1/82
Looks like no tags are added yet.
Name | Mastery | Learn | Test | Matching | Spaced |
|---|
No study sessions yet.

Erythrocytes

Erythrocytes

Platelets

Neutrophils

Neutrophils

Eosinophils

Eosinophils

Basophils

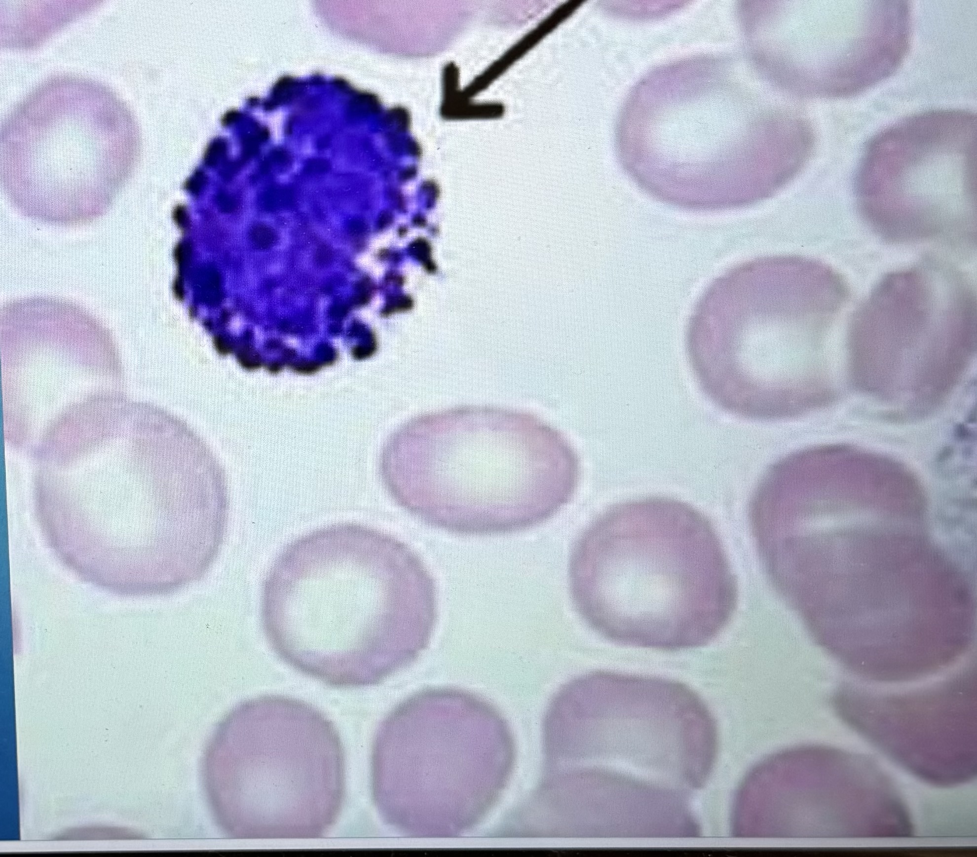
Lymphocytes

Lymphocytes

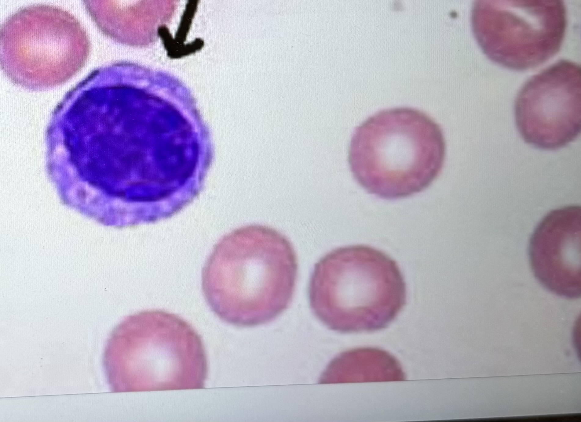
Monocytes

Monocytes

Elastic artery

Muscular artery

Artery

