BSC2085L Midterm Practical

0.0(0)
studied byStudied by 11 people
0.0(0)
full-widthCall with Kai
full-widthOpen Podcast
GameKnowt Play
New
learnLearn
examPractice Test
spaced repetitionSpaced Repetition
heart puzzleMatch
flashcardsFlashcards
Card Sorting

1/348

encourage image

There's no tags or description

Looks like no tags are added yet.

Study Analytics
Name
Mastery
Learn
Test
Matching
Spaced

No study sessions yet.

349 Terms

1
New cards

Superior

Above or higher in position relative to another structure.

<p>Above or higher in position relative to another structure.</p>
2
New cards

Inferior

Below or lower in position relative to another structure.

<p>Below or lower in position relative to another structure.</p>
3
New cards

Medial

Closer to the midline of the body

<p>Closer to the midline of the body</p>
4
New cards

Lateral

Farther from the midline of the body

<p>Farther from the midline of the body</p>
5
New cards

Superficial

Closer to the skin’s surface

<p>Closer to the skin’s surface</p>
6
New cards

Deep

Further from the skin’s surface

<p>Further from the skin’s surface </p>
7
New cards

Dorsal

Back side of the body from the back

<p>Back side of the body from the back</p>
8
New cards

Ventral

Front side of the body from the belly

<p>Front side of the body from the belly</p>
9
New cards

Anterior

The front part of the body.

<p>The front part of the body. </p>
10
New cards

Posterior

Back side of the body.

<p>Back side of the body.</p>
11
New cards

Proximal

Closer to point of attachment

<p>Closer to point of attachment</p>
12
New cards

Distal

Further from the point of attachment.

<p>Further from the point of attachment.</p>
13
New cards

Sagittal Plane

A vertical plane that divides the body into right and left sections.

<p>A vertical plane that divides the body into right and left sections. </p>
14
New cards

Midsagittal plane

A vertical plane that divides the body into equal right and left halves.

<p>A vertical plane that divides the body into equal right and left halves. </p>
15
New cards

Parasagittal plane

A vertical plane that divides the body into unequal right and left sections.

<p>A vertical plane that divides the body into unequal right and left sections. </p>
16
New cards

Frontal plane

A vertical plane that divides the body into front and back sections.

<p>A vertical plane that divides the body into front and back sections.</p>
17
New cards

Transverse plane

Divides the body into upper and lower portions

<p>Divides the body into upper and lower portions</p>
18
New cards

Oblique plane

A plane that cuts through the body at an angle, dividing it into non-standard sections.

<p>A plane that cuts through the body at an angle, dividing it into non-standard sections. </p>
19
New cards

Right hypochondriac region

The area of the abdomen located beneath the right rib cage, containing organs such as the liver and gallbladder.

<p>The area of the abdomen located beneath the right rib cage, containing organs such as the liver and gallbladder. </p>
20
New cards

Right lumbar region

Between the right hypochondriac region and the right iliac region, containing parts of the large intestine and right kidney.

<p>Between the right hypochondriac region and the right iliac region, containing parts of the large intestine and right kidney. </p>
21
New cards

Right iliac region

Beneath the right lumbar region, containing the appendix and parts of the large intestine.

<p>Beneath the right lumbar region, containing the appendix and parts of the large intestine. </p>
22
New cards

Epigastric region

Between the right and left hypochondriac regions, primarily containing the stomach, liver, and pancreas.

<p>Between the right and left hypochondriac regions, primarily containing the stomach, liver, and pancreas. </p>
23
New cards

Umbilical region

Between the right and left lumbar regions, primarily containing the small intestine and parts of the colon.

<p>Between the right and left lumbar regions, primarily containing the small intestine and parts of the colon. </p>
24
New cards

Hypogastric region

Beneath the umbilical region, containing the bladder and reproductive organs.

