1/7
Looks like no tags are added yet.
Name | Mastery | Learn | Test | Matching | Spaced | Call with Kai |
|---|
No analytics yet
Send a link to your students to track their progress

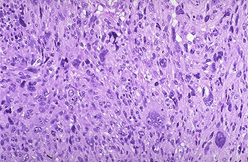
Cellular morphology of sarcoma
Nuclear feature of sarcoma cells
Differentiation status of sarcoma cells
Pleomorphic cells vary in size and shape
Hyperchromatic nuclei
Poorly differentiated or anaplastic

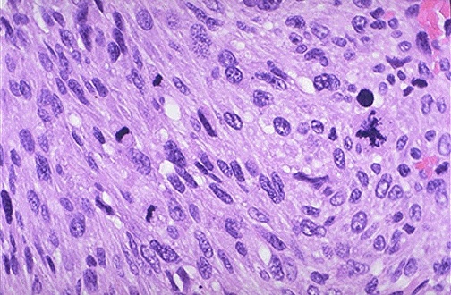
Mitotic activity in sarcoma
Abnormal mitotic feature observed
Numerous mitoses
Very large abnormal mitotic figure

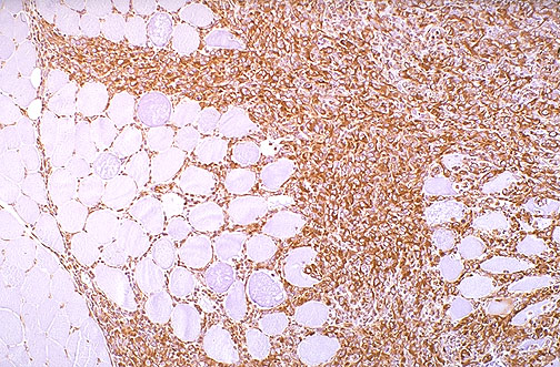
Immunohistochemical marker for sarcoma
Contrast between sarcoma cells and muscle fibers
Vimentin
Stained = sarcoma

Gross appearance of osteosarcoma
Site of origin in bone
Large, bulky mass extending outward
Cortex

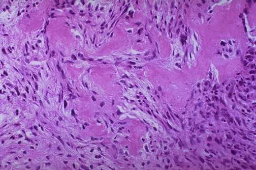
Cellular composition of osteosarcoma
Histologic feature confirming osteosarcoma
Spindle cells
Pink osteoid formation indicating differentiation

Common sites of liposarcoma
Gross appearance of liposarcoma
Clinical behavior of liposarcoma
Retroperitoneum and thigh
Large yellowish mass resembling adipose tissue, well-differentiated
Indolent but progressive growth, tendency to recur after excision

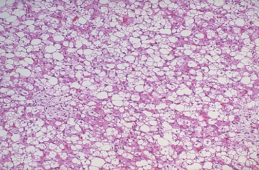
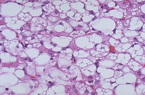
Cell of origin in liposarcoma
Cellular feature of neoplastic cells
Adipocyte
Pleomorphism of lipoblasts

Microscopic feature of liposarcoma
Preferred treatment of sarcomas
Response of sarcomas to chemo/radiation
Large bizarre lipoblasts
Surgical excision
Variable