1/87
Looks like no tags are added yet.
Name | Mastery | Learn | Test | Matching | Spaced | Call with Kai |
|---|
No analytics yet
Send a link to your students to track their progress
(REVIEW) How does a Beam Limiting Device affect Field Size, Scatter, Density (FOG), Contrast and Detail?
Decreases Field Size → decreases Scatter → decreases Density (FOG).
Which then Increases Contrast and Detail.
(REVIEW) Field size controlled by…
Aperture diaphragms, Cones, Collimators, Automatic and Positive Beam Limiting Devices
(REVIEW) What does a Positive Beam Limiting (PBL) do?
Limits field size to the size of IR
What can be used to “control” scatter in radiographic imaging? (NOTE: Referring to the Inherent and Added filters)
Filters. (NOTE:Filters reduce the potential for scatter (indirect control) by removing lower energy photons. Grids reduce existing scatter before it hits the IR (direct control).)
(REVIEW) How do filters help control scatter radiation? (NOTE: Referring to the Inherent and Added filters)
By hardening the primary beam reaching the patient.
What result does decreasing the field size and having filters have on scatter radiation?
Significantly decreases the amount of scatter radiation produced when the photons interact with the patient.
Despite using filters and reducing field size, what still influences scatter radiation leaving the patient? (NOTE: Its the factors WE CANNOT CHANGE)
Object thickness and density (tissue composition).
(REVIEW) What percent of the density of the radiograph is the result of scatter
radiation
50-90%

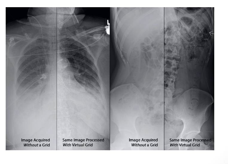
What is the objective of using Grids in radiography?
To minimize the amount of scattered radiation coming from the patient before it reaches the IR.

How do Grids improve radiographic contrast?
Improves contrast by reducing the amount of scattered radiation reaching the IR.

What is the result of improving contrast with grids?
Detail is no longer obscured.

Where is the Grid placed?
Between the patient and the IR

What happens as the primary beam passes through the patient?
Many photons are scattered in many different directions.

What does a Grid ALLOW to reach the IR?
Allows straighter photons (remnant radiation carrying the aerial image).

What does a Grid ABSORB in radiography?
Absorbs photons not carrying useful information (scatter).
Grids are for body parts greater than…
10 cm

How are lead strips placed on a Grid
Parallel to centerline

Why are Grids useful?
Absorbs scatter radiation which improves visibility of detail

***What effect does scatter radiation have on density?
***Scatter radiation increases density.

***What effect does using a Grid have on image density?
***Using a grid will decrease it. (NOTE: This is because the grid absorbs some of the primary radiation, which can lead to a reduction in overall exposure on the film.)

***Why must higher technical factors be increased when using a Grid?
***To compensate for that loss of density.

***What is the result of increasing technical factors to compensate for Grid use?
***Patient exposure is increased.

***For what body parts are Grids used?
***Body parts >10 cm (skull, abdomen, spine, pelvis, femur, sternum and ribs).

When were Grids invented and by who?
Invented in 1913 by Gustave Bucky
What are Grids constructed with?
Extremely thin, closely spaced lead strips (placed vertically or slanted) separated by radiolucent material.


What materials separate the lead strips in a Grid?
Radiolucent material like Plastic, aluminum, fibrous material.

What is the area between the lead strips where radiolucent materials are located called?
The interspace.
What is the (+) Advantage of using Grids
Advantage: Increase contrast by reducing scatter radiation reaching the IR. (NOTE: Using a grid increases contrast by absorbing scatter, but it also decreases image density. To compensate, technical factors (usually mAs) must be increased, which raises patient exposure.)

Disadvantage of using Grids
1. Grid lines (can appear as visible lines or patterns on the radiographic image)
2. Increased patient dose
What does Grid Efficiency describe?
The ability of the grid to absorb scatter radiation.
What are the physical factors that affect Grid Efficiency?
Grid ratio and grid frequency.

What does Grid Ratio describe?
The height of the lead strip to the distance (space) between them.

What is the formula for Grid Ratio?
gR = h/d (h=height, d=distance)

Example: if the interspace material is 300 um thick and the height
of the grid is 2400 um, what is the grid ratio?
gR=8 (written as 8:1)

What happens to Grid Efficiency as the Grid Ratio increases?
The greater the grid ratio, the better the grid efficiency.

Which absorbs more scatter radiation: a 16:1 grid or an 8:1 grid? (For Comp)
BECAUSE THE 16:1 STRIPS ARE GOING TO BE TWICE AS HIGH a 16:1 grid will absorb more scatter radiation than an 8:1 grid.
What result does Higher Grid Ratio (ex 16:1) have on Image Quality?
Higher Grid Ratio→decreases Scatter→ decreases Fog→ which increases Contrast and Detail.
Since more scatter radiation is absorbed in a 16:1 grid what needs to increase? (For comp)
mAs

As lower Grid Ratios increases in angle it allows… (For comp)
More scatter radiation to reach the IR, so bigger Grid Ratios are preferred.
What is Grid Frequency?
refers to the number of lead strips (lines) per centimeter or inch

What role does the Grid Frequency play in?
Determining the thickness of the lead strips

What happens to the lead strips as Grid frequency increases?
The greater the frequency (# of strips), the thinner the strips

What is the advantage of HIGH Grid frequency?
Eliminates Grid lines because they are thinner and placed much closer to each other (NOTE: Remember Grid lines are visualizations of the lead strips on the radiograph)