Artery

Vein

Vein

Terminal Bronchiole

Respiratory Bronchioles

Alveolar Sac

Alveolar Duct

Alveoli

A.Terminal bronchiole

B.Respiratory bronchiole

C. Alveolar sac

D. Alveolar duct

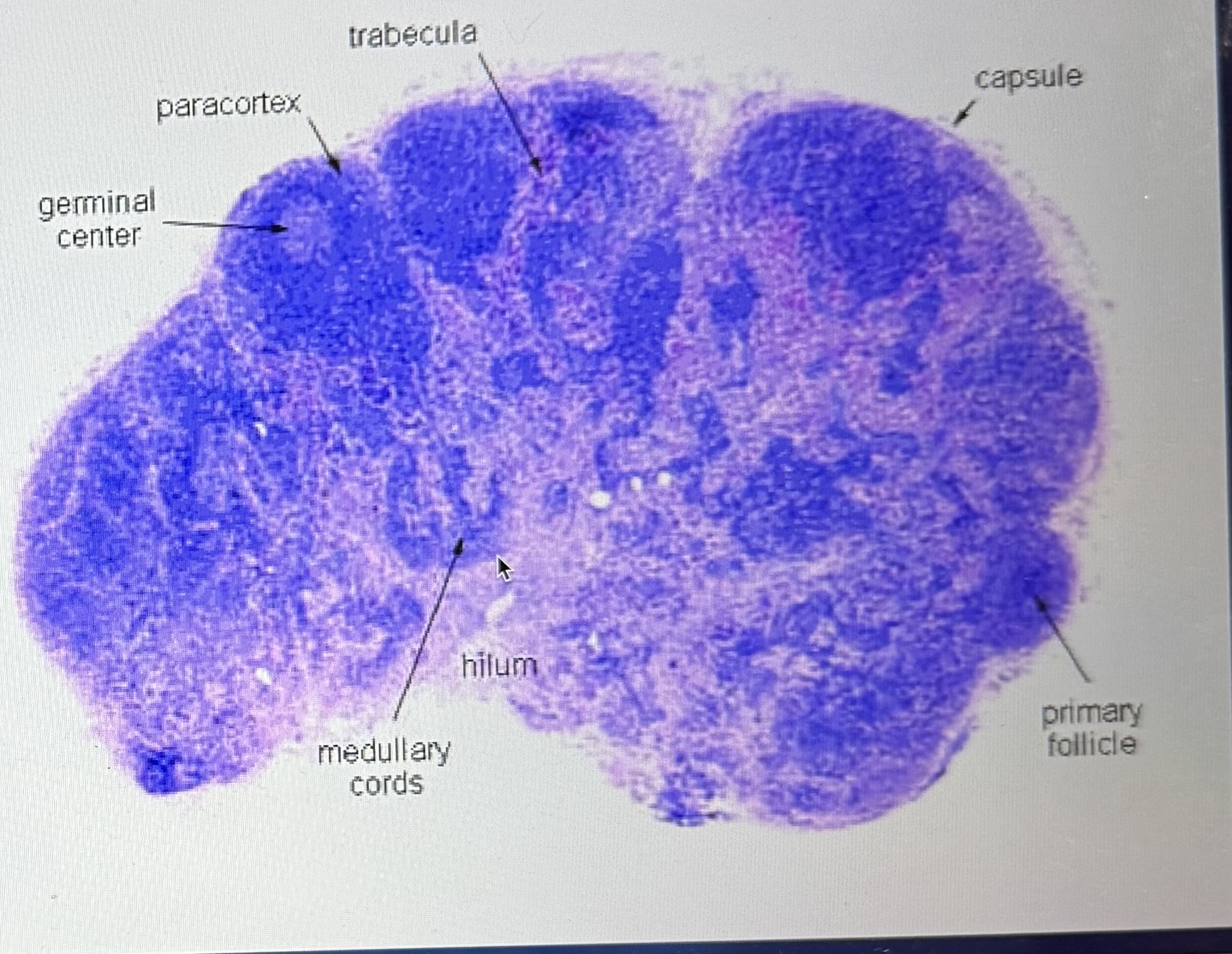
Lympn Node

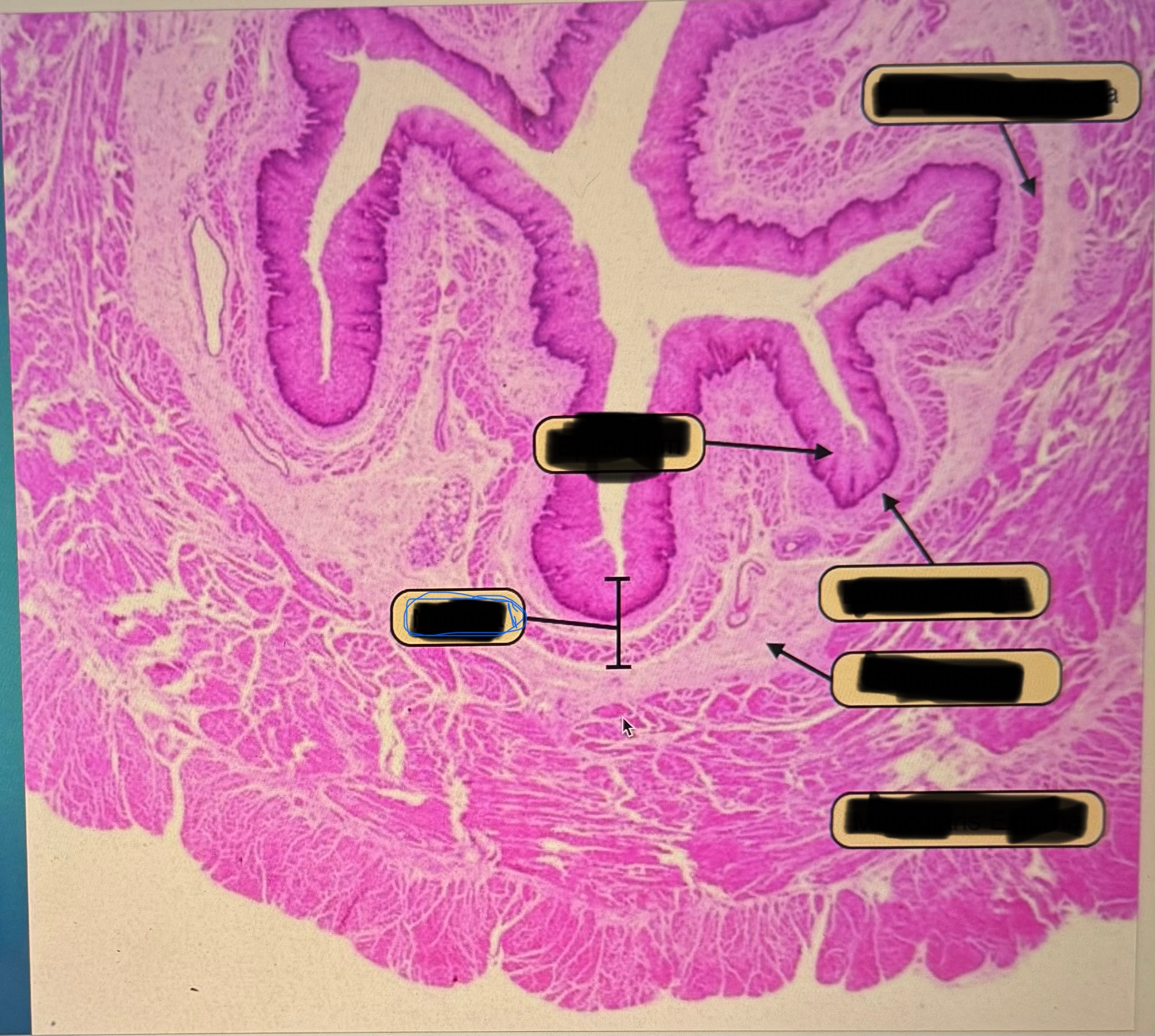
Mucosa

Submucosa

Muscularis Externa

Mucosa

Submucosa

1
Inner Circular Muscle

2
Outer Longitudinal Muscle

