Hemorrhage and Thrombosis

0.0(0)
studied byStudied by 0 people
0.0(0)
full-widthCall with Kai
GameKnowt Play
New
learnLearn
examPractice Test
spaced repetitionSpaced Repetition
heart puzzleMatch
flashcardsFlashcards
Card Sorting

1/84

encourage image

There's no tags or description

Looks like no tags are added yet.

Study Analytics
Name
Mastery
Learn
Test
Matching
Spaced

No study sessions yet.

85 Terms

1
New cards

hemorrhage and thrombosIS

failure of hemostatis leads to _________ or ________________

2
New cards

hemorrhage

_________________: Extravascular loss of blood

3
New cards

thrombosis

_____________: Inappropriate formation of intravascular clots

4
New cards

(pulmonary) hemorrhage

What?

<p>What?</p>
5
New cards

(pulmonary intravascular) thrombosis

what?

<p>what?</p>
6
New cards

rhexis

Hemorrhage by "breaking forth, bursting"

<p>Hemorrhage by "breaking forth, bursting"</p>
7
New cards

diapedesis

Hemorrhage by "leaping through" or squeezing out of vessels

<p>Hemorrhage by "leaping through" or squeezing out of vessels</p>
8
New cards

cause, location, severity

WHat determines what a hemorrhage looks like

9
New cards

petechia

If blood spots are roughly 1-2 mm they are called _____________

10
New cards

purpura

If blood spots are roughly 3 mm - 1 cm they are called _____________

11
New cards

ecchymosis

If blood spots are roughly 1-3 cm they are called _____________

12
New cards

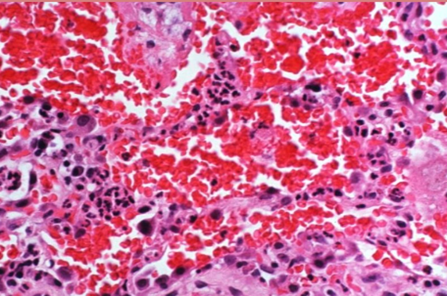
petechia

what type of blood spot on this kidney?

<p>what type of blood spot on this kidney?</p>
13
New cards

ecchymosis

What type of blood spot on this kidney?

<p>What type of blood spot on this kidney?</p>
14
New cards

suffusive hemorrhage

________________Larger continuous areas of hemorrhage

15
New cards

hematoma

______________: focal, confined hemorrhage

16
New cards

hemo-

what prefix do we tend to use to describe a blood filled cavity?

17
New cards

until extravascular pressure matches the pressure in the vessel

How long do hematomas continue to grow?

18
New cards

aural hematoma

What?

<p>What?</p>
19
New cards

hemothorax

what?

<p>what?</p>
20
New cards

hemopericardium

What?

<p>What?</p>
21
New cards

petechiae and ecchymoses

hemorrhage by diapedesis results in _______ and ______________

22
New cards

cutaneous petechiae and ecchymoses

what?

<p>what?</p>
23
New cards

minor defects (endothelial damage); defects of primary hemostasis (platelet defects, von Wilebrand disease)

What can cause hemorrhage by dispedesis?

24
New cards

trauma, extensive damage by infectious damage

what can cause hemorrhage by rhexis?

25
New cards

endothelial cells, coagulation factors, platelets

Abnormal function of what leads to hemorrhage? (3)

26
New cards

Trauma, inflammation, Infectious Disease, Genetic Disorders, Nutritional Disorders

What are some causes of hemorrhage in the blood vessels?

27
New cards

trauma

_____________: hemorrhage due to Physical disruption of blood vessel wall

28
New cards

type III hypersensitivity, feline infectious peritonitis, (FIP is Type IV)

If blood vessels begin to lead rbcs due to inflammation, what type of reaction are we looking at? WHat are specific examples?

29
New cards

Epizootic Hemorrhagic Disease Virus,

Vasculitis and hemorrhage due to endothelial injury

what is an example of infectious disease based hemorrhage?

Why is hemorrhage caused by this?

30
New cards

Ehlers-Danlos Syndrome, Dermatosparaxis

fragile skin and blood vessels; more likely to break and bleed

what are some examples of hemorrhage from genetic disease?

Why does this lead to hemorrhage?

31
New cards

ehlers-danlos syndrome

What

<p>What</p>
32
New cards

dermatosporaxis

disease of collagen molecule, in which the NT domain persists instead of cleaving, that causes skin to have consistency of wet blotting paper.

<p>disease of collagen molecule, in which the NT domain persists instead of cleaving, that causes skin to have consistency of wet blotting paper.</p>
33
New cards

Vitamin C deficiency/scurvy

what is the most notable nutritional disorder that causes hemorrhage?

34
New cards

ascorbic acid (vit C), proline, lysine, hydroxyproline, hydroxylysine, collagen cross-links

__________________ serves as an enzyme cofactor that is required for the hydroxylation of ________- and ____________. without __________ and _____________, there is impaired formation of the ___________ so we can't form clots.

35
New cards

deficient and defective collagen synthesis

What is the reason scurvy causes hemorrhage in SIMPLE terms

36
New cards

true

true/false: Vit C also required for synthesis of dopamine, norepinephrine, epinephrine, carnitine, for wound healing, conversion of cholesterol into bile acids, as an antioxidant, etc...

37
New cards

loose teeth, fragile vessels

why does scurvy lead to hemorrhage specifically around the teeth or joint capsules?

38
New cards

the defective collagen leads to really disorganized and messy areas like this

why does scurvy look like this?

<p>why does scurvy look like this?</p>
39
New cards

decreased numbers, abnormal function

what two things lead to hemorrhage because of platelet issues?

