Identification of the methods of diagnostic imagine used + the patients diagnosis

0.0(0)
studied byStudied by 0 people
full-widthCall with Kai
GameKnowt Play
learnLearn
examPractice Test
spaced repetitionSpaced Repetition
heart puzzleMatch
flashcardsFlashcards
Card Sorting

1/13

flashcard set

Earn XP

Description and Tags

Images of diagnostic imaging :)

Study Analytics
Name
Mastery
Learn
Test
Matching
Spaced

No study sessions yet.

14 Terms

1
New cards
<p></p>

Radiography - Puppy

2
New cards
term image

Radiography - Lung cancer

3
New cards
term image

Radiography - foreign body - marble

4
New cards
term image

Radiography - Diaphragmatic hernia

5
New cards
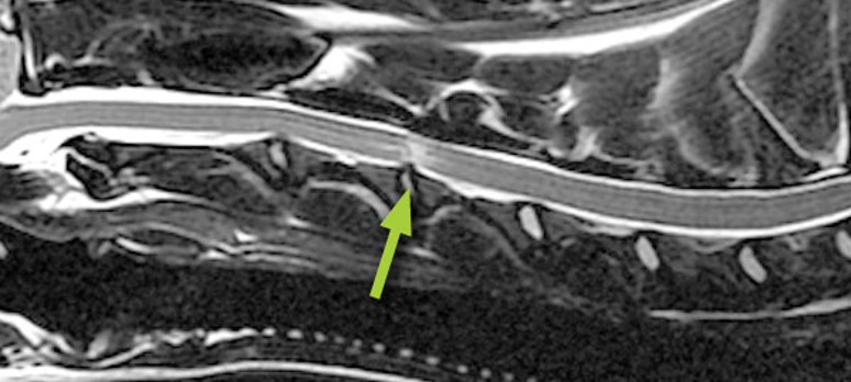
term image

MRI with contrast media - slipped disc

6
New cards
term image

CT scan - brain tumour

7
New cards
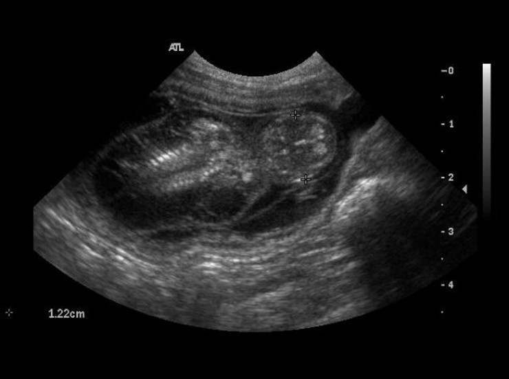
term image

Ultrasound - pregnancy diagnosis

8
New cards
term image

Scintigraphy - thyroid tumour

9
New cards
term image

Radiography - megaoesophagus identified using contrast media

10
New cards
term image

Radiography - GDV

11
New cards
term image

Endoscopy - oesophageal FB, impacted lamb meat in distal oesophagus

12
New cards
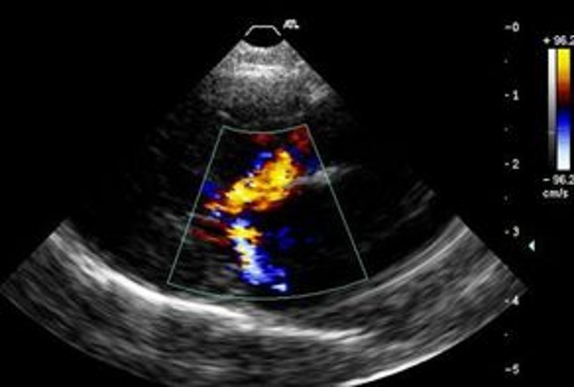
term image

Echocardiography - Doppler echocardiogram with colour flow

13
New cards
term image
  • Positron Emission Tomography (PET) Scan - whole body PET scan

  • This scan was done to monitor cancer treatment before (A), five days after treatment (B) and 3 weeks following completion of treatment (C)

14
New cards
term image

Radiography - fractured radius/ulna