Digestive Tract Wall

Histology of the Stomach

1
Gastric pits

2
Mucosa

3
Submucosa

Histology of the Stomach

1
Lumen

2
Mucosa

3
Submucosa

4
Muscularis externa

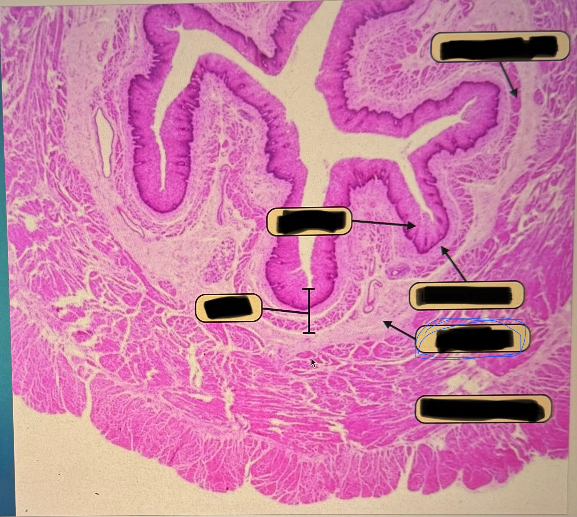
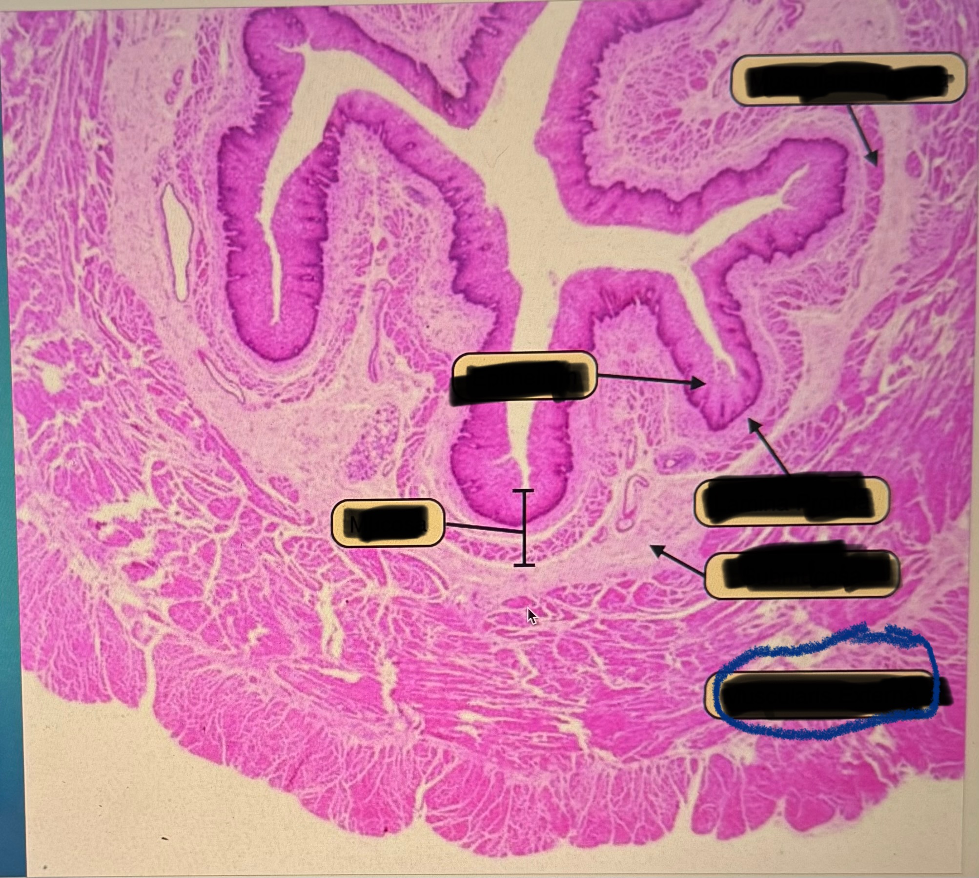
1
Mucosa

2
Submucosa

3
Muscularis propria

4
Serosa

5
Inner oblique

6
Middle circular

7
"Outer longitudinal

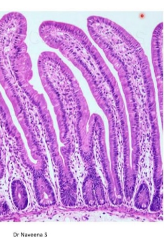
Plicae Circularis

Small Intestine

1
Duodenal Glands

2
Villi

Duodenum

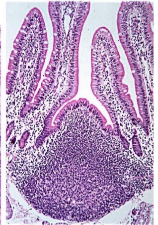
Peyer's Patches of ilum

Duodenum

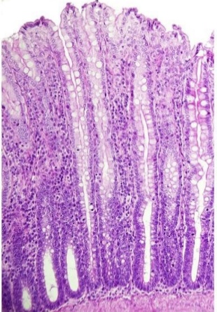
Jejunum

lleum

Colon

Colon

Parotid gland:

Parotid gland:

Submandibular gland:

Submandibular gland:

Sublingual gland:

Sublingual gland:

ParotidGland

Gastic pit

Kupffer cells:

