Exam 2 Pathology Images

0.0(0)
studied byStudied by 0 people
full-widthCall with Kai
GameKnowt Play
learnLearn
examPractice Test
spaced repetitionSpaced Repetition
heart puzzleMatch
flashcardsFlashcards
Card Sorting

1/113

encourage image

There's no tags or description

Looks like no tags are added yet.

Study Analytics
Name
Mastery
Learn
Test
Matching
Spaced

No study sessions yet.

114 Terms

1
New cards
<p>What type of cell indicated by the red box functions to transfer antigens across the mucosa to dendritic cells and immune cells in the nodule ?</p>

What type of cell indicated by the red box functions to transfer antigens across the mucosa to dendritic cells and immune cells in the nodule ?

M cells

2
New cards
<p>What type of virulence factor is used by actinobacillus ligneresi to cause this pyogranulomatous inflammatory response?</p>

What type of virulence factor is used by actinobacillus ligneresi to cause this pyogranulomatous inflammatory response?

LPS

3
New cards
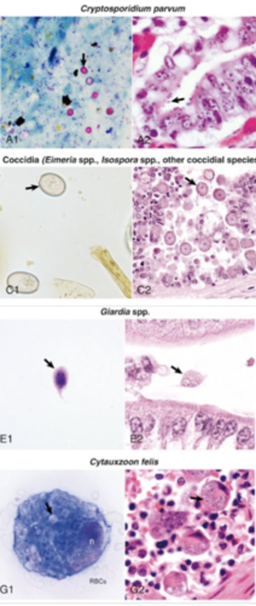
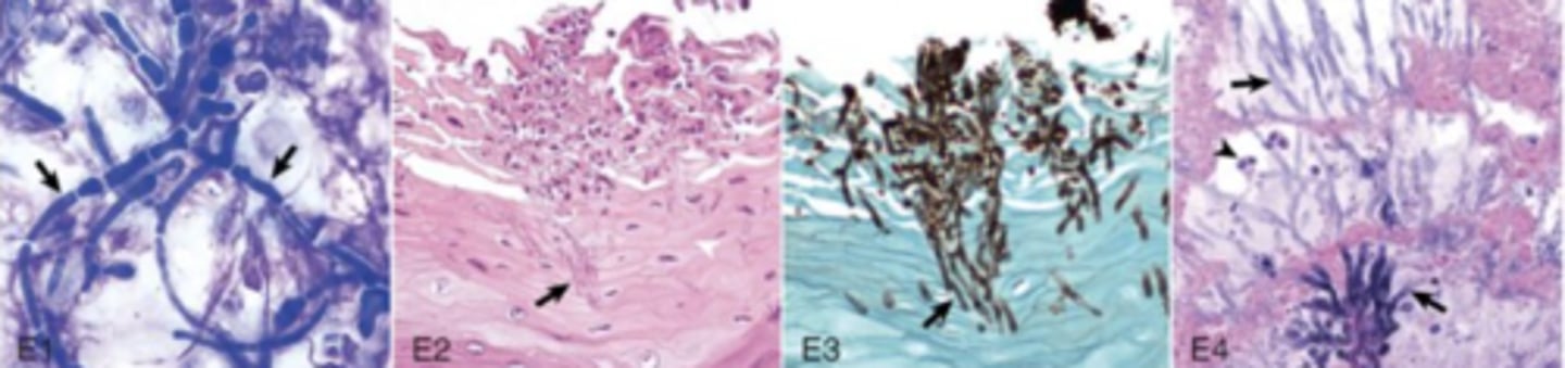
<p>What broad group of pathogens does these images indicate ?</p>

What broad group of pathogens does these images indicate ?

Fungi

4
New cards
<p>What broad group of pathogens does these images indicate ?</p>

What broad group of pathogens does these images indicate ?

protozoa

5
New cards
<p>What type of hypersensitivitiy is demonstrated by this reaction?</p>

What type of hypersensitivitiy is demonstrated by this reaction?

