1/8
Looks like no tags are added yet.
Name | Mastery | Learn | Test | Matching | Spaced |
|---|
No study sessions yet.
Name the Phylum, Genus, and Motility for Slime Molds
Myxomycota, Physarum, Cytoplasmic Streaming

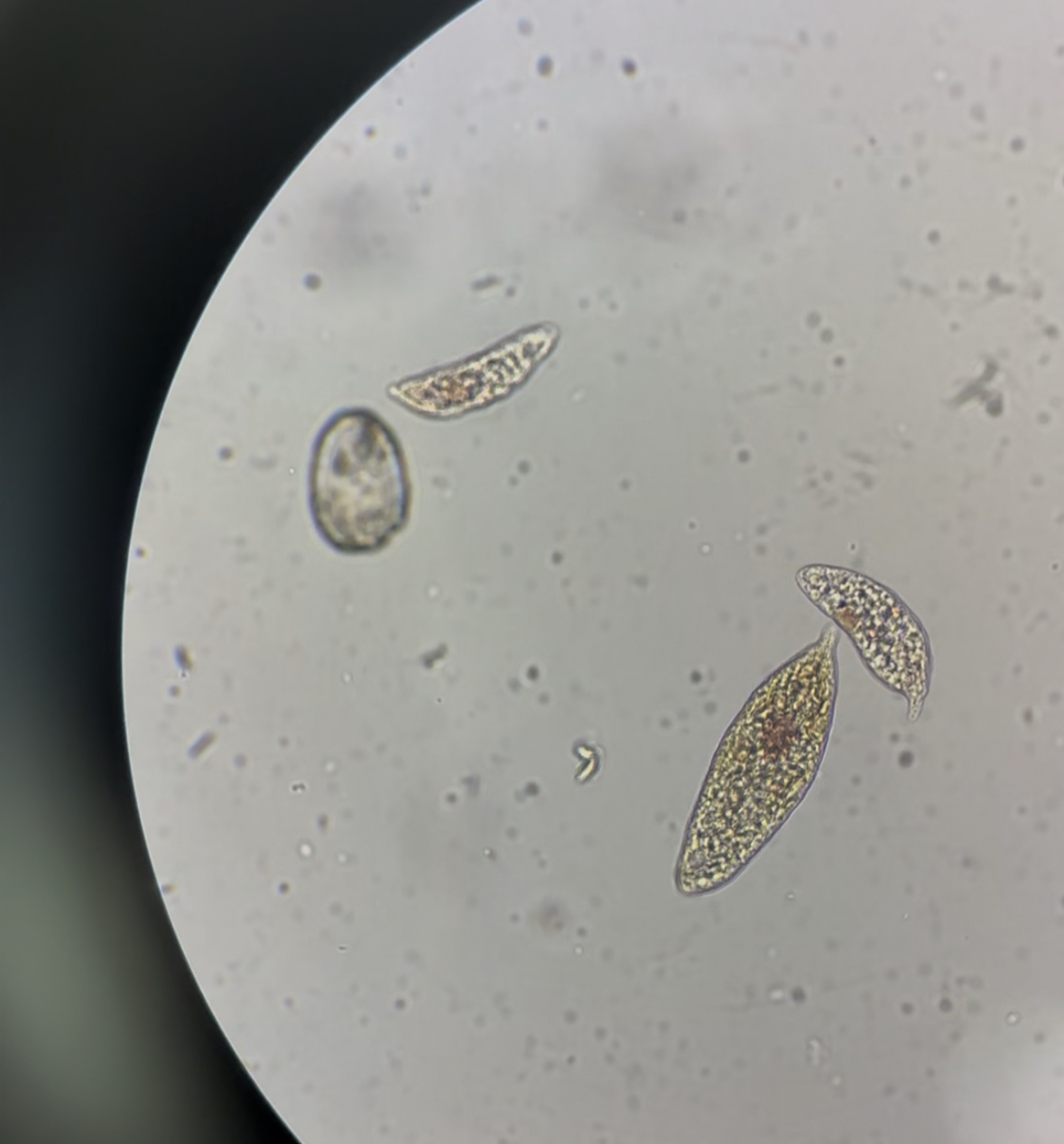
Paramecium
Name the Genuses and Motility for Protozoa
Amoeba - Pseudopodia, Paramecium - Cilia, Euglena - Flagella

Amoeba
Name the Genuses, Sexual Reproduction, and Motility for Algae
Volvox - oogamous & flagella, Spirogyra - isogamous

Euglena

Volvox

Spirogyra

Physarum