Histology, Tissue Types, and Cell Junctions: Key Concepts for Biology Students

0.0(0)
studied byStudied by 0 people
0.0(0)
full-widthCall with Kai
GameKnowt Play
New
learnLearn
examPractice Test
spaced repetitionSpaced Repetition
heart puzzleMatch
flashcardsFlashcards
Card Sorting

1/54

encourage image

There's no tags or description

Looks like no tags are added yet.

Study Analytics
Name
Mastery
Learn
Test
Matching
Spaced

No study sessions yet.

55 Terms

1
New cards

What is histology?

The study of tissues, their structure, and how they are organized to perform specific functions.

2
New cards

How are cells held together to form tissues?

By intercellular junctions, which connect and communicate between neighboring cells.

3
New cards

What are tight junctions?

Membranes of adjacent cells fuse and merge, closing the space around the cells; for example, they form sheet-like layers around the lining of the small intestine.

4
New cards

What are desmosomes?

Mechanical links or rivets that fasten cells together and reinforce the structure; for example, they bind cells of the outer skin (epidermis).

5
New cards

What are gap junctions?

Tubular channels that link cells and allow for the exchange of ions and small molecules; for example, they are found in muscle cells of the heart and digestive tract.

6
New cards

What is the blood-brain barrier (BBB)?

A vast network of capillaries in the brain whose cells are held together by overlapping tight junctions, preventing many substances from passing into the brain.

7
New cards

What substances can cross the blood-brain barrier?

Small molecules soluble in fat, such as alcohol, caffeine, nicotine, and antidepressants.

8
New cards

What are the four major tissue types?

Epithelial tissue, connective tissue, muscle tissue, and nervous tissue.

9
New cards

What is the primary function of epithelial tissue?

To cover body surfaces, line organs, and compose glands.

10
New cards

What are the general characteristics of epithelial tissue?

Has a free (apical) surface, a thin basement membrane, is avascular, and readily divides for rapid healing.

11
New cards

What distinguishes simple epithelium from stratified epithelium?

Simple epithelium has a single layer of cells, while stratified epithelium has two or more layers.

12
New cards

What are the shapes of epithelial cells?

Squamous (thin, flattened), cuboidal (cube-like), columnar (elongated), and transitional (changes shape based on need).

13
New cards

What is keratinization?

The process where keratin accumulates in tissues, providing extra protection in areas under friction, found in stratified squamous epithelium.

14
New cards

What is glandular epithelium?

Specialized cells that produce and secrete substances; can be unicellular or multicellular.

15
New cards

What is the difference between exocrine and endocrine glands?

Exocrine glands secrete products into ducts that open onto surfaces, while endocrine glands have no ducts and empty secretions into the bloodstream.

16
New cards

What is the most common disease associated with epithelial tissue?

Cancer (carcinomas), as most cancers arise in epithelial tissues.

17
New cards

What are the three types of muscle tissue?

Skeletal, smooth, and cardiac muscle tissue.

18
New cards

What characterizes skeletal muscle tissue?

It is striated, under voluntary control, and constitutes 40% of a human's body weight.

19
New cards

What distinguishes smooth muscle tissue?

It lacks striations, is involuntary, and makes up the walls of hollow organs.

20
New cards

What is unique about cardiac muscle tissue?

It is found only in the heart, is striated and branched, and is controlled involuntarily.

21
New cards

What are intercalated disks?

Structures that join cardiac muscle cells end to end, containing gap junctions for communication.

22
New cards

What are the three main parts of a neuron?

Cell body, axons, and dendrites.

23
New cards

What is the primary function of neurons?

To communicate with each other and other tissues by sending electrical signals called action potentials.

24
New cards

What are neuroglia?

Support cells of the nervous system that nourish, protect, and insulate neurons.

25
New cards

What is the most abundant tissue by volume in the body?

Connective tissue.

26
New cards

List three structures made of connective tissue.

Bone, cartilage, and blood.

27
New cards

What are the main functions of connective tissue?

