LD Intro

0.0(0)
studied byStudied by 0 people
full-widthCall with Kai
GameKnowt Play
learnLearn
examPractice Test
spaced repetitionSpaced Repetition
heart puzzleMatch
flashcardsFlashcards
Card Sorting

1/42

encourage image

There's no tags or description

Looks like no tags are added yet.

Study Analytics
Name
Mastery
Learn
Test
Matching
Spaced

No study sessions yet.

43 Terms

1
New cards

-OLDCARTS

-mechanism of injury

-ROS: MSK, neuro, vascular

-Past, medical, social hx

-meds/allergy/immunizations

-physical exam

history

2
New cards

1. inspection for wounds, swelling, discoloration, deformity

2. assessment of range of motion of joint and proximal and distal or injury

3. palpation for tenderness and deformity

4. assessment of neurovascular status

-special testing for non traumatic injury when applicable

physical exam components

3
New cards

-some injury might not need radiographically apparent on first day

-dx of fractures may be purely clinical until 7-10 days after trauma, when enough bony resorption has occured at the fracture site to reveal a lucency on plain radiographs

imaging

4
New cards

-if wound presents in setting of fracture treat as open fracture

-tetanus, abx, ortho consult

-if reducing pain obtain imaging before and after reduction

-examine joint above and below the joint in question

joint exam pearls

5
New cards

-X ray

-CT scan

-MRI

-US

-Serology

diagnostic test of MSK/Rheum

6
New cards

-uses ionizing radiation to produce imaging of internal structures

-2D images of bone and joints

-photons

X ray

7
New cards

-primar imaging of suspected fractures

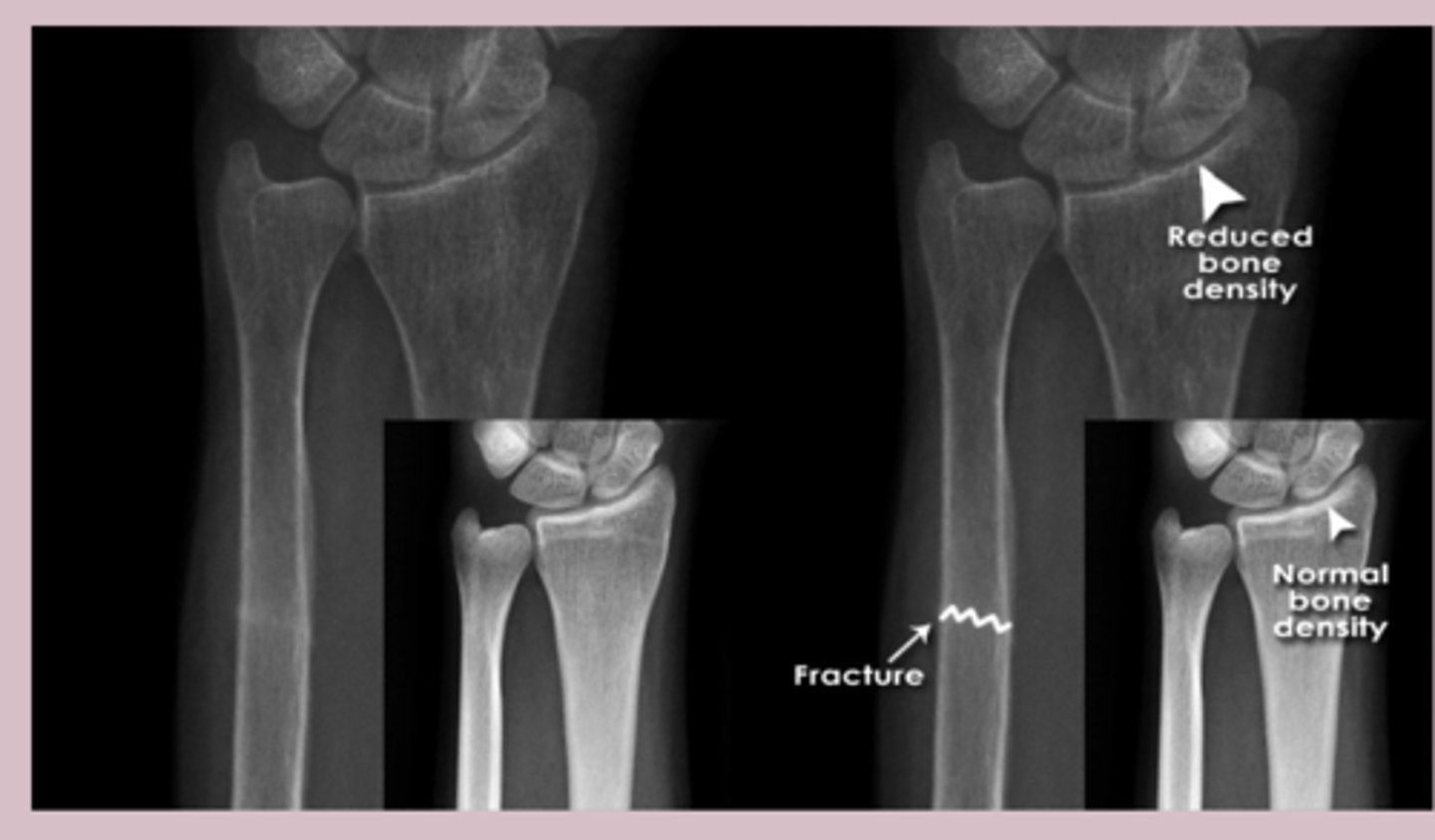
-evaluating joint alignment and deformities

