Haemolymphatic 1: Canine Lymphoma

0.0(0)
studied byStudied by 0 people
0.0(0)
full-widthCall with Kai
GameKnowt Play
New
learnLearn
examPractice Test
spaced repetitionSpaced Repetition
heart puzzleMatch
flashcardsFlashcards
Card Sorting

1/49

flashcard set

Earn XP

Description and Tags

Understand the common clinical presentations of dogs with lymphoma, and differential diagnoses • Describe the diagnosis and staging of lymphoma • Understand and distinguish between treatment options for lymphoma, and how to describe treatment response • Understand the potential toxicities of treatment

Study Analytics
Name
Mastery
Learn
Test
Matching
Spaced

No study sessions yet.

50 Terms

1
New cards

Lymphoproliferative Diseases

LYMPHOMA – neoplastic change arises in peripheral lymphoid tissues • Lymphoid leukaemias – neoplastic change arises in the bone marrow • Myeloma – B-cell tumour, usually functional

2
New cards

prevalence, age, breed predispo, aetiology?

About 8.5% of canine malignancies – 79 dogs per 100,000 per year – commonest haemopoietic tumour • Middle aged dogs – Median 5-9 years – Any age from 6m • Bullmastiff and Boxer predisposition – Airedales, Bassetts, others • Aetiology unknown

3
New cards

clasiscal presentatios:

most common?

multicentric

Lymphoma: Cranial Mediastina

Lymphoma: Alimentary

4
New cards

clinical signs of multicentric lymphoma

84% of lymphoma cases in dogs • Marked non-painful lymph node enlargement – regional lymph node enlargement more common in cats • Hepatosplenomegaly • Depression – non-specific malaise • Pyrexia (endogenous pytogen) • PU/PD

5
New cards

Lymphoma: Cranial Mediastina

? Younger dogs • Lethargy, exercise intolerance • Respiratory distress – Large mass/effusion • Cough (occasional dog) (dc why) • Weight loss • Regurgitation/dysphagia • PU/PD • Vena cava syndrome (big massblocks venous return—> odema)

6
New cards

Lymphoma: Alimentary

Middle aged and older dogs • Insidious weight loss • Diarrhoea • Malabsorption/PLE • Occasionally vomiting – gastric involvement, secondary gastritis, obstruction • Hyporexia • Rectal lymphoma has better prognosis

7
New cards

Lymphoma: Extranodal

Skin • Primary cutaneous lymphoma – Epitheliotrophic (cells gather tgt at epithelium) – Mycosis fungoides – various presentation: Exfoliative erythroderma, pruritus, mucocutaneous lesions, plaques, nodules, oral disease • Non-epitheliotrophic lymphoma – erythema, nodules, plaques

CNS – signs depend on site • Ocular – uveitis, hyphaema • Renal – malaise, PU/PD – azotaemia – abdominal mass • Nasal – obstruction, epistaxis, nasal discharge

8
New cards

Paraneoplastic Syndromes

Hypercalcaemia – 10-33% of dogs • Hypergammaglobulinaemia – 5-6% of canine lymphomas • Immune mediated disease – IMHA; IMTP; polyarthritis – rare in cats • May be presenting sign • (Hypoglycaemia, uncommon)

9
New cards

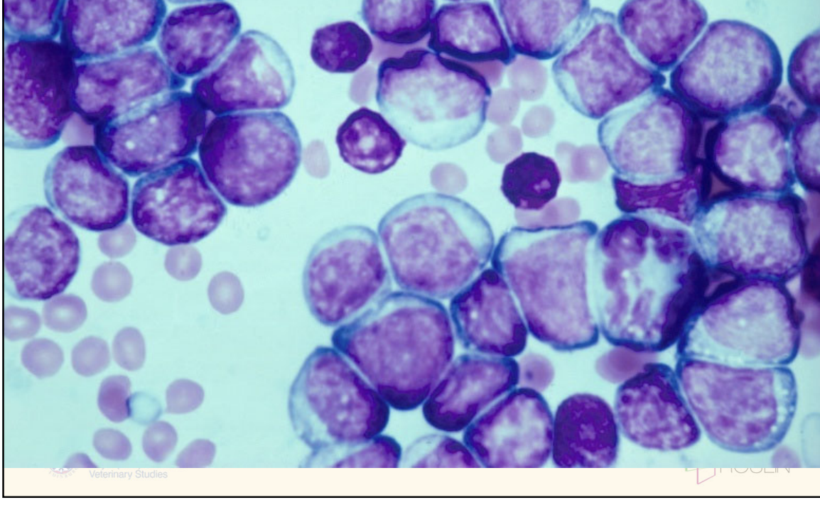
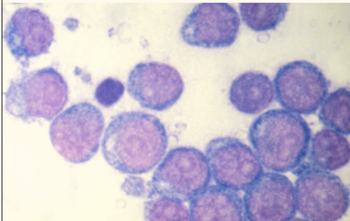
disagnosis forlympho,a

