White Blood Cell Identification Quiz

0.0(0)
studied byStudied by 0 people
0.0(0)
full-widthCall Kai
learnLearn
examPractice Test
spaced repetitionSpaced Repetition
heart puzzleMatch
flashcardsFlashcards
GameKnowt Play
Card Sorting

1/27

encourage image

There's no tags or description

Looks like no tags are added yet.

Study Analytics
Name
Mastery
Learn
Test
Matching
Spaced
Call with Kai

No study sessions yet.

28 Terms

1
New cards

neutrophil

knowt flashcard image
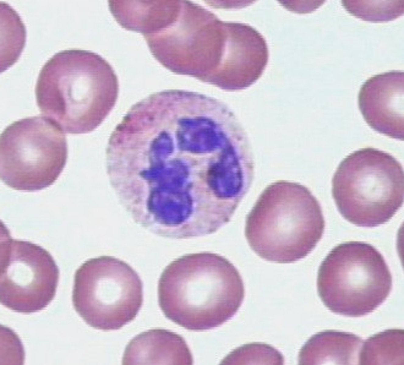
2
New cards

neutrophil

knowt flashcard image
3
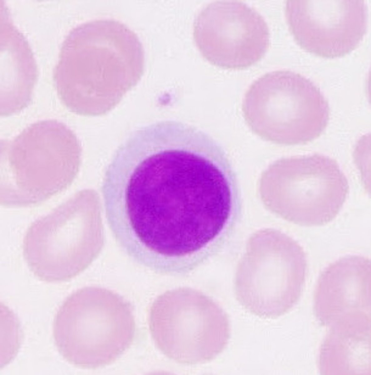
New cards

lymphocyte

knowt flashcard image
4
New cards

basophil

knowt flashcard image
5
New cards

eosinophil

knowt flashcard image
6
New cards

lymphocyte

knowt flashcard image
7
New cards

monocyte

knowt flashcard image
8
New cards

eosinophil

knowt flashcard image
9
New cards

basophil

knowt flashcard image
10
New cards

monocyte

knowt flashcard image
11
New cards

Neutrophil function

First ones to infection site and breaks down and kills bacteria, viruses, etc.

12
New cards

Eosinophil function

Uses exocytosis to release toxins onto surface of large parasite.

13
New cards

Basophil function

[Histamine] Increases permeability of capillaries and [Heparin] reduces blood clotting.

14
New cards

Monocyte function

Leave vessel and become macrophages.

15
New cards

Lymphocyte function

Migrates from blood to tissue through lymph and returns to blood.

16
New cards

White blood cells that phagocytize

Neutrophils, Eosinophils, Monocytes

17
New cards

White blood cells that do not phagocytize

Basophils and Lymphocytes

18
New cards

Neutrophils release

Toxins to kill bacteria and chemicals to call white blood cells to site

19
New cards

Eosinophils release

Chemicals that cause allergic reactions

20
New cards

Basophils release

Granules of Histamine and Heparin

21
New cards

Monocytes release

Chemical messengers

22
New cards

Lymphocytes release

Nothing

23
New cards

Leukocytes (WBCs) that are granulocytes/stain dark

Neutrophils, Eosinophils, and Basophils

24
New cards

Leukocytes (WBCs) that are agranulocytes

Monocytes and Lymphocytes

25
New cards

3 general properties of leukocytes

Defend, have nuclei, and is made in lymphatic tissue (such as bone marrow)

26
New cards

Location of most leukocytes

Bone marrow, Thymus, Spleen, mostly in tissues or organs of the Lymphatic System.

27
New cards

General characteristics of WBCs

Move along capillaries by amoeboid movement, detect injured cells, leave the capillary by squeezing through cells-diapedesis, positively chemotactic in the tissue, and finally, can destroy things by phagocytosis.

28
New cards

List WBCs in order of abundance

Neutrophils (54-62%), Lymphocytes (25-33%), Monocytes (2-8%), Eosinophils (3%), and Basophils (<1%)