1/23
Looks like no tags are added yet.
Name | Mastery | Learn | Test | Matching | Spaced |
|---|
No study sessions yet.

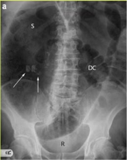
Grafi - Sigmoid volvulus

Grafi - Ülseratif kolit

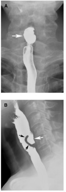
özefagoGrafi - Zenker divertikülü

özefagoGrafi - Akalazya

özefagoGrafi - Diffüz özefageal spazm

özefagoGrafi - Reflü özefajit

özefagoGrafi - Kandida özefajit

Özefagografi - Schatzki halkası

Özefagografi - Ülsere kanser

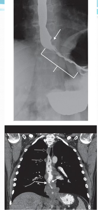
Özefagografi - Boerhaave sendromu

Özefagografi - Özefagus ca

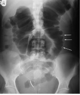
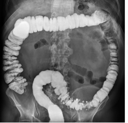
Grafi - Sigmoif divertikülozis

Grafi - Ülseratif kolit

Grafi - Ülseratif kolit

Grafi
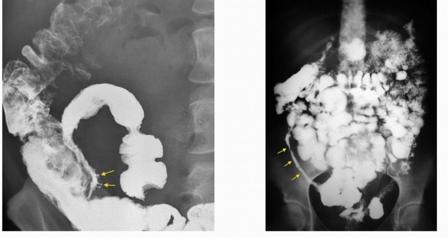
Crohn hastalığı - Rosethorn ülseri
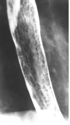
Crohn hastalığı - String sign

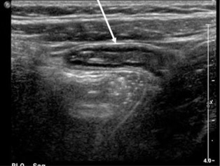
USG - Akut apandisit

USG - Mezenterik lenfadenit

BT - Gastrik kanser

USG - İnvajinasyon

BT - Akut Crohn hastalığı

BT - Pnömobili - intrahepatik safra kanalı ve ana safra kanalında hava

BT - Portal vende hava

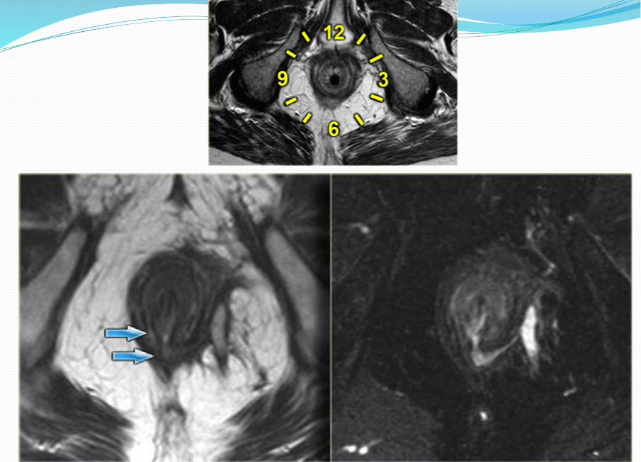
MR - Transsfinkterik fistül

MR - Rektum ca