1/11
Looks like no tags are added yet.
Name | Mastery | Learn | Test | Matching | Spaced | Call with Kai |
|---|
No study sessions yet.

Name Letter A
Unaffected Clavicle

Name Letter B
Left Clavicle

Name Letter C
Humeral Head

Name Letter D
Lateral Axillary Border of Scapula

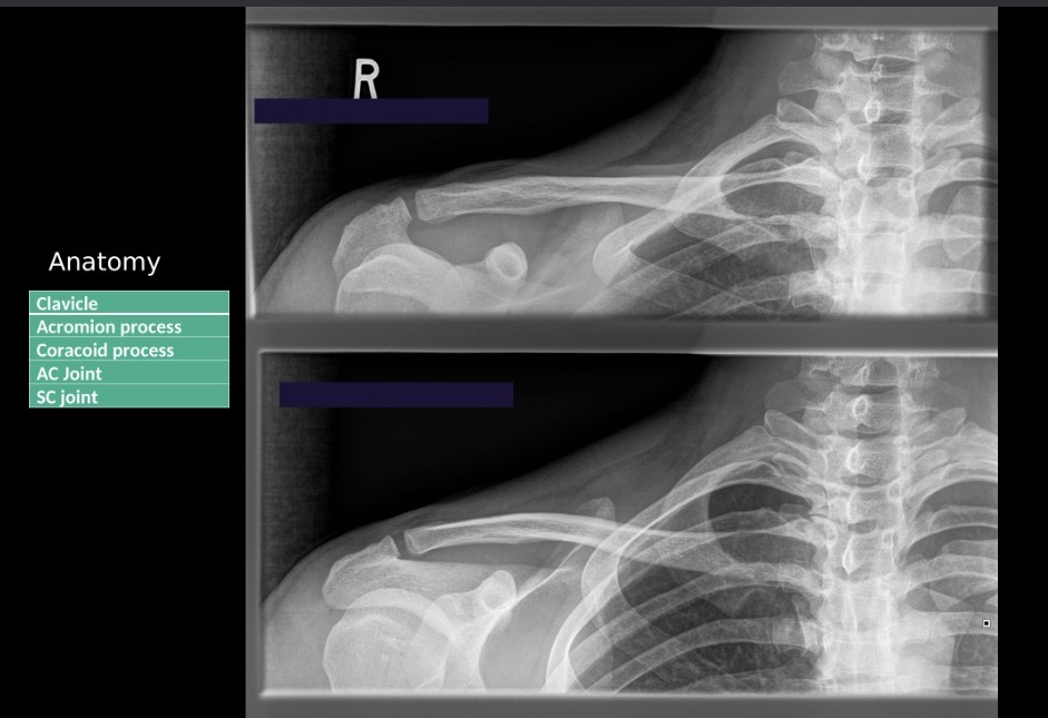
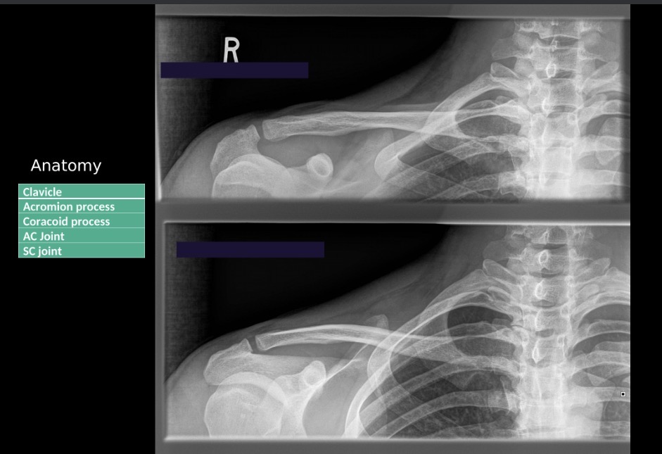
What Projection Position is the Top Photo?
AP Axial Clavicle

What projection position is the bottom image?
AP Clavicle

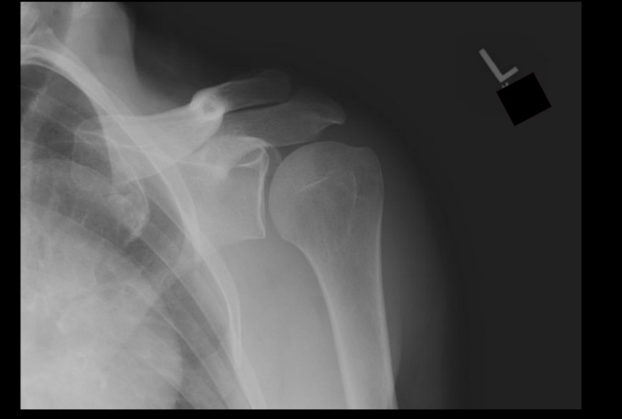
What projection position is this image?
Inferosuperior Axial of the Left Shoulder

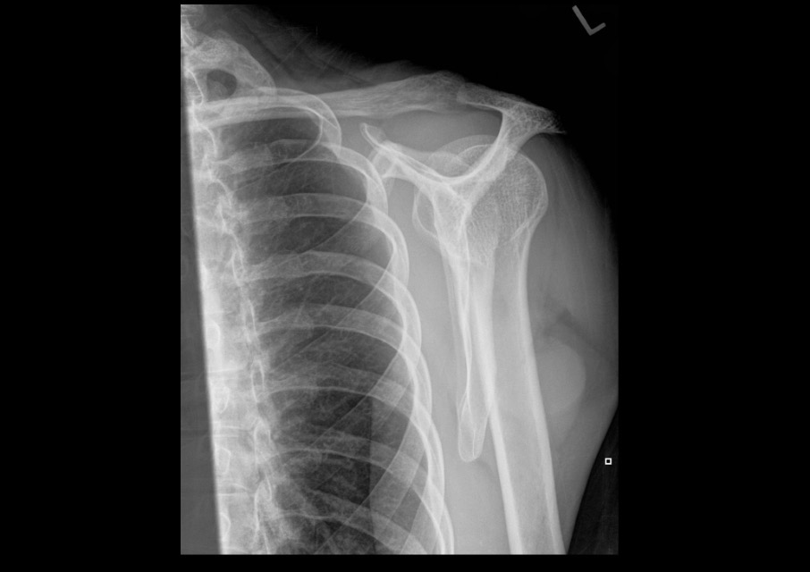
What projection position is this image?
AP LPO Grashey, left

What projection position is this image?
PA LAO Shoulder Y, Left

What projection position is this image?
AP Shoulder with Internal Rotation Left

What projection position is this image?
AP Shoulder with Neutral Roation, Left

What projection position is this image?
AP Shoulder with External Rotation, Left