• FNA diagnostic in 90% of dogs • Dogs generally have diffuse, lymphoblastic lymphoma • Use needle only technique or minimal suction (fragile cell) • Don’t apply too much pressure when smearing • Take samples from popliteal node – Avoid submandibular node (often reactive 2dry to dental disease) • Monomorphic population of large lymphoblasts (>50%) – Clumped chromatin, nucleoli – Basophilic cytoplasm – Mitoses • (Remember thymoma)

<p>• FNA diagnostic in 90% of dogs • Dogs generally have diffuse, lymphoblastic lymphoma • Use needle only technique or minimal suction (fragile cell) • Don’t apply too much pressure when smearing • Take samples from <strong>popliteal node</strong> – Avoid submandibular node (often reactive 2dry to dental disease) • Monomorphic population of large lymphoblasts (&gt;50%) – Clumped chromatin, nucleoli – Basophilic cytoplasm – Mitoses • (Remember thymoma)</p>
10
New cards
term image

basopghillic cytoplasm, bigger, nuce

11
New cards
knowt flashcard image
12
New cards

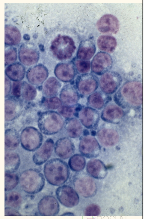
Lymphoma di=agnosis: Cytology dififculty

Small cell lymphomas cannot be diagnosed cytologically • Mixed/low grade lymphomas may look like reactive node • Some epitheliotrophic lymphomas have small lymphocytes • Can be difficult to rule out thymoma

13
New cards

lymphoma disagnosis: biopsy

Excisional biopsy of node – Popliteal usually best – Avoid submandibular – Make sure adequately fixed • Avoid Trucut needle biopsies • Wedge biopsy from extranodal lesion or enormous node

14
New cards

Lymphoma: additional diagnostics

Immunophenotyping : $$, takes 2-4 weeks

  • based on specific cell surface markers for different lineages and stages of differentiation (CD or cluster of differntiation markers) – Immunohistochemistry – Flow cytometry – Immunocytochemistry

PARR

  • PCR for Antigen Receptor Rearrangements (PARR)

15
New cards

describe immunoi=histochemistry fro

can do for both t and b cell

<p>can do for both t and b cell</p>
16
New cards

lymphoma diagonstic: flow cytometry

Laser based technology • Assesses cell population in fluid • Measure multiple characteristics of cells by light scatter and fluorescence using lasers – quantify leukocytes and differentiate cell types (eg lymphoma/ leukemia?) – largely based upon fluorescent dye (fluorochrome) labelled antibodies to CD antigens – if the proportion of neoplastic cells in the sample is low, flow will not help diagnose lymphoma • Larger panel of antibodies available than for IHC/ICC – Better classification of cell types • Difficult lymphomas, leukaemias • Good for cases when biopsy is difficult – e.g. some CNS lymphomas

17
New cards

Lymphoma Diagnostic tests: PARR

decided reactive/ neoplastic; detect clonalituy

PCR for Antigen Receptor Rearrangements (PARR) • Specialised PCR which amplifies either – Immunoglobulin gene (from B cells) or – T cell receptor gene (from T cells) • Assessment of clonality – Neoplastic populations are monoclonal – Most reactive populations are polyclonal

