1/19
Looks like no tags are added yet.
Name | Mastery | Learn | Test | Matching | Spaced | Call with Kai |
|---|
No analytics yet
Send a link to your students to track their progress
Ocular ultrasound
•B-mode US
•Common indications
•Very useful to image inside the globe when you cannot see into the eye e.g. cloudy cornea, cataract
•Measure globe size
•Assess orbital disease, e.g. retrobulbar abscess, FB
Ocular ultrasound- method
•Conscious +/- light sedation
•Topical anaesthetic eye drops to numb cornea
•Direct corneal contact, eyelids open

Figure 11 (practical 1)

Intraocular tumour (melanoma)

Retinal detachment

Cataract

CT and MRI
•Examples of common indications
•Orbital disease, e.g. FB, neoplasia, abscess
•Central blindness, e.g. brain tumour
•Investigation of tear duct disorders
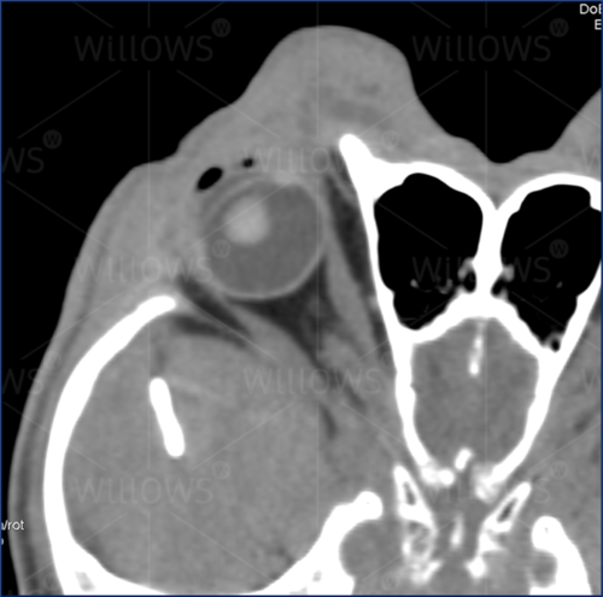
Weimaraner with tumour behind right eye

Dachshund with extraocular polymyositis (muscles around eye are swollen and inflamed)

Labrador with orbital fungal infection

Cat shot in eye by airgun pellet

Terrier with optic neuritis (swollen and inflamed optic nerve)

Labrador with swelling near tear duct

Cat with tear duct infection caused by foreign body (grass seed)

CT scan – normal canine orbit

CT scan – vasculature to canine skull

CT scan - nasal tumour

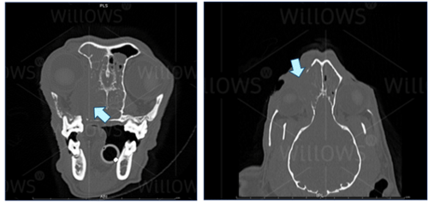
CT scan – skull fracture (dog kicked by horse)

MRI – brain tumour (dog)

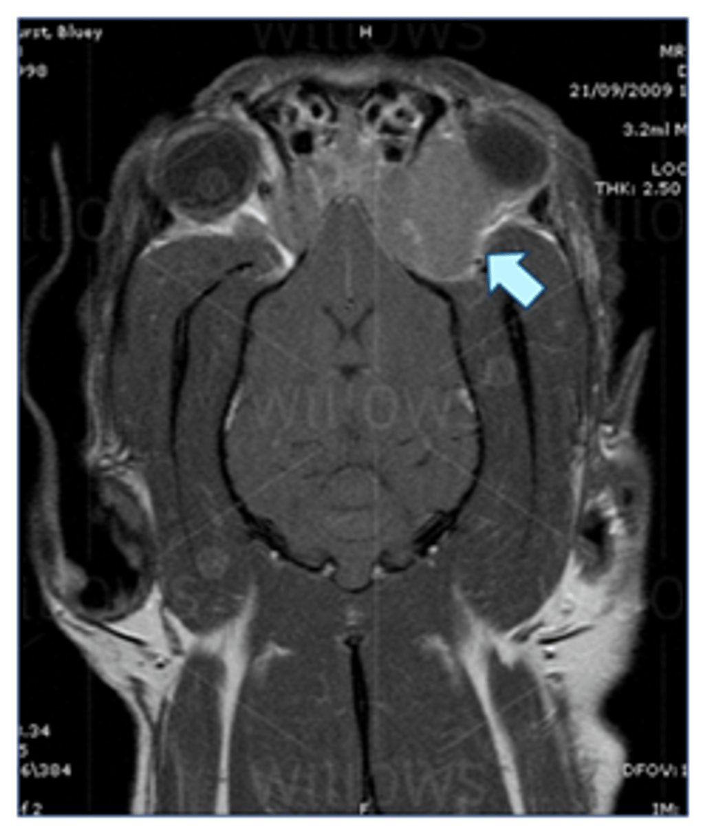
MRI –tumour behind eye (retrobulbar tumour)
