8. Extracellular Accumulations

0.0(0)
studied byStudied by 0 people
0.0(0)
full-widthCall with Kai
GameKnowt Play
New
learnLearn
examPractice Test
spaced repetitionSpaced Repetition
heart puzzleMatch
flashcardsFlashcards
Card Sorting

1/52

encourage image

There's no tags or description

Looks like no tags are added yet.

Study Analytics
Name
Mastery
Learn
Test
Matching
Spaced

No study sessions yet.

53 Terms

1
New cards

What can accumulate extracellularly?

hyaline substances

amyloid

fibrinoid necross/ change

collagen/ fibrosis

fatty infiltration

gout/psudogout

cholesterol

calcification

heterotopic ossification

2
New cards

_______ substances are homogenous, eosinophilic and translucent appearance to a cellular or extracellular substance

hyaline

3
New cards

proteins are (eosinophilic/ basophilic)

eosinophilic

4
New cards

what are examples of extracellular hyaline structural appearance?

protein in lumen of renal tubules

serum or plasma in blood vessels

collagen fibers

thickened basement membranes

copora amylacea

5
New cards

amyloid was named for its ability to stain with what?

iodine

6
New cards

what is amyloid?

misfolded proteins

unfolded or partially unfolded proteins or peptide fragments capable of self replication

7
New cards

what are 5 causes of an amyloid appearance?

1. Propagation of misfolded proteins that serve as a template for self-replication

2. Accumulation of misfolded precursor peptides as a result of failure of

degradation

3. Genetic mutations that promote misfolding of precursor peptides

4. Protein overproduction from an abnormality in or proliferation of the

synthesizing cell

5. Loss of chaperoning molecules or other components of the protein assembly

process

8
New cards

how do we classify amyloid appearance?

by biochemical identity of its precursor peptide or protein

9
New cards

what is AL amyloidosis?

abnormal plasma cells secrete light chain fragments

10
New cards

AL amyloidosis is considered (primary/ secondary). explain

primary because it is produced by plasma cell dyscarsia or neoplasia

11
New cards

what is AA amyloidosis?

serum amyloid A protein produced by hepatocytes and bound to high density lipoproteins in circulation

it is associated with chronic inflammation

12
New cards

what are the classical sites of amyloid AA?

glomeruli, kidney, liver

13
New cards

AA amyloidosis is considered (primary/ secondary). explain

secondary, not directly produced or associated with another process

14
New cards

T/F: AA amyloidosis can be hereditary

true

15
New cards

We know that the deposition of amyloidosis disrupts and damages tissues. Amyloidosis can be systemic or localized. which is more severe?

systemic, but is independent on site of synthesis

16
New cards

T/F: we will only see localized amyloidosis with disease

false, may see with or without disease as severity depends on biochemical nature of fibrils/ peptide/ oligomer precursors

17
New cards

what is the microscopic appearance of amyloid?

extracellular

homogenous to indistinctly fibrillar, pale eosinophilic, acellular, glassy material

<p>extracellular</p><p>homogenous to indistinctly fibrillar, pale eosinophilic, acellular, glassy material</p>
18
New cards

What stain is the 'gold standard' diagnostic for amyloidosis?

congo red stain

19
New cards

___ amyloidosis retains congophilia and apple-green birefringence after pretreatment with potassium permaganate

AL

20
New cards

___ amyloidosis loses congophilia and apple-green birefringence after pretreatment with potassium permaganate

AA

21
New cards

what is the gross appearance of amyloid?

firm, yellow, waxy, coalescing nodular or amorphous deposits

painted with iodine = yellow color then add sulfuric acid -> blue violet

<p>firm, yellow, waxy, coalescing nodular or amorphous deposits</p><p>painted with iodine = yellow color then add sulfuric acid -&gt; blue violet</p>
22
New cards