Differentiating reactive and neoplastic disease • Small clonal population (so not obvious on routine cytology/histopathology or sometimes on flow) • Not a stand alone test – should be interpreted with the other diagnostic tests • Specificity is generally very high, sensitivity less so • A negative PARR result DOES NOT rule out lymphoma – >75% of confirmed canine lymphoma positive – 65% of confirmed feline lymphoma positive • PARR can contribute to diagnosis of both canine and feline IBD – Especially small cell lymphomas – Value is in high specificity but has relatively low sensitivity

<p>decided reactive/ neoplastic; detect clonalituy</p><p></p><p>PCR for Antigen Receptor Rearrangements (PARR) • Specialised PCR which amplifies either – Immunoglobulin gene (from B cells) or – T cell receptor gene (from T cells) • Assessment of clonality – Neoplastic populations are monoclonal – Most reactive populations are polyclonal</p><p></p><p>Differentiating reactive and neoplastic disease • Small clonal population (so not obvious on routine cytology/histopathology or sometimes on flow) • Not a stand alone test – should be interpreted with the other diagnostic tests • Specificity is generally very high, sensitivity less so • A negative PARR result DOES NOT rule out lymphoma – &gt;75% of confirmed canine lymphoma positive – 65% of confirmed feline lymphoma positive • PARR can contribute to diagnosis of both canine and feline IBD – Especially small cell lymphomas – Value is in high specificity but has relatively low sensitivity</p>
18
New cards

ahow to tell t or b cell?

• Agarose gel of PCR for clonal rearrangements in the B cell receptor (Igs

19
New cards

importance of clin path in canine lymphoma

Required before chemotherapy • Haematology non-specific in most cases – Neutrophilia, thrombocytopenia, lymphopenia, eosinopenia – Mild non-regenerative anaemia – Lymphocytosis uncommon (<10%) – Abnormal lymphoid cells in up to 25% (may be very low numbers from overspill) • Biochemistry may reflect organ involvement – Hepatic parameters, renal parameters – Hypoalbuminaemia – Paraneoplastic hypercalcaemia, hypergammaglobulinaemia • Cobalamin – Reduced mainly in GI cases, but some multicentric – In multicentric may be associated with poor prognosis – Supplement!

20
New cards

how to tell bone marrow involvement?

Probably 20-30% of dogs with lymphoma have bone marrow involvement • Ideally do BM aspirate and core biopsies in all cases but • Haematology is a poor indicator of marrow involvement

21
New cards

chest xray in canine lymphoma

Lat and DV sufficient

  • Lymph node enlargement – cranial mediastinal, suprasternal, tracheobronchial nodes and thymus

  • Pulmonary infiltration – variable appearance, difficult to differentiate from age change – micronodular interstitial pattern

  • Pleural effusion

  • consider comorbidity

<p>Lat and DV sufficient </p><ul><li><p>Lymph node enlargement – cranial mediastinal, suprasternal, tracheobronchial nodes and thymus </p></li><li><p>Pulmonary infiltration – variable appearance, difficult to differentiate from age change – micronodular interstitial pattern </p></li><li><p>Pleural effusion </p></li><li><p>consider comorbidity</p></li></ul><p></p>
22
New cards
term image
23
New cards
term image

st density over it, lung pinged up

gfluid filled

24
New cards

Diagnostic Imaging: AXR

• Internal lymph node enlargement – medial iliac (sublumbar) lymphadenopathy – (mesenteric lymphadenopathy) • Hepatosplenomegaly • Peritoneal effusion • Concurrent disease

25
New cards

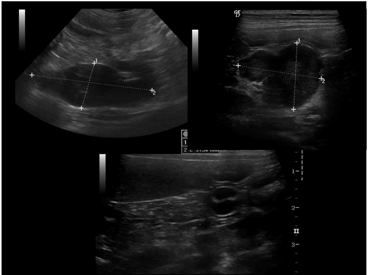
Diagnostic Imaging: Ultrasound

Parenchymatous organs • Occasional classical “ocelot’s pelt” lesions esp spleen – Appearance can be very variable • Guidance for FNAs/tru-cut biopsies – Cranial mediastinal – Renal • Useful for imaging gut: layering • Mesenteric and hepatic lymph nodes • Remember there are many possible causes of mesenteric lymphadenopathy

moniter remission

26
New cards

what is this

enlarged LN

hypochoeic, v heterogenouss

27
New cards

staging system of canine lymphoma

staging is a poor indicatio of prognosis ubtil end tage

<p>staging is a poor indicatio of prognosis ubtil end tage</p>
28
New cards

poor prognosis factors

: Poor Prognostic Indicators • T cell tumours • Systemic illness (substage b) • Stage V disease – Bone marrow, CNS involvement • Grade • Hypercalcaemia • Site – Cutaneous lymphoma – Alimentary lymphoma • Hypoalbuminaemia • Poor response to treatment • Pre-treatment with corticosteroids (multidrug resistance)

