1/85
Name | Mastery | Learn | Test | Matching | Spaced | Call with Kai |
|---|
No analytics yet
Send a link to your students to track their progress
What defines what a cell is?
It’s a living unit of the body
Carries out essential processes
Have genetic info and make energy
Smallest unit of life
The central dogma of molecular biology
DNA → RNA → Protein
Eukaryotes vs. Prokaryotes
Eukaryotes: Can be multicellular, have chromosomes, a membrane-bound nucleus, and membrane-bound organelles.
Prokaryotes: Unicellular, have plasmids for DNA, no true nucleus.
What do cells generally do?
Make energy
Protein synthesis
Respiration
Divide
Phagocytosis
Endosymbiotic theory
posits that eukaryotic cells evolved when large prokaryotic cells engulfed smaller, energy-producing bacteria, which then lived inside the host and evolved into organelles like mitochondria
Function of the nucleus
DNA storage
Function of mitochondria
Power plant
Function of the rough endoplasmic reticulum
Protein synthesis
Function of the Golgi apparatus
Package, sort, traffic
Function of lysosomes
Acidic enzymes used for protein breakdown
The function of peroxisomes
oxidizing breakdown
Function of the nucleolus
rRNA & ribosome construction
How does the Golgi apparatus function?
protein/lipds enter the vesicles, then often get decorated before being sent back out.
Rank bonds by largest to smallest: Covalent, Ionic, H bond, Vander Waals.
Vander Waals
Ionic
H bond
Covalent
Rank bonds by strongest to weakest: Covalent, Ionic, H bond, Vander Waals.
Covalent
Ionic
Hydrogen
Vander Waals
What are the 4 macromolecules of a cell?
Carbohydrates
Proteins
Lipids/Fats
Nucleic acids
Sugars are defined by…
Carbon backbone and OH groups
Monosaccharides can combine into disaccharides via a…
Glycosidic bond
What kind of reactions allow the polymerization of biochemicals
Dehydration synthesis
True or False: fats are polar molecules
False. They are nonpolar
Two key traits of a fatty acid
Hydrophilic carboxylic acid head
Hydrophobic hydrocarbon tail
What distinguishes triacylglycerol from phospholipids?
Triacylglycerols have three fatty acid tails for energy storage and are hydrophobic, while phospholipids have two fatty acid tails and a phosphate group
The 4 components of an amino acid:
An amino group
A carboxyl
an alpha carbon
a side chain
What is the main role of enzymes?
To act as catalysts
Why are fatty acids important to the cell?
Insulation
Long-term energy
membrane formation
Chaperone proteins
Help polypeptide chains properly fold
The most common protein folding motif
alpha helix
Example of a structural protein
Actin
True or False: Enzymes are not consumed in a reaction
True
The “helpers” of enzymes
Cofactors
Transferases
Transfers a functional group. aka kinases
Ligase function
Join two molecules with covalent bonds
Describe G-Protein-GTP hydrolysis
Protein “on” with GTP → GTP hydrolysis, phosphate falls off → Protein has GDP and is inactive → GDP slowly falls off → New GTP steps in to activate protein!
What 3 general strategies does an enzyme use when it’s interacting with its
substrate to make a reaction happen?
Binds two substrates close together to ‘encourage’ them to bond
Rearranges charges
Strain the bonds (make it transition!)
Describe a phospholipid
Has a hydrophilic head composed of phosphate and glycerol. Also has a fatty acid tail that is hydrophobic.
Where are phospholipids made?
Inside the endoplasmic reticulum
How do membranes get more membrane?
The ER delivers vesicles
If you have a bunch of phospholipids in a tube of water, what will happen?
They will automatically form a bilayer.