<p>Beneath the umbilical region, containing the bladder and reproductive organs. </p>
25
New cards

Left hypochondriac region

Beneath the rib cage on the left side, primarily containing the spleen, stomach, and part of the left kidney.

<p>Beneath the rib cage on the left side, primarily containing the spleen, stomach, and part of the left kidney. </p>
26
New cards

Left lumbar region

Left side of the lumbar region, primarily containing parts of the large intestine and left kidney.

<p>Left side of the lumbar region, primarily containing parts of the large intestine and left kidney. </p>
27
New cards

Left iliac region

Lower left area of the abdomen, primarily containing parts of the intestines and the left ovary in females.

<p>Lower left area of the abdomen, primarily containing parts of the intestines and the left ovary in females. </p>
28
New cards

Base

The bottom part of a microscope that supports the entire instrument and contains the light source.

<p>The bottom part of a microscope that supports the entire instrument and contains the light source. </p>
29
New cards

Coarse-focus knob

The knob on a microscope used to make large adjustments in focus to bring the specimen into view.

<p>The knob on a microscope used to make large adjustments in focus to bring the specimen into view. </p>
30
New cards

Arm

The part of a microscope that connects the eyepiece to the base and provides support, allowing for easy handling and positioning of the microscope.

<p>The part of a microscope that connects the eyepiece to the base and provides support, allowing for easy handling and positioning of the microscope. </p>
31
New cards

Fine-focus knob

The knob on a microscope used to make small adjustments in focus for more precise viewing of the specimen.

<p>The knob on a microscope used to make small adjustments in focus for more precise viewing of the specimen. </p>
32
New cards

Objective lenses

Lenses on a microscope used to magnify the specimen, typically ranging from low to high power.

<p>Lenses on a microscope used to magnify the specimen, typically ranging from low to high power. </p>
33
New cards

Stage

The flat platform where slides are placed for observation, often equipped with clips to hold the slide in place.

<p>The flat platform where slides are placed for observation, often equipped with clips to hold the slide in place. </p>
34
New cards

Condenser

A lens system that focuses light onto the specimen, enhancing illumination and contrast.

<p>A lens system that focuses light onto the specimen, enhancing illumination and contrast. </p>
35
New cards

Scanning objective

Lowest power objective (4x)

<p>Lowest power objective (4x)</p>
36
New cards

Low power objective

An objective lens typically used at 10x magnification for initial examinations of a slide.

<p>An objective lens typically used at 10x magnification for initial examinations of a slide. </p>
37
New cards

High power objective

An objective lens used for detailed viewing of specimens, typically at 40x.

38
New cards

Oil immersion objective

An objective lens used at 100x magnification

39
New cards

Ocular (eyepiece) lens

the lens at the top of the microscope that the viewer looks through, typically providing magnification of 10x or more.

<p>the lens at the top of the microscope that the viewer looks through, typically providing magnification of 10x or more. </p>
40
New cards

Iris diaphragm lever

Ring that regulates the amount of light reaching the specimen, enhancing contrast and resolution.

<p>Ring that regulates the amount of light reaching the specimen, enhancing contrast and resolution. </p>
41
New cards

Light source

The component that illuminates the specimen, enabling clearer visibility and detail during observation.

<p>The component that illuminates the specimen, enabling clearer visibility and detail during observation. </p>
42
New cards

Body tube

Connects the eyepiece to the objective lenses, ensuring proper alignment of light and images.

<p>Connects the eyepiece to the objective lenses, ensuring proper alignment of light and images. </p>
43
New cards

Microscope power switch

The control that turns the microscope on or off, essential for activating the light source for observation.

<p>The control that turns the microscope on or off, essential for activating the light source for observation. </p>
44
New cards

Nosepiece

The revolving part of the microscope that holds the objective lenses and allows the user to switch between different magnifications.

<p>The revolving part of the microscope that holds the objective lenses and allows the user to switch between different magnifications. </p>
45
New cards

Stage control knob

The knobs used to move the stage horizontally or vertically, enabling precise positioning of the specimen under the objectives.

