sex linked traits

0.0(0)
studied byStudied by 0 people
call kaiCall Kai
learnLearn
examPractice Test
spaced repetitionSpaced Repetition
heart puzzleMatch
flashcardsFlashcards
GameKnowt Play
Card Sorting

1/30

encourage image

There's no tags or description

Looks like no tags are added yet.

Last updated 10:30 PM on 1/28/26
Name
Mastery
Learn
Test
Matching
Spaced
Call with Kai

No analytics yet

Send a link to your students to track their progress

31 Terms

1
New cards

Y chromosome + X chromosome

Contain few genes other than SRY

sex-determining region

master regulator for maleness

turns on genes for production of male hormones

X chromosome

Contain traits other than sex determination

Mutation examples:

hemophilia

Duchenne muscular dystrophy

color-blindness

2
New cards

X-inactivation

Female mammals inherit 2 X chromosomes

one X becomes inactivated during embryonic development

condenses into compact object = Barr body

which X becomes Barr body in each cell is random

patchwork trait = “mosaic” This shows each cell having a diff X turned on giving the patterning.

3
New cards

Female Carriers

If a gene is recessive, a female can be a carrier of a trait/disorder without showing any symptoms. This can then be passed to successive generations.

The reason woman can be carriers is because of X-inactivation.

4
New cards

Autosomal Recessive

Appears in both sexes with equal frequency

Tends to skip generations

Affected offspring are usually born to unaffected parents

When both parents are heterozygous, approx.. a quarter of the offspring will be affected

<p>Appears in both sexes with equal frequency</p><p>Tends to skip generations</p><p>Affected offspring are usually born to unaffected parents</p><p>When both parents are heterozygous, approx.. a quarter of the offspring will be affected</p><p></p>
5
New cards

Autosomal Dominant

Appears in both sexes with equal frequency

Does not skip generations

Both sexes transmit the trait to their offspring

Affected offspring must have an affected parent

When one parent is affected (hetero) and the other parent is unaffected, approx.. half of the offspring will be affected

Unaffected parents do not transmit trait

<p>Appears in both sexes with equal frequency</p><p>Does not skip generations</p><p>Both sexes transmit the trait to their offspring</p><p>Affected offspring must have an affected parent</p><p>When one parent is affected (hetero) and the other parent is unaffected, approx.. half of the offspring will be affected</p><p>Unaffected parents do not transmit trait</p><p></p>
6
New cards

Sex Linked Recessive

More males are affected than females

Affected sons are usually born to unaffected mothers (because they are carriers) so the trait tends to skip generations

A heterozygous mother will pass on the trait to approx.. half her sons

It is NEVER passed from father to son

All daughters of affected fathers are carriers

<p>More males are affected than females</p><p>Affected sons are usually born to unaffected mothers (because they are carriers) so the trait tends to skip generations</p><p>A heterozygous mother will pass on the trait to approx.. half her sons</p><p>It is NEVER passed from father to son</p><p>All daughters of affected fathers are carriers</p><p></p>
7
New cards

Sex Linked Dominant

Females are often more affected than males

Does not skip generations

Affected sons must have an affected mother or an affected father

Affected fathers will pass the trait on to all their daughters

Heterozygous mothers will pass the trait on to half of her sons and half of her daughters

<p>Females are often more affected than males</p><p>Does not skip generations</p><p>Affected sons must have an affected mother or an affected father</p><p>Affected fathers will pass the trait on to all their daughters</p><p>Heterozygous mothers will pass the trait on to half of her sons and half of her daughters</p><p></p>
8
New cards

Y- Linked

Only males are affected

Affected fathers MUST have affected sons

<p>Only males are affected</p><p>Affected fathers MUST have affected sons</p><p></p>
9
New cards

Incomplete Dominance

In some cases, neither allele is completely dominant

Therefore, in a heterozygous individual, there is a blending of 2 traits

10
New cards

Co-dominance

In other cases, both alleles may be dominant and are both expressed

This is called

Ex. Feathers of black birds and white birds

11
New cards

multiple alleles

IA, IB, IO.alleles out of the

3.Genotypes: IAIA, IAIO → Type A; ISome genes have more than two alleles (multiple alleles).

Example: human blood type has 3 alleles —> IA, IB, IO.

IA and IB are co-dominant, and both dominate IO.

Each person has only 2 alleles out of the 3.

Genotypes: IAIA, IAIO → Type A; IBIB, IBIO → Type B; IAIB → Type AB; IOIO → Type O.

12
New cards

Law of Dominance:

Law of Segregation:

Law of Independent Assortment:

A dominant allele masks a recessive one.

Example: Tt (T = tall, t = short) → plant is tall because T is dominant.

segreation: Alleles separate during gamete formation & recombined at fertilzation 

Example: A Tt parent makes gametes that get either T or t, not both.

indepdant assortment: Genes for different traits separate independently.

Example: A plant that is TtYy (T=tall, Y=yellow seeds) can make gametes TY, Ty, tY, ty because height and seed color assort separately.

9:3:3:1 phenotype ratio.