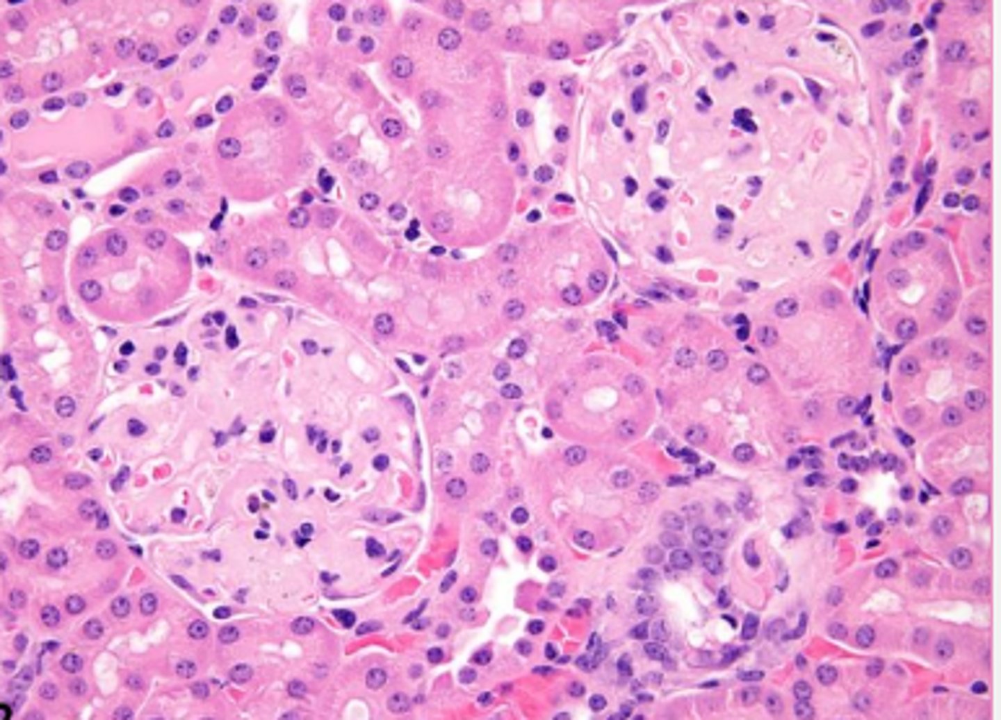
which type of amyloid is associated with this lesion?

Amyloid AA- most common in vet med

has classical locations in renal glomeruli, liver, and spleen

<p>Amyloid AA- most common in vet med</p><p>has classical locations in renal glomeruli, liver, and spleen</p>
23
New cards

Fibrinoid necrosis/ change is what?

leakage of plasma proteins into vessel wall

24
New cards

fibrinoid necrosis/ change can be seen in response to:

inflammation, infection, trauma, other injury

25
New cards

Fibrosis is excess in _____ collagen in the __________

type I collagen

interstitium

26
New cards

What causes the production of fibrosis?

typically produced by fibroblasts after injury or inflammation

27
New cards

T/F: scarring due to fibrosis may compromise organ functino

true

28
New cards

what is fatty infiltration?

increased in number and or volume of adipocytes in interstitium of organ or tissue

29
New cards

what could cause fatty infiltraiton?

obesity

cardio or skeletal myopathies

atrophied tissue

30
New cards

________ is a deposition of sodium urate crystals in tissues

gout

<p>gout</p>
31
New cards

what does gout elicit in primates, birds, and reptiles?

inflammatory response with neutrophils/ heterophils and macrophages

32
New cards

_________ is the deposition of calcium pyrophosphate crystals in tissues

pseudogout

33
New cards

T/F: pseudogout is commonly reported in the dog

false, rare

34
New cards

where can cholesterol crystals form?

sites of hemorrhage or necrosis

35
New cards

why may we not see cholesterol after processing?

it dissolves and may leave acicular clefts in histologic section which attracts macrophages

36
New cards

____________ calcification is the deposition of calcium salts in soft tissues

pathologic aka tissues that should not be calcified normally

37
New cards

________ calcification is the result of hypercalcemia aka an imbalance of calcium and phosphorus

metastatic

38
New cards

what are the causes of metastatic calcification?

primary hyperparathyroidism

renal secondary hyperparathyroidism

hypervitaminosisD

paraneoplastic syndromes

39
New cards

where will see metastatic calcification microscopically?

calcium depostition in intima and tunica media of vessels

basement membranes, elastic fibers, collagen fibers

40
New cards

what organs will we see metastatic calcification?

lungs, pleura, endocardium, kidneys, stomach

41
New cards

how will metastatic calcification look microscopically?

subtle basophilic stippling

<p>subtle basophilic stippling</p>
42
New cards

What stain do we use for calcium?

Von Kossa

silver in stain precipitates with calcium salts and stains black

<p>Von Kossa</p><p>silver in stain precipitates with calcium salts and stains black</p>
43
New cards

what is the gross appearance of metastatic calcifiction?

gritty, white to off white granules to streaks

<p>gritty, white to off white granules to streaks</p>
44
New cards

_________ calcification is the calcification of dead tissue as part of necrosis

dystrophic

45
New cards

what is dystrophic calcification associated to physiologically?

loss of calcium balance during irreversible cell injury

46
New cards

what are some causes of dystrophic calcificaiton?

necrosis (striated muscle, caseous, fat)

repetitive trauma (calcinosis circumscripta)

47
New cards

what is the microscopic appearance of dystrophic calcification?

initially basophilic stippling in mitochondria which progresses to whole cell and extracellular tissue

