1/46
2.2
Name | Mastery | Learn | Test | Matching | Spaced |
|---|
No study sessions yet.

1
Medial Lemniscus - Rostral Midbrain

2
Spinothalamic Tract - Rostral Midbrain

3
CST - Rostral Midbrain

4
Cerebral Aqueduct - Rostral Midbrain

5
Superior Colliculus - Rostral Midbrain

6
Oculomotor Nucleus (CN III) - Rostral Midbrain

7
Interpeduncular Fossa - Rostral Midbrain

8
Red Nucleus - Rostral Midbrain

9
Medial Longitudinal Fasciculus (MLF) End Site - Rostral Midbrain

1
Medial Lemniscus - Caudal Midbrain

2
Spinothalamic Tract - Caudal Midbrain

3
CST - Caudal Midbrain

4
Cerebral Aqueduct - Caudal Midbrain

5
Superior Cerebellar Peduncle (Decussation) - Caudal Midbrain

6
Inferior Colliculus - Caudal Midbrain

7
Trochlear Nucleus (CN IV) - Caudal Midbrain

8
Medial Longitudinal Fasciculus (MLF) - Caudal Midbrain

1
Medial Lemniscus - Rostral Pons

2
Spinothalamic Tract - Rostral Pons

3
CST - Rostral Pons

4
Cerebral Aqueduct - Rostral Pons

5
Middle Cerebellar Peduncle - Rostral Pons

6
Superior Cerebellar Peduncle - Rostral Pons

7
Medial Longitudinal Fasciculus (MLF) - Rostral Pons

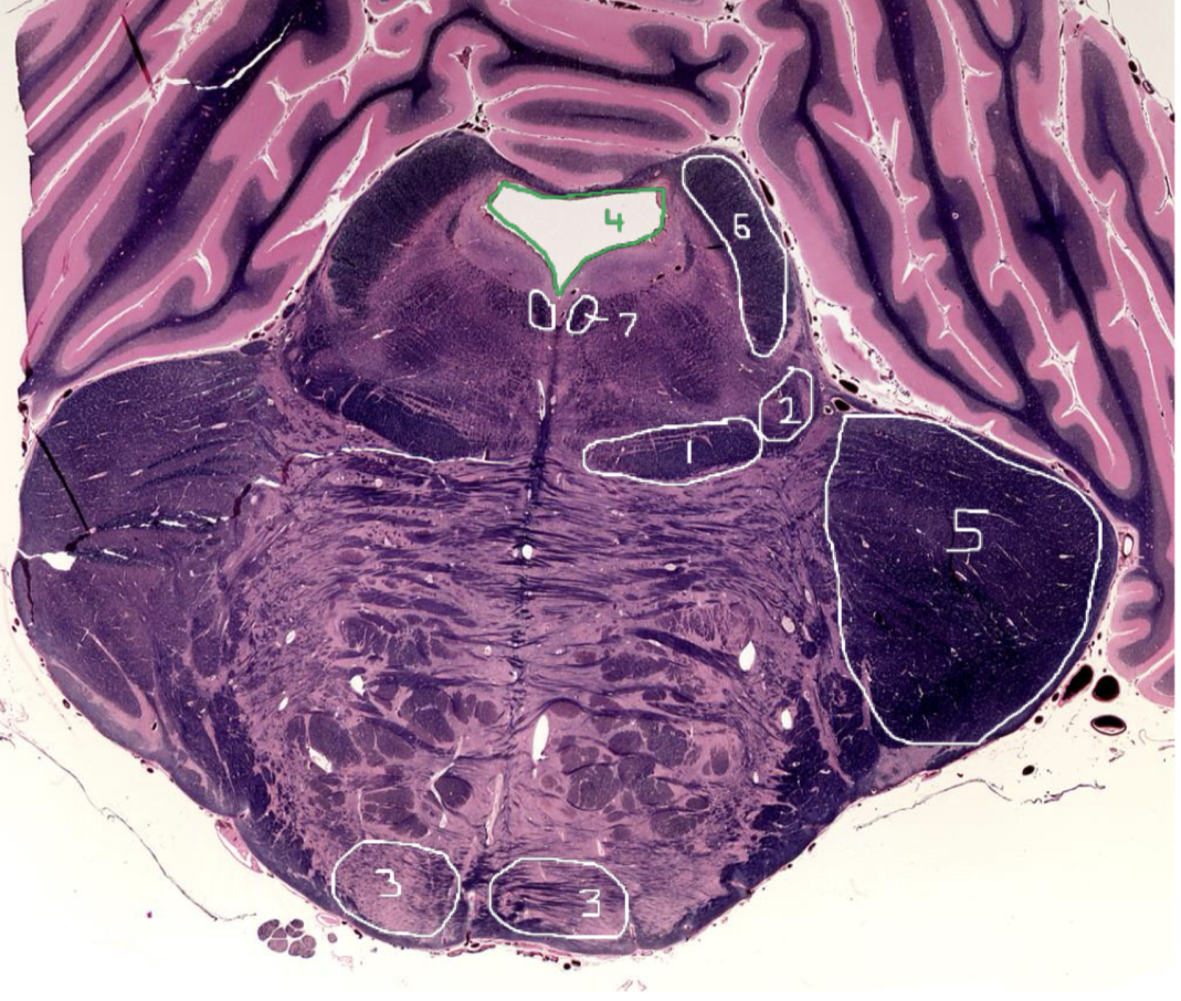
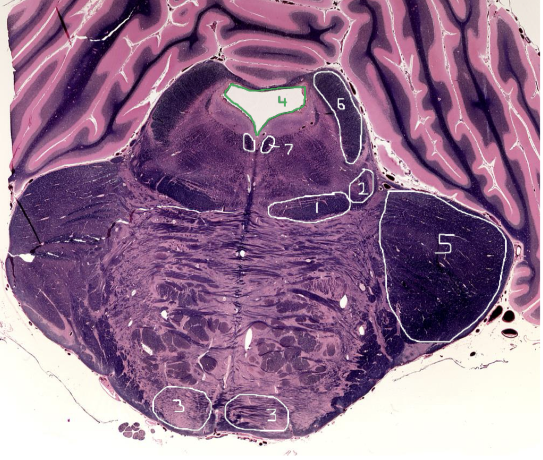
