1/41
Looks like no tags are added yet.
Name | Mastery | Learn | Test | Matching | Spaced | Call with Kai |
|---|
No analytics yet
Send a link to your students to track their progress

Koks audinys pavaizduotas? Argumentuokite.
Pavaizduoti lygieji raumenys. Matosi verpstės, branduoliai centre.


Koks audinys pavaizduotas? Argumentuokite.
Pavaizduoti skersaruožiai skeleto raumenys. Preparate branduoliai išsidėstę periferijoje, būdingas ruožuotumas.

Koks audinys pavaizduotas? Argumentuokite.
Pavaizduoti širdies skersaruožiai raumenys (kardiomiocitai). Matosi įterptiniai diskai, branduoliai centre.

Koks audinys pavaizduotas? Argumentuokite.
Pavaizduotos nervinis audinys. Širdies laidžiosios sistemos ląstelės. Matosi Purkinjė skaidulos, miokardas, endokardas.

Koks audinys pavaizduotas? Argumentuokite.
Nervinis audinys, periferinis nervinis mazgas. Matosi neuronas ir satelitinės ląstelės.


Koks audinys pavaizduotas? Argumentuokite.
Pavaizduotas nervinis audinys, periferinis nervinis mazgas. Rodyklė nukreipta ir s raide žymos statelitinės ląstelės, o n- neuronas,

Koks audinys pavaizduotas? Argumentuokite.
Pavaizduotas nervinis audinys, multipoliniai neuronai. Matosi aksonas, aksono kalva, soma, dendritai (ataugėlės).


Koks audinys pavaizduotas? Argumentuokite.
Pavaizduotas nervinis audinys, nislio kūneliai neuronuose. Matosi, neuronai, nissil kūneliai (verpstės) neuronono viduje.

Koks audinys pavaizduotas? Argumentuokite.
Nervinis audinys. Matosi neurofibrilės neuronuose.

Koks audinys pavaizduotas? Argumentuokite.
Nervinis audinys, ependimocitai. Matosi virpamieji plaukeliai- cilia, pamatinė atauga po ependiminėm ląstelėm.

Koks audinys pavaizduotas? Argumentuokite.
Nervinis audinys, astrocitai. Stora rodykle pavaizduotos astrocitinės kojytės, o plona- kapiliaras.


Koks audinys pavaizduotas? Argumentuokite.
Pavaizduotas nervinis audinys, mielininės nervinės skaidulos. Matyt naustoma, myelinas, nauraksonas, svarbiausias požymis-Ranvierio sąsmauka!


Koks audinys pavaizduotas? Argumentuokite.
Pavaizduotas nervinis audinys, nervo skersinis pjūvis. Sprendžiama pagal, blyno formos nervinių skaidulų pluoštus esančius nerve, epiniauriumą.


Koks audinys pavaizduotas? Argumentuokite.
Nervinis audinys, receptoriai. 1 paveikslėliuose- verpstiški Meisnerio kūneliai( neurolemocitai, branduoliai), 2 paveikslėlyje- Pačinio- Faterio kūnelis (CT lamelės, aksono terminalas).

Koks audinys pavaizduotas? Argumentuokite.
Tai jungiamasis/kaulinis audinys. Pavaizduoti OSTEONAI. Matosi: Išorinis antkaulis, išorinės plokštelės, tarpinės plokštelės, cementuojanti linija, vidinės plokštelės, vidinis antkaulis.

Koks audinys pavaizduotas? Argumentuokite.
Jungiamasis/kaulinis audinys, tankiosios medžiagos išilginis pjūvos. VC(didesnis)- Voklmano kanalas, HC(mažesnis)- Haverso kanalas.

Koks audinys pavaizduotas? Argumentuokite.
Jungiamasis/kaulinis audinys, membraninė osteogenezė. B- osteoblastai, osteocitai. A- osteoklastai, kaulinės sijos, mazenchiminės ląstelės.

Koks audinys pavaizduotas? Argumentuokite.
Tai jungiamasis/kaulinis audinys, KREMZLINĖ OSTEOGENEZĖ. Yra ir kremzlinis audinys. Matosi diafizė, epifizė, hialinė kremzlė, antkremzlis, antkaulis, periostinis kaulas, perichondrinis kaulėjimas, endostinis kaulas, endochondrinis kaulėjimas, epifizinė plokštelė.

Koks audinys pavaizduotas? Argumentuokite.
Tai jungiamasis/ kremzlinis audinys. Pavaizduota hialinė kremzlė. Matosi antkremzlis, chondroblastai, chondrocitai, izogeninė grupė, skaidulos.

Koks audinys pavaizduotas? Argumentuokite.
Jungiamasis/ kremzlinis audinys. Hialinė kremzlė sąnariniame paviršiuje. (Chondroblastai, chondrocitai, izogeninė grupė, skaidulos).

Koks audinys pavaizduotas? Argumentuokite.
Pavaizduotas jungiamsis/ kremzlinis audinys. ELASTINĖ KREMZLĖ. Matosi antkremzlis, chondroblastai, chondrocitai, elastinės skaidulos, izogeninės grupės.