<p>The knobs used to move the stage horizontally or vertically, enabling precise positioning of the specimen under the objectives. </p>
46
New cards

Stage clip

Holds the slide in place on the stage to prevent movement during observation.

<p>Holds the slide in place on the stage to prevent movement during observation. </p>
47
New cards

Light control knob

Adjusts the intensity of light passing through the specimen, enhancing visibility and contrast.

<p>Adjusts the intensity of light passing through the specimen, enhancing visibility and contrast. </p>
48
New cards

Calculation of total magnification

Multiplying the magnification power of the eyepiece by the magnification power of the objective lens used.

49
New cards

Mitochondria

Powerhouses of the cell, where ATP is produced through cellular respiration.

<p>Powerhouses of the cell, where ATP is produced through cellular respiration. </p>
50
New cards

Golgi complex

A cell organelle that modifies, sorts, and packages proteins and lipids for secretion or delivery to other organelles.

<p>A cell organelle that modifies, sorts, and packages proteins and lipids for secretion or delivery to other organelles. </p>
51
New cards

Centrioles

Cell structures involved in cell division, helping to organize the mitotic spindle.

<p>Cell structures involved in cell division, helping to organize the mitotic spindle. </p>
52
New cards

Bound ribosomes

Ribosomes that are attached to the endoplasmic reticulum (ER) and are involved in the synthesis of proteins that are either secreted from the cell or incorporated into the cell's plasma membrane.

<p>Ribosomes that are attached to the endoplasmic reticulum (ER) and are involved in the synthesis of proteins that are either secreted from the cell or incorporated into the cell's plasma membrane. </p>
53
New cards

Smooth endoplasmic reticulum

A type of endoplasmic reticulum that is involved in lipid synthesis, metabolism, and detoxification, lacking ribosomes on its surface.

<p>A type of endoplasmic reticulum that is involved in lipid synthesis, metabolism, and detoxification, lacking ribosomes on its surface. </p>
54
New cards

Rough endoplasmic reticulum

A type of endoplasmic reticulum that is studded with ribosomes, primarily involved in protein synthesis and processing.

<p>A type of endoplasmic reticulum that is studded with ribosomes, primarily involved in protein synthesis and processing. </p>
55
New cards

Nucleus

The membrane-bound organelle that contains the cell's genetic material and regulates gene expression, control of cellular activities.

<p>The membrane-bound organelle that contains the cell's genetic material and regulates gene expression, control of cellular activities. </p>
56
New cards

Nucleolus

A substructure within the nucleus responsible for ribosomal RNA synthesis and ribosome assembly.

<p>A substructure within the nucleus responsible for ribosomal RNA synthesis and ribosome assembly. </p>
57
New cards

Nuclear envelope

A double membrane structure that surrounds the nucleus, separating its contents from the cytoplasm and regulating the transport of molecules in and out.

<p>A double membrane structure that surrounds the nucleus, separating its contents from the cytoplasm and regulating the transport of molecules in and out. </p>
58
New cards

Nuclear pores

Small openings in the nuclear envelope that allow the transport of molecules between the nucleus and the cytoplasm.

<p>Small openings in the nuclear envelope that allow the transport of molecules between the nucleus and the cytoplasm. </p>
59
New cards

Chromatin

The material consisting of DNA and proteins that makes up chromosomes in the nucleus

<p>The material consisting of DNA and proteins that makes up chromosomes in the nucleus </p>
60
New cards

Plasma membrane

The outer membrane of a cell that regulates the entry and exit of substances, providing structural support and protection.

<p>The outer membrane of a cell that regulates the entry and exit of substances, providing structural support and protection. </p>
61
New cards

Interphase

Cell prepares for division, including DNA replication and organelle growth.