What is the disadvantage of HIGH grid frequency?
Higher energy scatter can penetrate the thin strips

What is the typical frequency range of most grids?
25 to 45 lines per cm
What are the functional factors that affect Grid Efficiency?
Selectivity, contrast improvement factor (K), and Bucky factor (B).
What does selectivity refer to in Grid Efficiency?
The Grid’s ability to discriminate scatter radiation from the primary beam.
What is the relationship between selectivity and Grid Efficiency?
The greater the selectivity, the greater the grid’s efficiency.
Do Higher Grid Ratios make the Grid more selective? (For comp)
YES
What does the Contrast Improvement Factor (K) measure?
The ability of the grid to improve contrast.
Does a Higher Grid Ratio (ex: 16:1) improve Contrast Improvement Factor (K)? (For comp)
YES, due to the 16:1 absorbing more scatter radiation

What does the Bucky factor (B) define?
The requirement for increasing exposure factors to maintain the same density with the use of a grid. (NOTE: Basically how much you need to increase your exposure (mAs or kVp) when using a grid.)

How does Grid Ratio affect the Bucky factor?
The higher the Grid Ratio, the higher the Bucky factor (more mAs rather than kV)

When is the Bucky factor often used in clinical situations?
When mAs or kV (mainly mAs) is manipulated to compensate for different grid ratios.
Example: A radiograph without a grid requires 110 kV at 2.0 mAs. If a 16:1
grid is used, what would be the new exposure factors?
16:1 is 6 x mAs, 6 × 2 = 12 mAs
TYPES OF STATIONARY GRIDS (portable)
• Parallel Grid (Linear, Non-focus)
• Focused Grid
• Crosshatch Grid

What type of Grid is Parallel Grid
Linear and Non-focus

What does Focused Grid do? (For Comp)
Designed to increase image quality by aligning with the central ray of the x-ray beam.
How does a Focused Grid improve Contrast? (For comp)
It minimizes scatter radiation (NOTE: This design allows primary (useful) X-rays traveling in straight paths to pass through the grid. Scattered radiation, which travels at angles, is more likely to hit the lead strips and get absorbed.)
How efficient is the Crosshatch Grid?
Excellent Efficiency

Why does a Crosshatch Grid provide Excellent Efficiency? (Look at the image between the parallel aligned and non parallel x rays)
Because it requires
Precision centering (Tube and IR has to be Parallel)
No tube angle
No IR angle
What causes Grid Cut-off in radiography?
Absorption of the PRIMARY BEAM

What is a Peripheral Grid Cut-off? (For comp)
Means that you have some cut off or decrease in density at the periphery/edges of your image
What TYPES of Grid-Cut-offs are Peripheral Grid Cut-offs
SID
Upside Down Grid
Parallel Grid
What should be USED to avoid SID (off-focus error)?
Use assigned grid radius

How does grid ratio affect the focal range in SID errors?
Higher grid ratio, narrower the focal range → lower margin of error

An acceptable SID is 40inches, any more or less than that will.. (For comp)
Increase the chance of Peripheral Grid Cut-off
What is the Focal Range of a 40 inch SID? And what does that mean? (For comp)
34-44 inches, that means that you shouldn’t have Peripheral Grid Cut-off

What is Upside-down Grid
Peripheral Grid Cut-off from placing the Grid upside down

What is the Parallel Grid Cut-off?
Absorption of primary radiation, due to divergence of the beam at the periphery of the field (NOTE: resulting in decreased image density at the edges.)
What TYPES of Grid-Cut-offs DECREASE DENSITY ACROSS THE IMAGE
Angulation
Centering

What causes angulation Grid Cut-off in radiography?
Occurs with angulation of grid or tube or IR (occurs with an off-level grid)

What is the result of improper centering on grid cut-off?
Decrease density across image
How does grid ratio affect the importance of Centering?
Grid centering is more critical with higher grid ratios

GRID SPECIFICATIONS All grids will have a label displaying the following
specifications
• Ratio
• Frequency
• Grid Focus (Radius): suggested SID
• Focal Range: acceptable SID range
• K Improvement Factor
What is the Air Gap technique used for?
Technique used when a grid is not available

How is the Air Gap technique accomplished?
Accomplished by increasing the OID

“Cause and Effect” details about the Air Gap Technique (think it logically)
Increased OID → to Decrease scatter reaching the IR (due to air absorbing some) → Increase in magnification due to increase in OID→ Decrease in detail from increase in Mag
How does the Air Gap technique behave compared to a Grid?
Behaves like a low ratio grid (5:1)

What is the Moving Grid a part of?
The x-ray table
Who developed the Moving Grid and when
Hollis Potter in 1920
What is the purpose of a Moving Grid in x-ray tables?
Blurs grid lines
What direction does the motion of a Moving Grid occur?
Motion is across table
What are the alternate names for the Moving Grid?
• Potter-Bucky Diaphragm
• Bucky diaphragm
• Bucky grid
TYPES OF MOVING GRIDS
Single Stroke Grid, Reciprocating Grid, Oscillating Grid
Details about the Single Stroke Grid
• Manually replaced after exposure
• Shortest time: 1/20 s
Details about the Reciprocating Grid
• Automatically replaced after exposure
• Shortest time: 1/60 s
Details about the Oscillating Grid
• Moves in 4 directions
• Shortest time: 1/120 s or less