Hematology

0.0(0)
studied byStudied by 0 people
full-widthCall with Kai
GameKnowt Play
learnLearn
examPractice Test
spaced repetitionSpaced Repetition
heart puzzleMatch
flashcardsFlashcards
Card Sorting

1/105

encourage image

There's no tags or description

Looks like no tags are added yet.

Study Analytics
Name
Mastery
Learn
Test
Matching
Spaced

No study sessions yet.

106 Terms

1
New cards

MCV

rbc size

range: 80-100 fL

MCV (fL) = hct (%) / RBC(10^12/L) x 10

2
New cards

increased MCV

>100 fL = macrocytic

megaloblastic anemia

hemolytic anemia w/ reticulocytosis

liver disease

newborn

3
New cards

decreased MCV

<80 fL = microcytic

IDA

thalassemia

sideroblastic anemia

lead poisoning

4
New cards

MCH

weight of hgb in one RBC

26 - 34 pg

MCH (pg) = hgb (g/dL) / RBC (10^12/L) x 10

5
New cards

increased MCH

> 34 pg
macrocytic anemia

6
New cards

decreased MCH

< 26 pg

microcytic, hypochromic anemia

7
New cards

MCHC

color of RBC

32-37 g/dL

MCHC (g/dL) = hgb (g/dL) / hct (%) x 100

8
New cards

increased MCHC

>37 g/dL = hyperchromic

possible error in RBC or hgb measurement

spherocytes

9
New cards

decreased MCHC

<32 g/dL = hypochromic

IDA

thalassemia

10
New cards

RBC

total # of cells

M: 4.5 - 6.0 x 10^12/L
F: 4.0 - 5.5 x 10^12/L

11
New cards

increased RBC count

M: >6.0 ×10^12/L

F: >5.5 ×10^12/L

polycythemia vera (PV)

12
New cards

decreased RBC count

M: <4.5 ×10^12/L

F: <4.0 ×10^12/L

anemia

13
New cards

hgb

oxygen carrier from lungs to tissues

M: 13.5 - 17.5 g/dL

F: 12.0 - 16.0 g/dL

14
New cards

increased hgb

M: >17.5 g/dL

F: >16.0 g/dL

polycythemia

15
New cards

decreased hgb

M: <13.5 g/dL

F: <12.0 g/dL

anemia

16
New cards

hct

ratio of RBCs to total blood; blood viscosity
M: 41 - 53%

F: 36 - 46%

17
New cards

hct purpose

check for anemia

estimate risk of blood viscosity

18
New cards

RDW

variation in RBC size

11.5 - 14.5%

19
New cards

increased RDW

>14.5%

post-txn

post treatment (iron, B12, or folic acid therapy)

presence of two concurrent deficiencies (iron & folic acid deficiencies)

idiopathic sideroblastic anemia

20
New cards

ANC

absolute neutrophil count

1.5 - 8.0 x 10^9/L

ANC = (WBC) x [(% segmented + % bands) / 100] 

21
New cards

increased ANC

>8.0 x 10^9/L = neutrophilia = left shift

> or = 50.0 x 10^9/L = chronic disease (CML) or severe immediate danger (leukemoid reaction)

22
New cards

decreased ANC

<1.5 x 10^9/L = neutropenia

< or = 0.5 x 10^9/L = high risk life-threatening sepsis

23
New cards

plt

initiates hemostasis

150 - 450 x 10^9/L

24
New cards

increased plt count

>450 x 10^9/L = thrombocytosis => clotting risk

25
New cards

decreased plt count

<150 x 10^9/L = thrombocytopenia => bleeding risk

26
New cards

MPV

volume of plt  = gauge BM function

7.8 - 10.2 fL

27
New cards

increased MPV

>10.2 fL = BM making new, large plts

28
New cards

WBC

immune defense

4.0 - 11.0 × 10^9/L

WBC count (cells/mm³) = (# cells counted x DF) / (# squares x 0.1 mm³)

29
New cards

increased WBC count

>11.0 × 10^9/L = immunosuppression, BM failure

30
New cards

decreased WBC count

<4.0 × 10^9/L = infection, inflammation

31
New cards
<p></p>

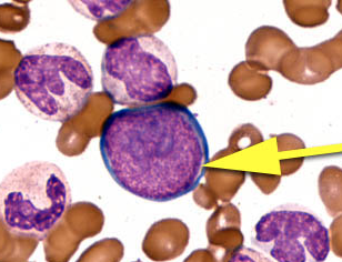
myeloblast

≥20% myeloblasts is diagnostic of Acute Leukemia (AML)

no cytoplasmic granules

32
New cards
<p></p>

promyelocyte

≥20% myeloblasts is diagnostic of Acute Leukemia (AML)

primary granules containing myeloperoxidase

33
New cards
<p></p>

myelocyte

severe marrow release or chronic leukemia (CML)

