Dermis & Hypodermis (oral)

0.0(0)
studied byStudied by 0 people
full-widthCall with Kai
GameKnowt Play
learnLearn
examPractice Test
spaced repetitionSpaced Repetition
heart puzzleMatch
flashcardsFlashcards
Card Sorting

1/12

encourage image

There's no tags or description

Looks like no tags are added yet.

Study Analytics
Name
Mastery
Learn
Test
Matching
Spaced

No study sessions yet.

13 Terms

1
New cards

Epidermis

What is the name of the skin layer indicated by number 1 on the diagram?

<p>What is the name of the skin layer indicated by number 1 on the diagram?</p>
2
New cards

Dermis

What is the name of the skin layer indicated by number 2 on the diagram?

<p>What is the name of the skin layer indicated by number 2 on the diagram?</p>
3
New cards

Hypodermis (subcutaneous layer)

What is the name of the skin layer indicated by number 3 on the diagram?

<p>What is the name of the skin layer indicated by number 3 on the diagram?</p>
4
New cards

papillary layer of dermis

What is the name of the layer indicated by 1 on the diagram?

<p>What is the name of the layer indicated by 1 on the diagram?</p>
5
New cards

reticular layer of dermis

What is the name of the layer indicated by 2 on the diagram?

<p>What is the name of the layer indicated by 2 on the diagram?</p>
6
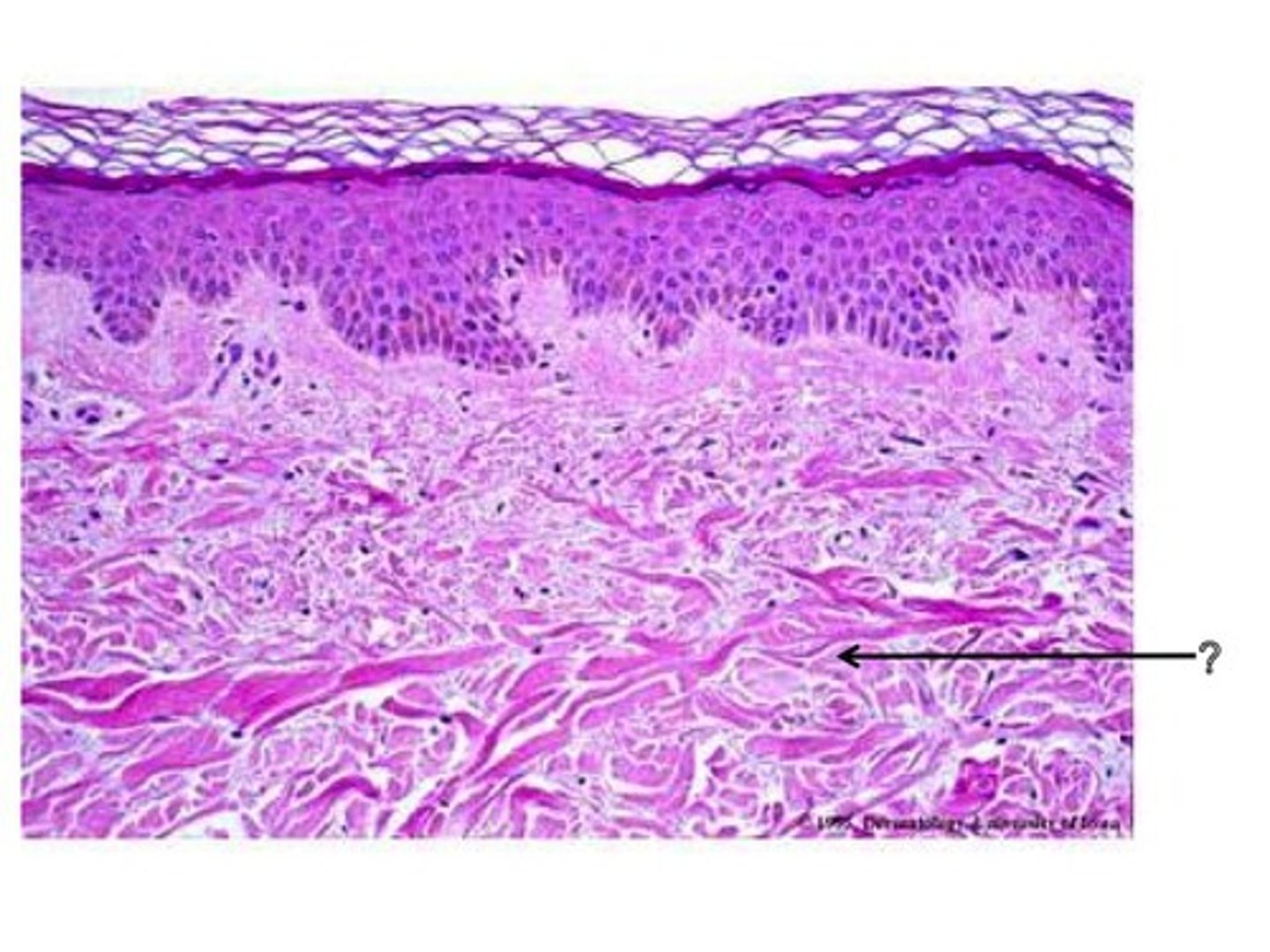
New cards

reticular layer of dermis

What layer is the arrow pointing to?

