Primary + Mixed Dentition

0.0(0)
studied byStudied by 0 people
0.0(0)
full-widthCall Kai
learnLearn
examPractice Test
spaced repetitionSpaced Repetition
heart puzzleMatch
flashcardsFlashcards
GameKnowt Play
Card Sorting

1/15

encourage image

There's no tags or description

Looks like no tags are added yet.

Study Analytics
Name
Mastery
Learn
Test
Matching
Spaced

No study sessions yet.

16 Terms

1
New cards

Why this matters

 Identify primary vs permanent teeth on radiographs

 Avoid confusing normal growth with pathology

 Detect abnormalities or disturbances

 Essential for charting and pediatric/adolescent DHD

2
New cards

Learning objectives

1. Identify the primary teeth and eruption patterns of the permanent teeth as viewed on dental images.

2. Identify and describe the radiographic appearance of primary and mixed dentition.

3. Identify and describe the radiographic appearance of the following structures: primary root, root canal, crown, enamel

4. Explain the different radiographic appearance between the primary and permanent dentition

5. Explain eruption sequence of primary and permanent dentition

3
New cards
<p>Three periods of dentition </p>

Three periods of dentition

Primary

Mixed

Permanent 

<p>Primary</p><p>Mixed</p><p>Permanent&nbsp;</p>
4
New cards

Primary Dentition Stage

knowt flashcard image
5
New cards

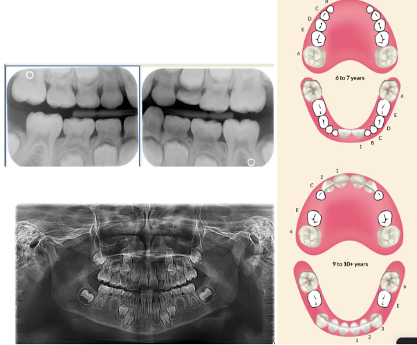
Mixed dentition stage

knowt flashcard image
6
New cards

Permanent dentition stage 

knowt flashcard image
7
New cards

Tooth eruption sequence

knowt flashcard image
8
New cards

Eruption sequence (permanent teeth)

knowt flashcard image
9
New cards

Morphological differences

Primary:

  • shorter

  • narrow occlusal table

  • constricted in the cervical portion 

Permanent:

  • bigger

  • broad occlusal table

  • cervical constriction is not well marked 

<p><strong><u>Primary:</u></strong></p><ul><li><p>shorter</p></li><li><p>narrow occlusal table</p></li><li><p>constricted in the cervical portion&nbsp;</p></li></ul><p><strong><u>Permanent:</u></strong></p><ul><li><p>bigger</p></li><li><p>broad occlusal table</p></li><li><p>cervical constriction is not well marked&nbsp;</p></li></ul><p></p>
10
New cards

Primary characteristics

 Thinner enamel and dentin layers

 Enamel rods in the cervical area directed occlusally

 Broad flat contacts

 Color is usually lighter

 Mesio-buccal cervical bulge seen in primary molars

 Incisors have no developmental grooves

  • Mamelons

<p><span><strong> Thinner enamel and dentin layers </strong></span></p><p><span><strong> Enamel rods in the cervical area directed occlusally </strong></span></p><p><span><strong> Broad flat contacts </strong></span></p><p><span><strong> Color is usually lighter</strong></span></p><p><span><strong> Mesio-buccal cervical bulge seen in primary molars </strong></span></p><p><span><strong> Incisors have no developmental grooves </strong></span></p><ul><li><p><span><strong>Mamelons  </strong></span></p></li></ul><p></p>
11
New cards

Permanent Characteristics

 Thick enamel and dentin

 Enamel rods in the cervical are directed gingivally

 Point contacts

 Color is much darker (not as white)

 Have mamelons

 Less prominent cervical bulge in molars

<p><span><strong> Thick enamel and dentin </strong></span></p><p><span><strong> Enamel rods in the cervical are directed gingivally </strong></span></p><p><span><strong> Point contacts </strong></span></p><p><span><strong> Color is much darker (not as white)</strong></span></p><p><span><strong> Have mamelons </strong></span></p><p><span><strong> Less prominent cervical bulge in molars </strong></span></p>
12
New cards
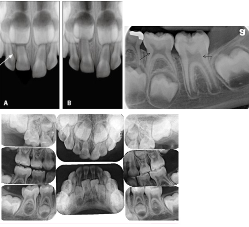
<p><span><strong>How to use the differences in identifying the dentition in </strong></span><strong>radiographs: start with the roots&nbsp;</strong></p>

How to use the differences in identifying the dentition in radiographs: start with the roots 

knowt flashcard image
13
New cards
<p><span><strong>How to use the differences in identifying the dentition in </strong></span><strong>radiographs: look at the pulp</strong></p>

How to use the differences in identifying the dentition in radiographs: look at the pulp

knowt flashcard image
14
New cards

Key differences to identify primary vs permanent dentition

 Enamel and dentin are thinner in primary

 Pulp chamber is wider

 Pulp horn is more prominent

 Smaller root trunk for primary

<p><span><strong> Enamel and dentin are thinner in primary </strong></span></p><p><span><strong> Pulp chamber is wider </strong></span></p><p><span><strong> Pulp horn is more prominent </strong></span></p><p><span><strong> Smaller root trunk for primary</strong></span></p>
15
New cards

Normal eruption patterns

 As a permanent tooth develops, the root length increases and it moves into position by “pushing out” the primary tooth

 While this is happening, the primary tooth root starts to resorb and shorten

 What is happening in this radiograph?

 Primary molars

  • Flared roots

  • Resorption

 Permanent molars

  • Straighter, longer roots

  • Roots still forming

  • Apical foramen open & wide

Follicular space

  • RL area surrounding developing tooth

  • Normal

<p><span> As a permanent tooth develops, the root length increases and it moves into position by “pushing out” the primary tooth </span></p><p><span> While this is happening, the primary tooth root starts to resorb and shorten </span></p><p><span> What is happening in this radiograph? </span></p><p><span><strong> Primary molars </strong></span></p><ul><li><p><span>Flared roots </span></p></li><li><p><span>Resorption<strong> </strong></span></p></li></ul><p><span><strong> Permanent molars </strong></span></p><ul><li><p><span>Straighter, longer roots<strong> </strong></span></p></li><li><p><span>Roots still forming </span></p></li><li><p><span>Apical foramen open &amp; wide<strong> </strong></span></p></li></ul><p><span><strong>Follicular space </strong></span></p><ul><li><p><span>RL area surrounding developing tooth </span></p></li><li><p><span>Normal<strong> </strong></span></p></li></ul><p></p>
16
New cards

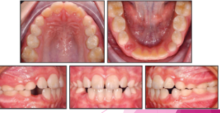
Dental charting

knowt flashcard image