GB pathology images

0.0(0)
studied byStudied by 0 people
full-widthCall with Kai
GameKnowt Play
learnLearn
examPractice Test
spaced repetitionSpaced Repetition
heart puzzleMatch
flashcardsFlashcards
Card Sorting

1/16

encourage image

There's no tags or description

Looks like no tags are added yet.

Study Analytics
Name
Mastery
Learn
Test
Matching
Spaced

No study sessions yet.

17 Terms

1
New cards
term image

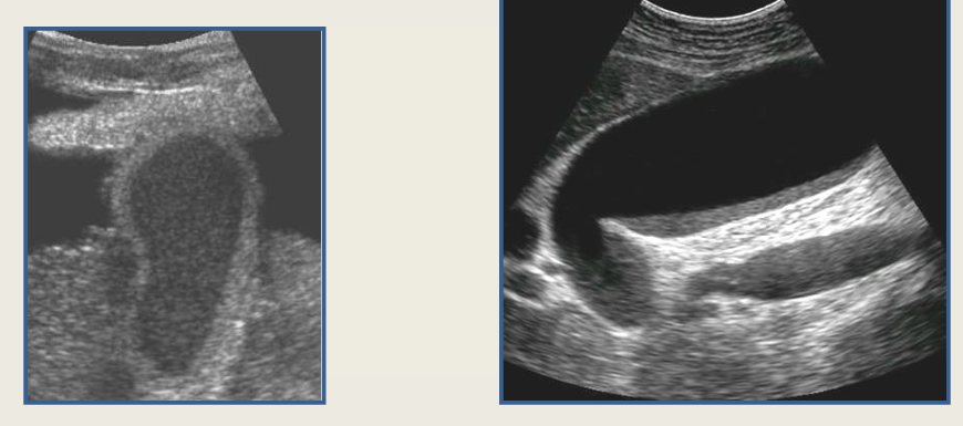
cholelithiasis

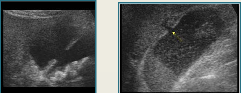
2
New cards
term image

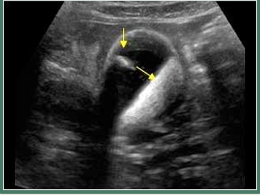
WES sign

3
New cards
term image

sludge

4
New cards
term image

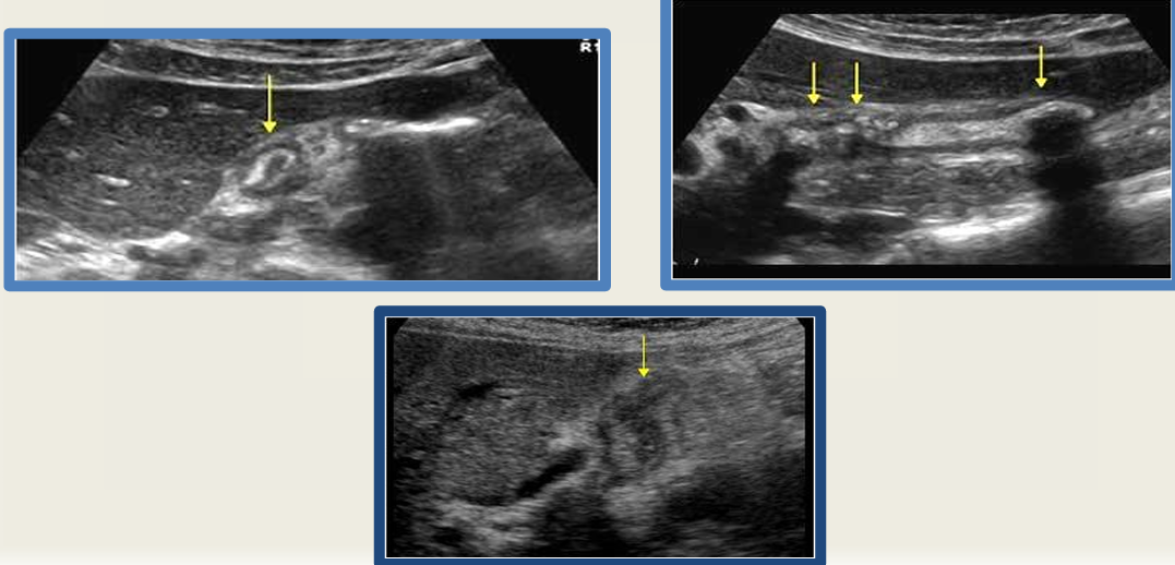
porcelain GB 

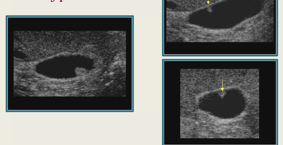
5
New cards
term image

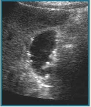
gb polyps

6
New cards
term image

adenomyomatosis

7
New cards
term image

strawberry GB

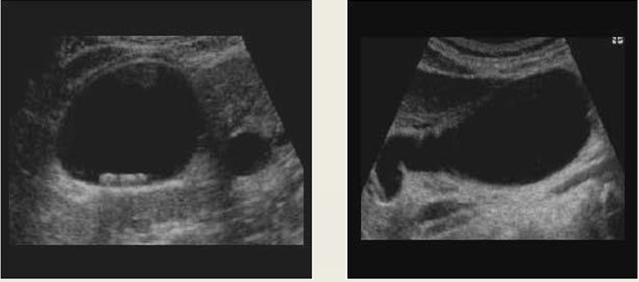
8
New cards
term image

mucocele

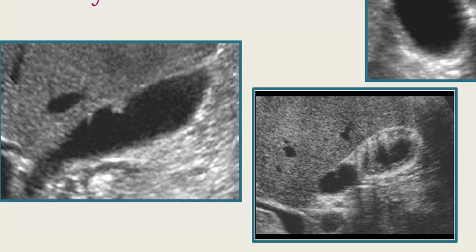
9
New cards
term image

cholecystitis

10
New cards
term image

gangrenous GB

11
New cards
term image

emphysematous cholecystitis

12
New cards
term image

GB perforation

13
New cards
term image

GB carcinoma

14
New cards
term image

milk of calcium

15
New cards
term image

GB polyps

16
New cards
term image

chronic cholecystitis

17
New cards
term image

Mirizzi syndrome