-assessment of bone density

-detection of joint space narrowing

-identify erosion in inflammatory arthritis

-monitor of fracture healing

-visualize calcification

-assessment of spinal alignment

x ray common uses

8
New cards

-quick, widely available

-relatively inexpensive

-good for bone imaging

x ray advantage

9
New cards

-limited soft tissue visualization

-exposure to ionizing radiation

-2D representation of 3D structures

x ray disadvantage

10
New cards

-air attenuates x ray a little

-fat attenuates x ray more than air, less than water

-bone attenuates x ray the most

x-ray attenutation

11
New cards

-two views: AP and Lateral

-tow joints: joint above and below

-two occasion: repeat x ray

-tow limbs: compare

rule of two

12
New cards

-normal bone will show smooth, homogenous cortex surrounding the medullary space

-A: adequacy, alignment

-B: bones

-C: cartilage

-S: soft tissue

x ray interpretation

13
New cards

-anatomic relationship between bone on x ray

-fractures and dislocations may affect alignment

alignment

<p>alignment</p>
14
New cards

-examine for fracture line or distorsions

-length, bone density

bones

<p>bones</p>
15
New cards

-implies to examine the joint space on x ray

-widening of joint space signifies ligamentous injury and fracture

-narrowing of joint space

cartilage

<p>cartilage</p>
16
New cards

-look at soft tissue

-swelling and joint effusions > signs of occult fracture

-foreign body

-air

soft tissue

17
New cards

-uses X ray and computer processing to create detailed cross sectional images

-3D visualization of bones and tissue

CT scan

18
New cards

-preoperative planning for joint replacement

-assessment of spinal conditions

-evaluation of bone tumors

-detailed imaging of joint erosion

-assessment of sacroiliac joint

-evaluation of lung involvement in systemic disease

CT scan common uses

19
New cards

-high resolution 3D images

-excellent for bone detail

-faster than MRI

CT advantages

20
New cards

-higher radiation exposure

-limited soft tissue contrast compared to MRI

-may need contrast agents

CT disadvantage

21
New cards

-uses strong magnetic field and radio waves to produce detailed images

-excellent for soft tissue visualization

MRI

22
New cards

-evaluation of ligament and tendon injury

-assessment of cartilage damage

-diagnosis of stress fracture

-evaluation of spinal cord and nerve root compression

-early detection of inflammatory changes

-assessment of synovial joint

-evaluation fo soft tissue

-monitoring treatment response

MRI common uses

23
New cards

-no ionizing radiation

-superior soft tissue contrast

-can detect early inflammatory changes

MRI advantages

24
New cards

-time consuming

-expensive

-contraindicated in patients with metal implants

MRI disadvantage

25
New cards

-high frequency sound waves to produce real time images of soft tissue and structures

