Radiography Film Artifacts and Processing Errors: Definitions and Corrections

0.0(0)
studied byStudied by 0 people
0.0(0)
full-widthCall with Kai
GameKnowt Play
New
learnLearn
examPractice Test
spaced repetitionSpaced Repetition
heart puzzleMatch
flashcardsFlashcards
Card Sorting

1/26

encourage image

There's no tags or description

Looks like no tags are added yet.

Study Analytics
Name
Mastery
Learn
Test
Matching
Spaced

No study sessions yet.

27 Terms

1
New cards

underdeveloped film

Light appearance due to:

•Inadequate development time

•Developer solution too cool

•Inaccurate timer or thermometer

•Depleted or contaminated developer solution

<p>Light appearance due to:</p><p>•Inadequate development time</p><p>•Developer solution too cool</p><p>•Inaccurate timer or thermometer</p><p>•Depleted or contaminated developer solution</p>
2
New cards

overdeveloped film

Dark appearance due to:

•Excessive developing time

•Developer solution too hot

•Inaccurate timer or thermometer

•Concentrated developer solution

<p>Dark appearance due to:</p><p>•Excessive developing time</p><p>•Developer solution too hot</p><p>•Inaccurate timer or thermometer</p><p>•Concentrated developer solution</p>
3
New cards

Reticulation of emulsion

Cracked

Sudden temperature change between developer and water bath

<p>Cracked</p><p>Sudden temperature change between developer and water bath</p>
4
New cards

Emulsion

any mixture of two or more immiscible liquids in which one liquid is dispersed in the other

5
New cards

Developer spots

dark or black spots, developer comes in contact with film before processing

<p>dark or black spots, developer comes in contact with film before processing</p>
6
New cards

fixer spots

white or light spots, fixer comes in contact with film before processing

<p>white or light spots, fixer comes in contact with film before processing</p>
7
New cards

yellow-brown stains

Yellow-brown color appearance due to:

•Exhausted developer or fixer

•Insufficient fixing time

•Insufficient rinsing

<p>Yellow-brown color appearance due to:</p><p>•Exhausted developer or fixer</p><p>•Insufficient fixing time</p><p>•Insufficient rinsing</p>
8
New cards

Developer cutoff

straight white border caused by undeveloped part of film from low level of developer

<p>straight white border caused by undeveloped part of film from low level of developer</p>
9
New cards

fixer cutoff

Straight black border

Unfixed part of film from low level of fixer

<p>Straight black border</p><p>Unfixed part of film from low level of fixer</p>
10
New cards

Overlapped films

White or dark areas appear on film where overlapped due to:

•Two films contacting each other during processing

<p>White or dark areas appear on film where overlapped due to:</p><p>•Two films contacting each other during processing</p>
11
New cards

air bubbles

white spots

Air trapped on film surface after film is placed in solution

<p>white spots</p><p>Air trapped on film surface after film is placed in solution</p>
12
New cards

Fingernail artifact

Black crescent shaped marks/film emulsion damaged by operator's fingernail during rough handling.

<p>Black crescent shaped marks/film emulsion damaged by operator's fingernail during rough handling.</p>
13
New cards

Fingerprint artifact

Black fingerprint; film touched by fingers that are contaminated with fluoride or developer

<p>Black fingerprint; film touched by fingers that are contaminated with fluoride or developer</p>
14
New cards

static electricity

thin, black, branching lines

<p>thin, black, branching lines</p>
15
New cards

scratched film

white lines

soft emulsion removed from film by sharp object

<p>white lines</p><p>soft emulsion removed from film by sharp object</p>
16
New cards

light leak

Exposed area appears black; accidental exposure of film to white light

<p>Exposed area appears black; accidental exposure of film to white light</p>
17
New cards

Fogged film

Gray, lack of detail and contrast caused by

improper safelighting, lightleaks, expired film, improper film storage, contaminated solutions, solution too hot

<p>Gray, lack of detail and contrast caused by</p><p>improper safelighting, lightleaks, expired film, improper film storage, contaminated solutions, solution too hot</p>
18
New cards

Unexposed receptor

Receptor

May occur with digital sensors or film

Appearance

The image appears clear

Cause

Failure to turn on the x-ray machine

Electrical failure

Malfunction of the x-ray machine

Correction

Make certain the x-ray machine is turned on and listen for the audible exposure signal.