29
New cards

Treatment of Lymphoma

None • Corticosteroids • Single agent chemotherapy (doxo)

Combination chemotherapy – COP regimes • Vincristine, cyclophosphamide, prednisolone – CHOP regimes • Include doxorubicin/epirubicin • Madison Wisconsin multidrug • Non-continuous CHOP regimes – No maintenance • PATIENTS ARE INDIVIDUALS

30
New cards

Prednisolone in lymhpoma

• Measurable response in 50% • Median survival time 2-3m • Resistant to subsequent chemotherapy • Toxicity – Iatrogenic hyperadrenocorticism • PU/PD • Polyphagia • Obesity • Skin and hair changes • Muscle wastage • GI ulceration • Pancreatitis

31
New cards

Single agent doxorubicin

70% of dogs achieve CR • Median remission time 170 days • Antitumour antibiotic/anthracycline • Multiple mechanisms of action – Intercalation between base pairs – Inhibition of topoisomerase enzymes • Cell cycle phase non-specific (more active in the S phase) • Metabolised mainly by the liver • Mainly faecal excretion

32
New cards

Doxorubicin and Epirubicin (CHOP): Toxicity

SEVERE perivascular vesicant • Anaphylaxis – Premed with chlorpheniramine for doxorubicin • Acute cardiotoxicity – Tachycardia, dysrhythmias – Monitor and slow/stop infusion • Nausea – Maropitant, metoclopramide • GI effects – Generally 2-3 days after treatment • Myelosuppression – Usually around day 7, may be delayed to 10 day

Cumulative, dose dependent cardiotoxicity – Maximum 8 doses (240mg/m2) for dox – Echo prior to first dose, 4th and every subsequent • Nephrotoxicity (especially cats) • Alopecia

33
New cards

Single agent lomustine

if really dont wma tIV

70mg/m2 orally q 21 days • Until PD or hepatotoxicity – (? maximum 5 cycles) • Alkylating agent • Cell cycle phase non-specific (CCPNS) • Hepatic metabolism • Urinary excretion • Myelosuppressive – Can be severe, delayed and cumulative – Both neutropenia and thrombocytopenia

;omoutine ccnu

Hepatotoxic • ?idiosyncratic • ?cumulative, dose related • S-adenosylmethionine protective – ?optimal timing and duration • HfSA policy 6 doses – stop if ALT >5x reference interval

34
New cards

describe gigh dose cops

continuuos cannot stop add sc

35
New cards

Vincristine

Plant alkaloid • Inhibition of microtubule formation • M phase specific • Hepatic metabolism • Faecal excretion • Infrequently significantly myelosuppressive – some individuals, Collie breeds – ? in combination with L-asparaginase • GI effects rare – Some individuals, Collie breeds (MDR1 mutation) • EXTREME perivascular irritant • (Peripheral neuropathy)

36
New cards

Cyclophosphamide

Alkylating agent (bifunctional) • Cell cycle phase non-specific (CCPNS) • Prodrug activated by the liver – 4 hydroxycyclophosphamide aldophosphamide • Active metabolites alkylate DNA by substituting alkyl radicals for H atom in the DNA – Breaks, cross links, abnormal base pairing in DNA • Inhibits DNA and therefore RNA and protein synthesis • Primarily urinary excretion • Metabolite acrolein causes sterile haemorrhagic cystitis

37
New cards

Cyclophosphamide toxicity

Toxicity – Myelosuppresion – GI effects – Sterile haemorrhagic cystitis – Alopecia

38
New cards

CHOP standard

Originally continuous e.g. Madison Wisconsin – Should reduce risk of emergence of multidrug resistance • 6 month modified M-W – Similar results to M-W