<p>initially basophilic stippling in mitochondria which progresses to whole cell and extracellular tissue</p>
48
New cards

what is the gross appearance of dystrophic calcification?

gritty,, white to off white granules to streaks

to larger calcified nodules

<p>gritty,, white to off white granules to streaks</p><p>to larger calcified nodules</p>
49
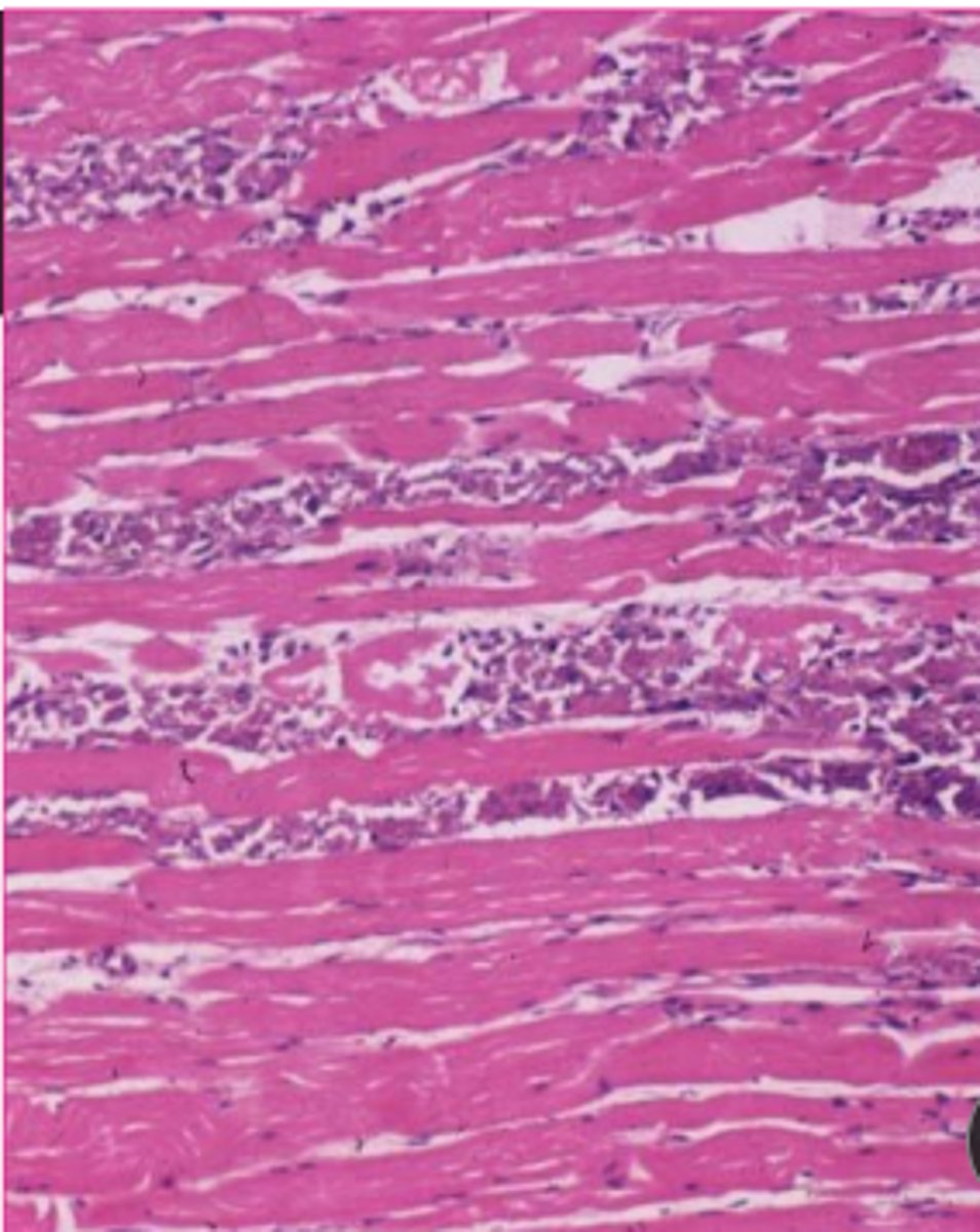
New cards

is this metastatic or dystrophic calcification?

dystrophic

<p>dystrophic</p>
50
New cards

______ __________ is the formation of bony tissue at an extra-skeletal site

heterotropic ossification

51
New cards

__________ is deposited by ________ with remodeling and mineralization

osteoid, osteoblasts

52
New cards

T/F: heterotopic ossification can develop into chronic lesions of soft tissue calcificaiotn

true

53
New cards

heterotopic ossification can be an incidental finding where?

in lungs and dura of old dogs