Provide support, store fat, produce blood cells, connect tissues, protect against infection, cushion and insulate, and provide transport.

28
New cards

What is the extracellular matrix (ECM) composed of?

Protein fibers and ground substance (fluid, gel-like, or solid).

29
New cards

What are the three types of protein fibers found in connective tissue?

Elastic fibers, collagenous fibers, and reticular fibers.

30
New cards

What is the role of elastic fibers?

To provide elasticity; they can be stretched and return to their original shape.

31
New cards

What is the function of collagenous fibers?

To provide strength and flexibility; they are important in ligaments and tendons.

32
New cards

What are fixed cells in connective tissue?

Cells that reside in the tissue for an extended period, such as fibroblasts and mast cells.

33
New cards

What do mast cells do?

Release chemicals that promote inflammation and prevent blood clotting.

34
New cards

What are wandering cells in connective tissue?

Cells that move through and appear in tissues temporarily, usually in response to injury or infection.

35
New cards

What is the primary role of macrophages?

To ingest foreign particles and act as scavenger cells for defense against infection.

36
New cards

What are the two methods of tissue repair?

Regeneration and replacement.

37
New cards

What is inflammation?

The body's response to injury or stress, characterized by redness, heat, edema, pain, and disruption of function.

38
New cards

What mediators are released during inflammation?

Histamines, kinins, prostaglandins, and leukocytes.

39
New cards

What is the role of neutrophils in tissue repair?

They are phagocytic white blood cells that ingest bacteria and debris at the injury site.

40
New cards

What happens if the edges of a wound are close together?

A clot forms, and epithelial cells regenerate under the scab, leading to normal healing.

41
New cards

What is granulation tissue?

A tissue formed during healing that consists of collagenous fibers, blood vessels, and fibroblasts.

42
New cards

What is wound contracture?

The contraction of granulation tissue that pulls the edges of a wound closed, which can lead to scarring.

