1/18
Looks like no tags are added yet.
Name | Mastery | Learn | Test | Matching | Spaced |
|---|
No study sessions yet.
composite restorations clincally
tooth colored

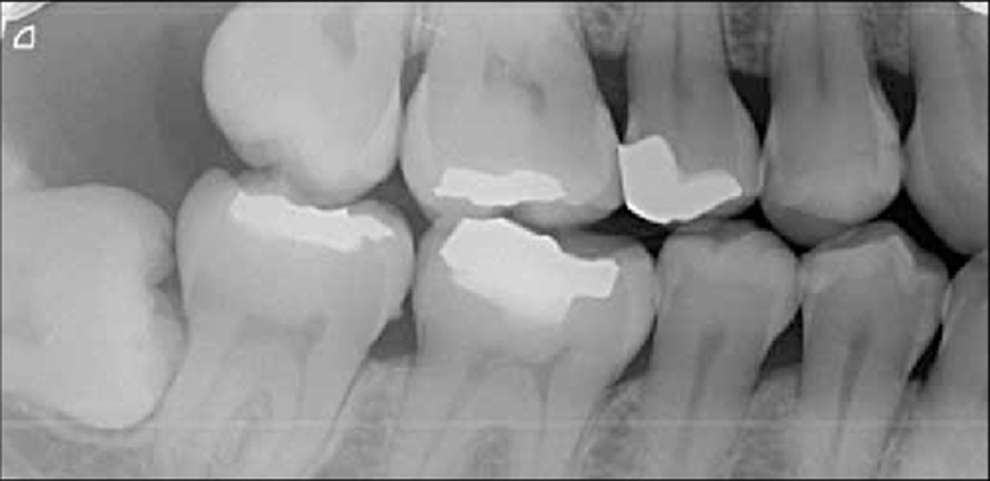
composite restorations radiographically

amalgam restorations look like radiographically

overhang

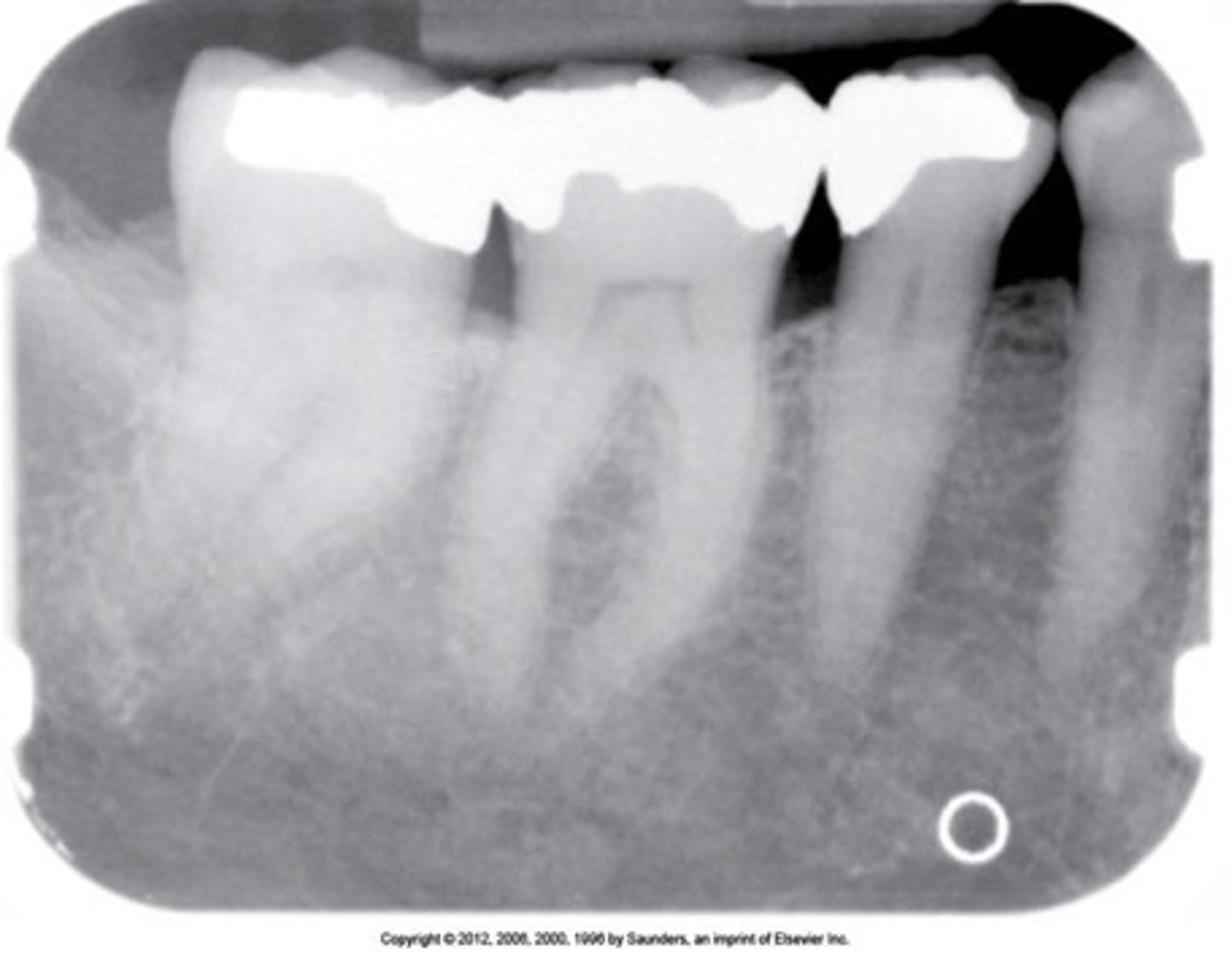
root canal therapy of gutta percha
gutta percha fills root canal
-not as opaque as silver points, diffused

root therapy of silver points

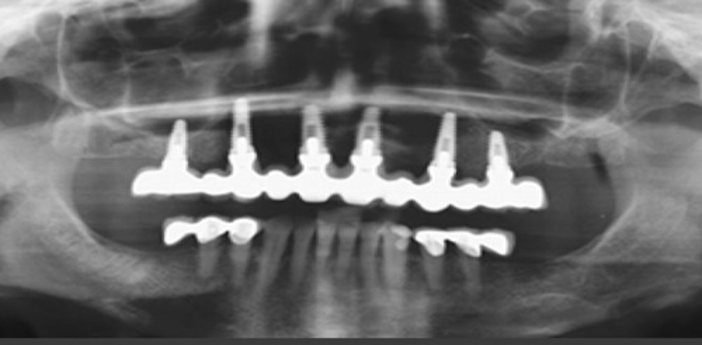
implants

apicoectomy

porcelain fused to metal crowns

full metal crowns

stainless steel crowns

dental bridges

dental bridge radiographically?

dental bridge with implants

splint

archwire

space maintainer

retention pin

base
