BIOL 231 - General Human Anatomy - Lab 2 - Histology or Microscopic Anatomy (slides only)

0.0(0)
studied byStudied by 1 person
full-widthCall with Kai
GameKnowt Play
learnLearn
examPractice Test
spaced repetitionSpaced Repetition
heart puzzleMatch
flashcardsFlashcards
Card Sorting

1/81

encourage image

There's no tags or description

Looks like no tags are added yet.

Study Analytics
Name
Mastery
Learn
Test
Matching
Spaced

No study sessions yet.

82 Terms

1
New cards

Simple Squamous ET

Identify the tissue.

<p>Identify the tissue.</p>
2
New cards

lumen (air sacs of the lung tissue)

Label the blank structure.

<p>Label the blank structure.</p>
3
New cards

nuclei of squamous ET

Label the blank structure.

<p>Label the blank structure.</p>
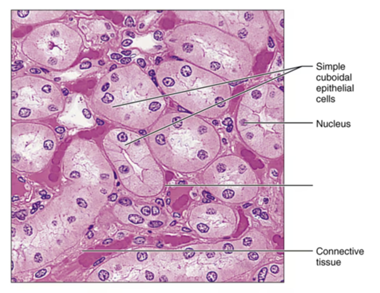
4
New cards

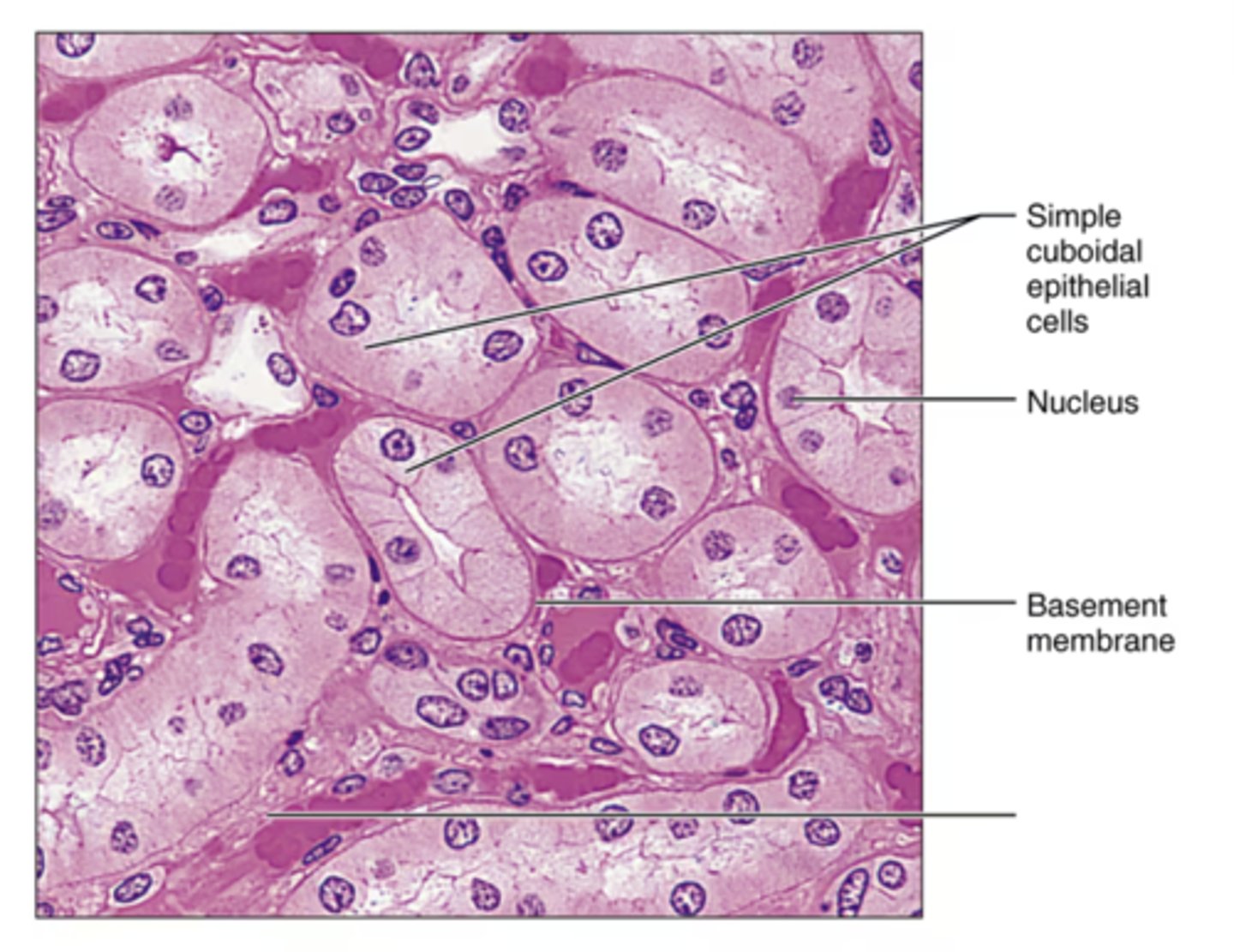
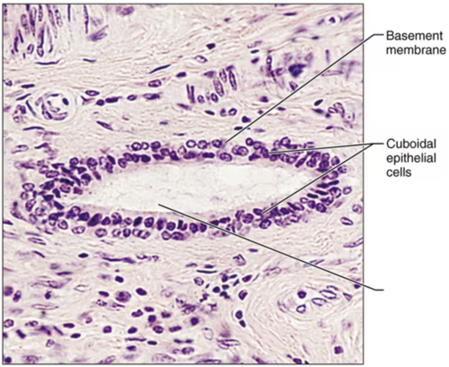
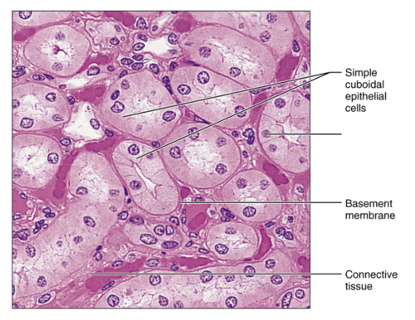
Simple Cubiodal ET

