1/5
Shape of cells and # of layers determines the classification of epithelium cells
Name | Mastery | Learn | Test | Matching | Spaced | Call with Kai |
|---|
No analytics yet
Send a link to your students to track their progress
Simple Squamous Epithelium
Location:
Air Sacs of lungs, and the lining of the heart, blood vessels, and lymphatic vessels.
Function:
Allows material to pass through by diffusion and filtration, and secretes lubricating substances.

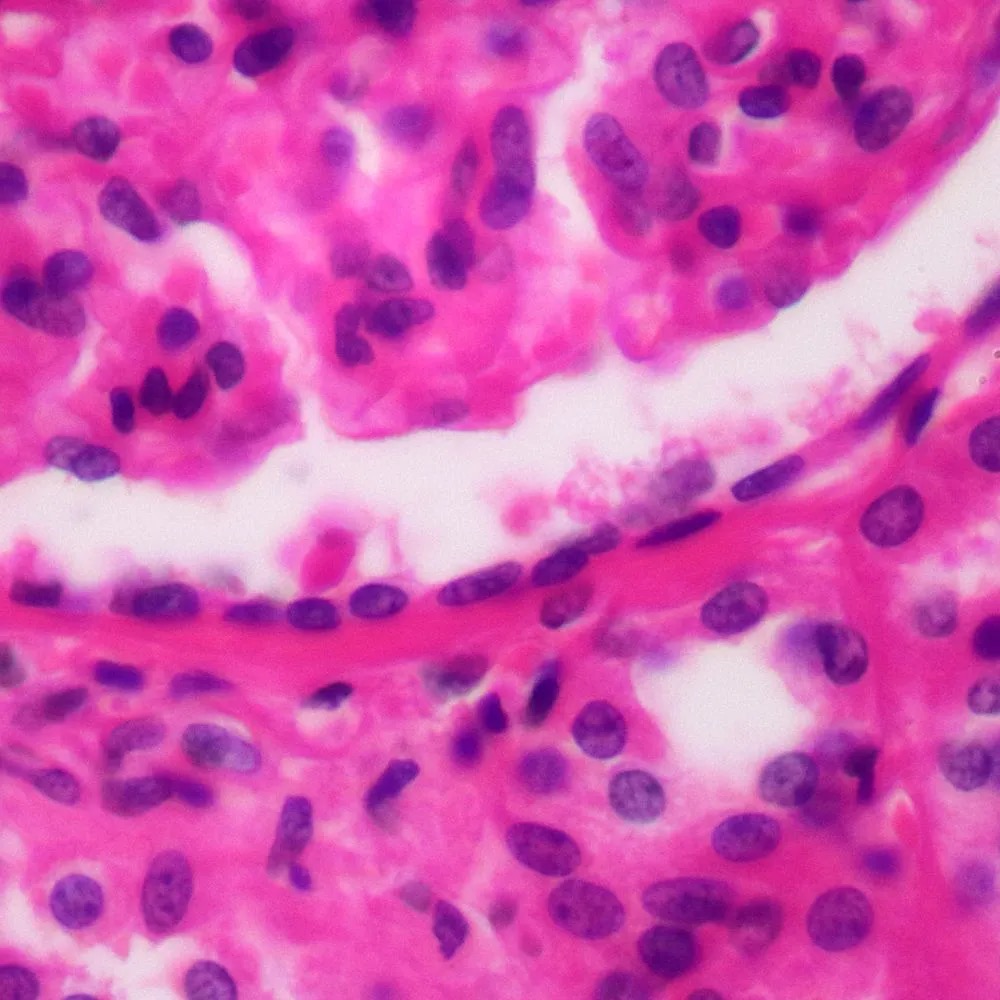
Simple Cuboidal Epithelium
Location:
In ducts and secretory portions of small glands and in kidney tubules
Function
Secretes hormones/enzymes and filters toxins

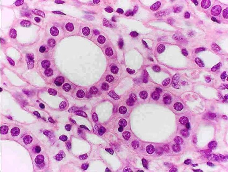
Simple Columnar Epithelium
Location
Ciliated tissues are in bronchi, uterine tubes, and uterus; smooth (conciliated tissues) are in the digestive tract, bladder.
Function:
Absorbs nutrients from food; it also secretes mucous and enzyme

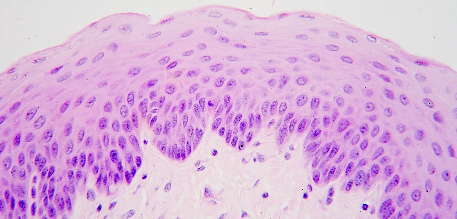
Stratified Squamous Epithelium
Location
Lines the esophagus, mouth, and the vagina
Function
Protects against abrasion


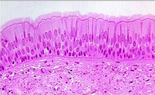
Pseudo-Stratified Columnar Epithelium
Location
Lines the respiratory tract (trachea, upper airways) and parts of the male reproductive/urinary tracts (epididymis, vas deferent, urethra)
Function
Secretes mucus, movement facilitated with cilia

Transitional Epithelium
Location
Lines urinary tract (ureters, bladder, part of the urethra)
Function
Stretches and expands to accommodate urine volume and protect underlying tissues from urine’s acidity and toxins.