1/34
Looks like no tags are added yet.
Name | Mastery | Learn | Test | Matching | Spaced | Call with Kai |
|---|
No study sessions yet.

Identify the fracture type?
Incomplete fracture
What kind of stress will cause a incomplete fracture?
Repetitive stress remodling

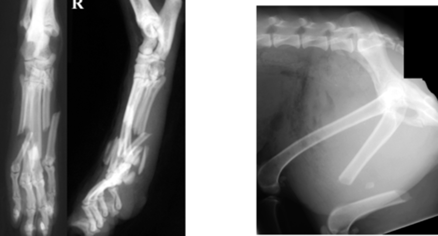
Identify the fracture type?
Transverse fracture
What kind of stress will cause a transverse fracture?
Sharp force going straight across
ex hit by car

Identify the fracture type?
Oblique fracture
How do we tell an oblique fracture from a transverse fracture?
Twice as long as the fracture is wide

Identify the fracture type?
Spiral
What kind of stress will cause a spiral fracture?
Slow twisting injury

Identify the fracture type?
Segmental fracture
What is a segmental fracture?
Two transverse fractures that do not communicate

Identify the fracture type?
Comminuted fracture
What will most commonly cause a Comminuted fracture ?
Gunshot wound - lots of fragments
All Gun shot wounds will be ____ fractures?
Open
What is a Salter-Harris fracture?
A fracture through the physis (growth plate) of a juvenile animal

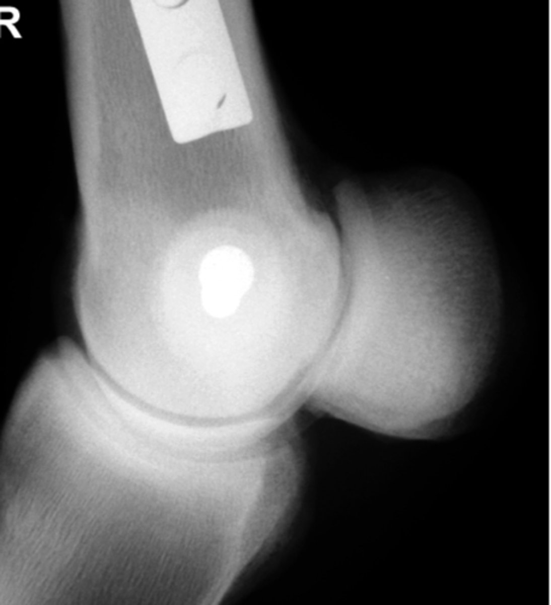
Grade the Salter-Harris fracture?
Grade 2 - fracture through the physis
Above the physis

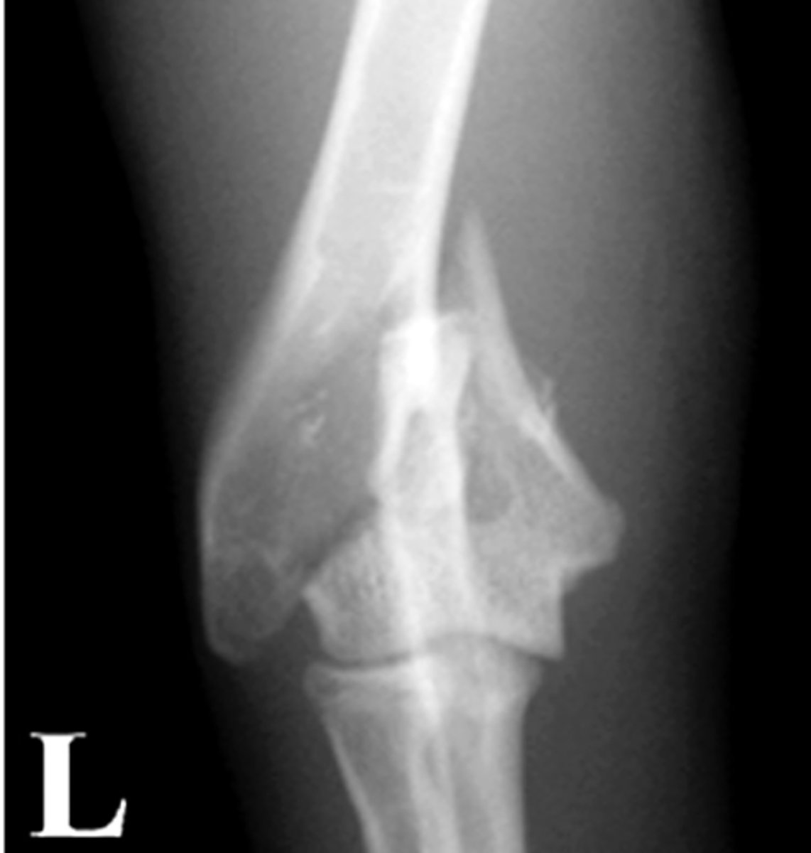
Grade the Salter-Harris fracture?
Grade 3 - fracture through the physis and epiphysis
beLow the physis

