skeletal muscle system

0.0(0)
studied byStudied by 0 people
full-widthCall with Kai
GameKnowt Play
learnLearn
examPractice Test
spaced repetitionSpaced Repetition
heart puzzleMatch
flashcardsFlashcards
Card Sorting

1/32

encourage image

There's no tags or description

Looks like no tags are added yet.

Study Analytics
Name
Mastery
Learn
Test
Matching
Spaced

No study sessions yet.

33 Terms

1
New cards

skeletal muscle

striated, voluntary, multinucleated ex: biceps, triceps and quadriceps and attached to bones

<p>striated, voluntary, multinucleated ex: biceps, triceps and quadriceps and attached to bones</p>
2
New cards

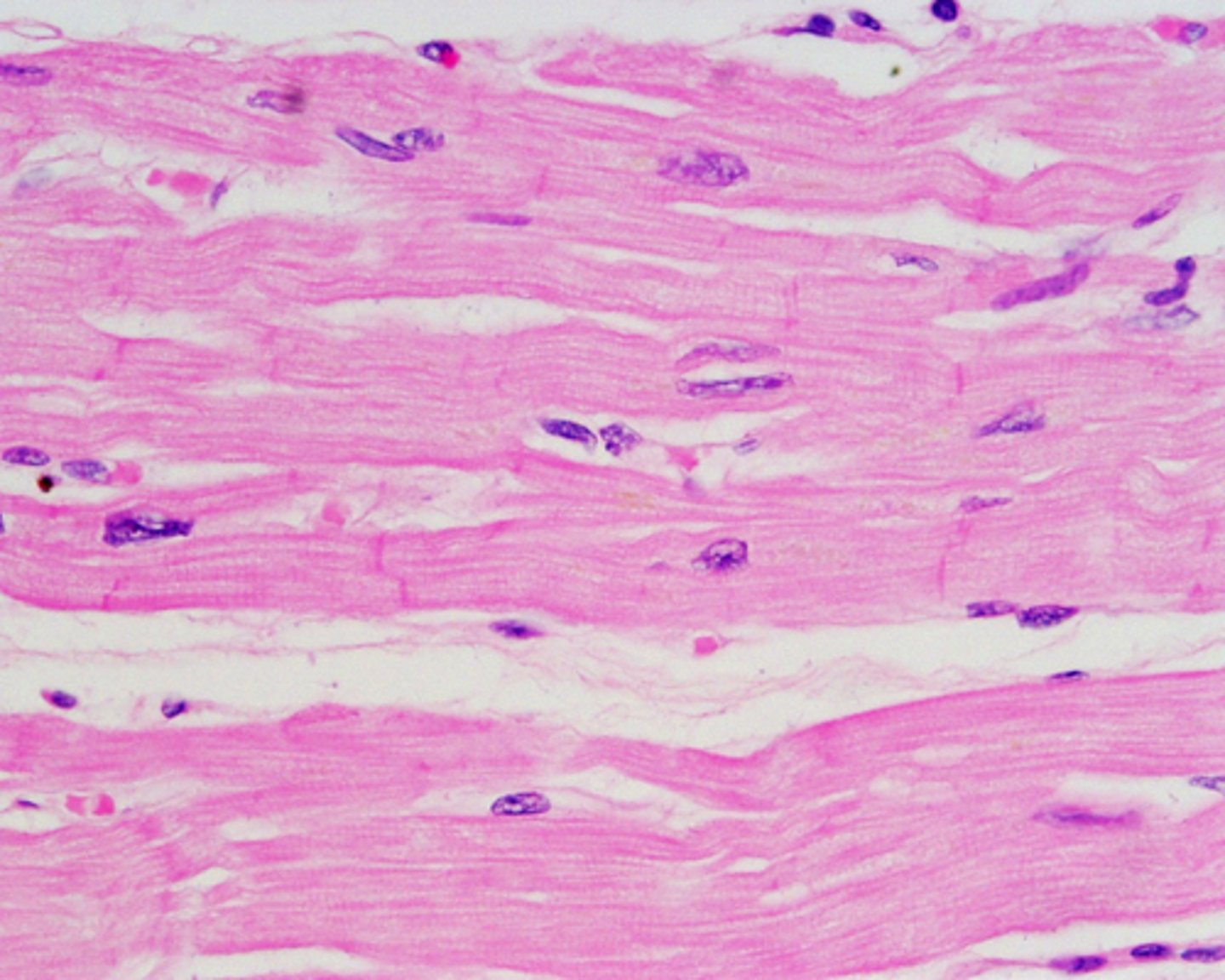
cardiac muscle

involuntary, striated, one or two nuclei per cell. intercelated discs

<p>involuntary, striated, one or two nuclei per cell. intercelated discs</p>
3
New cards

smooth muscle

involuntary, found in hallow organs, non-striated, uninucliated. slow contractions that last longer. ex: digestive tract and arteries

