1/203
Looks like no tags are added yet.
Name | Mastery | Learn | Test | Matching | Spaced |
|---|
No study sessions yet.
lesser wings

anterior clinoid process

superior surface

superior orbital fissure

optic foramen (canal)

greater wings

orbital surface

temporal surface

cerebral surface

inferior orbital fissure

foramen rotundum

foramen ovale

foramen spinosum

foramen lacerum

sella turcica

tuberculum sellae

hypophyseal fossa

dorsum sellae

posterior clinoid process

anterior clivus

sphenoid crest

pterygoid processes

pterygoid fossa

medial pterygoid plate

hamulus of the medial pterygoid plate

lateral pterygoid plate

sphenoid sinuses

frontonasal suture

nasal aperture

lacrimal groove for lacrimal bone

posterior lacrimal crest

nasolacrimal canal

horizontal plate

median palatine suture (palatine part)

transverse palatine suture (palatine part)

posterior nasal spine

perpendicular plate

inferior nasal conchae

vomer

symphysis

body

mental protuberance

mental tubercles

mental foramen

alveolar process

dental alveoli
holes where teeth are places
superior and inferior mental spines
can see on real bone

ramus of mandible

mandibular foramen

oblique line

coronoid process

mandibular notch

mandibular angle

condylar process

neck of condyle

mandibular condyle

crista galli

cribriform plate

olfactory foramina

perpendicular plate

lateral mass

orbital plate

perpendicular plate

middle nasal conchae

superior nasal conchae

body

greater horn

lesser horn

squamous part
big flat portion/ thin
zygomatic process of the temporal bone
contributes to zygomatic arch
- most anterior projection

articular tubercle

tympanic part
ear hole and things around it

external acoustic meatus
ear hole

mandibular fossa
depression under zygomatic process of temporal bone and next to external acoustic meatus

mastoid part
posterior portion of temporal bone
mastoid process (temporal)

mastoid notch

mastoid foramen

petrous part
on the internal surface that you can hold on to
carotid canal
hole on the very end of the petrous part/ another opening next to the styloid process

styloid process

stylomastoid foramen

internal acoustic meatus
hole on the side of the petrous part

temporal process of the zygomatic bone

frontal process of the zygomatic bone

maxillary process of the zygomatic bone

zygomatic arch
temporal process of zygomatic bone and zygomatic process of temporal bone
zygomaticofacial foramen

sagittal suture

coronal suture

lambdoid suture

squamous suture

metopic suture
unfused in young children, only present in a few adults

anterior cranial fossa

middle cranial fossa

posterior cranial fossa

parietal eminence
bump on the parietal bone

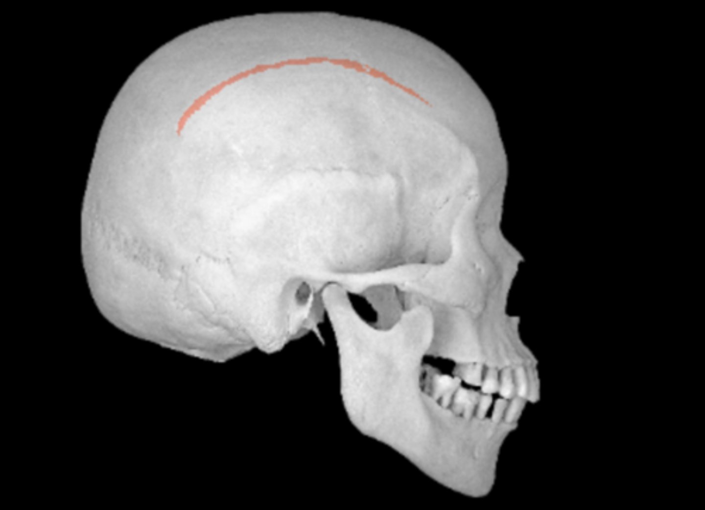
superior temporal line

inferior temporal line