<p>Cell prepares for division, including DNA replication and organelle growth. </p>
62
New cards

Prophase

The first stage of mitosis where chromatin condenses into visible chromosomes, the nuclear envelope breaks down, and spindle fibers begin to form.

<p>The first stage of mitosis where chromatin condenses into visible chromosomes, the nuclear envelope breaks down, and spindle fibers begin to form. </p>
63
New cards

Metaphase

The second stage of mitosis where chromosomes align at the cell's equatorial plane, ensuring proper separation during anaphase.

<p>The second stage of mitosis where chromosomes align at the cell's equatorial plane, ensuring proper separation during anaphase. </p>
64
New cards

Anaphase

The stage of mitosis where sister chromatids are pulled apart to opposite poles of the cell, ensuring each daughter cell receives an identical set of chromosomes.

<p>The stage of mitosis where sister chromatids are pulled apart to opposite poles of the cell, ensuring each daughter cell receives an identical set of chromosomes. </p>
65
New cards

Telophase

The final stage of mitosis where sister chromatids reach the opposite poles, the nuclear envelope re-forms around each set of chromosomes, and the chromosomes begin to de-condense back into chromatin.

<p>The final stage of mitosis where sister chromatids reach the opposite poles, the nuclear envelope re-forms around each set of chromosomes, and the chromosomes begin to de-condense back into chromatin. </p>
66
New cards

Diffusion

Molecules spread from an area of high concentration to an area of low concentration, resulting in the net movement until equilibrium is reached.

<p>Molecules spread from an area of high concentration to an area of low concentration, resulting in the net movement until equilibrium is reached. </p>
67
New cards

Tonicity

The measure of solute concentration in a solution relative to another solution, which affects cell shape and volume.

<p>The measure of solute concentration in a solution relative to another solution, which affects cell shape and volume. </p>
68
New cards

Hypertonic solution

A solution with a higher solute concentration compared to another solution, leading to water movement out of a cell, which may cause it to shrink (crenation)

<p>A solution with a higher solute concentration compared to another solution, leading to water movement out of a cell, which may cause it to shrink (crenation)</p>
69
New cards

Hypotonic solution

A solution with a lower solute concentration compared to another solution, resulting in water movement into a cell, which may cause it to swell (hemolysis)

<p>A solution with a lower solute concentration compared to another solution, resulting in water movement into a cell, which may cause it to swell (hemolysis)</p>
70
New cards

Isotonic solution

A solution with equal solute concentration compared to another solution, resulting in no net movement of water into or out of a cell. This maintains cell shape and volume.

<p>A solution with equal solute concentration compared to another solution, resulting in no net movement of water into or out of a cell. This maintains cell shape and volume. </p>
71
New cards

Silver nitrate test

Turns into white cloudy streak in presence of salt

<p>Turns into white cloudy streak in presence of salt</p>
72
New cards

Benedict solution

turns YELLOW to GREEN to
ORANGE to RED in the presence of sugar when heated

<p><span>turns YELLOW to GREEN to</span><br><span>ORANGE to RED in the presence of sugar when heated</span></p>
73
New cards

Iodine solution

Turns “blue/black” in the presence of starch

<p>Turns “blue/black” in the presence of starch</p>
74
New cards

Simple squamous epithelium

A single layer of flat cells found in areas such as the alveoli of lungs and lining of blood vessels, facilitating diffusion and filtration.

<p>A single layer of flat cells found in areas such as the alveoli of lungs and lining of blood vessels, facilitating diffusion and filtration. </p>
75
New cards

Simple cuboidal epithelium

A single layer of cube-shaped cells, commonly found in glands and kidney tubules, responsible for secretion and absorption.

<p>A single layer of cube-shaped cells, commonly found in glands and kidney tubules, responsible for secretion and absorption. </p>
76
New cards

Simple columnar epithelium

A single layer of tall, column-shaped cells often found in the digestive tract, playing a key role in absorption and secretion.

