Urine Microscopy

5.0(1)
studied byStudied by 2 people
5.0(1)
full-widthCall with Kai
GameKnowt Play
New
learnLearn
examPractice Test
spaced repetitionSpaced Repetition
heart puzzleMatch
flashcardsFlashcards
Card Sorting

1/70

flashcard set

Earn XP

Description and Tags

Different findings in urine and what they clinically can mean.

Study Analytics
Name
Mastery
Learn
Test
Matching
Spaced

No study sessions yet.

71 Terms

1
New cards

RBC

Reported as average/10 HPF

<p>Reported as average/10 HPF</p>
2
New cards

RBC

Reported as average/10 HPF

<p>Reported as average/10 HPF</p>
3
New cards

RBC

Associated with glomerular membrane damage or vascular injury within the genitourinary tract

4
New cards

WBC

Reported as average/10 HPF

<p>Reported as average/10 HPF</p>
5
New cards

WBC

Reported as average/10 HPF

<p>Reported as average/10 HPF</p>
6
New cards

Pyuria

Increase in urinary WBC

7
New cards

Neutrophil

Predominant WBC found in urine sediment

8
New cards

Neutrophil

May produce a sparkling appearance “Glitter Cell”

9
New cards

Squamous Epithelial Cells

Reported on LPF or HPF

<p>Reported on LPF or HPF</p>
10
New cards

Transitional Epithelial Cells

Reported on HPF

<p>Reported on HPF</p>
11
New cards

Transitional Epithelial Cells

Clinical insignificant in small numbers but could increase viral infection (refer to pathologist)

12
New cards

Renal Tubular Epithelial Cells

Report HPF

<p>Report HPF</p>
13
New cards

RTE

Could Indicate Renal Tubule Necrosis (Not good)

14
New cards

Oval Fat Bodies

HPF

<p>HPF</p>
15
New cards

Oval Fat Bodies

RTE cells that have absorbed lipids present in the glomerular filtrate

16
New cards

Bacteria

HPF

<p>HPF</p>
17
New cards

Yeast

HPF

<p>HPF</p>
18
New cards

Candida albicans

Most common yeast in urine that is seen in diabetic or immunocompromised patients

19
New cards

Parasite

HPF

<p>HPF</p>
20
New cards

T. vaginalis

Most commonly encountered parasite in urine

21
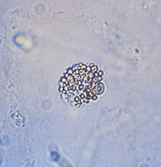
New cards

Sperm

knowt flashcard image
22
New cards

Sperm

Typically insignificant unless found in a patient who is a minor

23
New cards

Mucus

LPF

<p>LPF</p>
24
New cards

Mucus

Protein material made by the glands and epithelial cells

25
New cards

Hyaline Casts

LPF

<p>LPF</p>
26
New cards

Hyaline Casts

Almost completely made of uromodulin. Increased numbers after strenuous exercise, dehydration, or pathological causes (acute glomerulonephritis, pyelonephritis, chronic renal disease and CHF)

27
New cards

Hyaline Casts

Common in these pathological issues: acute glomerulonephritis, pyelonephritis, chronic renal disease and CHF

28
New cards

RBC Cast

LPF

<p>LPF</p>
29
New cards

RBC Casts

This can indicate bleeding within the nephron or glomerular damage

30
New cards

WBC Casts

Confirm on HPF

<p>Confirm on HPF</p>
31
New cards

WBC Casts

Indicates nephron infection/inflammation and a marker for pyelonephritis (upper UTI) vs. cystitis (lower UTI)

32
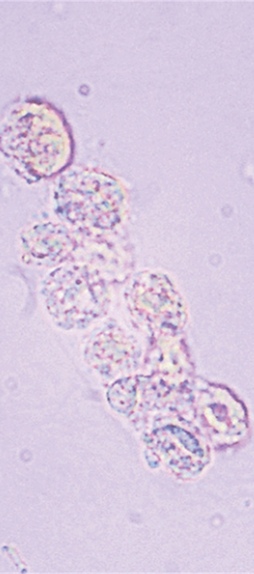
New cards

Epithelial Cell Casts

knowt flashcard image
33
New cards

Epithelial Cell Casts

May be present due to heavy metal toxicity, chemicals, drugs, viral infections, allograft rejection

