1/21
Looks like no tags are added yet.
Name | Mastery | Learn | Test | Matching | Spaced | Call with Kai |
|---|
No study sessions yet.

Identify 4 joints ? What view? WHAT IS THAT ?
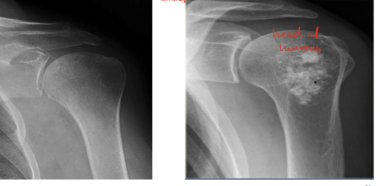
Sholder Joint
AcromioClavicular Joint
ThoracoScapular Joint
SternoClavicular Joint
— Antero-Posterior View
— X-ray of shoulder

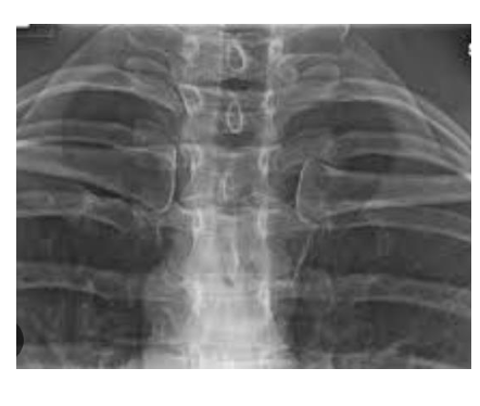
Identify the structure ? View?
Postero-Anterior, Chest

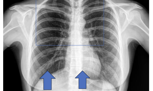
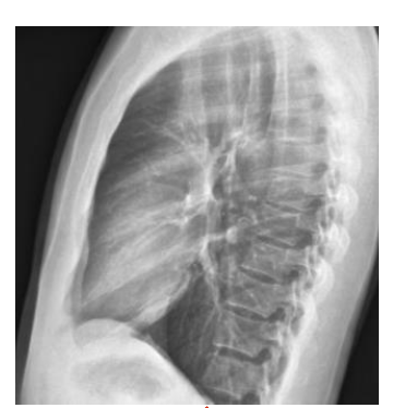
Identify the structure ? View?
Sternum, Lateral View

Identify the structure ? View?
Postero-Anterior, Chest

Identify the structures ? name of the bone ?
— Humerus
• 1, Clavicle.
• 2, Acromion.
• 3, Greater tubercle.
• 4, Lesser tubercle.
• 5, Neck of the humerus
• 6, Humerus.
• 7, Coracoid Process.
• 8, Scapula
• 9, Rib.
• Arrow, Glenohumeral joint space.

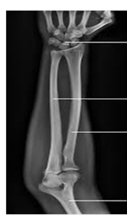
Identify the structures ? name of the bone ? View?
— Antero-Posterior
X-ray of forearm
Carpal bones
Ulna
Radius
Humerus

Identify the structures ? view?
AP
Elbow Joint

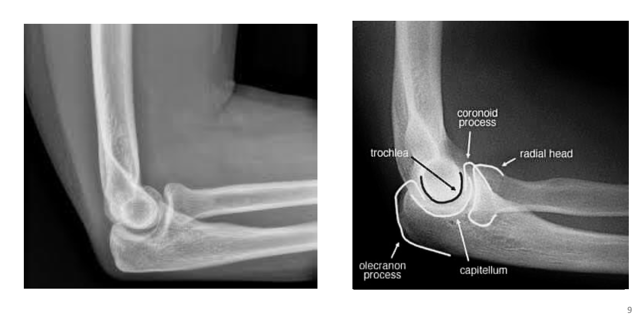
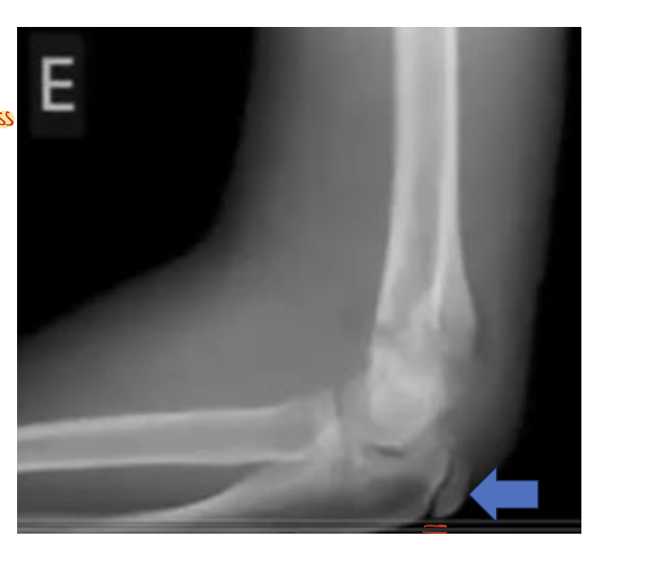
Identify the structures ? view?
Elbow Joint, Lateral View