Lots of others – HfSA does 19 week •

YOU CAN’T STOP COP

39
New cards

CHOp satndard protocol sdescribe

knowt flashcard image
40
New cards

monintering patient remission

animal achieves and maintains remission •

Complete remission = no detectable disease

PR = greater than 50% reduction in tumour volume

CR means small, soft nodes of normal or subnormal size

CR means no detectable disease, not no tumour

  • CR is not the same as cure

Palpation of nodes is relatively insensitive I

maging may be required for some anatomical forms • Early detection of relapse has many advantages – Earlier rescue – Ensuring treatment is not downstage inappropriately

41
New cards

Patient Monitoring: Side Effects

Myelosuppressive agents – check haematology prior to every bolus dose (accumukation) – ?nadir values 7-10 after • Certainly after first dose • Cyclophosphamide – urinalysis • Doxorubicin/epirubicin – echo prior to first, then 3rd or 4th • Lomustine – check ALT

42
New cards

Patent monitoring: Haemorrhagic Cystitis

• Cyclophosphamide – haemorrhagic cystitis • Allow dog out to urinate as much as possible • Furosemide with bolus dose • If haemorrhagic cystitis develops – STOP CYCLO – Anti-inflammatories, NS or DMSO flush – REPLACE WITH SOMETHING ELSE – Chlorambucil, melphalan

43
New cards

Treatment: Solitary Lymphomas

Surgical excision – e.g. intestinal mass • Radiotherapy – e.g. nasal lymphoma • Very few lymphomas are solitary • Adjunctive chemo or chemo as sole therapy

44
New cards

Alimentary Lymphoma:

CanineMost alimentary lymphomas are high grade with widespread infiltration • Treatment is difficult – Poor response rates – Serious complications • Surgical excision of solitary mass lesion – Must biopsy nodes • Chemotherapy – staggered induction to reduce risk of perforation • Good outcomes for low grade alimentary lymphoma – Prednisolone and chlorambucil

45
New cards

Cutaneous Lymphom tx

what if restrcicted to oral?

• Generally not as responsive to chemotherapy – clinical response slower as skin must repair • ? Good response to lomustine +/- prednisolone • ? Other chemotherapy – CHOP/CEOP based regimes – PEG L-asparaginase – Rabacfosadine • Masitinib • Retinoids – Associated with increased survival • Interferon (alpha) • ?Lokivetmab

Occasionally only the oral mucosa is affected – If solitary, consider surgery or radiotherapy

46
New cards

CNS and Ocular Lymphoma • CNS and eye can be sanctuary sites for lymph

CNS and eye can be sanctuary sites for lymphoma • Most drugs do not cross the blood brain barrier • CNS is a relatively common relapse site • Cytosine arabinoside can cross the blood brain barrier – Can also be given intrathecally but relatively low response rate and short duration of remission • L-asparaginase may be effective in some cases • ?Lomustine • If solitary may be treated with radiation therapy – very uncommon

47
New cards

Cytosine arabinoside

Pyrimidine analogue • Stops DNA synthesis • May block progression from G1 to S • Inhibits DNA repair • S phase specific • Extensively activated and metabolised • Urinary excretion • Myelosuppression – thrombocyopenia • GI effects • Greater toxicity (and efficacy) if given by infusion • Rapid induction of resistance

48
New cards

L-asparaginase

Plant enzyme – Degrades asparagine • G1 and other phases • Anaphylaxis – DO NOT USE I.V. – i.m. only – s.c. safe but less effective • Pancreatitis • Others – coagulopathies • Resistance emerges rapidly

49
New cards

Tumour Lysis Syndrome

• Large tumour burden • Rapid tumour destruction • Hyperkalaemia – Cardiac effects – Bradydysrhythmias, arrest, death • Hyperphosphataemia – Acute renal failure • RARE

50
New cards

Canine lymphoma: rescue therapies are dependant of previous tx.

what is it is local relapse?

CHOP relapse

  • Start again if reasonable period of CR

  • Lomustine (L-asparaginase)

  • Rabacfosadine (B cell only )

  • D-MAC

COP relapse

  • Epirubicin/doxorubin

  • Then as above

Cranial mediastinal local relapse

  • Radiotherapy