Grade the Salter-Harris fracture?
Grade 4 - fracture through the physis, epiphysis, and metaphysis
two or through
What is the most common Salter-Harris fracture?
Grade 2

A 5 year old chihuahua comes in what kind of Salter-Harris fracture are we seeing?
None - animal is adult and physis is closed
What does displacement indicate?
Severity of fracture
Loss of blood supply
An infection will often start in the first __ weeks?
2
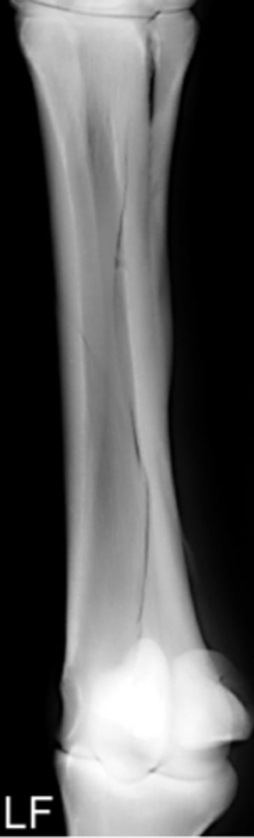
What will we see in normal healing of a fracture?
Minimal callus
No fracture lines
Stable implants

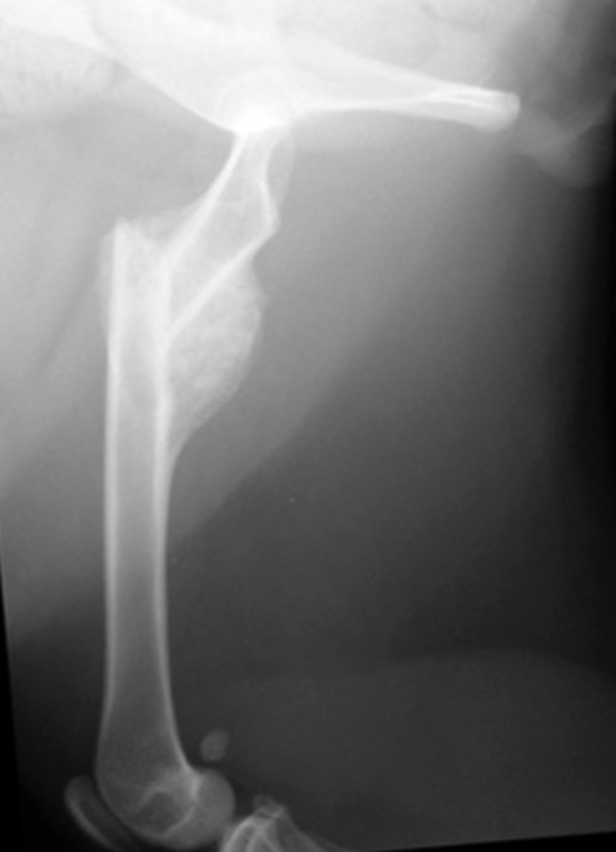
What is this an example of?
Malunion
What is a malunion?
the healing of a bone in a nonanatomic position

What is this an example of given that the radiograph was taken 4 weeks post fracture?
Delayed union
What is a delayed union?
Not healing in time expected

What is this an example of given that the radiograph was taken 10 weeks post fracture?
Non-union
What is a non-union?
an arrest in the fracture repair process - healing has stopped

What does the following lesion suggest?
Osteomyelitis - bone infection
-Lucency seen

What three things must be seen to have a sequestrum?
Sequestra - bone fragment
Involucrum - dare area w/ necrotic bone
Cloaca - draining tract
A sequestrum is a piece of bone that has lost what?
Blood supply

Identify the pathology?
Thermal necrosis - white halo around implant

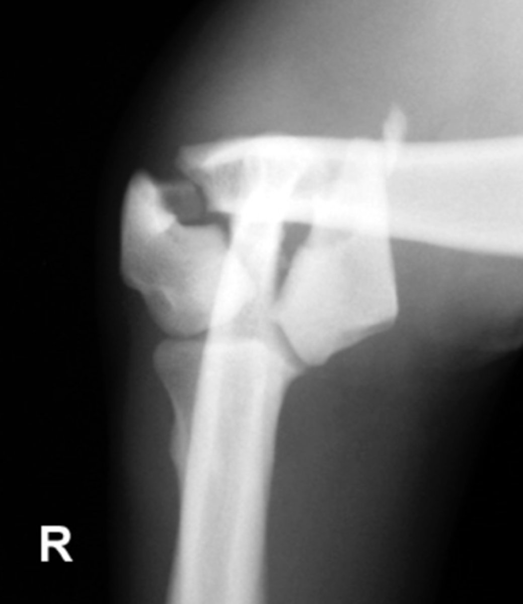
Grade the Salter-Harris fracture?
1 - straight through the physis
Straight across

Grade the Salter-Harris fracture?
5 - compression upon physis
ERasure of the growth plate or compression
The younger the pt the ______ the healing
quicker