1/25
Looks like no tags are added yet.
Name | Mastery | Learn | Test | Matching | Spaced |
|---|
No study sessions yet.
Inguinal canal

spermatic cord

Testes
tunica albuginea

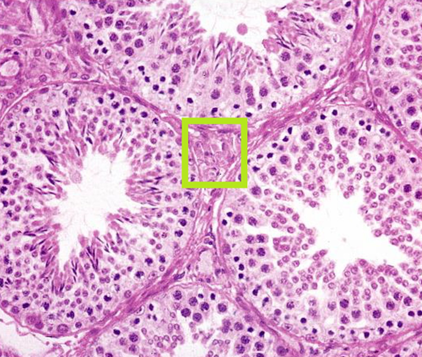
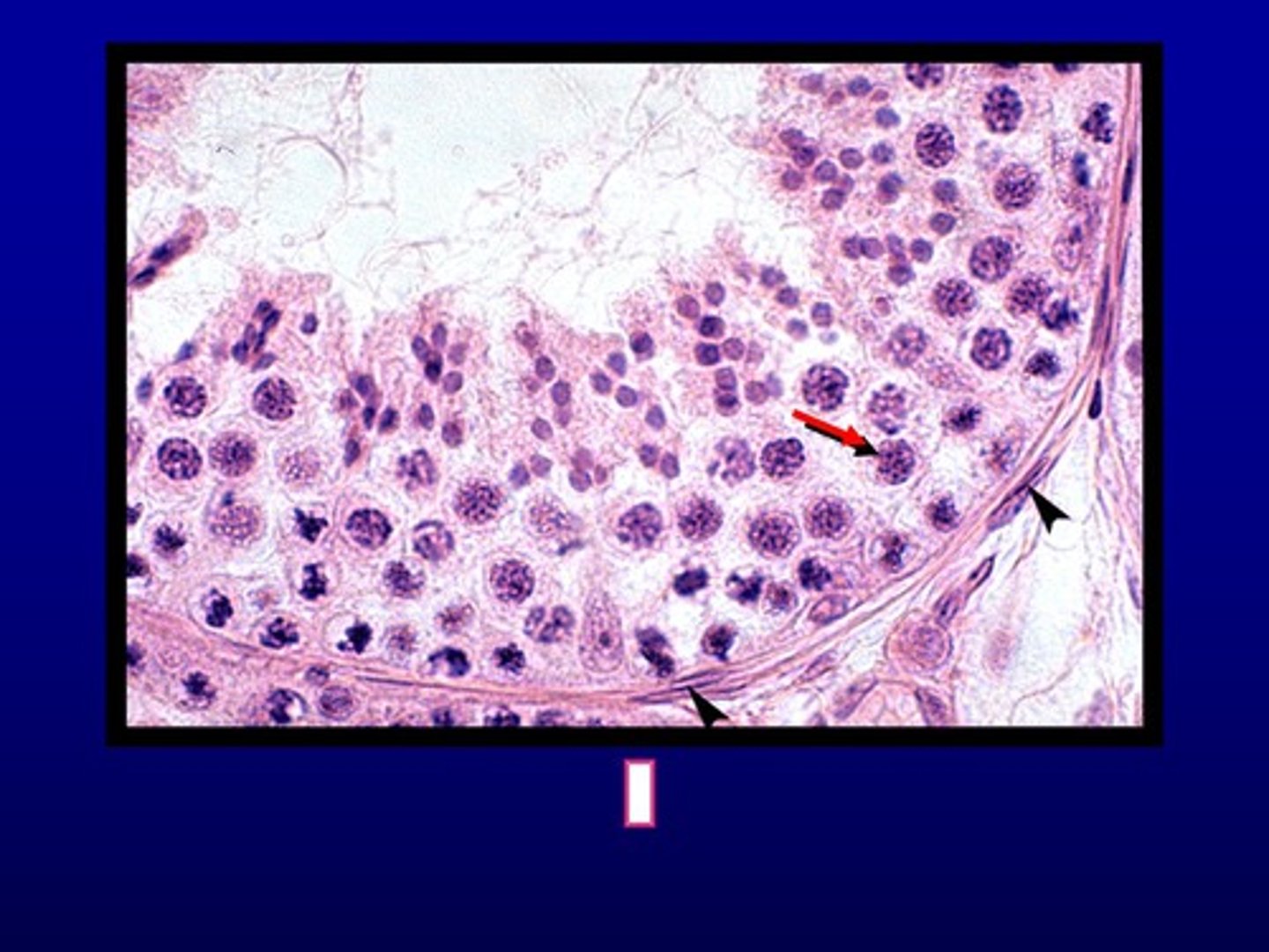
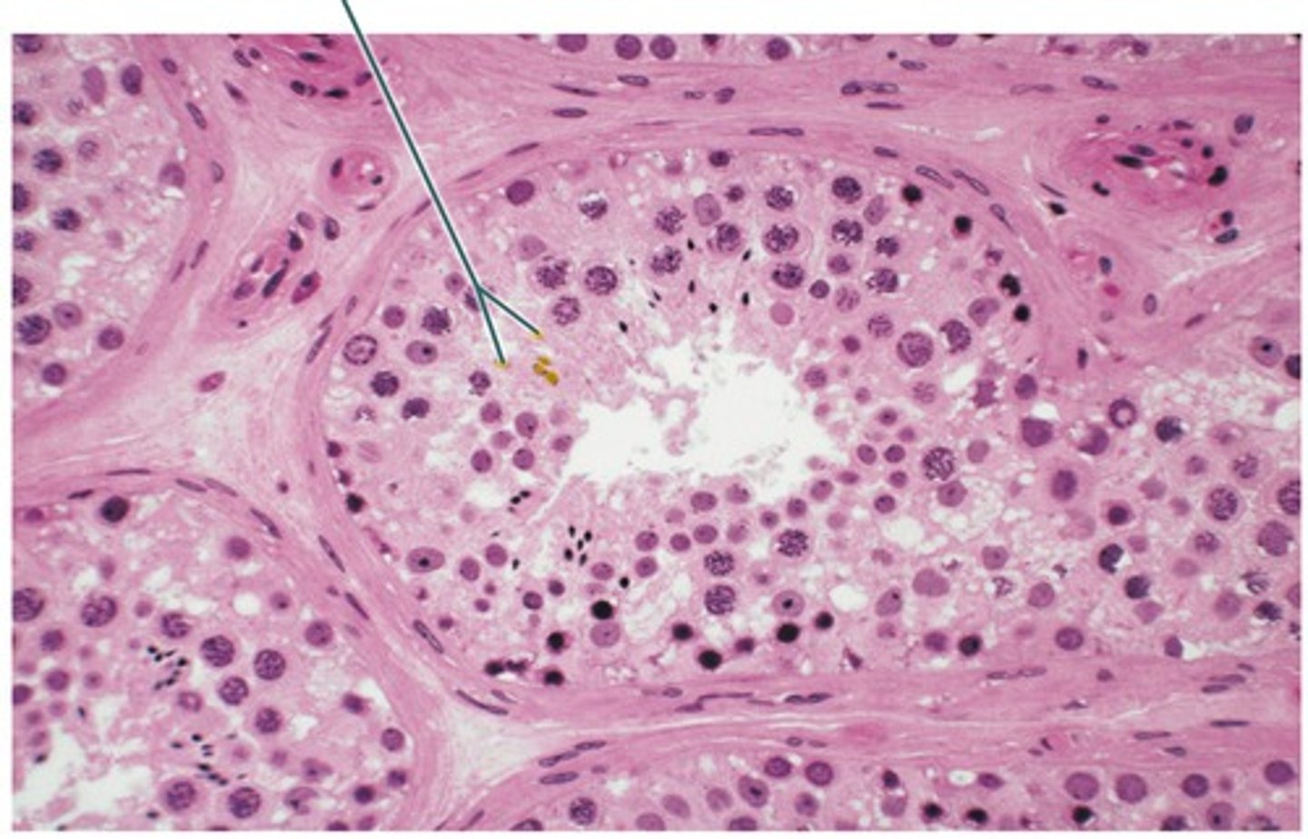
seminiferous tubules

Epididymis

ductus (vas) deferens

ejaculatory duct

Accessory Glands

prostate gland

bulbourethral glands

Crura

Erectile tissues

external urethral orifice

interstitial cells

seminiferous tubules

sustentacular cells

Spermatogonia

primary spermatocyte

Secondary spermatocyte

Spermatids

head of sperm

midpiece of sperm

tail of sperm

Prepuce

Perineum
