HISTEM W14/15 Prenatal Development: Development of Orofacial Structures

0.0(0)
studied byStudied by 0 people
0.0(0)
full-widthCall with Kai
GameKnowt Play
New
learnLearn
examPractice Test
spaced repetitionSpaced Repetition
heart puzzleMatch
flashcardsFlashcards
Card Sorting

1/56

encourage image

There's no tags or description

Looks like no tags are added yet.

Study Analytics
Name
Mastery
Learn
Test
Matching
Spaced

No study sessions yet.

57 Terms

1
New cards

What are the 3 periods of prenatal development?

  1. Pre-implantation period → 1st trimester; zygote to blastocyst

    • blastocyst implants and then embryonic period starts

  2. Embryonic period → 1st trimester

  3. Fetal period → second and third trimester

<ol><li><p>Pre-implantation period → 1st trimester; zygote to blastocyst</p><ul><li><p>blastocyst implants and then embryonic period starts </p></li></ul></li><li><p>Embryonic period → 1st trimester</p></li><li><p>Fetal period → second and third trimester </p></li></ol><p></p>
2
New cards

Which weeks of development is susceptible to prenatal death?

Week 1-2

3
New cards
<p></p>

Sperm (23) + ovum (23) = Zygote (46 chromosomes)

4
New cards

What happens in the first week after fertilization/conception?

  • Fertilized ovum, now called zygote undergoes mitosis and forms initial ball of cells called a Morula

  • Morula undergoes more mitosis and becomes blastocyst/blastula(vesicle)

  • Blastocyst travels from fallopian tube to the uterus

  • Implantation occurs at the END of week 1.

<ul><li><p>Fertilized ovum, now called zygote undergoes mitosis and forms initial ball of cells called a <strong>Morula</strong></p></li><li><p><strong>Morula undergoes more mitosis and becomes blastocyst/blastula(vesicle) </strong></p></li><li><p><strong>Blastocyst travels from fallopian tube to the uterus </strong></p></li><li><p>Implantation occurs at the END of week 1. </p></li></ul><p></p>
5
New cards

Trisomy 21 aka Downsyndrome is a major congenital malformation that occurs due to …?

disturbances occuring during the basic process of meiosis during fertilization.

6
New cards

Once implantation begins, what happens to the blastocyst?

Blastocyst is embedded in the endometrium and continues dividing (cleavage) forming a peripheral layer of cells called the Trophoblast layer and a small inner mass of embryonic cells/embryoblast layer

7
New cards

What are the 5 developmental processes? Describe each briefly

  1. Induction → action of one group of cells on another group leading to establishment of developmental path as a response

  2. Proliferation → controlled cellular growth and accumulation of byproducts (interstitial growth/appositional)

  3. Differentiation → embryonic cells become distinct in structure and function

  4. Morphogenesis → development of specific tissue structure/shape; increase in complexity of structure and function of cells

  5. Maturation → attaining adult function/size of tissues/organs by proliferation, differentiation and morphogenesis.

8
New cards

The blastocyst grows by proliferation of the embryonic cells. What are the 3 layers formed within the blastocyst?

Ectoderm, mesoderm, endoderm.

9
New cards

What is the Bilaminar embryonic disc? 

Bilaminar embryonic disc → developed from the blastocyst; 3D flattened, circulate plate of bi-layered cells. 

  • will later develop into the embryo

<p>Bilaminar embryonic disc → developed from the blastocyst; 3D flattened, circulate plate of bi-layered cells.&nbsp;</p><ul><li><p>will later develop into the embryo</p></li></ul><p></p>
10
New cards

What are the 2 layers that make up the bilaminar embryonic disc?

  1. Superior epiblast → high columnar cells

  2. Inferior hypoblast → small cuboidal cells

<ol><li><p>Superior epiblast → high columnar cells</p></li><li><p>Inferior hypoblast → small cuboidal cells</p></li></ol><p></p>
11
New cards

What is the primitive streak? When does it form?

Primitive streak = furrowed, rod-shaped thickening in the middle of the bilaminar disc as a result from increased cell proliferation in the midline area.

  • FORMS IN THIRD WEEK OF DEVELOPMENT

  • Primitive streak gives rise to bilateral symmetry

<p>Primitive streak = furrowed, rod-shaped thickening in the middle of the bilaminar disc as a result from increased cell proliferation in the midline area. </p><ul><li><p>FORMS IN THIRD WEEK OF DEVELOPMENT </p></li><li><p><em>Primitive streak gives rise to bilateral symmetry</em></p></li></ul><p></p>
12
New cards

In week 3 of development, what happens to the epiblast layer and hypoblast layer?