<p>Receptor</p><p>May occur with digital sensors or film</p><p>Appearance</p><p>The image appears clear</p><p>Cause</p><p>Failure to turn on the x-ray machine</p><p>Electrical failure</p><p>Malfunction of the x-ray machine</p><p>Correction</p><p>Make certain the x-ray machine is turned on and listen for the audible exposure signal.</p>
19
New cards

Film exposed to light

Receptor

Occurs only with film

Appearance

The image appears black.

Cause

The film was exposed to white light.

Correction

Do not unwrap in a room with white light.

Check the darkroom for light leaks.

Turn off all lights in the darkroom except the safelight.

<p>Receptor</p><p>Occurs only with film</p><p>Appearance</p><p>The image appears black.</p><p>Cause</p><p>The film was exposed to white light.</p><p>Correction</p><p>Do not unwrap in a room with white light.</p><p>Check the darkroom for light leaks.</p><p>Turn off all lights in the darkroom except the safelight.</p>
20
New cards

Overexposed receptor

Receptor

May occur with digital sensors or film

Appearance

Image appears dark or high in density.

Cause

Excessive exposure time, kilovoltage, milliamperage

Correction

Check settings and reduce as needed before exposing receptor.

<p>Receptor</p><p>May occur with digital sensors or film</p><p>Appearance</p><p>Image appears dark or high in density.</p><p>Cause</p><p>Excessive exposure time, kilovoltage, milliamperage</p><p>Correction</p><p>Check settings and reduce as needed before exposing receptor.</p>
21
New cards

Underexposed Receptor

Receptor

May occur with digital sensors or film

Appearance

The image appears light or low in density.

Cause

The receptor was underexposed.

Correction

Check the exposure time, kilovoltage, and milliamperage settings on the x-ray machine before exposing the receptor.

<p>Receptor</p><p>May occur with digital sensors or film</p><p>Appearance</p><p>The image appears light or low in density.</p><p>Cause</p><p>The receptor was underexposed.</p><p>Correction</p><p>Check the exposure time, kilovoltage, and milliamperage settings on the x-ray machine before exposing the receptor.</p>
22
New cards

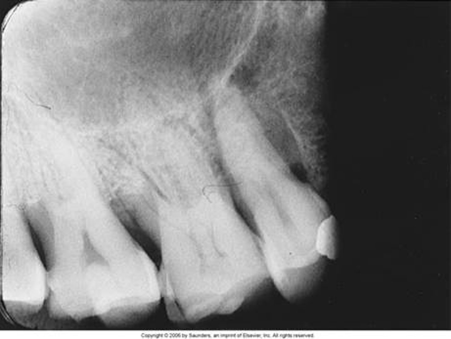
Foreshortened Images

The vertical angulation was excessive, or too steep, and as a result images are shorter than the actual teeth

<p>The vertical angulation was excessive, or too steep, and as a result images are shorter than the actual teeth</p>
23
New cards

Elongated images

Long distorted teeth. Too little vertical angulation.

