1/25
Looks like no tags are added yet.
Name | Mastery | Learn | Test | Matching | Spaced | Call with Kai |
|---|
No analytics yet
Send a link to your students to track their progress
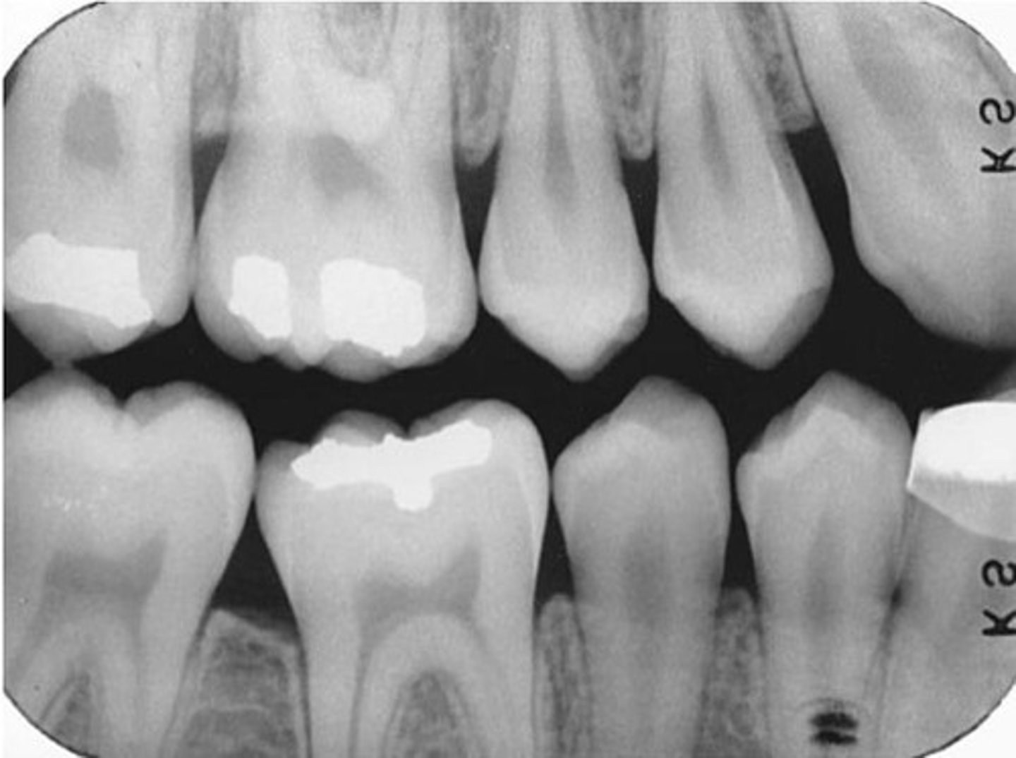
Bitewing technique
method used to examine the interproximal surfaces of teeth
-used to monitor the progression of dental caries, assess existing restorations, and examine the crestal bone levels between teeth
Interproximal
Between two adjacent surfaces
Interproximal examination
used to examine the crowns of both maxillary and mandibular teeth on a single image
Bitewing receptor
size 0, 1, 2 receptors with a bite tab or "wing"
Alveolar bone
the bone that surrounds the roots of the teeth. It forms the bony sockets that support and protect the roots of the teeth
Crestal bone
Coronal portion of alveolar bone found between the teeth
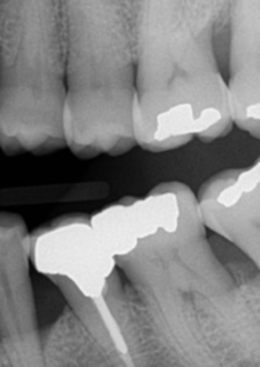
Contact areas
The area of a tooth that touches an adjacent tooth; the area where adjacent tooth surfaces contact each other
Opened contacts
appear as thin radiolucent lines between adjacent tooth surfaces
overlapped contacts
the area where the contact area of one tooth is superimposed over the contact area of an adjacent tooth.
horizontal bite-wing
The bite-wing receptor is placed in the mouth with the long portion of the receptor in a horizontal direction

Vertical bitewing
The bitewing receptor is placed in the mouth with the long portion of the receptor in a vertical direction.

Principles of bitewing technique
1. receptor placed in mouth parallel to the crowns of both the max and mand teeth
2. receptor stabilized when pt bites on bite wing tab or beam alignment device
3. when using bitewing tab, central ray is directed through contacts of teeth and vertical angulation of +10 degrees

Beam alignment device
Assists in the positioning of the position indicator device (PID)

Bitewing receptor
A receptor used to examine the crowns of the maxillary and mandibular teeth on a single image
Size 0
For posterior teeth of children with primary dentition

Size 2
For posterior teeth of older children and adults, placed horizontally or vertically

Size 3
For bitewings, not recommended

Horizontal angulation
Correct horizontal angulation:
-The central ray is directed perpendicular to the curvature of the arch and through the contact areas of the teeth.
incorrect horizontal angulation
results in overlapped contact areas
Vertical angulation
Correct vertical angulation
+10 degree
Incorrect vertical angulation
results in a distorted image
Exposure sequence for receptor placements
-two bite-wing receptors are typically exposed on each side of the arch
-one bite-wing receptor may be sufficient when posterior teeth are missing
Vertical Bite-Wings
Used to examine the level of alveolar bone
-Placed with the long portion of the receptor in a vertical direction
-Often used as post-treatment or follow-up films for patients with bone loss caused by periodontal disease
Modifications in bitewing technique
- Edentulous Spaces
- Bony Growths
Edentulous spaces
A cotton roll must be placed in the area of the missing tooth to support the bite-wing tab or beam alignment device.
Bony growths
Receptor must be placed between tori and tongue