1/49
1/8/2026
Name | Mastery | Learn | Test | Matching | Spaced | Call with Kai |
|---|
No study sessions yet.
how does traumatic brain injury cause lesions?
direct mechanical disruption (laceration + axon shearing)
damage to blood vessels (hemorrhage + ischemia)
secondary swelling (compression + herniation)
what two types of blunt force trauma injury can happen to the brain?
Coup & Contrecoup

when are coup lesions most severe?
when a stationary (but moveable) head is hit by a moving object
explain the concept of Axon Shearing. (what type of human injury is this common with?)
Axon shearing is a type of injury characterized by the tearing of axons in the nervous system, commonly associated with traumatic brain injuries such as concussions or blunt force trauma. This injury disrupts communication between neurons and can lead to significant functional impairments.


what type of hemorrhage is this?
subdural hemorrhage, which occurs between the dura mater and the brain.

what type of hemorrhage is this?
subarachnoid hemorrhage, trapped withinthe subarachnoid space between the brain and the tissues covering it.

what type of hemorrhage is this?
parenchymal hemorrhage

what type of hemorrhage is this?
parenchymal hemorrhage, CSF tap gone bad

what type of hemorrhage is this?
vascular compromise (infarction)

what type of hemorhage?
vascular compromise (infarction)
-with wedge shaped lesions think vascular compromise
what type of lesion would you expect to see in the brain with cats that have a migrating cutebra larva?

damage to axons in the spinal cord always results in degeneration of the ______ portion of the axon
downstream

Types of trauma in the PNS: (3)
-give examples of each
crushing (classic example: downer cow)
traction/avulsion (classic example: brachial plexus avulsion)
destruction via a neoplastic process (either in the nerve itself or near it)

is this a normal peripheral nerve?
yes
In the PNS, trauma will cause degeneration _______ to the site of injury
downstream (just like in the spinal cord)
Retrograde injury to DRG depends on what?
proximity of lesion, extent of damage and the health of the neuron

what is poison?
any natural or artificial substance that is ingested, inhaled, or absorbed that is capable of killing or injuring an organism
what are endogenous toxins?
harmful buildup of chemicals normally removed from the body by the liver or kidney
how do poisons cause damage?

what kind of lesions do poisons/toxins generally produce?
-what are some major patterns?
bilaterally symmetrical (or nearly so) *can have striking selective vulnerability of certain regions (vascular perfusion, distribution or concentration of toxin receptors?)
Major patterns are:
malacia (“softening”) +/- hemorrhage (cortex often affected in a laminar pattern)
selective necrosis/loss of neurons, axons, myeline
spongiosis (severe vacuolation)

Lead poisoning is an example of a poison causing what type of necrosis?
laminar cortical necrosis


Nigropallidal encephalomalcia is an example of a poison causing _____
regionalized necrosis

Nigropallidal encephalomalacia (horses) is caused by ingestion of toxin called
repin (and others) produced by yellow star thistle or Russian knapweed

give an example of a poison that causes spongiosis
Hepatic encephalopathy

Lesions similar to those seen with hepatic encephalopathy can be seen in
renal encephalopathy (much more rare)
hepatic encephalopathy causes _______ at junction of grey and white matter, bilaterally symmetrical
vacuoles
hepatic encephalopathy causes formation of very reactive ______
astrocytes (Alzheimer’s type 2, doesn’t have anything to do with Alzheimer’s disease)

This is an example of a poison causing spongiosis. What is this called?
Hepatic encephalopathy
-you can see clear vacuoles in the brain as well