<p>Long distorted teeth. Too little vertical angulation.</p>
24
New cards

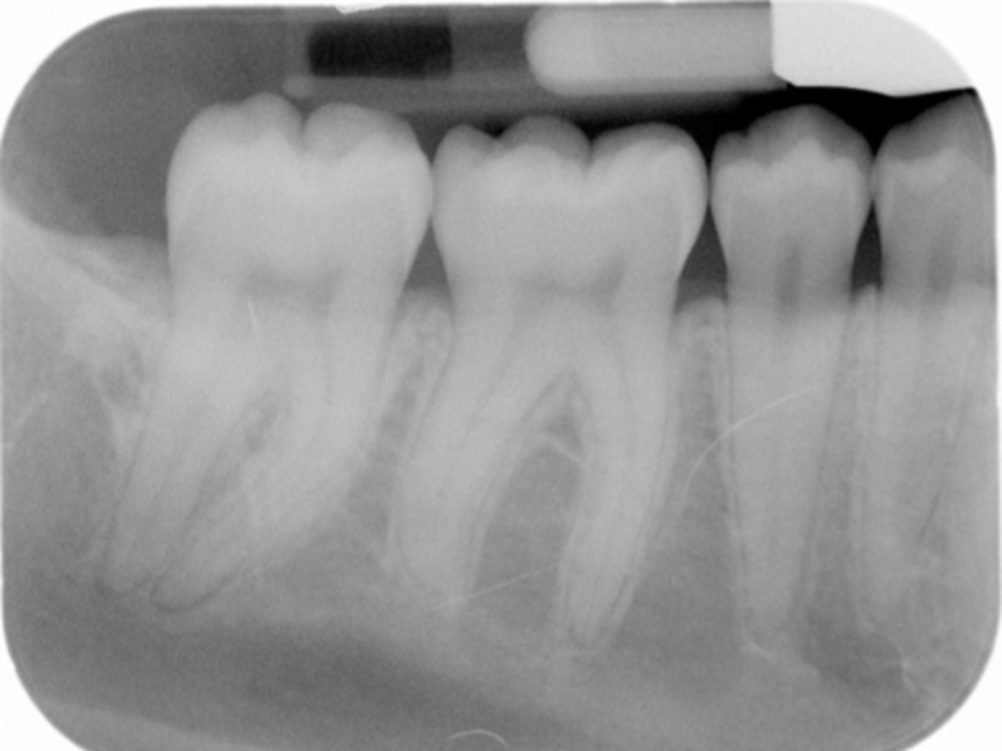
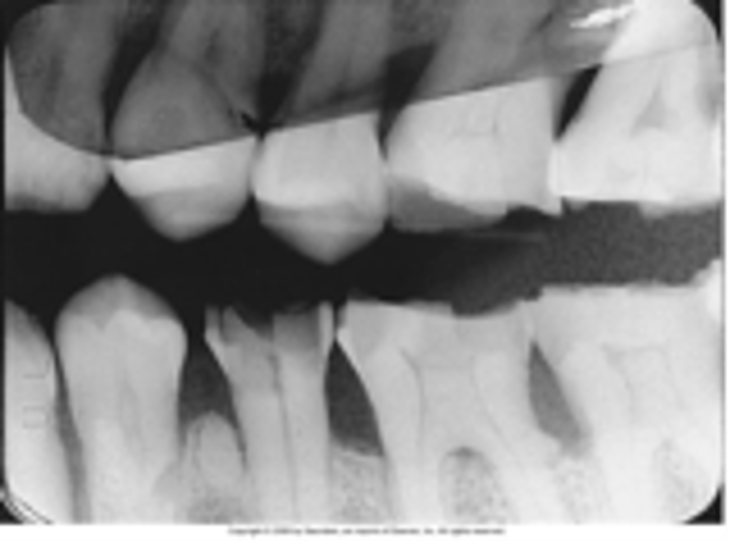
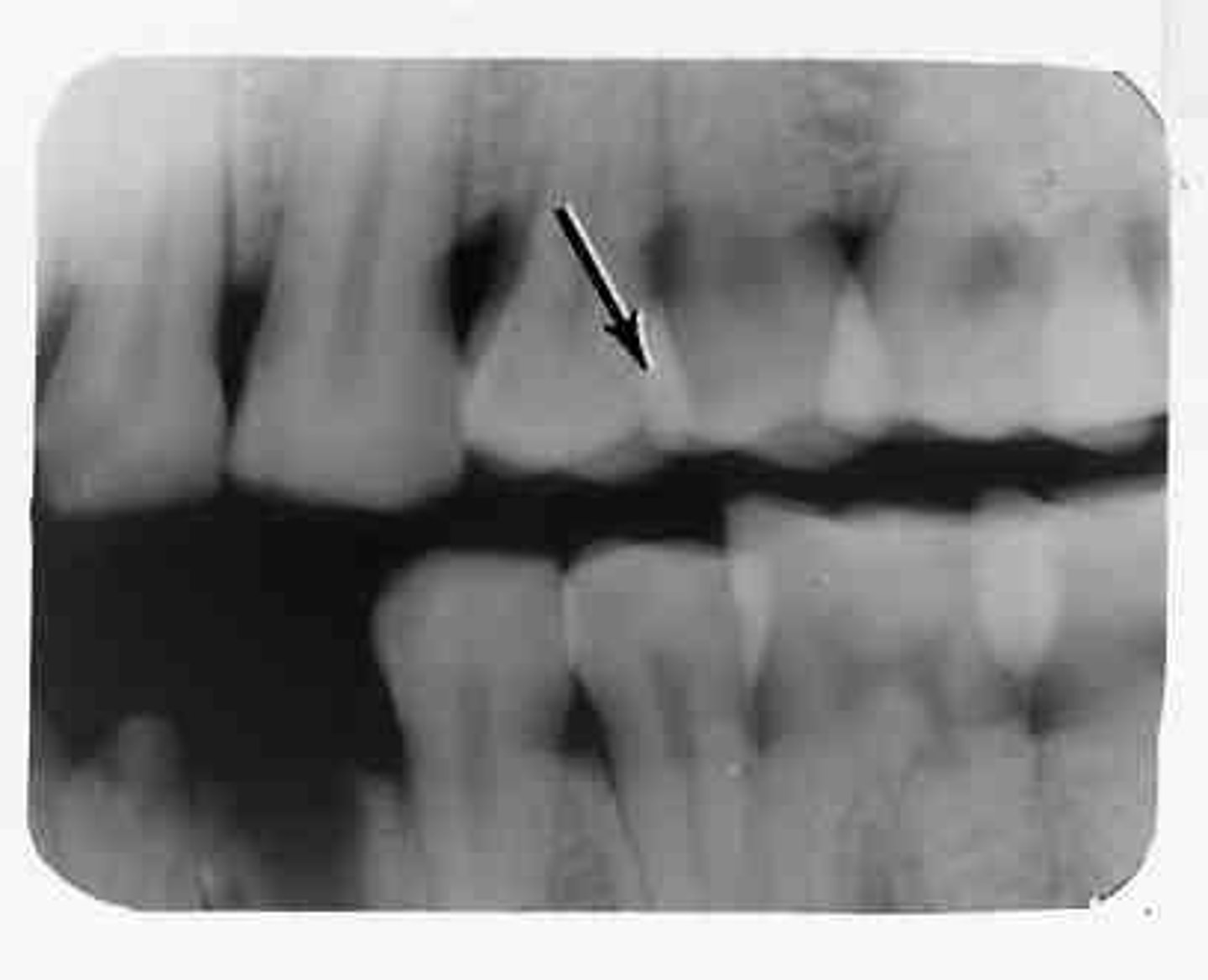
Overlapped interproximal contacts

Result from incorrect horizontal angulation; be sure to direct the x-ray beam through the interproximal regions.

<p>Result from incorrect horizontal angulation; be sure to direct the x-ray beam through the interproximal regions.</p>
25
New cards

Phalangioma

Distal phalanx of the finger is seen in the radiograph

<p>Distal phalanx of the finger is seen in the radiograph</p>
26
New cards

Movement/motion Unsharpness

Blurred images from patient or equipment movement.

<p>Blurred images from patient or equipment movement.</p>
27
New cards

Wired Cable Issues

intraoral sensor is linked to the computer via a fiberoptic cable; sensor is placed with the cable between the sensor and the source of radiation

<p>intraoral sensor is linked to the computer via a fiberoptic cable; sensor is placed with the cable between the sensor and the source of radiation</p>