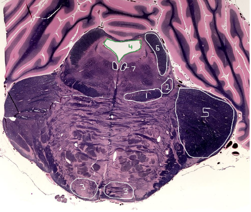
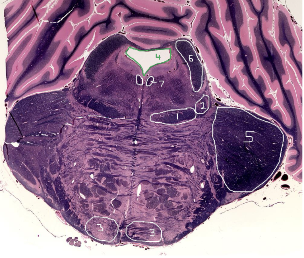
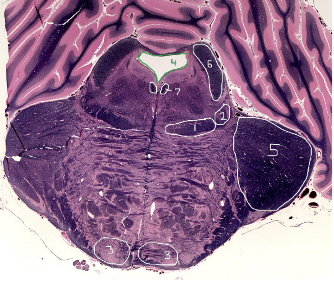
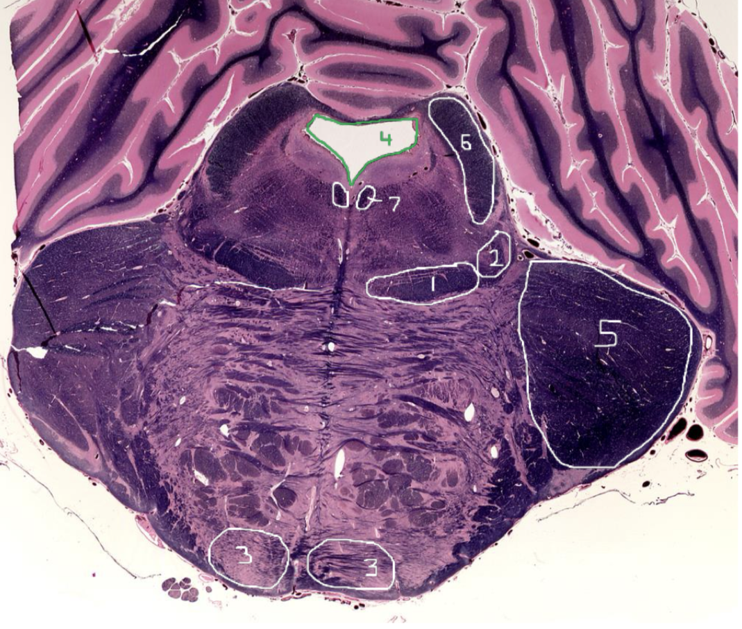
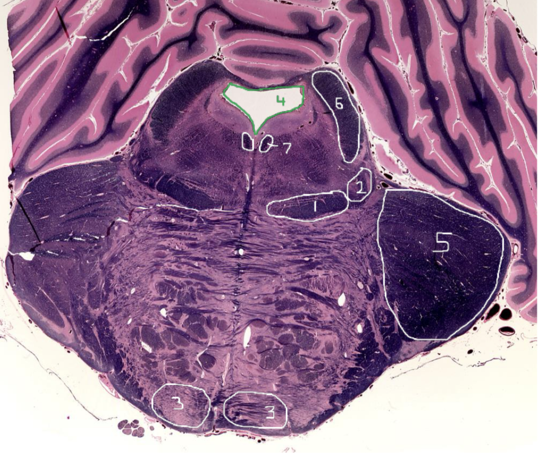
1
Medial Lemniscus - Caudal Pons

2
Spinothalamic Tract - Caudal Pons

3
CST - Caudal Pons

4
4th Ventricle - Caudal Pons

5
Inferior Cerebellar Peduncle - Caudal Pons

6
Middle Cerebellar Peduncle - Caudal Pons

7
Superior Cerebellar Peduncle - Caudal Pons

8
Dentate Nuclei (Cerebellum) - Caudal Pons

9
Inferior Olivary Nucleus - Caudal Pons

10
Medial Longitudinal Fasciculus (MLF) - Caudal Pons

1
Medial Lemniscus (DCML) - Rostral Medulla

2
Nucleus Gracilis (DCML) - Rostral Medulla

3
Nucleus Cuneatus (DCML) - Rostral Medulla

4
Spinothalamic Tract - Rostral Medulla

5
CST - Rostral Medulla

6
Inferior Olivary Nucleus - Rostral Medulla

7
Medial Longitudinal Fasciculus (MLF) - Rostral Medulla

1
Sensory Decussation (DCML) - Caudal Medulla

2
Medial Lemniscus (DCML) - Caudal Medulla

3
Fasciculus Gracilis (DCML) - Caudal Medulla

4
Fasciculus Cuneatus (DCML) - Caudal Medulla

5
Spinothalamic Tract - Caudal Medulla

6
Corticospinal Tract - Caudal Medulla