  1. Cells from epiblast layer migrates towards the hypoblast layer in the area of the primitive streak 

  2. Migrated epiblast layer cells form the mesoderm and endoderm → 3 layers present 

  3. Embryonic disc is now called trilaminar embryonic disc

<ol><li><p>Cells from epiblast layer migrates towards the hypoblast layer in the area of the primitive streak&nbsp;</p></li><li><p><strong>Migrated epiblast layer cells form the mesoderm and endoderm</strong> → 3 layers present&nbsp;</p></li><li><p>Embryonic disc is now called trilaminar embryonic disc</p></li></ol><p></p>
13
New cards

Which embryonic cell layer is considered the ectoderm?

  • Epiblast layer is now the ectoderm.

  • Hypoblast layer becomes displaced by migrating cells and is now called extra-embryonic endoderm.

<ul><li><p><strong>Epiblast layer is now the ectoderm. </strong></p></li><li><p>Hypoblast layer becomes displaced by migrating cells and is now called<strong> extra-embryonic endoderm. </strong></p></li></ul><p></p>
14
New cards

The 3 primary germ layers aka primary embryonic layers 

Ectoderm - outer

Mesoderm - middle

Endoderm - inner

<p>Ectoderm - outer</p><p>Mesoderm - middle</p><p>Endoderm - inner </p>
15
New cards

What organs arise from the endoderm? (4)

  1. Hypoblast layer → cuboidal

  2. Epithelial lining of the GI tract → pharynx, stomach, intestines

  3. Respiratory and digestive lining

  4. Liver

  5. Pancreatic cells

16
New cards

What organs arise from the Mesoderm? (4)

  1. Kidneys

  2. Skeletal system

  3. Muscle system

  4. Blood, lymph cells, bone marrow

  5. Some reproductive and excretory organs

  6. Tooth: dentin, cementum, pulp, PDL, alveolar process

17
New cards

What organs arise from the Ectoderm? (4)

  1. Epithelium of outer body → columnar epithelium

  2. Epithelium lining of the oral and nasal cavity, sinuses

  3. Tooth Enamel

  4. Nervous system

18
New cards

The development of the face happens during which weeks of development?

weeks 4-12 

  • begins during the 4th week. Wha

<p>weeks 4-12&nbsp;</p><ul><li><p>begins during the 4th week.&nbsp;Wha</p></li></ul><p></p>
19
New cards

What is a Stomodeum?

The primitive mouth formed during the 4th week of development.

<p>The primitive mouth formed during the 4th week of development. </p>
20
New cards

There are 6 branchial arches that form below the stomodeum, which arches are involved in the development of the face and oral cavity? What are their names?

  1. First arch: Mandibular arch

  2. Second arch: Hyoid arch

  3. Third arch

21
New cards

What are the names of the cartilages associated with the first and second branchial arches? What do these cartilage develop into? 

  1. 1st Branchial arch = Meckle’s cartilage → important for formation of the mandible (template) 

  2. 2nd Branchial arch = Reichert’s cartilage → forms upper body of the hyoid bone 

22
New cards

What part of the 1st branchial arch form the 2 maxillary processes? What does the remainder of the arch form?

Buddings on both ends of the 1st branchial arch become the 2 maxillary processes, the rest of the arch forms the mandibular process.

<p>Buddings on both ends of the 1st branchial arch become the 2 maxillary processes, the rest of the arch forms the mandibular process. </p>
23
New cards

The frontonasal process is divided into the medial nasal process and the left/right lateral nasal processes. What facial structures do they develop into?

Frontonasal process → medial and lateral nasal process →

  • Medial nasal process → forms globular process (aka intermaxillary segment to form the part of the palate), center of the upper lip (philtrum)

  • Left and right lateral process → forms the ala of the nose (side of the nose/nostrils)

<p>Frontonasal process → medial and lateral nasal process → </p><ul><li><p>Medial nasal process → forms globular process (aka intermaxillary segment to form the part of the palate), center of the upper lip (philtrum) </p></li><li><p>Left and right lateral process → forms the ala of the nose (side of the nose/nostrils) </p></li></ul><p></p>
24
New cards

What fuses with the globular process to complete the development of the upper lip?

left and right maxillary process → grows medially from the corners of the primitive mouth and fuse to the globular process forming the upper lip.