Koks audinys pavaizduotas? Argumentuokite.
Jungiamasis/kremzlinis audinys. SKAIDULINĖ KREMZLĖ. Matosi skaidulinio jungiamojo audinio matrica, hialininė matrica su chondrocitais.


Koks audinys pavaizduotas? Argumentuokite.
Jungiamasis audinys. Taisyklingasis glaudusis skaidulinis jungiamasis audinys (sausgyslės išilginis pjūvis). Matosi I ir II eilės pluoštai, endotendineum. Mėlynoj ft. ir III pluošas. b- fibrocitai.

Koks audinys pavaizduotas? Argumentuokite.
Jungiamasis audinys. Netaisyklingas glaudusis skaidulinis jungiamasis audinys. Matomi išilginiai kolageno pjūviai, skersiniai kolageno pjūviai. Fibroblastai ir fibrocitai.

Koks audinys pavaizduotas? Argumentuokite.
Jungiamasis audinys. Mazenchima. Mazenchiminės ląstelės, ląstelių procesai (?).

Koks audinys pavaizduotas? Argumentuokite.
Jungiamasis audinys. Baltasis riebalinis audinys. Baltieji ir rudieji lipoctai, riebalinės liaukos.

Koks audinys pavaizduotas? Argumentuokite.
Jungiamasis audinys. Rudasis riebalinis audinys. Matosi adipocitai, mitochondrijos, apvalūs branduoliai, kraujagyslės, nervinės skaidulos.

Koks audinys pavaizduotas? Argumentuokite.
Jungiamasis audinys. Retikulinis jungiamasis audinys. Matosi retikulinės ląstelės ir retikulinės skaidulos, limfocitai.


Koks audinys pavaizduotas? Argumentuokite.
Jungiamasis audinys. Kraujas. Matomi eritrocitai, kraujo plokštelės, neutrofilai, eozinofilai, bazofilai, monocitai, limfocitai.


Koks audinys pavaizduotas? Argumentuokite.
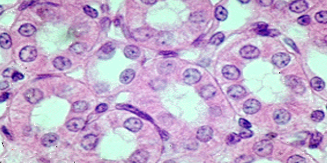
Epitelinis audinys. Dengiamasis epitelis. Vienaeilis kubinis audinys. Matome apikalinį/ bazalinį paviršius, pamatinę membraną, mikrogaurelius, branduolius.

Koks audinys pavaizduotas? Argumentuokite.
Epitelinis audinys. Vienasluoksnis stulpinis epitelis. A- apikalinis polis, B-laktinis? C-taurinė ląstelė A- enterocitų riba D- limfocitai E- lamina

Koks audinys pavaizduotas? Argumentuokite.
Dengiamasis epitelinis audinys. Vienasluoksnis daugiaeilis epitelis. Matom Stulpines, liaukines, verpstiškas, kūgiškas ląsteles, pamatinę membraną, apikalinį/bazalinį paviršius, virpamuosius plaukelius.

Koks audinys pavaizduotas? Argumentuokite.
Vienasluoksnis daugiaeilis epitelis. Matosi hialinė kremzlė viršuje (violetinės spalvos).

Koks audinys pavaizduotas? Argumentuokite.
Daugiasluoksnis plokščiasis neragėjantis epitelis. Matome viršutines ląsteles, dygliuotas ląsteles, pamatines ląsteles, pamatinę membraną.

Koks audinys pavaizduotas? Argumentuokite.
Daugiasluoksnis plokščias ragėjantis epitelis. A-plokščialąstelinės ląstelės. C- stratifikuotas plokščiasis epitelis B- bazalinis ląstelės sluoksnis

Koks audinys pavaizduotas? Argumentuokite.
Epitelis. Pavaizduotas Epidermis viršuje ir ir dermis apačioje.

Koks audinys pavaizduotas? Argumentuokite.
Daugiasluoksnis pareinamasis epitelis. Matom kelias ląstelių eiles, bazalines, tarpines, paviršines ląsteles, pamatinę/bazalinę membranas.

Koks audinys pavaizduotas? Argumentuokite.
Liaukinis epitelis. Merokrininė sekrecija. Sekrecinis epitelio apvalkalas, paviršiaus gleivės ląstelės.

Koks audinys pavaizduotas? Argumentuokite.
Liaukinis epitelis. Apokrininė sekrecija. Matoma sekrecinės ląstelės, ląstelių branduoliai, liemens plotas, išpūstas apikalinis ląstelės polius.

Koks audinys pavaizduotas? Argumentuokite.
Liaukinis epitelis. Holokrininė sekrecija. Piknotiniai branduoliai, sveiki branduoliai.

Koks audinys pavaizduotas? Argumentuokite.
Epitelis. Prakaito liaukos. Mioepitelinės ląstelės, išvedamasis latakas.

Koks audinys pavaizduotas? Argumentuokite.
Epitelis. Vienaląstės, daugialąstės liaukos. Mukozinės ląstelės, serozinės ląstelės, latakas, jungiamasis audinys.