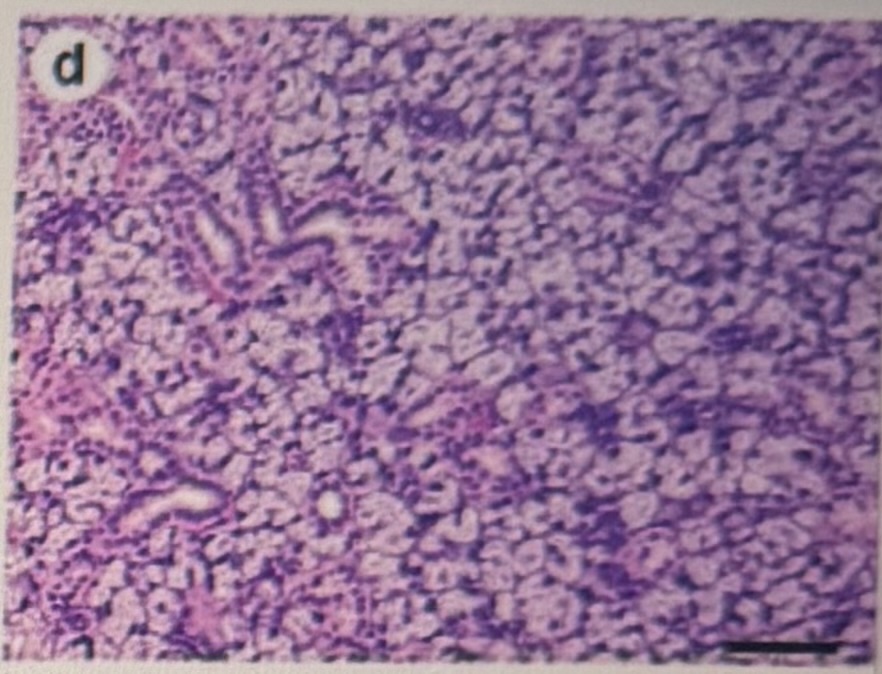
1
liver lobules

2
central vein

3
portal area

4
portal vein

5
hepatic artery

6
bile duct

Liver

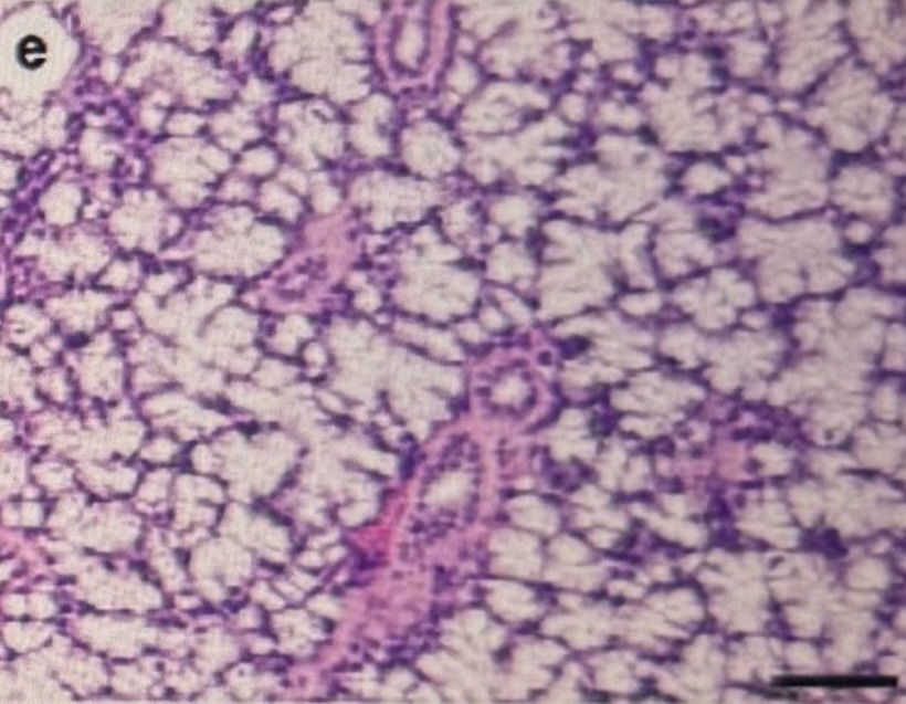
1
bile canaliculi

2
hepatocytes

Pancreas Acinar cell

Pancreas Acinus