1/33
Looks like no tags are added yet.
Name | Mastery | Learn | Test | Matching | Spaced |
|---|
No study sessions yet.
ANA
anti nuclear antibody
ENA
extractable nuclear antigen
RF
rheumatoid factor
RF serotype
IgM mainly, IgG, IgA sometimes
what % of RA patients have RF?
90%
apart from RA, what condition is RF seen in?
Sjorgens, Lupus, polymyositis, chronic infections
2 ways of detecting RF
ELISA on Cobas,, Latex agglutination
what is the substrate for ANAs
Hep-2 cells
what group of autoimmune disorders is ANA used for
connective tissue diseases
indirect IF
ANA, ANCA
ANA homogenous, specificity, seen in:
anti-DNA,histone,DNP, / RA, SE
ANA speckled spec and seen in
anti- Sm, Ro, La, Scl-70, / SLE, SS, PM
ANA centromere spec and seen in
anti-centromere, PSS(CREST)
ANA nucleolar
anti-nucleolar / SLE, PSS
c-ANCA, against, seen in
proteinase 3 / microscopic polyangiitis
c-ANCA against, seen in
myeloperoxidase / granulomatosis with polyangiitis
Multiple Myeloma is a malignancy of the..
bone (plasma cells that arise in BM)
Waldenstroms macroglobulinaemia affects what?
IgM-secreting B cell (has not undergone class switching so early stage of B cell maturation than MM)
what class of Ig is usually secreted in MM
IgG, IgA
2 types of light chains in antibody?
kappa and lambda
why are light chains of Ig found in urine in MM
malignant cells synthesis more light than heavy chains

technique name
serum protein electrophoresis (SPE)
what analyser is SPE done on
Capillarys3 TERA

healthy control
polyclonal band: hypergammaglobulinaemia - infx
no gamma globulin band - XLA
Monoclonal gammopathy- MM
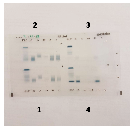
analyser for IFE
SEBIA Hyrdrasys IFE system

healthy control
polyclonal band: hypergammaglobulinaemia - infx
no gamma globulin band - XLA
Monoclonal gammopathy- MM
daratumumab spec and structure
anti-CD38
IgG kappa
ofatumumab spec and use
anti-CD20
Waldenstroms macroglobulinaemia
indatuximab
anti-CD138
chimerised mAb
tabalumab
IgG4 mAb
binds and neutralises BAFF: B cell activating factor
talquetemab
bispecific Ab
binds GPRC5D on MM cells and CD3
Dara MOA
binds CD38 on plasma cells
induced cell dependent complement
induces ADCC
induced ADCP
cross linking and apoptosis