<p>left and right maxillary process → grows medially from the corners of the primitive mouth and fuse to the globular process forming the upper lip. </p>
25
New cards

By the 5th - 6th week of fetal development, what structures have formed in regards to the face? (5 origins)

  • Frontonasal process → forms forehead, bridge of nose, nasal pits.

  • Maxillary processes (from 1st branchial arch) → form upper cheeks, lateral upper lip, most of upper jaw.

  • Mandibular processes → fuse to form lower jaw, lower lip, chin.

  • Medial nasal processes → merge to form philtrum and middle portion of upper lip.

  • Lateral nasal processes → form sides (ala) of nose.

By week 6, major facial prominences have appeared and start fusing to establish basic facial structure.

<ul><li><p><strong>Frontonasal process</strong> → forms forehead, bridge of nose, nasal pits.</p></li><li><p><strong>Maxillary processes (from 1st branchial arch)</strong> → form upper cheeks, lateral upper lip, most of upper jaw.</p></li><li><p><strong>Mandibular processes</strong> → fuse to form lower jaw, lower lip, chin.</p></li><li><p><strong>Medial nasal processes</strong> → merge to form philtrum and middle portion of upper lip.</p></li><li><p><strong>Lateral nasal processes</strong> → form sides (ala) of nose.</p></li></ul><p>By week 6, major facial prominences have appeared and start fusing to establish basic facial structure.</p>
26
New cards

Which cranial nerve arises from the first branchial arch? 

Trigeminal nerve CN 5 

27
New cards

The muscles for mastication is developed from which branchial arch?

1st (mandibular) branchial arch

28
New cards

Which cranial nerve arises from the 2nd branchial arch? 

Facial nerve CN 7

29
New cards

The muscles for facial expression are developed from which branchial arch?

2nd (hyoid) arch. 

30
New cards
<p>What causes this developmental disturbance during the embryonic period?</p>

What causes this developmental disturbance during the embryonic period?

Ectodermal Dysplasia → abnormal development of one or more structures from the ectoderm leading to partial/complete anodontia (absence of some teeth or all teeth)

  • Caused by: mutation in genes leading to abnormal ectodermal structure development.

31
New cards

How does Rubella affect fetal development?

Rubella aka measles (viral infection) affects on unborn infant:

  • cataracts

  • deafness

  • damage to heart or brain

32
New cards

How does fetal alcohol syndrome affect facial development of the fetus? 

Fetal alcohol syndrome causes:

  • crowding of teeth

  • mouth breathing

  • anterior open bite 

33
New cards

How does Syphilis affect prenatal teeth development?

Syphilis can cause Hutchinson’s incisors (notched incisors) and Mulberry molars (globular shaped enamel)

<p>Syphilis can cause Hutchinson’s incisors (notched incisors) and Mulberry molars (globular shaped enamel) </p>
34
New cards
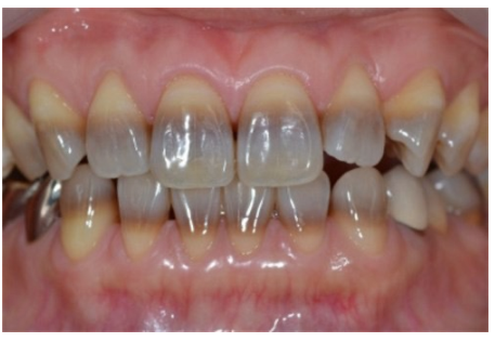
<p>What is this?</p>

What is this?

Tetracycline staining

  • Intrinsic yellow-brown stain

  • chemically bound to dentin

  • most common in children under 8yo or if drug was taken during pregnancy

35
New cards

Palate development starts during which week of prenatal development? What are the 3 structures that give rise to the palate?

5th week.

Palate arises from:

  • 2 maxillary processes

  • globular process AKA intermaxillary segment

36
New cards

T or F - The development of the intermaxillary segment is from the fusion of the medial nasal processes on the inside of the stomodeum.

TRUE 

<p>TRUE&nbsp;</p>
37
New cards

The intermaxillary segment forms during which weeks of development? What does the intermaxillary segment give rise to? 

Intermaxillary segment forms during week 5-6 → by fusion of medial nasal processes

  • Develops into:

    • Floor of nasal cavity and nasal septum

    • primary palate (anterior 1/3rds of the hard palate) which then forms the premaxilla

<p>Intermaxillary segment forms during week 5-6 → by fusion of medial nasal processes </p><ul><li><p>Develops into:</p><ul><li><p>Floor of nasal cavity and nasal septum</p></li><li><p>primary palate <strong>(anterior 1/3rds of the hard palate) </strong><em>which then forms the premaxilla</em></p></li></ul></li></ul><p></p>
38
New cards

Describe the formation of the secondary palate. 