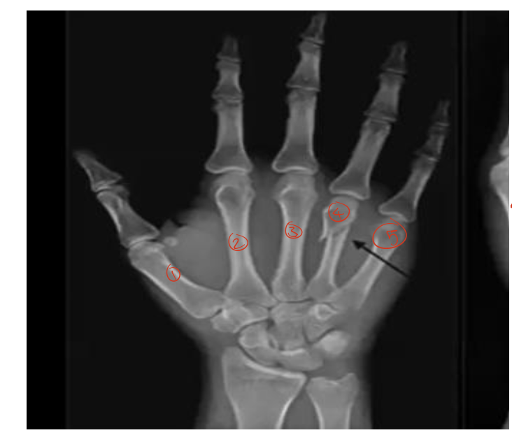
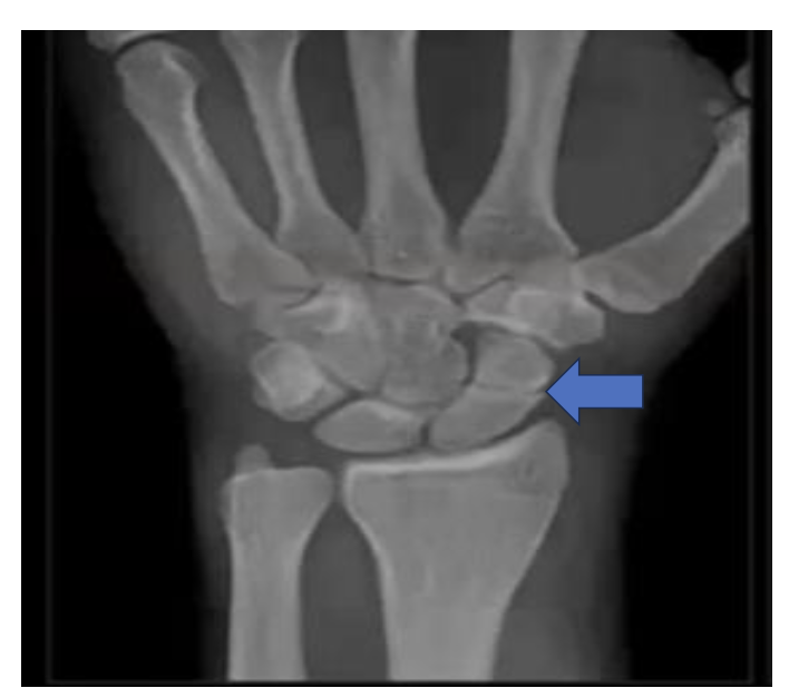
Identify the structures ? view? what joint ?
Wrist joint -AP
Scaphoid
Lunate
Triquetrum
Pisiform
Trapezium
Trapezoid
Capitate
Hamate

?
-


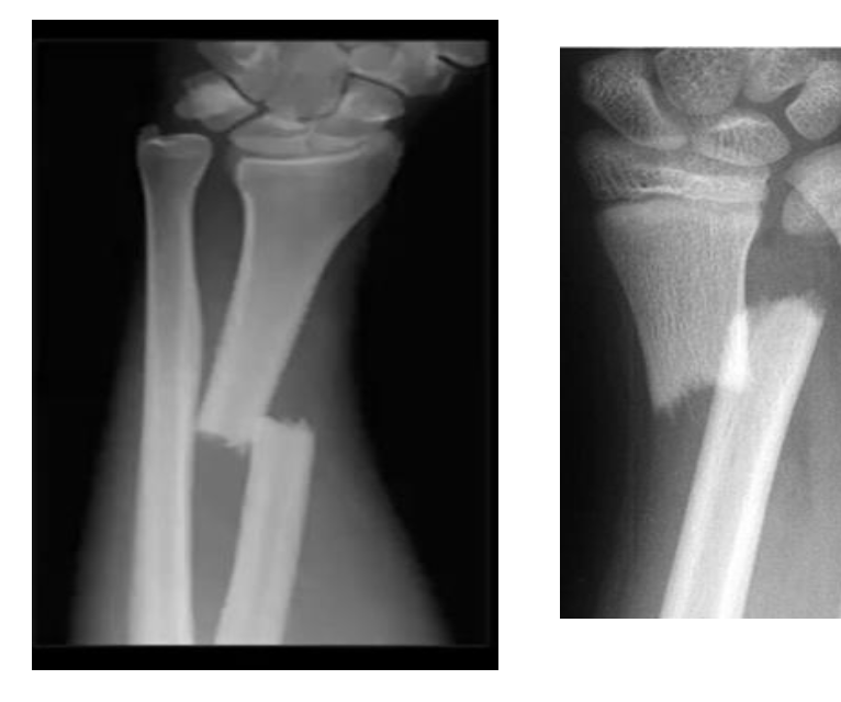
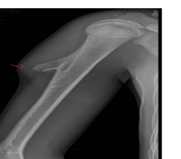
type of fracture ?
/


SAY everything




