ultrasound

26
New cards

-evaluation of tendon and ligaments

-assessment of joint effusion

-guidance of joint and soft tissue injection

-detection of foreign body

-screen for giant cell

-monitoring treatment

-evaluation of superficial massess

ultrasound common uses

27
New cards

-no ionizing radiaiton

-real time

-can be performed at POC

-allows comparison with contralateral side

-relatively inexpensive

ultrasounds advantages

28
New cards

-high operator dependent

-limited penetration in deep structure

-may have limited utility

-not as effective for bone imaging

ultrasound disadvantages

29
New cards

shoulder

knowt flashcard image
30
New cards

scapula

knowt flashcard image
31
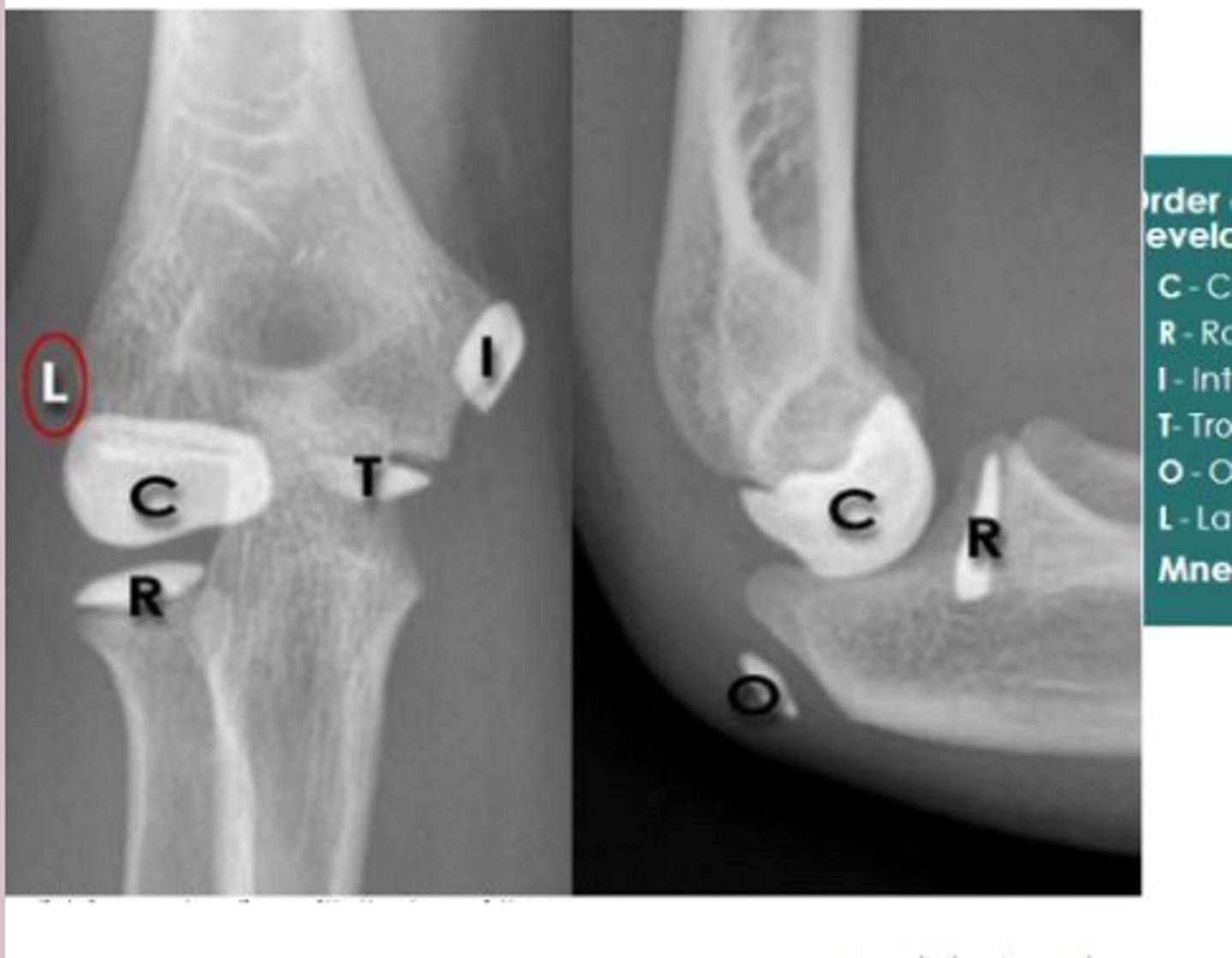
New cards

elbow

knowt flashcard image
32
New cards

elbow lateral

knowt flashcard image
33
New cards

wrist

knowt flashcard image
34
New cards

pelvis

knowt flashcard image
35
New cards

hip

knowt flashcard image
36
New cards

knee

knowt flashcard image
37
New cards

ankle

knowt flashcard image
38
New cards

foot

knowt flashcard image
39
New cards

-transverse

-oblique

-spiral

-comminuted

direction of fracture

<p>direction of fracture</p>
40
New cards

-segmental: two fractures in same bone

-impact: one fragment is driven into another

-compression: bone is crushed

-depression: portion of bone is pushed inward

fracture pattern

<p>fracture pattern</p>
41
New cards

-nondisplaced: bone fragment maintain alignment

-displaced: bone fragment are out of alignment

-angulated: fragments are at an angle to each other

-rotated: one fragment twisted relative to other

-shortened: overlapping fragments reduce the bones normal length

fracture displacement

<p>fracture displacement</p>
42
New cards

closed (simple) fracture

knowt flashcard image
43
New cards

-open wound or break in the skin near the site of broken bone

open (compound) fracture

<p>open (compound) fracture</p>