Timing: Begins around week 6–7 of embryonic development.

Origin: From the maxillary processes → form lateral palatine shelves (outgrowths on either side of the tongue).

Process:

  • 2 shelves form vertically alongside the tongue from the 2 lateral maxillary processes 

  • As the tongue begins to move, shelves elevate (flip-up) to a horizontal position above it.

  • Shelves grow medially and fuse at the midline → forming the secondary palate.

  • Fusion also occurs anteriorly with the primary palate and superiorly with the nasal septum.

Result:

  • Separates oral and nasal cavities posteriorly.

  • Forms hard and soft palate (posterior 2/3rds of the final palate), uvula

<p>Timing: Begins around week 6–7 of embryonic development.</p><p><strong>Origin: From the maxillary processes</strong> → form lateral palatine shelves (outgrowths on either side of the tongue).</p><p><strong>Process:</strong></p><ul><li><p>2 shelves form vertically alongside the tongue from the 2 lateral maxillary processes&nbsp;</p></li><li><p>As the tongue begins to move, shelves elevate (flip-up) to a horizontal position above it.</p></li><li><p>Shelves grow medially and fuse at the midline → forming the secondary palate.</p></li><li><p>Fusion also occurs anteriorly with the primary palate and superiorly with the nasal septum.</p></li></ul><p>Result:</p><ul><li><p>Separates oral and nasal cavities posteriorly.</p></li><li><p>Forms hard and soft palate (posterior 2/3rds of the final palate), uvula</p></li></ul><p></p>
39
New cards

T or F - During the 12th week of development, the Primary palate and the secondary palate fuse in the roof of the mouth in a U-shaped pattern.

FALSE - fuse in a Y-shaped pattern.

<p>FALSE - fuse in a Y-shaped pattern.</p>
40
New cards

What is medial palatine raphe? how is it formed?

Median palatine raphe: A midline ridge running along the hard palate, from the incisive papilla to the uvula.

Formation:

  • Formed when the lateral palatine shelves (from the maxillary processes) fuse at the midline during secondary palate development.

  • The line of fusion becomes the median palatine raphe, covered by mucosa.

<p><strong>Median palatine raphe: </strong>A midline ridge running along the hard palate, from the incisive papilla to the uvula.</p><p><strong>Formation:</strong></p><ul><li><p>Formed when the lateral palatine shelves (from the maxillary processes) <strong>fuse at the midline</strong> during secondary palate development.</p></li><li><p>The line of fusion becomes the median palatine raphe, covered by mucosa.</p></li></ul><p></p>
41
New cards

What is the median palatine suture?

Median palatine suture: The bony union where the right and left palatine processes of the maxilla fuse in the midline.

  • Location: Runs along the center of the hard palate, beneath the median palatine raphe.

<p><strong>Median palatine suture: </strong>The <strong>bony union</strong> where the right and left palatine processes of the maxilla fuse in the midline.</p><ul><li><p>Location: Runs along the center of the hard palate, beneath the median palatine raphe.</p></li></ul><p></p>
42
New cards
term image

Development of the Palate and nasal septum

43
New cards

Write out the Palatal development timeline.

  • 5-6th week = primary palate development → intermaxillary segment fuses with medial nasal process

  • 6th-12th week = Secondary palate development → fused palatal shelves from maxillary processes

  • 12th week = finalizing palate → fusion of all 3 processes

<ul><li><p>5-6th week = primary palate development → intermaxillary segment fuses with medial nasal process</p></li><li><p>6th-12th week = Secondary palate development → fused palatal shelves from maxillary processes </p></li><li><p>12th week = finalizing palate → fusion of all 3 processes </p></li></ul><p></p>
44
New cards

During 4th week of development, the frontonasal process undergoes growth and creates _____ which will later develop into the nasal cavity.

creates nasal pits which form future nasal cavity 

*tissue around nasal placodes on the frontonasal process grow to form the pits.

<p>creates nasal pits which form future nasal cavity&nbsp;</p><p><em>*tissue around </em><strong><em>nasal placodes</em></strong><em> on the frontonasal process grow to form the pits. </em></p>
45
New cards

The nostrils of the nose are formed from…?

fusion of the lateral nasal, maxillary and medial nasal processes

<p>fusion of the lateral nasal, maxillary and medial nasal processes </p>
46
New cards

Which developmental process fuse together and form: 

  • middle part of the nose

  • tubercle of the upper lip

  • philtrum 

Medial Nasal Processes 

47
New cards

What is cleft lip? How is it formed?