<p>What layer is the arrow pointing to?</p>
7
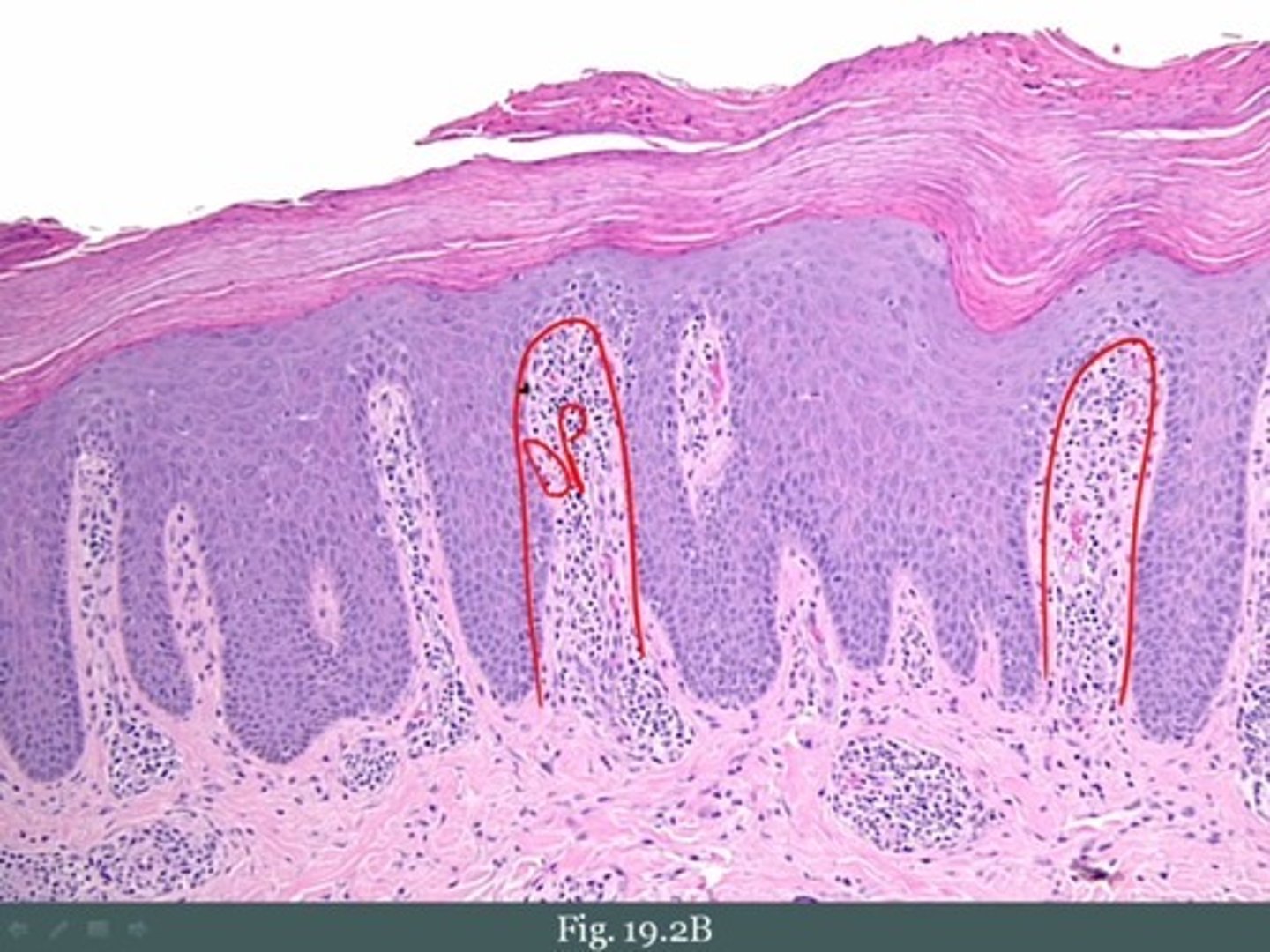
New cards

dermal papillae

What is the name of structure indicated by 3 on the diagram?

<p>What is the name of structure indicated by 3 on the diagram?</p>
8
New cards

dermal papillae

what is the red outline called?

<p>what is the red outline called?</p>
9
New cards

Tactile corpuscles (Meissner's corpuscles)

What is the red arrow pointing to?

<p>What is the red arrow pointing to?</p>
10
New cards

Tactile corpuscles (Meissner's corpuscles)

what is this called?