What kind of micrograph is this?
Scanning Electric Microscopy

What kind of micrograph is this?
Confocal fluorescence microscopy

What kind of micrograph is this?
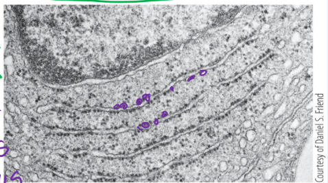
Transmission electron microscopy
What do scientists often use to solubilize membrane proteins?
Detergent
What gets through the cell membrane?
Small hydrophobic molecules (O2, CO2)
Small uncharged polar molecules (H2O, -ols)
How are ion channels often created?
Aqueous pore becomes bound by alpha helices
3 things ions can use to go against their gradient
Coupled transport
ATP-driven pump
Light driven pump
Name the highest concentrations of ions inside and outside the cell
Inside: K+
Outside: Cl- & Na+
Na+ / K+ ATPase Pump function
Active transports 3 the Na+ against gradient, while bringing in 2 K+. Maintains cellular homeostasis.
Glycolysis ATP investment/net
Invest: 2
Net: 2
TCA ATP invest/net
Invest: 0 ATP
Net: 2 ATP
What is the A band on a sarcomere comprised of?
Overlapping myosin and actin
What is the I band of a sarcomere comprised of?
Only thin, actin filaments
What is the H zone on a sarcomere comprised of?
Thick, myosin filaments
Describe the steps leading up to muscle contraction.
An action potential moves down a motor neuron
Once at the terminal end, voltage-gated Ca+ ion channels open
The influx of Ca+ makes vesicles dump Acetylcholine
Ach is received by receptors on muscle cell membrane via the Ach receptor
Na+ rushes into the muscle cell through receptor channels
An action potential goes down the muscle membrane
Ryanodine receptors on the sarcoplasmic reticulum open
Ca+ rushes out of SR
Ca+ binds to troponin
Troponin leaves myosin & actin connections
ATP hydrolysis allows connection and power strokes on myosin heads
Describe what methylation and acetylation do to histones
Methylation - tightens, no transcription
Acetylation - loosens, transcription welcome
In the electron transport chain, what does complex I do?
NADH dehydrogenase
Receives 4 electrons from NADH, pumps out 4 H+ protons
In the electron transport chain, what does complex II do?
Succinate Dehydrogenase
Receives electrons from FADH2, oxidizes succinate to fumarate. Does not pump protons.
In the electron transport chain, what does complex III do?
Cytochrome bc1 Complex
Receives electrons from reduced ubiquinol, pumps 4 protons, and reduces cytochrome c
In the electron transport chain, what does complex IIII do?
Cytochrome c Oxidase
Receives electrons from cytochrome c, pumps 2 protons, and reduces oxygen to water
In the electron transport chain, what does complex IV do?
ATP Synthase
Uses proton gradient generated by the complexes (I, III, & IV) to synthesize ATP from ADP
Whirling dervish!
Where do light-dependent reactions occur? What are their inputs & outputs?
Location: Thylakoid membrane
Input: light & H2O
Output: ATP, NADPH, and O2
What are the mobile carriers of the ETC?
Cytochrome c & ubiquinone
Where do light-independent reactions occur? What are their inputs & outputs?
Location: Stroma
Input: ATP, NADPH, & CO2
Output: Sugar! Aminos, fatty acids.
What types of signal transduction pathways exist?
Endocrine
Neuronal
Paracrine
Contact-dependent
Anterior pituitary gland
Secrete ‘starter hormones’
Adrenal gland
secretes stress hormones
Gonads
Secretes estrogen, testosterone
Paracrine function
Effectively function as local mediators
At what phase of life is contact dependent signaling most prevalent?
Embryonic development
What are the two main molecular on/off switches?
Phosphorylation/ dephosphorylation
G proteins (like GTP)
What is the direction of replication?
5’ to 3’
Who starts replication?
Helicase
Initiation of DNA Synthesis Requires a…
Primer
RNA polymerase (primase) function
synthesizes primers
Elongation of DNA strands is easier in what direction?
The leading strand (5’ to 3’)
What are the steps of DNA replication in a cell?
Single-Stranded Binding Proteins open the replication bubble
Helicase unzips
Primase makes primer
DNA polymerase III copies DNA
Replace RNA primers with DNA
Ligase seals gaps
What are the steps to DNA replication in a tube (PCR)?
Use heat to melt open the double helix
Add primers to the tube
Taq DNA polymerase III copies the DNA
If you wanted to actually replicate DNA, which DNA polymerase would you choose?
Polymerase III
What enzyme can be used to stop supercoiling?
DNA gyrase
True or false: DNA Polymerase III synthesizes only in the 5’ to 3’ direction
True
True or False: The leading strand is associated with Okazaki fragments
False! it’s the lagging strand
DNA Polymerase II function
Repairs mistakes and proofreads
True or False: RNA uses Uracil
True!
mRNA function
Codes for proteins
rRNA function
acts as a ribozyme to catalyze protein synthesis
tRNA function
transfers RNA amino acids onto growing peptide chain in translation
What 3 things must happen for transcription to be complete?
7 methyl guanosine cap on 5’ end
Introns must be spliced out
Polyadenylate the 3’ end