1/682
Looks like no tags are added yet.
Name | Mastery | Learn | Test | Matching | Spaced |
|---|
No study sessions yet.
Zone corticale
1 Thymus

Zone médulllaire
2 Thymus

Subdivision incomplète
3 thymus

Travée interlobulaire
4 thymus

Capsule
5 thymus


Tissu conjonctif
1 thymus

Lame basale
2 thymus

Cellules épithélilaes
3 thymus

Lymphocytes T
4 Thymus

Corpuscule de Hassal
5 thymus

Macrophage
6 thymus

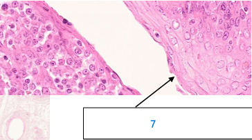
Lymphocytes
7 thymus

Follicules lymphoïdes activé
1 Amygdales palatines

Couronne du follicule
2 amygdales palatines

Zone thymo-dépendante
3 amygdales palatines

crypte
4 amygdales palatines

Lymphocytes B et centroblastes
5 amygdales palatines

Immunoblastes
6 amygdales palatines

Epidermoïde (épithélium pavimenteux stratifié non kératinisé)
7 amygdales palatines

Epidermoïde (épithélium pavimenteux stratifié)
8 amygdales palatines

Lymphocyte B
9 amygdales palatines

Sinus marginal
1 Ganglions lymphatiques

Capsule
2 Ganglions lymphatiques

Cortex (+ lymphocyte B)
3 Ganglions lymphatiques

Zone paracorticale (+ Lymphocyte T)
4 Ganglions lymphatiques

Zone médullaire (+ lymphocyte B)
5 Ganglions lymphatiques

Endothélium de la veinule
8 Ganglions lymphatiques

Veinule post-capillaire
7 Ganglions lymphatiques

Artère de la Hile
6 Ganglions lymphatiques

Fibre de réticuline
9 Ganglions lymphatiques

Tissu conjonctif réticulé
10 Ganglions Lymphatiques

Cellules capsulaires
11 Ganglions Lymphatiques

Lymphocyte
13 Ganglions Lymphatiques

Capsule fibreuse
12 Ganglions Lymphatiques

Macrophage
14 Ganglions Lymphatiques

Sinus médullaire
15 Ganglions Lymphatiques

Cordon médulaire
16 Ganglions Lymphatiques

Capsule + mésothélium (simple pavimenteux)
1 rate

Pulpe rouge
2 rate

Gaine lymphatique avec follicule lymphatique
3 rate

Artériole centrale
4 rate

Artère trabéculaire venant du Hile
5 rate

Trabécule
6 rate

Lymphocyte T
7 rate

Artériole trabéculaire
8 rate

Veinule
9 rate

pulpe rouge
10 rate

cellule endothéliale
11 rate

trabécule
12 rate

Sinus veineux
13 rate

parenchyme
14 rate

Lumière
1

Muqueuse
2

Cellules caliciformes
3

Glande de Lieberkhun
4

Sous muqueuse
5

Follicule lymphatique
6

Musculeuse
7

Séreuse
8

Améloblaste
1

2

Dentine
3

Odonblaste
4

Pulpe dentaire
5

Améloblaste
1

Email (95% minéralisé)
2

Dentine (75% minéralisé)
3

Odonblaste
4

Pulpe dentaire
5

Cémentoblastes
6
Cément
7

Alvéole de la dent
8

Os dentaire
9

Papille caliciforme
1 langue

Bourgeons gustatif
2 langue

Canal excréteur des glande de Von-Hebner
3 langue

Muscle (strié squelettique)
4

Glande muqueuse
5 langue

Glande VOn-Hebner
6 langue

Papille caliciforme
1 langue

Bourgeon gustatif (+ poil vers la lumière)
2 langue

Cellule sensorielle
3 langue

Cellule de soutien
4 langue

Glande salivaire
5 langue

Glande de Von-Hebner
6 langue

Papille filiforme kératinisée
7 langue

Lumière
1 oesophage

Muqueuse avec épidermoïde (pavimenteux stratifié non kératinisé)
2 oesophage

Muscularius mucosa discontinue
3 oesophage

Sous muqueuse
4 oesophage

Musculeuse
5 oesophage

muscle strié
6 oesophage

Muscle strié + lisse
7 oesophage

muscle lisse
8 oesophage

Artère
1 oesophage

veine
2 oesophage

ilot lymphoïde
3 oesophage

Oesopohage
1

Cardia
2

Fundus
3
