1/40
Belzer A&P
Name  | Mastery  | Learn  | Test  | Matching  | Spaced  | 
|---|
No study sessions yet.
Muscles always have a _______ __ _______ and _________.
point of origin; insertion

ID the structure indicated by B.
Epimysium. Connective tissue that surrounds the entire muscle.
Excitability
Feature of muscle tissue; muscle generates electrical signals called action potentials
Contractility
General feature of muscle; Muscles are capable of shortening to generate movement
Extensibility
General muscle feature; muscles can stretch without being damaged (most of the time).
Elasticity
General muscle feature; muscles can return to it’s original length after contraction.

ID the structure identified 2
Sarcolemma; Plasma membrane of the skeletal muscle fiber; contains voltage gated ion channels.

ID the structure indicated by 3
Myofibril; Contractile organelles of skeletal muscle surrounded by T-Tubules, made up of repeating units of sarcomeres.

ID the structure indicated by 4
T-tubule; Invaginations of the sarcolemma that allow an action potential to move into the myofibril.

ID the structure identified by 7
Sarcomere; Basic functional unit of skeletal muscle; organization of filament proteins.

ID the spring-like structure passing through the thin and thick filament on the diagram
Titan; Component of muscle that allows elasticity and extensibility

ID the structure identified by 10
Actin - Protein that comprises thin filament; have myosin binding sites.
Sarcoplasm
Cytoplasm of muscle cells rich in glycogen and myoblobin.

ID the structure identified by 6
Sarcoplasmic reticulum (SR); Organelle in skeletal muscle tissue cells - Fluid filled calcium storage sacks that surround each myofibril.

ID the structure identified by 1
Triad; Structure that forms between two terminal cisternae and a T-tubules.

ID the structure identified by 14
Myosin: Structural proteins that form thick filaments.

ID the specific tissue type
Skeletal muscle tissue; striated and multinucleated muscle fibers.

ID the structure indicated by 1
Muscle fiber/cell

Id the structure indicated by 2
Nucleus of muscle fiber/cell

ID the structure indicated by 3
Striation/Sarcolemma

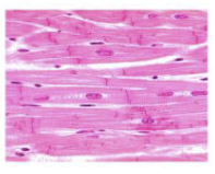
ID the specific tissue type w/ anatomical justifications.
Cardiac muscle tissue. Branched, cell’s are uninucleated, and presence of intercalated discs.

ID specific tissue type w/ anatomical justifications.
Smooth muscle tissue; Branched, no striations, multinucleated.

ID the structure indicated by A
Tendon. Structure that attaches a bone to a muscle.

ID the structure identified by C
Skeletal muscle

ID the structure identified by D
Fascicle. Bundle of muscle fibers/cells that make up the muscle unique to skeletal muscle.

ID the structure indicated by E
Muscle fiber/cell.

ID the structure identified by F
Sarcomere; basic functional unit of skeletal muscle tissue.

ID the structure indicated by 5
Terminal cisternae. The end of the sarcoplasmic reticulum (SR). Interacts with T-tubules to trigger calcium release for muscle contraction.

ID the structure indicated by 12
Troponin: Regulatory protein that regulates the activity of tropomyosin. Binds calcium and shifts tropomyosin.

ID the structure indicated by 11
Tropomyosin: Regulatory protein that covers myosin binding sites on actin.

ID the structure indicated by 13
Myosin head: Myosin that binds to actin to pull it.

ID the structure
Sarcomere. Basic unit of skeletal muscle tissue.

ID the region indicated by 4
I Band: Comprised of the Z disc and thin filaments, which are made of actin, troponin, and tropomyosin.

ID the region indicated by 5.
A Band: Comprised of thick and thin filaments, but mostly thick filaments.

ID the region indicated by 3
H Zone: Comprised solely of thick filaments.

ID the structure indicated by 2
M Line

ID the specific tissue type
Skeletal muscle tissue (cross-section)

ID the structure identified by 3
Fascicle: Bundle of muscle fibers

ID the structure identified by 2
Skeletal muscle fiber/cell.

ID the structure identified by 4
Perimysium: Connective tissue surrounding the fascicle.

ID the structure indicated by 1
Endomysium: Connective tissue membrane surrounding the skeletal muscle fiber/cell.