34
New cards

Fatty Casts

Highly refractile

<p>Highly refractile</p>
35
New cards

Fatty Casts

Seen with oval fat bodies in disorders causing lipiduria

36
New cards

Fatty Casts

Associated with Nephrotic syndrome, Sometimes toxic tubular necrosis, diabetes mellitus, and crush injuries

37
New cards

Granular Casts

HPF

<p>HPF</p>
38
New cards

Granular Casts

Could indicate disintegration of cellular casts, tubule cells, or protein aggregates filtered by the glomerulus

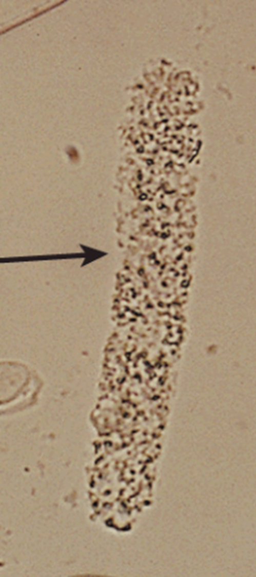
39
New cards

Waxy Casts

knowt flashcard image
40
New cards

Waxy Casts

Indicates extreme urine stasis - chronic renal failure

41
New cards

Broad Casts

knowt flashcard image
42
New cards

Broad Casts

“Renal Failure Casts” mold of the distal convoluted tubules

43
New cards

Amorphous Urates

knowt flashcard image
44
New cards

Amorphous Urates

Normally seen in acidic urine with a pH of >5.5

45
New cards

Uric Acid Crystals

knowt flashcard image
46
New cards

Uric Acid Crystals

Normally in urine, but increased amounts can be seen in gout, leukemic patients receiving chemo, or patients with Lesch-Nyhan syndrome

47
New cards

Hippuric Acid Crystals

No clinicial significance

<p>No clinicial significance</p>
48
New cards

Sodium Urate

knowt flashcard image
49
New cards

Calcium Oxalate

knowt flashcard image
50
New cards

Calcium Oxalate

knowt flashcard image
51
New cards

Calcium Oxalate

In increased numbers it could indicate formation of renal calculi

52
New cards

Amorphous Phosphates

knowt flashcard image
53
New cards

Triple Phosphate

knowt flashcard image
54
New cards

Calcium Carbonate

knowt flashcard image
55
New cards

Ammonium Biurate

“Thorny Apple”

<p>“Thorny Apple”</p>
56
New cards

Cystine Crystals

knowt flashcard image
57
New cards

Cystine Crystals

Found in patients with cystinuria

58
New cards

Cholesterol Crystals

Highly birefringent

<p>Highly birefringent</p>
59
New cards

Cholesterol Crystals

Associated with disorders producing lipiduria (Nephrotic Syndrome)

60
New cards

Radiographic Dye Crystals

knowt flashcard image
61
New cards

Bilirubin Crystals

Seen in patients with liver disorders

<p>Seen in patients with liver disorders</p>
62
New cards

Leucine Crystals

knowt flashcard image
63
New cards

Tyrosine Crystals

knowt flashcard image
64
New cards

Bilirubin, Leucine, and Tyrosine Crystals

Three main crystals found in liver diseases

65
New cards

Sulfonamide Crystals

knowt flashcard image
66
New cards

Ampicillin Crystals

knowt flashcard image
67
New cards

Starch Crystals

knowt flashcard image
68
New cards

Fibers

knowt flashcard image
69
New cards

Starch Granules

knowt flashcard image
70
New cards

Calcium Oxalate

knowt flashcard image
71
New cards

Leucine Crystal

knowt flashcard image