<p>A single layer of tall, column-shaped cells often found in the digestive tract, playing a key role in absorption and secretion. </p>
77
New cards

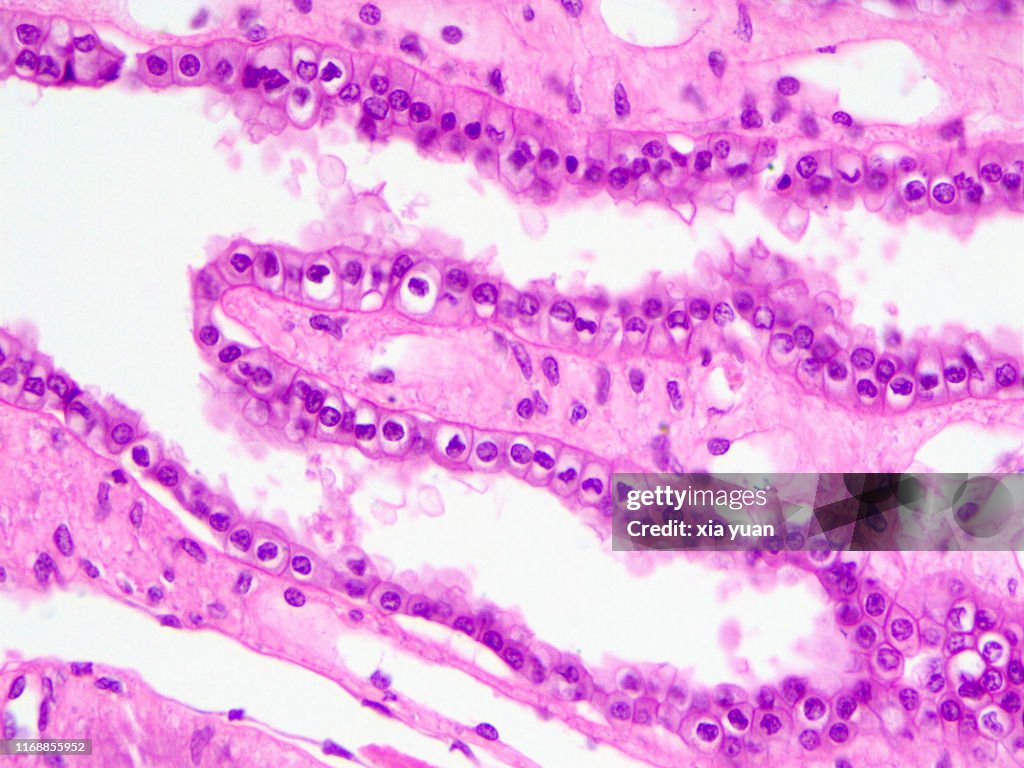
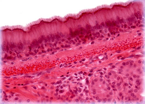
Pseudostratified ciliated columnar epithelium

A type of epithelium that appears to be stratified due to varying cell heights but is actually a single layer of cells, often ciliated, found in the respiratory tract, aiding in secretion and movement of mucus.

<p>A type of epithelium that appears to be stratified due to varying cell heights but is actually a single layer of cells, often ciliated, found in the respiratory tract, aiding in secretion and movement of mucus. </p>
78
New cards

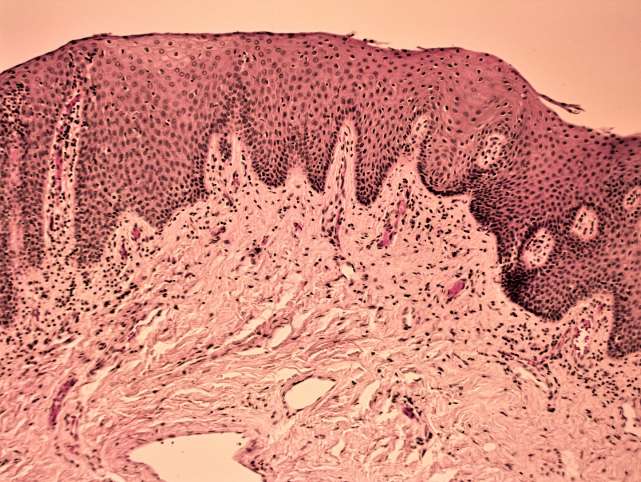
Stratified squamous epithelium (keratinized)

A multi-layered epithelium composed of flattened cells, providing protection against abrasion and found in areas such as the skin and mucous membranes.