first stage where granulocyte types can be differentiated (neut, baso, eos)

secondary granules containing alkaline phosphatase & lysozyme

34
New cards
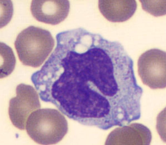
<p></p>

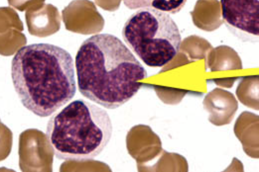
metamyelocyte

kidney bean shape

indicates a significant marrow response (infection/inflammation)

secondary granules

35
New cards
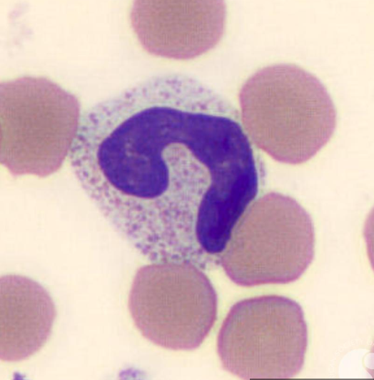
<p></p>

band neutrophil

0 - 0.7 × 10^9/L

no segmentation

secondary granules

36
New cards
<p></p>

segmented neutrophil (PMN)

2.5 - 7.0 × 10^9/L

bacterial

increased = neutrophilia => acute bacterial infection, physical stress, or inflammation

decreased = neutropenia => chemotherapy, severe sepsis, BM failure

37
New cards
<p></p>

eosinophil

0 - 0.4 × 10^9/L

parasitic & allergic

increased = eosinophilia => NAACPP

decreased = eosinopenia => acute stress/high corticosteroids

38
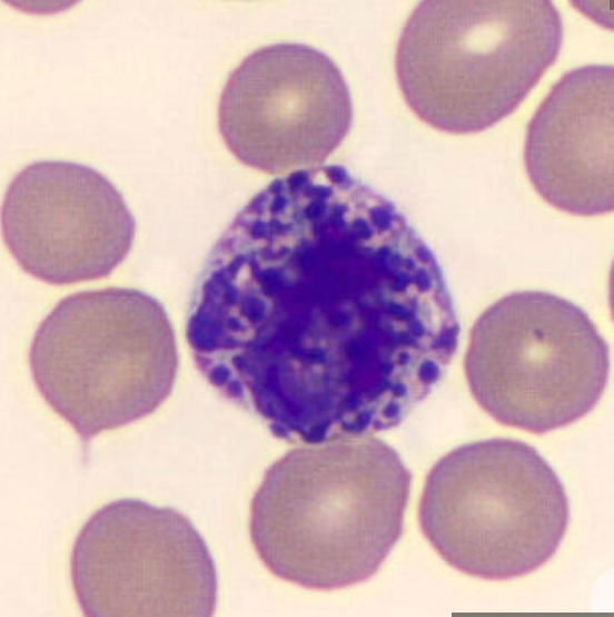
New cards
term image

basophil

0 - 0.2 × 10^9/L

hypersensitivity reaction or allergy

increased = basophilia => CML or hypersensitivity reactions (release histamine)

decreased = basopenia => acute allergic reactions or acute stress

39
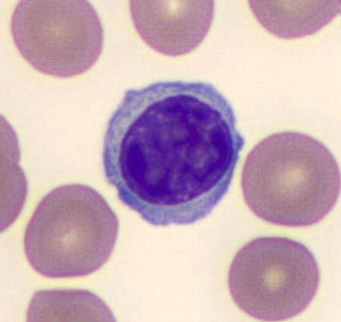
New cards
term image

lymphocyte

1.0 - 4.0 × 10^9/L

increased = lymphocytosis => viral infections, whooping cough

decreased = lymphopenia => immunosuppresssion

40
New cards
term image

monocyte

0.2 - 1.0 × 10^9/L

increased = chronic infections, recovery phase of acute infections, or malignancy

decreased = BM suppression

41
New cards
42
New cards
43
New cards
44
New cards
45
New cards
46
New cards
47
New cards
48
New cards
49
New cards
50
New cards
51
New cards
52
New cards
53
New cards
54
New cards
55
New cards
56
New cards
57
New cards
58
New cards
59
New cards
60
New cards
61
New cards
62
New cards
63
New cards
64
New cards
65
New cards
66
New cards
67
New cards
68
New cards
69
New cards
70
New cards
71
New cards
72
New cards
73
New cards
74
New cards
75
New cards
76
New cards
77
New cards
78
New cards
79
New cards
80
New cards
81
New cards
82
New cards
83
New cards
84
New cards
85
New cards
86
New cards
87
New cards
88
New cards
89
New cards
90
New cards
91
New cards
92
New cards
93
New cards
94
New cards
95
New cards
96
New cards
97
New cards
98
New cards
99
New cards
100
New cards