Type IV hypersensitivity (delayed type hypersensitivity)

6
New cards
<p>How would you describe this lesion?</p>

How would you describe this lesion?

Multifocal, rasied proliferations with diffuse discoloration

7
New cards
<p>Pig liver: What are these white sunken spots known as ?</p>

Pig liver: What are these white sunken spots known as ?

Milk spots - scars from ascaris suum migrating through the liver

8
New cards
<p>What is the name for the gross appearance of this liver, causing these discrete fibrous tags or plaques? </p>

What is the name for the gross appearance of this liver, causing these discrete fibrous tags or plaques?

Capsular fibrosis

9
New cards
<p>What has caused this gross and histologic lesions?</p>

What has caused this gross and histologic lesions?

Hepatic lipidosis - glycogen caused

-very common

-notice the sinusoids are pushed out of the way in the histopath image

-can see in starvation cases + obesity

10
New cards
<p>Cat liver: What is wrong here?</p>

Cat liver: What is wrong here?

Hepatic lipidosis

11
New cards
<p>Pony liver: What caused this gross appearance?</p>

Pony liver: What caused this gross appearance?

Hyperlipemia

12
New cards
<p>Monkey liver: What caused this gross appearance?</p>

Monkey liver: What caused this gross appearance?

Fatty liver- caused by hepatocellular steatosis (lipidosis)

13
New cards
<p>Bovine liver: What has caused this gross appearance ?</p>

Bovine liver: What has caused this gross appearance ?

Bovine Fatty Liver Syndrome

- Caused by accumulation of lipid within the liver due to increased mobiliazation of lipids from adipose tissue = influx of fatty acids to the liver

14
New cards
<p>What has caused this gross appearance of this liver?</p>

What has caused this gross appearance of this liver?

Tension Lipidosis

- doesn't have to effect the whole liver- can be regionally

-consequence of hypoxia

- where tension/ fat accumulation was= paler area

15
New cards
<p>What has caused this gross appearance of this liver?</p>

What has caused this gross appearance of this liver?

Amyloidosis

-result of abnormal folding of pathologic proteins

-deposited extracellularly

-waxy + hard liver

16
New cards
<p>What has caused this gross appearance of this liver?</p>

What has caused this gross appearance of this liver?

amyloidosis

-liver is enlarged, friable, and pale - can easily rupture

17
New cards
<p>What has caused this gross appearance of this liver?</p>

What has caused this gross appearance of this liver?

Amyloidosis

-red lines are from rib impressions

-caused by inflammation

18
New cards
<p>What has caused this gross appearance of this liver?</p>

What has caused this gross appearance of this liver?

Chronic passive congestion

-NUT MEG LIVER

-branching fibrosis

-centrilobular fibrosis

-result of right-sided heart disease

-result of hypoxia

19
New cards
<p>What has caused this gross appearance of this liver?</p>

What has caused this gross appearance of this liver?

Chronic passive congestion

20
New cards
<p>What has caused this gross appearance of the liver?</p>

What has caused this gross appearance of the liver?

Chronic passive congestion

-classic Nut Meg liver

-brnahcing fibrosis + hepatocellular loss

21
New cards
<p>What has caused this gross appearance of this liver?</p>

What has caused this gross appearance of this liver?

Hepatic Lipidosis

-has areas of pooled blood

-seen in cattle + cats

22
New cards
term image

Hepatiocellular necrosis

-can see depressions on the surface where there has been hepatocyte loss

23
New cards
<p>What has caused this gross appearance of this liver?</p>

What has caused this gross appearance of this liver?

Nodular hyperplasia

-benign tumor - encapsulated

24
New cards
<p>What has caused this gross appearance of this liver?</p>

What has caused this gross appearance of this liver?

Hepatocellular adenoma

-discrete masses

-benign epithelial tumor

25
New cards

What has caused this gross appearance of this liver?

Hepatocellular carcinoma

-firm tissue

-malignant

-

26
New cards
<p>What has caused this gross appearance of this liver?</p>

What has caused this gross appearance of this liver?