4
New cards

origin of skeletal muscle

the fixed attachment point of the muscle (doesn't move during contraction)

<p>the fixed attachment point of the muscle (doesn't move during contraction)</p>
5
New cards

insertion

the moveable attachment point of the muscle ( moves during contraction

6
New cards

movement

when a muscle contracts, the insertion moves toward the origin

7
New cards

Epimysium

outer connective tissue layer that surrounds the entire muscle

<p>outer connective tissue layer that surrounds the entire muscle</p>
8
New cards

Perimysium

connective tussue that surrounds a bundle of muscle fibers called a fascicle

<p>connective tussue that surrounds a bundle of muscle fibers called a fascicle</p>
9
New cards

endomysium

connective tissue that surrounds invidual muscle fibers

<p>connective tissue that surrounds invidual muscle fibers</p>
10
New cards

muscle fiber (cell)

contains multiple nuclei and mitochondria

<p>contains multiple nuclei and mitochondria</p>
11
New cards

Myofibrils

rod-like structures inside muscle fibers that allow contraction

<p>rod-like structures inside muscle fibers that allow contraction</p>
12
New cards

sarcolemma

the cell membrane of a muscle fiber

<p>the cell membrane of a muscle fiber</p>
13
New cards

sarcoplasmic reticulum

stores calcium ions for contraction

14
New cards

T-tubules

channels that caryr electrical signals deep into the muscle

<p>channels that caryr electrical signals deep into the muscle</p>
15
New cards

neuromuscular junction

Synapse between motor neuron and muscle fiber.

16
New cards

nerve signal arrives- a nerve impulse (action potential) reaches the axon terminal.

step 1

<p>step 1</p>
17
New cards

Acetylcholine (ACh) Release: The nerve releases ACh, a neurotransmitter, into the synaptic cleft.

step 2

<p>step 2</p>
18
New cards

ACh Binds to Receptors: ACh binds to receptors on the motor end plate (part of the sarcolemma).

step 3

<p>step 3</p>
19
New cards

Sodium (Na⁺) Channels Open: Sodium ions rush into the muscle cell, triggering depolarization.

step 4

<p>step 4</p>
20
New cards

Action Potential Propagation: The electrical signal spreads along the sarcolemma and into T-tubules.

step 5

<p>step 5</p>
21
New cards

Calcium Release: The sarcoplasmic reticulum releases calcium ions, initiating contraction.

step 6

<p>step 6</p>
22
New cards

sarcolemma membrance potential

The sarcolemma's membrane potential is controlled by ion movement across the cell membrane.

23
New cards

resting potential

The cell's stable, negative charge when inactive (~ -70mV

<p>The cell's stable, negative charge when inactive (~ -70mV</p>
24
New cards

depolarization

Sodium (Na⁺) rushes into the cell, making the inside less negative.

<p>Sodium (Na⁺) rushes into the cell, making the inside less negative.</p>
25
New cards

repolarization

Potassium (K⁺) rushes out of the cell, returning the inside to its negative state.

<p>Potassium (K⁺) rushes out of the cell, returning the inside to its negative state.</p>
26
New cards

hyperpolarization

the cell becomes too negative before stabilizing

<p>the cell becomes too negative before stabilizing</p>
27
New cards

restoration of resting potential

The sodium-potassium pump restores the original ion balance.

<p>The sodium-potassium pump restores the original ion balance.</p>
28
New cards

z-discs

boundary lines marking the ends of each sarcomere

<p>boundary lines marking the ends of each sarcomere</p>
29
New cards

a-band

the dark area where thick filaments(myosin) are present

<p>the dark area where thick filaments(myosin) are present</p>
30
New cards

i-band

the light area containing think filaments (actin)

<p>the light area containing think filaments (actin)</p>
31
New cards

H-zone

the middle of the sarcomere that only contains myosin when relaxed

<p>the middle of the sarcomere that only contains myosin when relaxed</p>
32
New cards

m-line

the center of the sarcomere that holds thick filaments together

<p>the center of the sarcomere that holds thick filaments together</p>
33
New cards

sliding filament mechanism

Calcium Release: Calcium binds to troponin, which moves tropomyosin, exposing actin's binding sites.

Cross-Bridge Formation: Myosin heads attach to the exposed actin sites.

Power Stroke: Myosin heads pull actin toward the M-line, shortening the sarcomere.

ATP Attachment: ATP binds to myosin heads, causing them to detach from actin.

Cycle Continues: This process repeats, shortening the muscle fiber and causing contraction.

<p>Calcium Release: Calcium binds to troponin, which moves tropomyosin, exposing actin's binding sites.</p><p>Cross-Bridge Formation: Myosin heads attach to the exposed actin sites.</p><p>Power Stroke: Myosin heads pull actin toward the M-line, shortening the sarcomere.</p><p>ATP Attachment: ATP binds to myosin heads, causing them to detach from actin.</p><p>Cycle Continues: This process repeats, shortening the muscle fiber and causing contraction.</p>