<p>A multi-layered epithelium composed of flattened cells, providing protection against abrasion and found in areas such as the skin and mucous membranes. </p>
79
New cards

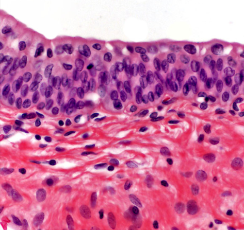
Transitional epithelium

A type of epithelium that can stretch and change shape, found in the urinary bladder and ureters, playing a crucial role in holding and accommodating urine.

<p>A type of epithelium that can stretch and change shape, found in the urinary bladder and ureters, playing a crucial role in holding and accommodating urine. </p>
80
New cards

Mesenchyme

Connective tissue that is loosely organized and contains stem cells capable of differentiating into various cell types, playing a crucial role in the development of organs and tissues.

<p>Connective tissue that is loosely organized and contains stem cells capable of differentiating into various cell types, playing a crucial role in the development of organs and tissues. </p>
81
New cards

Areolar connective tissue

A loose connective tissue that provides support and elasticity; fibroblasts, elastic and collagen fibers

<p>A loose connective tissue that provides support and elasticity; fibroblasts, elastic and collagen fibers</p>
82
New cards

Reticular connective tissue

A type of connective tissue that contains a network of reticular fibers and cells, providing a supportive framework for organs such as the liver, spleen, and lymph nodes.

<p>A type of connective tissue that contains a network of reticular fibers and cells, providing a supportive framework for organs such as the liver, spleen, and lymph nodes. </p>
83
New cards

Adipose tissue

A specialized connective tissue that stores fat, providing insulation and cushioning for organs, as well as energy storage.

<p>A specialized connective tissue that stores fat, providing insulation and cushioning for organs, as well as energy storage. </p>
84
New cards

Dense regular connective tissue

A type of connective tissue organized into parallel collagen fibers, providing tensile strength and support, commonly found in tendons and ligaments.

<p>A type of connective tissue organized into parallel collagen fibers, providing tensile strength and support, commonly found in tendons and ligaments. </p>
85
New cards

Dense irregular connective tissue

A type of connective tissue that consists of irregularly arranged collagen fibers, providing strength in multiple directions and support to areas such as the dermis of the skin (nonparallel collagenous fibers)

<p>A type of connective tissue that consists of irregularly arranged collagen fibers, providing strength in multiple directions and support to areas such as the dermis of the skin (nonparallel collagenous fibers)</p>
86
New cards

Elastic connective tissue

A type of connective tissue that contains a high concentration of elastic fibers, allowing for stretch and recoil. It is found in structures such as the walls of large arteries and the lungs.

<p>A type of connective tissue that contains a high concentration of elastic fibers, allowing for stretch and recoil. It is found in structures such as the walls of large arteries and the lungs. </p>
87
New cards

Hyaline cartilage

A type of cartilage characterized by a glassy appearance and a high content of collagen fibers, providing support with some flexibility. It is commonly found in joints, ribs, and the nose.

<p>A type of cartilage characterized by a glassy appearance and a high content of collagen fibers, providing support with some flexibility. It is commonly found in joints, ribs, and the nose. </p>
88
New cards

Fibrocartilage

A type of cartilage that contains dense bundles of collagen fibers, providing strong support and the ability to withstand pressure. It is found in areas such as intervertebral discs and the pubic symphysis.