Hepatocellular carcinoma

27
New cards
<p>What has caused this gross appearance of this liver?</p>

What has caused this gross appearance of this liver?

Hepatocellular carcinoma caused by a viral infection

28
New cards
<p>What has caused this gross appearance of this mouse liver?</p>

What has caused this gross appearance of this mouse liver?

Hepatocellular adenomas

-benign epithelial tumor

29
New cards
<p>What has caused this gross appearance of this liver?</p>

What has caused this gross appearance of this liver?

Cholangiocarcinoma

-tumor of the bile ducts

30
New cards
<p>What has caused this gross appearance of this chicken liver?</p>

What has caused this gross appearance of this chicken liver?

Oncogenic virus- mareks disease

31
New cards
<p>What has caused this gross appearance of this bovine liver?</p>

What has caused this gross appearance of this bovine liver?

BLV Lymphoma

-nodular

32
New cards
<p>What has caused this gross appearance of this liver?</p>

What has caused this gross appearance of this liver?

Mast cell tumor !!

-granulated

-red

33
New cards
<p>What has caused this histologic appearance of this liver?</p>

What has caused this histologic appearance of this liver?

Cholangiohepatitis

-inflammation of the biliary ducts and parenchyma

-expanded bile ducts

34
New cards
<p>What has caused this gross appearance of this sheep liver?</p>

What has caused this gross appearance of this sheep liver?

Parasite migration

-black lines indicate where parasites have migrated through

(hemorrhagic tracts)

- white spots/lines are scars from previous migrations

35
New cards
<p>What has caused this gross appearance of this cow liver?</p>

What has caused this gross appearance of this cow liver?

large bile ducts- suggest the presence of biliary flukes

36
New cards
<p>What caused this lesion in the liver of a deer?</p>

What caused this lesion in the liver of a deer?

Flukes!!

-migration of flukes through liver parenchyma

37
New cards
<p>What has caused this gross appearance of this liver?</p>

What has caused this gross appearance of this liver?

Fascioloides magna migration

-black lines

-hepatocytes have filled with fat (white spots) due to hypoxia

-fibrous connective tissue from damage

38
New cards
<p>What is this adult leaf-shaped parasite called?</p>

What is this adult leaf-shaped parasite called?

Fascioloides magna

39
New cards
<p>What has caused this gross appearance of this liver?</p>

What has caused this gross appearance of this liver?

extensive fibrosis of biliary ducts from fluke migration

40
New cards
<p>What has caused this gross appearance of this pig liver?</p>

What has caused this gross appearance of this pig liver?

Hepatosis Dietetica

-caused by vitamin E/Selenium deficiency in rapidly growing pigs

-massive hepatic necrosis due to oxidative injury

41
New cards
<p>What has caused this gross appearance ?</p>

What has caused this gross appearance ?

skeletal muscle necrosis from Hepatosis Dietetica

42
New cards
term image

Cobalt deficiency causing hepatocellular steatosis (lipidosis)

-"white liver disease" in small ruminants

-vitamin B12 deficient

-lipid accumulation

43
New cards
<p>What has caused this gross appearance of this sheep's liver</p>

What has caused this gross appearance of this sheep's liver

Copper toxicity

-swollen, pale to orange liver

-necrosis of the liver

-affects the centrilobular + midzonal region... can be panlobular necrosis

44
New cards
<p>What has caused this gross appearance of this dog liver</p>

What has caused this gross appearance of this dog liver

Cirrhosis caused by long term exposure to toxic substances

45
New cards
<p>What kind of tumor is this?</p>

What kind of tumor is this?

Papilloma

-benign epithelial neoplasm

46
New cards
<p>What kind of tumor is this?</p>

What kind of tumor is this?

Squamous cell carcinoma

47
New cards
<p>What kind of tumor is this?</p>

What kind of tumor is this?