Cleft lip is the partial or complete failure of fusion between the medial nasal processes and 1 or both maxillary processes. 

  • Incidence is 1:1000, twice as common in males

  • mandibular cleft lip is very rare

  • Most common cleft lip is on UNILATERAL on the left side. 

<p>Cleft lip is the partial or complete failure of fusion between the medial nasal processes and 1 or both maxillary processes.&nbsp;</p><ul><li><p>Incidence is 1:1000, twice as common in males</p></li><li><p>mandibular cleft lip is very rare</p></li><li><p><strong>Most common cleft lip is on UNILATERAL on the left side.&nbsp;</strong></p></li></ul><p></p>
48
New cards

What is cleft palate? How is it formed?

Cleft palate is the failure of lateral palatine processes fusion with each other or with the premaxilla (primary palate)

  • causes nasal cavity to be exposed to oral environment

  • more common in females

  • hereditary influence may be a factor

  • other etiological factors may include: mechanical interference by the tongue, stress, infectious disease, malnutrition, increasing maternal age.

49
New cards
<p>Various degrees of disability due to improper development of the palate. </p>

Various degrees of disability due to improper development of the palate.

knowt flashcard image
50
New cards

Which branchial arch is the body and root of the tongue developed from?

Body of tongue = first branchial arch (week 4) → develops first

Base/root of tongue = 2nd, 3rd, 4th branchial arches → developed later

51
New cards
<p>Describe the development of the tongue.</p>

Describe the development of the tongue.

Development of the Tongue — Summary:

  1.  Begins with a small midline swelling called the tuberculum impar.

  2. Lateral lingual swellings form on each side of it (from the 1st branchial arch).

  3. These lateral swellings grow, merge, and overtake the tuberculum impar → forming the anterior two-thirds (body) of the tongue.

  4. Their line of fusion forms the median lingual sulcus.

  5. Behind this area, the copula (from 3rd and part of 4th arches) develops → forming the posterior one-third (base) of the tongue.

  6. Posterior to the copula, the epiglottic swelling appears → becomes the epiglottis.

<p>Development of the Tongue — Summary:</p><ol><li><p>&nbsp;Begins with a small midline swelling called the tuberculum impar.</p></li><li><p>Lateral lingual swellings form on each side of it (from the 1st branchial arch).</p></li><li><p>These lateral swellings grow, merge, and overtake the tuberculum impar → forming the anterior two-thirds (body) of the tongue.</p></li><li><p>Their line of fusion forms the median lingual sulcus.</p></li><li><p>Behind this area, the copula (from 3rd and part of 4th arches) develops → forming the posterior one-third (base) of the tongue.</p></li><li><p>Posterior to the copula, the epiglottic swelling appears → becomes the epiglottis.</p></li></ol><p></p>
52
New cards
<p>Development of orofacial structures timeline </p>

Development of orofacial structures timeline

<p></p>
53
New cards
<p>What is this anomaly? </p>

What is this anomaly?

Cleft tongue

54
New cards
term image

Macroglossia - enlarged tongue 

55
New cards
term image

Microglossia - abnormally small tongue

56
New cards

What is Macrostomia? How does it compare to microstomia?

  • Macrostomia → Extremely large mouth opening that is a result from a failure of fusion between maxillary process and mandibular arch at the corners of the mouth.

  • Microstomia → extremely small mouth opening caused by merging of the maxillary process and mandibular arch at the corners of the mouth.

<ul><li><p>Macrostomia → Extremely large mouth opening that is a result from a failure of fusion between maxillary process and mandibular arch at the corners of the mouth. </p></li><li><p>Microstomia → extremely small mouth opening caused by merging of the maxillary process and mandibular arch at the corners of the mouth. </p></li></ul><p></p>
57
New cards

37% of people with orofacial clefts also have additional anomalies or hereditary diseases such as…?

  • Congenital heart disease

  • Spina bifida → A neural tube defect where the vertebral arches fail to fuse over the spinal cord during embryonic development.

<ul><li><p>Congenital heart disease</p></li><li><p>Spina bifida →&nbsp;A neural tube defect where the vertebral arches fail to fuse over the spinal cord during embryonic development.</p></li></ul><p></p>