43
New cards

dense regular ct

knowt flashcard image
44
New cards

elastic cartalige

knowt flashcard image
45
New cards

Areolar CT

knowt flashcard image
46
New cards

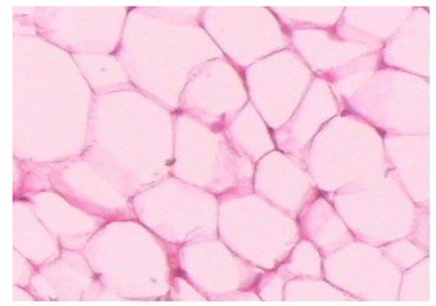
adipose ct

knowt flashcard image
47
New cards

hyaline cartalige

knowt flashcard image
48
New cards

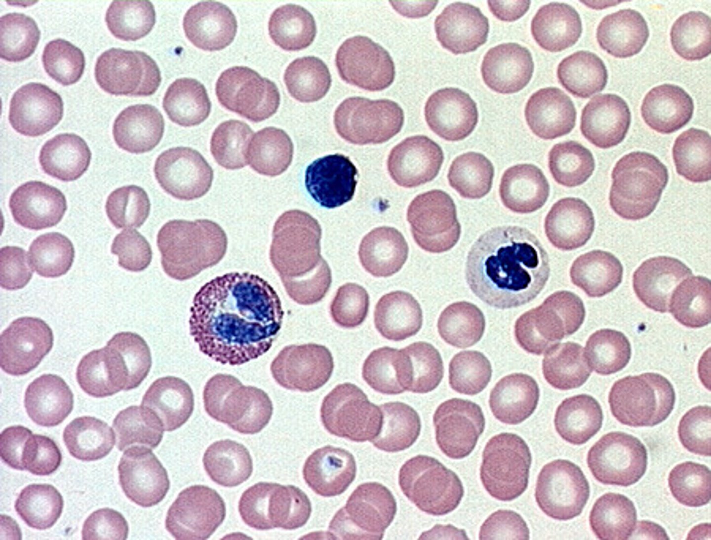
blood

knowt flashcard image
49
New cards

transitional et

knowt flashcard image
50
New cards

simple squamous et

knowt flashcard image
51
New cards

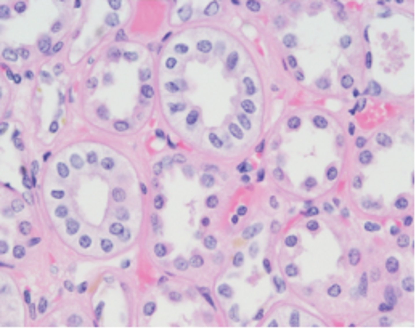
simple cuboidal et

knowt flashcard image
52
New cards

simple columnar et

knowt flashcard image
53
New cards

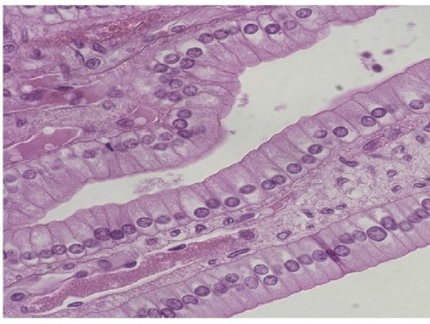
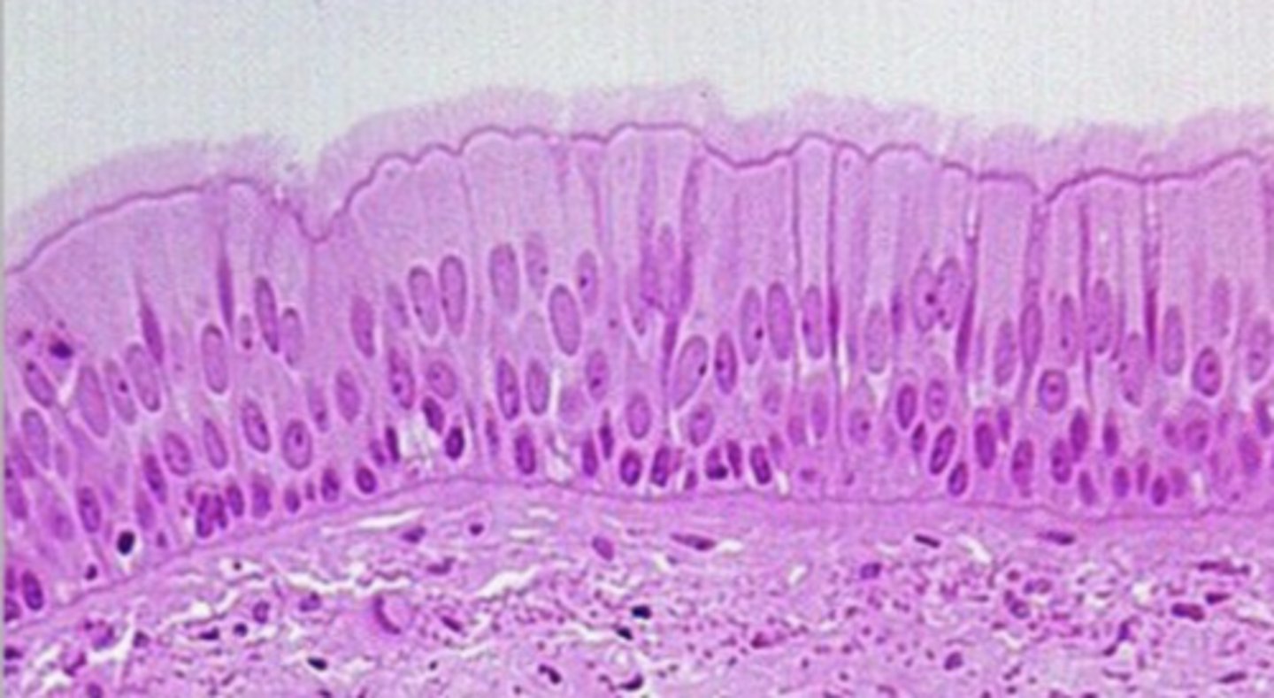
psuedostratified columnar et