Polyp

-has a steam

-benign epithelail tumor projecting from mucosal surface

48
New cards
<p>What kind of tumor is this?</p>

What kind of tumor is this?

polyp from canine uterus

49
New cards
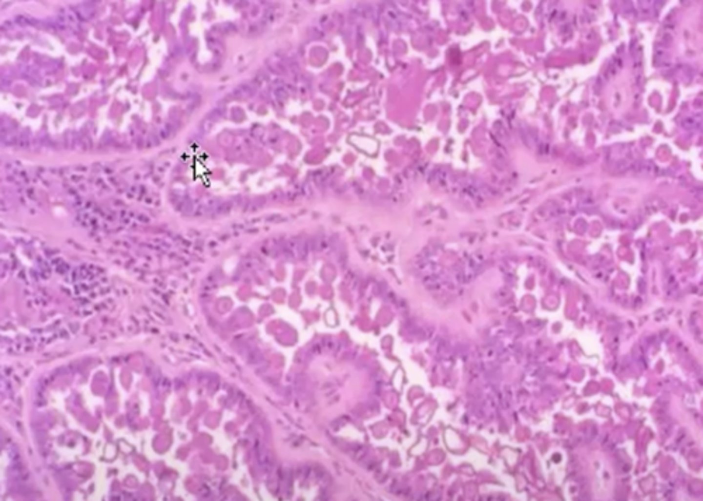
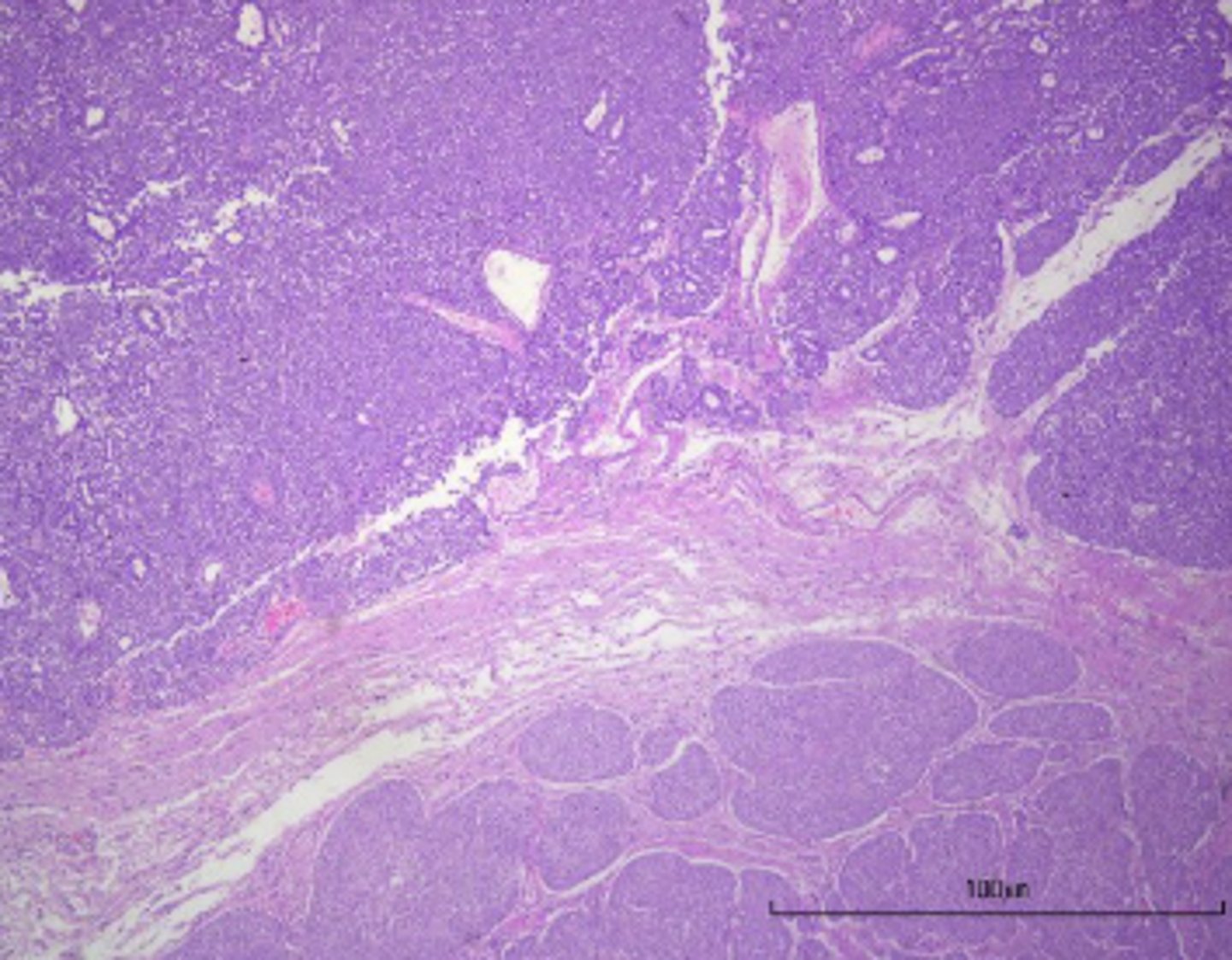
<p>What kind of tumor is this?</p>