40
New cards

thrombocytopenia

_______________________: decreased numbers of platelets

41
New cards

decreased production, increased destruction, increased use, (also sequestration but she didn't say that)

what leads to a thrombocytopenia?

42
New cards

megakaryocyte damage/destruction; radiation injury, estrogen toxicity, cytotoxic drugs, viral disease (parvo)

What causes decreased platelet production? (One general reason, 4 specific reasons, 1 SUPER specific reason)

43
New cards

immune mediated, drug reaction, viral diseases (equine infectious anemia)

what causes increased destruction of platelets?

44
New cards

diffuse endothelial damage, generalized platelet activation (DIC)

what are some examples of increased platelet use?

45
New cards

thrombocytopathy

______________________ = decreased function of platelets

46
New cards

- deficient in surface receptors, von willebrand disease

- NSAIDs (aspirin), Renal failure (uremia)

give two examples of a hereditary thrombocytopathy

and two of an acquired thrombocytopathy

47
New cards

hemophilia A - deficient in factor VIII

hemophilia B - deficient in factor IX

what are the X-linked hemophilia?

48
New cards

liver disease, vitamin K deficiency

what are some general issues that can cause decreased coagulation factor production

49
New cards

decreased synthesis

why can liver disease cause fewer coag factors?

50
New cards

moldy sweet clover, warfarin, sulfaquinoxaline

what are some vitamin K deficiency causes?

- dicumarol in _________________--

- anti-coagulant rodenticides like ______________

- _________________

51
New cards

DIC

whats the main example of hemorrhage due to increased use of coag factors?

52
New cards

disseminated intravascular coagulation

hemorrhage can occur with decreased platelets or abnormal platelet function. Decreased platelet numbers due to increased use is associated with ___________

53
New cards

liver issues

hemorrhage due to decreased coagulation factors is associated with ___________

54
New cards

bone marrow issues

decreased platelet numbers due to decreased platelet production is associated with _________________

55
New cards

immune mediated disease

decreased platelet numbers due to increased platelet destruction is associated with _______________

56
New cards

physiological

What type of thrombus is Part of normal hemostasis; rapidly resolved

57
New cards

pathological

what type of thrombus is persistent or inappropriate

58
New cards

vascular injury, altered blood flow, hypercoagulability

what are the three things in virchow's triad that lead to thrombosis?

59
New cards

endothelial injury/vascular injury

which corner of Virchow's triad is most important to vet med?

60
New cards

increased procoagulants, decreased anticoagulants

what two things are stimulated by alterations to the endothelium?

61
New cards

subendothelial collagen, Tissue Factor, platelet

After endothelial injury:::::: these four things happen

Exposure of________________

Release of _____________

____________ adherence and activation

Local depletion of Prostacyclin and Tissue Plasminogen Activator

62
New cards

stasis, turbulence

abnormal blood flow increases risk of thrombosis. What are the two abnormalities?

63
New cards

true

true/false: in normal laminar blood flow the Cells flow centrally in the blood vessel separated from the endothelium by a thin layer of plasma

64
New cards

heart failure,

vascular obstruction/dilation

if there is a stasis systemically, it's likely from ___________

if there is one locally its probably _______________

65
New cards

acumulation of activated coag factors, platelets contacting the endothelium

what two things do slow flow rates favor?

66
New cards

where vessels branch, narrowing of vessel lumens, site of venous/lymphatic valves

where is turbulence greatest/most likely?

67
New cards

mixes up the blood, increases coag factor interaction with other factors AND with endothelium

how does turbulence put you more at risk or a thrombosis?

68
New cards

true! (decrease degradation)

true/false: Hypercoagulability reflects an increase OR DECREASE in the concentration of activated hemostatic proteins

69
New cards

inflammation

what is the most common cause of hypercoagulability?

70
New cards

attached to the vessel/heart wall

key point about thrombi: they are ALWAYS _________________________

71
New cards

endothelial damage

arterial thrombi are usually initiated by ________________--

72
New cards

platelets and fibrin

arterial thrombi are primarily made of _______________________

73
New cards

DULL, tan/red/gray, +/- vessel occlusion, tail extends downstream, laminated appearance

The shape and appearance of arterial thrombi are due to the rapid blood flow there... describe the appearance:

74
New cards

lines of Zahn, arterial thrombi

______________________: Alternating layers of platelets, interspersed by fibrin intermixed with erythrocytes and leukocytes

These are more often found in [arterial/venous] thrombi

75
New cards

stasis

venous thrombi most often occur in areas of ____________

76
New cards

incorporate RBCs, platelets, fibrin, WBCs

because the blood is moving slowly or is still, thrombi in veins typically include lots more things and are composed of __________________________ (4)

77
New cards

gelatinous, soft, glistening, dark reed, occlusive, often extend upstream

describe the appearance of a veinous thrombi

78
New cards

arterial thrombi

What is this?

<p>What is this?</p>
79
New cards

veinous thrombi

what is this

<p>what is this</p>
80
New cards

arterial thrombi

what is this

<p>what is this</p>
81
New cards

lines of zahn

what is this?

<p>what is this?</p>
82
New cards

veinous thrombi

what is this?

<p>what is this?</p>
83
New cards

arterial

arterial or veinous thrombi?

<p>arterial or veinous thrombi?</p>
84
New cards

softer, NO POINT OF ATTACHMENT, no associated lesions, dark red (currant jelly) or yellow (chicken fat)

what are some characteristics of postmeortem clots?

85
New cards

location, ability to disrupt perfusion

significance of a thrombus is determined by its ____________ and ___________________ in a dependant tissue