<p>A type of cartilage that contains dense bundles of collagen fibers, providing strong support and the ability to withstand pressure. It is found in areas such as intervertebral discs and the pubic symphysis. </p>
89
New cards

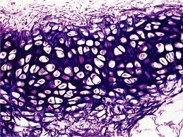
Elastic cartilage

A type of cartilage that is flexible and contains numerous elastic fibers, allowing it to maintain its shape while providing support (chondrocytes, lacunae)

<p>A type of cartilage that is flexible and contains numerous elastic fibers, allowing it to maintain its shape while providing support (chondrocytes, lacunae)</p>
90
New cards

Bone tissue

A type of connective tissue characterized by a mineralized matrix, providing structural support and protection to the body while housing bone marrow for blood cell production.

<p>A type of connective tissue characterized by a mineralized matrix, providing structural support and protection to the body while housing bone marrow for blood cell production. </p>
91
New cards

Stratified squamous epithelium (nonkeratinized)

A type of epithelial tissue composed of multiple layers of cells, with the outermost layer remaining moist. It is found lining body cavities and organs such as the mouth, esophagus, and vagina.

<p>A type of epithelial tissue composed of multiple layers of cells, with the outermost layer remaining moist. It is found lining body cavities and organs such as the mouth, esophagus, and vagina. </p>
92
New cards

Epidermis

The outermost layer of skin, composed of stratified squamous epithelium that provides a protective barrier against environmental factors.

<p>The outermost layer of skin, composed of stratified squamous epithelium that provides a protective barrier against environmental factors. </p>
93
New cards

Dermis

The layer of skin located beneath the epidermis, consisting of connective tissue that provides strength and elasticity, containing blood vessels, nerves, and hair follicles.

<p>The layer of skin located beneath the epidermis, consisting of connective tissue that provides strength and elasticity, containing blood vessels, nerves, and hair follicles. </p>
94
New cards

Hypodermis

The deepest layer of skin, also known as subcutaneous tissue, composed of loose connective tissue and fat, providing insulation and cushioning for underlying structures.

<p>The deepest layer of skin, also known as subcutaneous tissue, composed of loose connective tissue and fat, providing insulation and cushioning for underlying structures. </p>
95
New cards

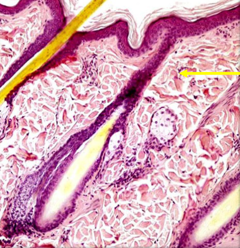
Arrector pili muscle

A small muscle located at the base of hair follicles that contracts in response to cold or fear, causing the hair to stand upright, also known as "goosebumps."

<p>A small muscle located at the base of hair follicles that contracts in response to cold or fear, causing the hair to stand upright, also known as "goosebumps." </p>
96
New cards

Sebaceous oil glands

Glands in the skin that secrete an oily substance called sebum, which helps to lubricate and protect the skin and hair.

<p>Glands in the skin that secrete an oily substance called sebum, which helps to lubricate and protect the skin and hair. </p>
97
New cards

Sudoriferous sweat glands

Glands that produce sweat to regulate body temperature and eliminate waste.

<p>Glands that produce sweat to regulate body temperature and eliminate waste. </p>
98
New cards

Epiphysis

The rounded end of a long bone that is involved in the formation of joints and growth plates.

<p>The rounded end of a long bone that is involved in the formation of joints and growth plates. </p>
99
New cards

Diaphysis

The long, tubular shaft of a long bone that provides structural support and houses bone marrow.

<p>The long, tubular shaft of a long bone that provides structural support and houses bone marrow. </p>
100
New cards

Epiphyseal line

A remnant of the growth plate in a long bone that represents the fusion of the epiphysis and diaphysis once growth has ceased.

<p>A remnant of the growth plate in a long bone that represents the fusion of the epiphysis and diaphysis once growth has ceased. </p>