What kind of tumor is this?

adenocarcinoma

-malignant tumor of epithelial origin

-tubular patterns on histopath

50
New cards
<p>What type of response is produced by this carcinoma?</p>

What type of response is produced by this carcinoma?

schirrous response

51
New cards
<p>What kind of tumor is this?</p>

What kind of tumor is this?

Hemangioma

52
New cards
<p>What kind of tumor is this?</p>

What kind of tumor is this?

Hemiangiosarcoma

53
New cards
<p>What kind of tumor is this?</p>

What kind of tumor is this?

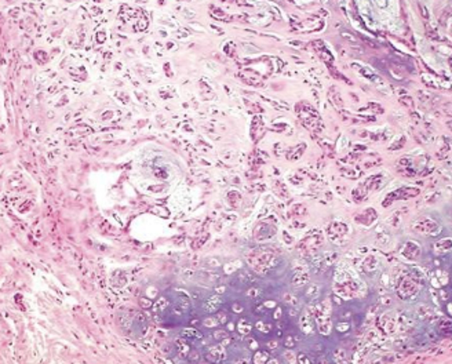
Osteosarcoma

54
New cards
<p>What kind of tumor is this?</p>

What kind of tumor is this?

Lymphoma

-lymphocytic tumor originating in the peripheral tissues

55
New cards
<p>What kind of tumor is this?</p>

What kind of tumor is this?

Multiple myeloma

-plasma cell infilitrate

-hypercalemia

-osetolytic bone lesions

56
New cards
<p>What kind of round cell tumor is this?</p>

What kind of round cell tumor is this?

Mast cell tumor

57
New cards
<p>What kind of round cell tumor is this?</p>

What kind of round cell tumor is this?

Histiocytoma

-button tumor

- caused by langhans cells

-will self regress

58
New cards
<p>What kind of round cell tumor is this?</p>

What kind of round cell tumor is this?

Transmissible Venereal Tumor (TVT)

-TRANSMISSIBLE tumor thru direct contact

59
New cards
<p>What kind of round cell tumor is this?</p>

What kind of round cell tumor is this?

Tasmanian Devil Facial Tumor

-spread by biting

60
New cards
<p>What kind of round cell tumor is this?</p>

What kind of round cell tumor is this?

Neural Crest tumors

-derived from neural crest cells from neuroectoderm

-melanoma from melanocytes

61
New cards
<p>What kind of tumor is this?</p>

What kind of tumor is this?

Mixed tumor

62
New cards
<p>What kind of tumor is this?</p>

What kind of tumor is this?

Mixed tumor

-arise from totipotent germ cells

-can differentiate into variety of mature cell types

63
New cards
<p>What kind of tumor is this?</p>

What kind of tumor is this?

