1/54
Looks like no tags are added yet.
Name | Mastery | Learn | Test | Matching | Spaced | Call with Kai |
|---|
No analytics yet
Send a link to your students to track their progress
Characterized by a spherical nucleus and a lack of granules

Which leukocytes are active phagocytes?
Neutrophil and monocyte
The ABO blood group is based on which antigen(s)?
A and B
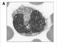
This leukocyte is recognizable due to its large U-shaped nucleus

The function of red blood cells is to:
Transportation of oxygen and CO2, Gas
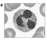
The most common type of leukocyte

What blood type is considered the universal donor?
Innate Immunity
Neutrophils are most effective at:
Killing bacteria
Erythropoiesis operates on a positive feedback loop maintained by erythropoietin.
False
Vaccinations elicit a primary immune response so that secondary immune responses are rapid and symptoms are mild.
True
The lymph ducts in the thoracic cavity drain into the:
Left Subclavian Vein and left internal jugular vein
Fluid found in lymphatic vessels is known as:
Lymph
Explain how mucosa-associated lymphatic tissues (MALT) complement the function of the lymph nodes in the lymphatic system.
Need to write
The hematocrit is the percentage of blood composed of:
Red Blood Cell
The right lymphatic duct receives lymph from the:
Right Arm
Which of the following is a non-phagocytic cell?
Basophil
What best describes lymphatic capillaries?
Extremely permeable
What vitamin is necessary for the proper production of functional clotting factors in the liver?
Vitamin K
If the thymus shrank and stopped making hormones in a child, we would expect to see a decrease in the number of:
T cell
Which of the following is NOT a cardinal sign of inflammation?
Cold
Which type of leukocyte may produce antibodies?
B cell
Where are pathogens filtered from lymph?
Lymph Nodes
Nora was exposed to radiation that caused her red bone marrow to make fewer red blood cells. This condition is known as:
Aplastic Anemia
During a transfusion, if incompatible antigens are introduced, antibodies can bind to foreign antigens, causing them to clump together, or:
Agglutination
Immunological memory can be formed by exposure to an antigen which is remembered by specific leukocytes and circulating antibodies.
True
Since erythrocytes lack the cellular machinery to make repairs, they only live:
100-120 days
What cells are responsible for cell-mediated immunological memory in which the immune response is expedited upon subsequent exposure to an antigen?
T cell
IgM is the first antibody secreted by plasma cells when the body is invaded by a pathogen.
True
Which of the following is considered a normal blood pH?
7.4
Medications known as anticoagulants interfere with:
Coagulation cascade
Which lymphoid organ is required for the selection of a functional population of T lymphocytes (T cells) for the immune system?
Thymus gland
What forms the majority of blood?
Plasma
Responds to infection with parasitic worms

What is the oxygen-binding protein found in erythrocytes?
Hemoglobin
What vessels pick up excess extracellular fluid in the interstitial space and return it to circulation?
Lymphatic Vessel
The process of red blood cell production is known as:
Erythropoiesis
Which blood type carries anti-A antibodies in the plasma?
B
Mary's mosquito bite is red, warm, and swollen, indicating she is experiencing the effects of:
Inflammatory response
What is the most common type of leukocyte in a healthy adult?
Neutrophil
Sheena's B lymphocytes (B cells) produced antibodies to protect her about 3-5 days after she was exposed to a virus. What type of immunity do antibodies provide?
adaptive immunity
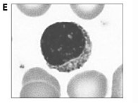
The least common type of leukocyte

During a tapeworm infection, you would expect to see increased numbers of:
Eosinophil
Where do T lymphocytes mature?
Thymus
How much blood does the average adult have?
5L
The most common cause of abnormal hemoglobin is an inherited condition known as sickle-cell anemia.
Sickle Cell anemia
The most abundant component of plasma is:
Water
All red blood cells in an adult originate in the:
Red bone Marrow
Which of the following represent the five basic classes of antibodies?
A,E,G,M D
Which of the following is NOT a basic function of the lymphatic system?
Something Ca
The majority of blood is plasma.
True
What percentage of the blood is composed of plasma?
55
Which of the following blood types is incompatible for donation to A+?
B-
What initiates T cell activation?
Dendritic Cell and MHC
When blood is centrifuged, what is found in the buffy coat?
Platelet and Leukocyte
Fever is an innate response to cellular injury and is initiated when pyrogens are released from damaged cells or certain bacteria.
True