1/43
Looks like no tags are added yet.
Name | Mastery | Learn | Test | Matching | Spaced |
|---|
No study sessions yet.
lymphoma

axis of classification for lymphoma

lymphoma classification schema

clinical presentation of NHL

approach to patient- H&P

approach to pt- imaging

approach to pt- laboratory evaluation

approach to pt- tissue diagnosis

lymphoma staging- Lugano classification

staging and prognosis

cell of origin

lymphomas arising from different parts of the lymph node

diffuse large B-cell lymphoma (DLBCL)

DLBCL classification

DLBCL treatment

____ improves outcomes in DLBCL
-rituximab

1L DLBCL
-polatuzumab vedotin most recent challenger

R-CHOP v. polatuzumab-R-CHP in DLBCL

DLBCL relapsed disease CAR-T therapy

non-Hodgkin lymphoma- radiotherapy

DLBCL- primary CNS lymphoma

lines of therapy

modern tools of the trade- ABCs

treatment algorithm

who can we cure?

Burkitt’s lymphoma

Burkitt’s lymphoma microscopy

indolent lymphomas- general features

indolent lymphomas- distinctiveness

follicular lymphoma

follicular lymphoma karyotype

follicular lymphoma- lymphomagenesis

follicular lymphoma- clinical picture and treatment

follicular treatment of high-tumor burden


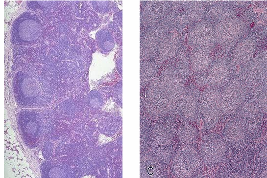
-normal lymph node v. FL
FL morphology and immunophenotype

relapsed FL- novel therapies

marginal zone lymphoma- chronic antigen stimulation

marginal zone lymphoma- chronic antigen stimulation

mantle cell lymphoma

mantle cell lymphoma morphology and immunohistochemistry


surface markers differentiate B cell lymphomas

chemo-man!

B-cell lymphomas summary