Collison Tumor

-2 seperate tumor types COLLIDING in one spot

64
New cards
<p>What kind of tumor is this?</p>

What kind of tumor is this?

Harmatoma

-excess of normal tissue

65
New cards
<p>What kind of tumor is this?</p>

What kind of tumor is this?

Choriostoma

-normal tissue in an abnormal location

66
New cards
<p>Is this a benign or malignant mass?</p>

Is this a benign or malignant mass?

malignant

-poorly differentiated

-tissue origin unclear

-infiltrative growth !!

67
New cards
<p>Is this a benign or malignant mass?</p>

Is this a benign or malignant mass?

Benign

-well-differentiated

-little necrosis

-capsulated

68
New cards
<p>What kind of tumor is this? (broad category)</p>

What kind of tumor is this? (broad category)

Metastatic tumor

69
New cards
<p>What kind of tumor is this? (broad category)</p>

What kind of tumor is this? (broad category)

Hematogenous metastasis

70
New cards
<p>What kind of tumor is this? (broad category)</p>

What kind of tumor is this? (broad category)

Transcolemic metastasis

71
New cards
<p>What kind of tumor is this? (broad category)</p>

What kind of tumor is this? (broad category)

Humoral Hypercalcemia of Malignancy

-neoplasm assoicated with PTHrP production

72
New cards
<p>What kind of tumor is this? (broad category)</p>

What kind of tumor is this? (broad category)

Hypertrophic Osteopathy

-due to periosteal new bone growth on the long bones

73
New cards
<p>What has caused this poor body condition of this lamb?</p>

What has caused this poor body condition of this lamb?

Chachexia

-fat/muscle loss due to inflammatory states or cancer

74
New cards
<p>What has caused the gross appearance of this bovine liver?</p>

What has caused the gross appearance of this bovine liver?

BLV lymphoma

-HULAS = affacted areras

(heart, uterus, lymph node, abomasum, and spinal cord)

75
New cards
<p>What has caused the gross appearance of this bovine heart?</p>

What has caused the gross appearance of this bovine heart?

BLV

76
New cards
<p>What has caused the gross appearance of this feline liver?</p>

What has caused the gross appearance of this feline liver?

Feline Leukemia Virus (FeLV)

77
New cards
<p>What kind of distribution is this?</p>

What kind of distribution is this?

Diffuse

78
New cards
<p>What kind of distribution is this?</p>

What kind of distribution is this?

Focal/focus

79
New cards
<p>What kind of distribution is this?</p>

What kind of distribution is this?

Locally extensive

80
New cards
<p>What kind of distribution is this?</p>

What kind of distribution is this?

Multifocal

-sepsis

-neoplasia

81
New cards
<p>What kind of distribution is this?</p>

What kind of distribution is this?

Multifocal to coalescing

82
New cards
<p>What kind of distribution is this?</p>

What kind of distribution is this?

Miliary

83
New cards
<p>what kind of contour is this?</p>

what kind of contour is this?

Raised

84
New cards
<p>What kind of contour is this?</p>

What kind of contour is this?

depressed

85
New cards
<p>Describe the distribution of this lesion.</p>

Describe the distribution of this lesion.

focal or locally extensive

86
New cards
<p>Describe this lesion + diagnosis</p>

Describe this lesion + diagnosis

spleen, diffuse enlargement, rounded edges, mottled red color

splenomegaly - splenic lymphoma

87
New cards
<p>What has caused this kidney to be gunmetal black, dark red color?</p>

What has caused this kidney to be gunmetal black, dark red color?

Copper toxicity

88
New cards
<p>Describe these lesions in this goat.</p>

Describe these lesions in this goat.

Acute to subacute fibrinous pleural effusion

severe chronic active multifocal hepatic pylogranuloma from rhodococcus equi

89
New cards
<p>Describe the lesion in this turkey.</p>

Describe the lesion in this turkey.

severe chronic active necrotizing + proliferative dermatitis

90
New cards
<p>Describe this lesion in a horse.</p>

Describe this lesion in a horse.

