1/76
Looks like no tags are added yet.
Name | Mastery | Learn | Test | Matching | Spaced |
|---|
No study sessions yet.

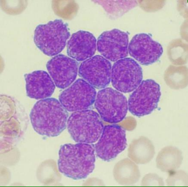
myeloblast

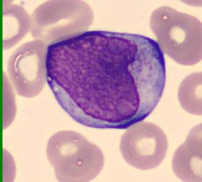
promyelocyt

myelocyt

metamyelocyt

neutrofilní tyč

neutrofil

myeloblast

myeloblast

myeloblast

myeloblast

promyelocyt

promyelocyt

promyelocyt

promyelocyt

promyelocyt

proerytroblast

megakaryoblast

plazmatická buňka

nezralý myelocyt

zralý myelocyt

zralý myelocyt

zralý myelocyt

metamyelocyt

metamyelocyt

metamyelocyt

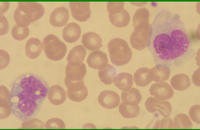
tyč

tyč

tyč

tyč

tyč

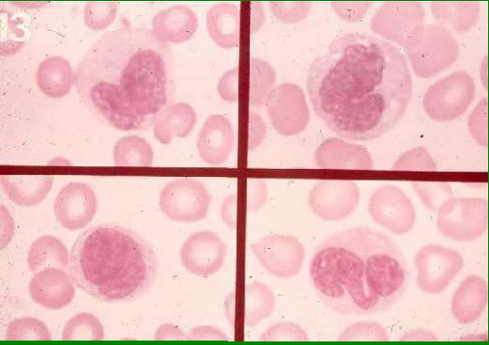
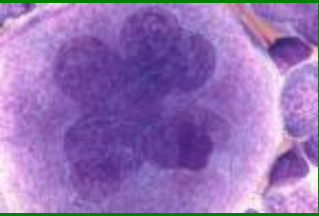
segment

segment

segment

eozinofil

eozinofil

eozinofil

eozinofil

eozinofil

eozinofil

neutrofil

eozinofil

bazofil

bazofil

bazofil

bazofil

bazofil

bazofil

monocyt

monocyt

monocyt

monocyt

lymfoblast

lymfoblast

prolymfocyt

lymfocyt

large granular lymphocyte

plazmatická buňka

megakaryocyt

megakaryocyt

megakaryocyt

megakaryocyt

trombocyt

trombocyt

normoblast (nucleated red blood cell)

bazofilní normoblast

polychromní normoblast

bazofilní normoblast

oxyfilní normoblast

polychromní normoblast

bazofilní normoblast

oxyfilní normoblast

normoblast

normoblast

normoblast

retikulocyt

kostní dřeň s normální buněčností

kostní dřeň s vysokou buněčností