<p>what is this called?</p>
11
New cards

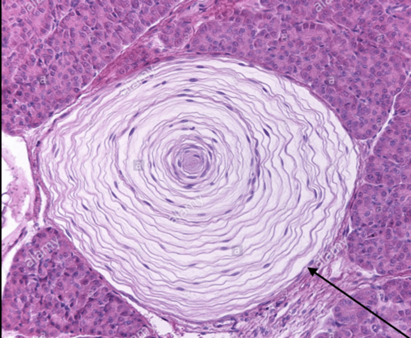
Lamellated corpuscles (Pacinian corpuscles)

what is this called?

<p>what is this called?</p>
12
New cards

Lamellated (Pacinian) corpuscles

what is the structure in the bracket called?

<p>what is the structure in the bracket called?</p>
13
New cards

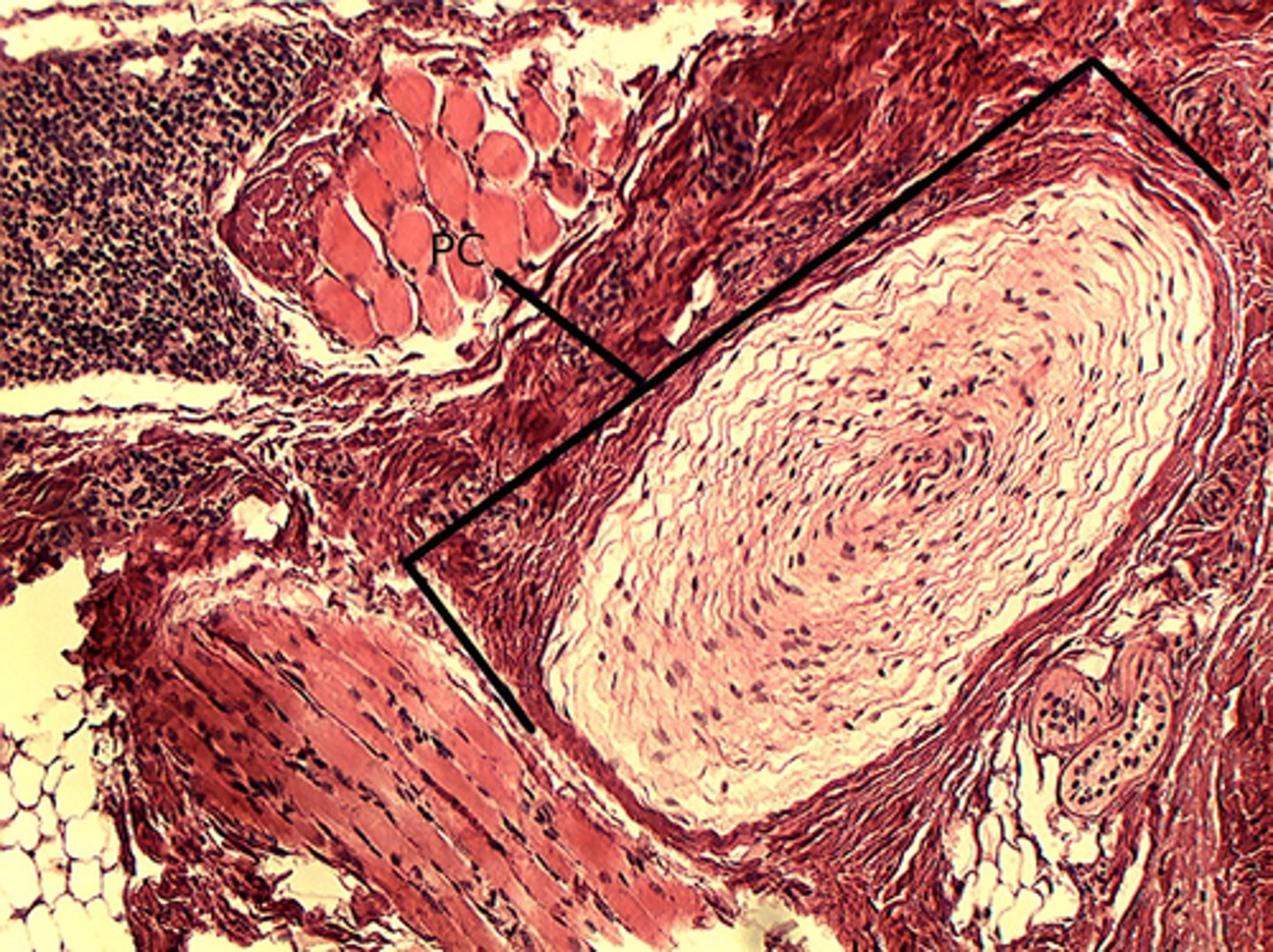
Lamellated (Pacinian) corpuscles

What is the red arrow pointing to?

<p>What is the red arrow pointing to?</p>