Heart: severe chronic active necrosuppurative endocarditis

91
New cards
<p>Describe these abomasal contents from a goat.</p>

Describe these abomasal contents from a goat.

severe verminous abomasitis from Haemonchus contortus

Lesions: disseminated, dozens, round/cylindrical nematodes, off white with distinct red barber pole

92
New cards
<p>What kind of degeneration is this?</p>

What kind of degeneration is this?

Zonal Hepatocellular degeneration

-pale

-enlarged margins

increased friability

93
New cards
<p>What kind of degeneration is this?</p>

What kind of degeneration is this?

Random hepatocellular degeneration/necrosis

-typical pattern of infectious agents

94
New cards
<p>What kind of necrosis?</p>

What kind of necrosis?

Panlobular necrosis

-ALL hepatocytes are necrotic

95
New cards
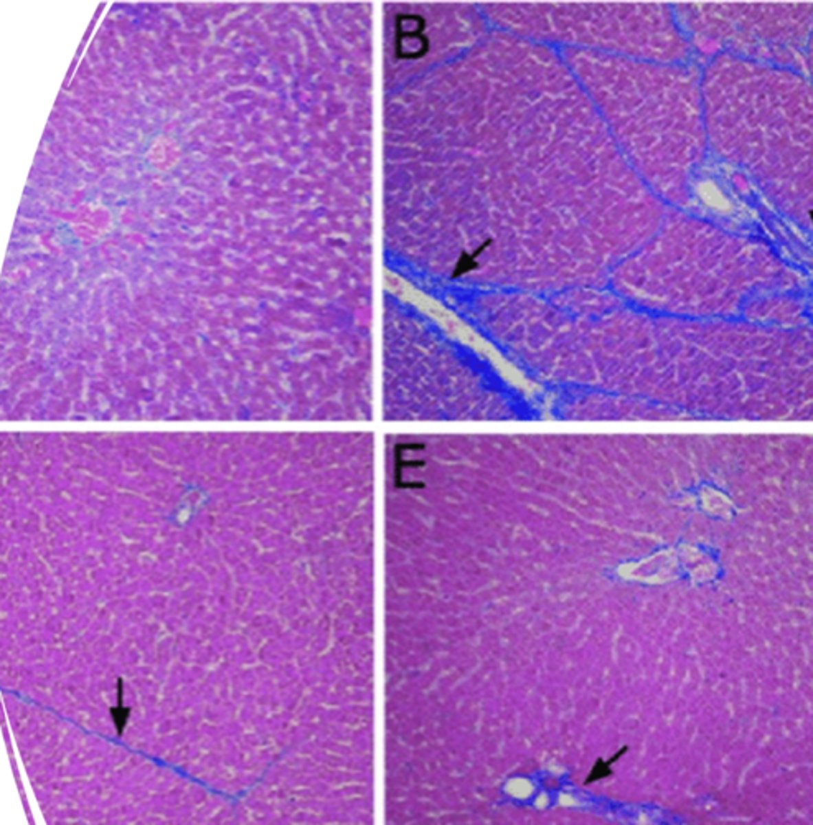
<p>What is indicated in this image that is a result of chronic liver injury?</p>

What is indicated in this image that is a result of chronic liver injury?

Fibrosis

96
New cards
<p>What has caused this gross appearance of this liver?</p>

What has caused this gross appearance of this liver?

Tension lipidosis (steatosis)

97
New cards
<p>What has caused this gross appearance of this liver?</p>

What has caused this gross appearance of this liver?

Chronic passive congestion

98
New cards
<p>What has caused this gross appearance of this liver?</p>

What has caused this gross appearance of this liver?

Chronic passive congestion

99
New cards
<p>what causes ascites in adult large breed dogs such as shown in the image?</p>

what causes ascites in adult large breed dogs such as shown in the image?

portal hypertension

100
New cards
<p>What has caused this gross appearance of the liver?</p>

What has caused this gross appearance of the liver?

Telangiectasis (Peliosis Hepatitis)