus?
-post operative state
-electrolyte imbalance
-gas filled bowel distention, many bowel loops dilated
What are Localized ileus (sentinel loops) from pancreatitis?
-single, persistently dilated loop of small bowel in LUQ
What are the XR findings of an adynamic ileus?
-air filled loops of large + small bowels
-large and small bowel equally distented
-equal air fluid levels
-bowel can be distented
What are examples of mechanical small bowel obstruction?
-postsurgical adhesions
-tumor
-hernia
-gallstones
-intussusception
-IBD
What are examples of mechanical large bowel obstructions?
-tumor
-hernia
-volvulus
-diverticulitis
-intussusception
What are adhesions?
-band of scar tissue that cause internal organs and tissues to stick together
-MC in abdomen
-Cause by surgery, infection, and inflammatory conditions
What does SBO look like on an XR?
-step ladder appearance
What is a volvulus?
-when the ceum or sigmoid twists upon itself
-Coffee bean appearance
-considered a LBO
-massively dilated colon and haustra are absent
What is a sigmoid volvulus?
-when last part of large bowel twists on itself
-chronic constipation
What is pseudo-obstruction (Ogilvie syndrome)?
-in older hospitalized pt
-ascosiated with anticholinergic drugs
-loss of peristalsis
-TX: meds or bowel decompression
What are the 4 most common locations?
-intraperitoneal (free air): MC
-retroperitoneal air
-air in bowel wall (pneumatosis)
-air in biliary system (pneumobilia)
Etiologies of free air (pneumperitoneum)
-peptic ulcer disease
-bowel ischemia
-appendicitis
-colitis
-diverticulitis
-penetrating abdominal trauma
-foreign body ingestion
-endoscopic complications
-post surgery
What is pneumatosis intestinal?
-cluster of air containing cysts in the left colon
What is a rigler sign?
-double wall sign
-sign of pneumoperitoneum
-gas is outling both sides of the bowel wall
What is pneumobilia?
-air is present in biliarty system
-caused by abnormal connection between biliary tract and intestines
What is Crohns disease?
-skip lesions
-MC in terminal ileum
-affects all bowel wall layers (transmural inflammation)
What is ulcerative colitis?
-begins in rectum and spreads to colon
-long last inflammation and ulcers in digestive tract
-intermost lining only affected
-can lead to colon cancer
What is diverticulosis?
-outpouchings in the weakened colon walls
-MC in sigmoid colon
What is diverticulitis?
-one or more inflammed diverticula
-Sx: LLQ and fever
-complications: bowel obstruction, fistual, abscesses
-TX: Bowel rest, Abx, drainage, surgery
What are polyps?
-persistent filling defects in the colon
-barium is displaced by polyp
What is a virual colonoscopy?
-uses CT to contruct virual images of the colon
-Advantages: noninvasive, no sedation, can find polyps, can see outsisde of bowel
-Disadvantage: radiation, no biopsy available, have to inject air into colon, hard to see small or flat polyps
What is intussusception?
-part of the intestine folds into itself, blocking food and blood flow
What are risk factors for colorectal cancers?
-family history
-colon polyps
-long standing ulcerative colitis
what is the difference between left and right sided cancers?
-right: grow large before causing symptoms, cause iron deficiency=fatigue, weakness, SOB
-left: narrower part of colon so more likely to cause obstruction
Signs and symptoms of colon cancer include
-change in bowel habits
-bleeding/blood in stool
-persistant abdominal pain
-feeling that your bowel doesn't completely empty
-weakness, fatigue
-weight loss
What does colonic carcinoma look like on imaging?
-apple core lesion
What is colitis?
inflammation of the colon
-infectious
-ischemic
-IBD
What are the signs and symptoms of pseudomembranous colitis?
-diarrhea
-abdomainal cramps, pain, tenderness
-fever
-pus/mucus in stool
-nausa
-dehydration
What is appendicitis?
-inflammation caused by blockage of the appendix secondary to calcified stool or tumor of the cecum/appendix
-mid abdominal pain that migrates to RLQ (mcburneys point)
CT findings of appendicitis
->6mm
-enhancement and thickening of the wall
-infiltration of the fat
-appendicolith
-ascites
what is Pancreatitis?
-occurs when digestive enzymes produced in your pancreas become activated while inside the pancreas
-Sx: Upper abdominal pain, pain that radiates to your back, pain that is worse after eating, N/V, tenderness
-elevated amylase and lipase
What are the signs and symptoms of pancreatic cancer?
-normally occur in advanced disease
-upper abdominal pain, jaundice, loss of appetite, weight loss
-CT and MRI best
What is fatty liver?
-reversible
-caused by alcholism and obesity
-asymptomatic, can cause pain and enlarged liver
-MC cause of elevated LFT
What is cirrhosis?
-when healthy liver tissue is replaced with scar tissue
-MC Cause: hepatitis B and C, fatty liver, alcohol abuse
-complications: High bloop pressure in veins supplying liver, swelling in legs/abdomen, ascites, splenomegaly, bleeding from varices hepatic encephalopathy, jaundice, hepatocellular carcinoma
What is metastatic disease?
-MC malignant tumor of liver
-MC tumors that spread to liver: breast, colorectal, esophageal, lung, melanoma, pancreatic, stomach
-CT with IV contrast
What is hepatocellular carcinoma?
-primary malignancy of the liver (most pts have undering chronic liver disease and cirrhosis)
-Elevated AFT
-TX: chemo, radio frequency, surgery, chemo ablation
What are cysts?
-abnormal sacs filled with fluid in the liver
-can be present at birth, grow slowly
-most asymptomatic, large can cause bloating or RUQ pain
-most do not need Tx, large and painfully can be drained or removed
-associated with polycystic kidney disease
Cysts on imaging
-XR: well circumscribed, lobulated; black, good through transmission, no vascularity
-CT: round and well circumscribed, dark, do not enhance, no internal architecture
-MRI: T2 bright, well circumscribed, lobulated, T1 hypotense
What is hemangioma?
-noncancerous mass on liver
-no signs or symptoms normally
What is the best study for evaluating the gallbladder, except when its the distal common bile duct?
-US (pt should be fasting 608hrs)
What study is used to evaluate the distal common bile duct?
-MRCP
What is a gallstone/cholecystitis?
-made from cholesterol and bile substances
-4 F's (female, fat, forty, fertile)
-No symtpoms unless blocking cystic or common bile duct
-RUQ pain
What is a HIDA gallbladder scan?
-uses radioactive substances to take pics of the gallbladder, liver, and bile ducts
-shows blockages and infections
-Inject T99 choletect a radiotracer into the biliary tree (fills within 2 hrs)
-inject CCK and measure gall bladder contraction
-can look for bile leaks after surgery
What are risks for gallbladder cancer?
-MC in women, increases with age, obesity, prior gallstone, porcelain gallbladder, choledochal cysts, and chronic gallbladder infection