With hepatic encephalopathy does the severity of clinical signs track with the blood ammonia levels?
no.
How do pathogens hurt the nervous system of their host?
directly harm nervous tissue via disruption of the tissues by the organism and/or secretion of toxins that harm tissues
directly or via toxins they can damage blood vessels or make them leaky (edema, hemorrhage, thrombosis)
incite an immune reaction that causes secondary damage (proteolytic enzymes, recruitment of more inflammatory cells, cytokines)
how do pathogens gain access to the nervous system?
via the bloodstream directly or via circulating infected immune cells
via direct inoculation or extension from extraneural sites
via retrograde transport up nerves
most common immune cell response to bacteria
Most bacteria: suppurative (neutrophils)
Mycobacteria: granulomatous (macrophages)
Rickettsia: primarily cause damage via vasculitis (lymphocytes
most common immune cell response to viruses
nonsuppurative (lymphocytes, occasionally plasma cells and macrophages)
most common immune cell response to fungi
pyogranulomatous (neutrophils and macrophages), eosinophilic (eosinophils) *some primarily cause damage via vasculitis (“angiotropic”)
most common immune cell response to algae
suppurative, pyogranulomatous
most common immune cell response to protozoa
nonsuppurative, eosinophilic
most common immune cell response to non-protozoal parasites (nematodes, arthropods, etc)
eosinophilic, granulomatous
Bacterial meningitis of neonates is an example of a pathogen entering via _____
-where does infection start?
-what type of inflammation does it cause?
-what are the most common causative bacterium types?
the blood stream
-infected umbilicus leads to septicemia (circulating bacteria)> bacteria enter meninges via blood vessels
-suppurative inflammation
-E. coli, Staph, Strep

what is this?
bacterial meningitis of neonates
Aspergillus encephalitis is an example of a pathogen that enters via _____
this is commonly seen in _____
where does infection occur?
what does this cause destruction of?
the blood stream
ruminants, horses, dogs
fungal organism that has a tropism for blood vessels; organism enters CNS via bloodstream, may start as a localized infection in the respiratory system, mammary gland, kidney
causes destruction of blood vessel wall = hemorrhage, thrombosis, edema


what is this an example of?
Aspergillus encephalitis
-random multifocal pattern think about something that could be hematogenous origin

what type of pathogen caused this lesion?
the black marks inside the lumen are fungal hyphae (Aspergillus encephalitis)
Feline CNS cuterebriasis is an example of a pathogen entering via ______
what form of cuterebra spp. causes this?
where does this cause damage?
direct extension (through nasal cavity, skin, and migrates-aberrantly- into brain or spinal cord)
larval form of rabbit/rodent bot fly
causes direct damage to tissues, vessels and secondary ischemic lesions (the cause of feline ischemic encephalopathy)

Name the disease
*Hint: this pathogen entered the cat via direct extension
Feline CNS cuterebriasis

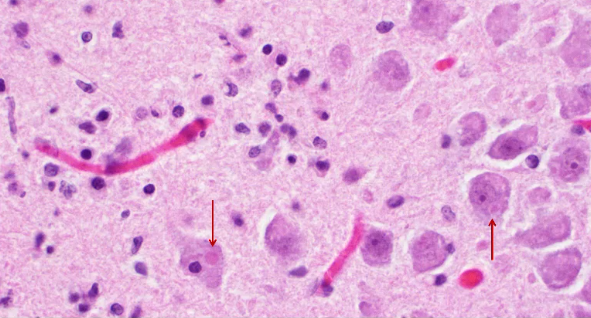
Rabies virus is an example of a pathogen that enters via ______
where is the virus carried?
where is replication in host?
the nerves
carried in saliva of infected animal, animal then bites victim
local replication in muscle, then travels up nerves into CNS; replicates in neurons, then travels back out nerves to salivary gland

Negri bodies seen in this image are characteristic of what disease?
rabies
what spp is primarily thought of when considering autoimmune diseases within the CNS?
dogs
what is granulomatous meningoencephalitis (GME)?
-what type of lesions are formed?
Autoimmune disease
-influx of many inflammatory cells (macrophages, lymphocytes, plasma cells) around the vessels in the brain
-form “perivascular cuffs” and also extend into brain tissue & meninges, also spinal cord and optic nerves
-cause is unknown
t/f: beagle pain syndrome is an autoimmune disease
true

what is this lesion?
Autoimmune disease: GME (dogs)
*see perivascular cuffs and inflammatory cell infiltration.