knowt flashcard image
54
New cards

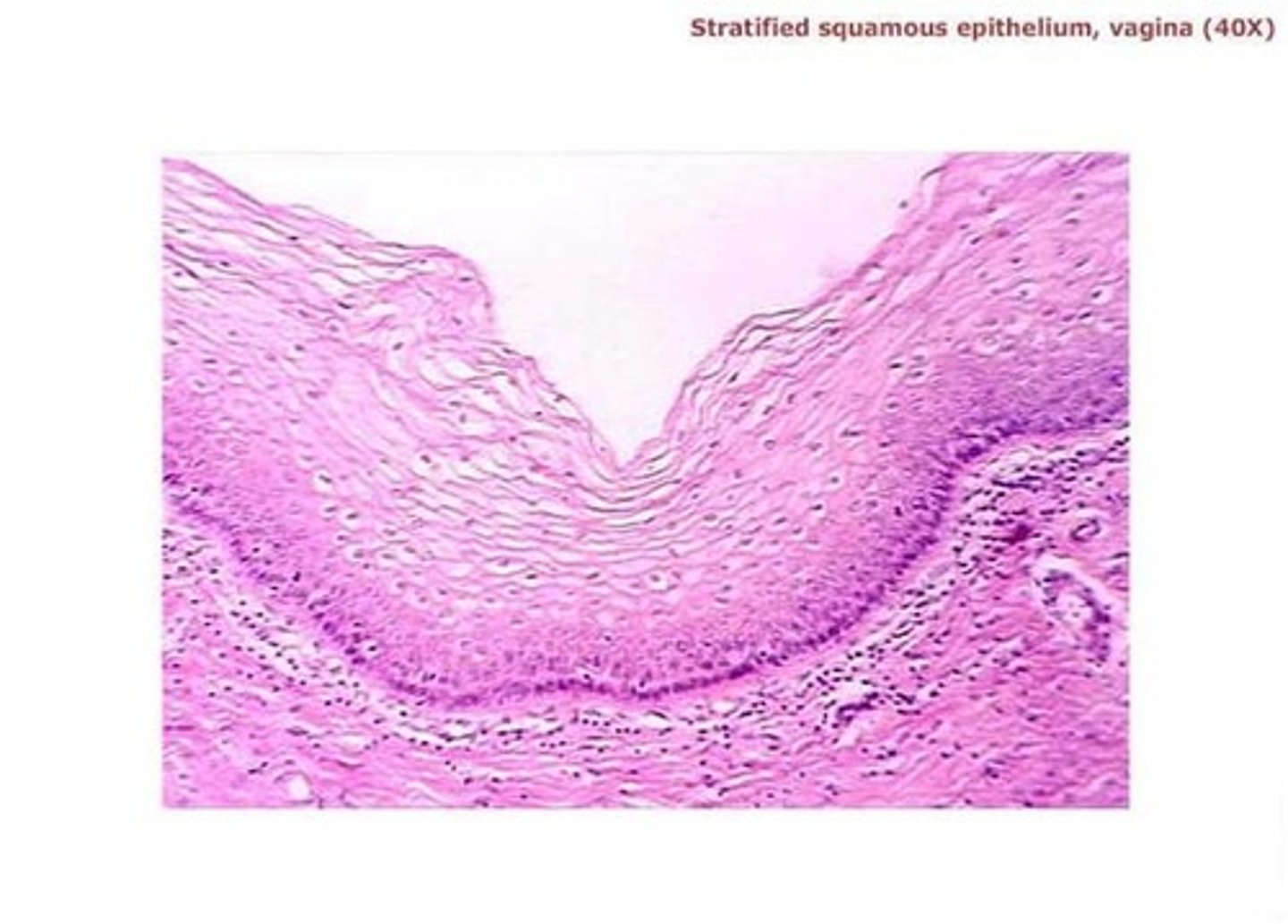
stratified squamous nonkeritanized

knowt flashcard image
55
New cards

stratified squamous keritanized

knowt flashcard image