13
New cards

Chromosomal abnormalities

Incorrect number of chromosomes

  • nondisjunction

  •     when chromosomes don’t separate properly during meiosis

  • breakage of chromosomes'

deletion - loss of a chromosomal segment

duplication

inversion - reverses a segment

translocation - move segment from one chromosome to another

14
New cards

Nondisjunction ex

Problems with meiotic spindle cause errors in daughter cells

homologous chromosomes do not separate properly during Meiosis 1

sister chromatids fail to separate during Meiosis 2

too many or too few chromosomes

15
New cards

trisomy + monosomy

cells have 3 copies of a chromosome

cells have only 1 copy of a chromosome

16
New cards

Human chromosome disorders

Chromosomal disorders are common in humans:

Most embryos with major chromosome errors are miscarried

Imbalance is too severe for development

Extra/missing chromosomes disrupt key regulators (hormones, transcription factors)

Some imbalances are mild enough to survive

Survivable imbalances cause a consistent set of symptoms = syndrome

17
New cards

Trisomy 21

Down syndrome

3 copies of chromosome 21

1 in 700 children born in U.S.

Chromosome 21 is the smallest human chromosome

but still severe effects

Frequency of Down syndrome correlates with the age of the mother

<p>Down syndrome</p><p>3 copies of chromosome 21</p><p>1 in 700 children born in U.S.</p><p>Chromosome 21 is the smallest human chromosome</p><p>but still severe effects</p><p>Frequency of Down syndrome correlates with the age of the mother</p><p></p>
18
New cards

Genetic testing

Amniocentesis in 2nd trimester

  • sample of embryo cells

  • stain & photograph chromosomes

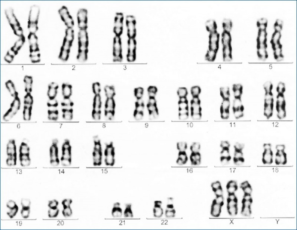
Analysis of karyotype

19
New cards

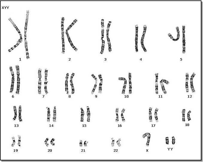
Sex chromosomes abnormalities

Human development more tolerant of wrong numbers in sex chromosome

But produces a variety of distinct syndromes in humans

XXY = Klinefelter’s syndrome male

XXX = Trisomy X female

XYY = Jacob’s syndrome male

XO = Turner syndrome female

20
New cards
<p>Klinefelter’s syndrome</p>

Klinefelter’s syndrome

XXY male

one in every 2000 live births

have male sex organs, but are sterile

feminine characteristics

some breast development

lack of facial hair

tall

normal intelligence

<p>XXY male</p><p>one in every 2000 live births</p><p>have male sex organs, but are sterile</p><p>feminine characteristics</p><p>some breast development</p><p>lack of facial hair</p><p>tall</p><p>normal intelligence</p><p></p>
21
New cards

Jacob’s syndrome male

XYY Males

1 in 1000 live male births

extra Y chromosome

slightly taller than average

more active

normal intelligence, slight learning disabilities

delayed emotional maturity

normal sexual development

<p>XYY Males </p><p>1 in 1000 live male births</p><p>extra Y chromosome</p><p>slightly taller than average</p><p>more active</p><p>normal intelligence, slight learning disabilities</p><p>delayed emotional maturity</p><p>normal sexual development</p><p></p>
22
New cards

Trisomy X

XXX

1 in every 2000 live births

produces healthy females

  • Why?

    • Barr bodies

      • all but one X chromosome is inactivated

(Extra X chromosomes are mostly turned off, so they don’t cause major problems)

<p>XXX</p><p>1 in every 2000 live births</p><p>produces healthy females</p><ul><li><p>Why?</p><ul><li><p>Barr bodies</p><ul><li><p>all but one X chromosome is inactivated</p></li></ul></li></ul></li></ul><p>(Extra X chromosomes are mostly turned off, so they don’t cause major problems)</p>
23
New cards

Turner syndrome

Monosomy X or X0

1 in every 5000 births

varied degree of effects

webbed neck

short stature

sterile

<p>Monosomy X or X0</p><p>1 in every 5000 births</p><p>varied degree of effects </p><p>webbed neck</p><p>short stature</p><p>sterile </p><p></p>
24
New cards

Sex linked traits were first discovered by 

first discovered by T.H. Morgan at Columbia U.

He experimented with Drosophila (fruit flies) breeding

  • good genetic subject

  • Prolific – could have many babies at once

  • 2 week generations

  • 4 pairs of chromosomes

XX=female, XY=male

25
New cards

Y-Linked Traits

Y- linked diseases are rare

Y chromosomes hold the code necessary for proper sperm production and sterility

Y-linked traits are only found in males

26
New cards

Responsible for the Laws governing Inheritance of Traits

?

Gregor Mendel (1822-1884)

Austrian monk

Studied the inheritance of traits in pea plants

Developed the laws of inheritance

Mendel's work was not recognized until the turn of the 20th century

27
New cards

mendal is known for..

Mendel cultivated and tested some 28,000 pea plants

He found that the plants' offspring retained traits of the parents

Called the “Father of Genetics"

28
New cards

Particulate Inheritance

Mendel stated that physical traits are inherited as “particles”

Mendel did not know that the “particles” were actually DNA and Chromosomes

29
New cards

Heredity –
Genetics -

the passing of traits from parent to offspring

study of heredity

30
New cards

Why peas, ?

Can be grown in a small area

Produce lots of offspring

Produce pure plants when allowed to self-pollinate several generations

Can be artificially cross-pollinated

31
New cards

Mendel’s Experimental Methods (how he began)

Mendel produced pure strains by allowing the plants to self-pollinate for several generations

Mendel hand-pollinated flowers using a paintbrush

He could snip the stamens to prevent self-pollination

Covered each flower with a cloth bag to prevent cross pollination

He traced traits through the several generations