Identify the tissue.

<p>Identify the tissue.</p>
5
New cards

nucleus

Label the blank structure.

<p>Label the blank structure.</p>
6
New cards

basement membrane

Label the blank structure.

<p>Label the blank structure.</p>
7
New cards

connective tissue

Label the blank structure.

<p>Label the blank structure.</p>
8
New cards

Simple Columnar ET

Identify the tissue.

<p>Identify the tissue.</p>
9
New cards

lumen (cavity inside intestine)

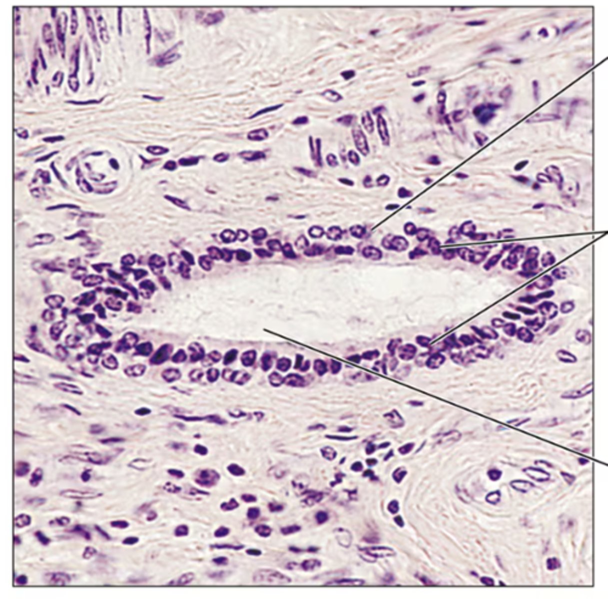
Label the blank structure.

<p>Label the blank structure.</p>
10
New cards

basement membrane

What is the layer separating connective tissue from epithelial tissue?

<p>What is the layer separating connective tissue from epithelial tissue?</p>
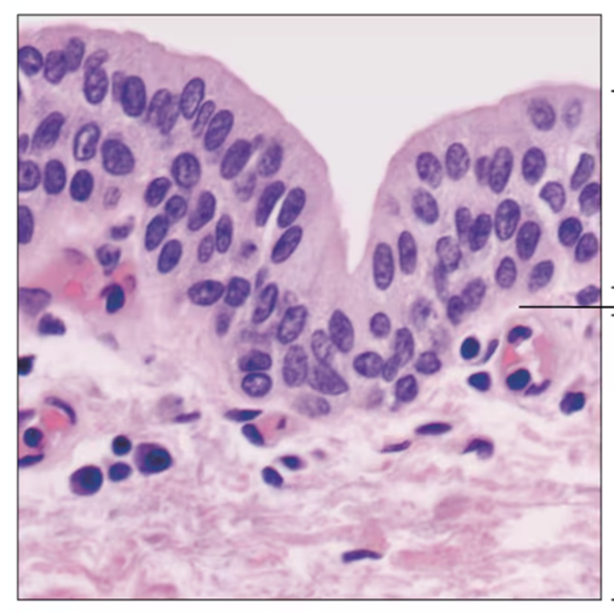
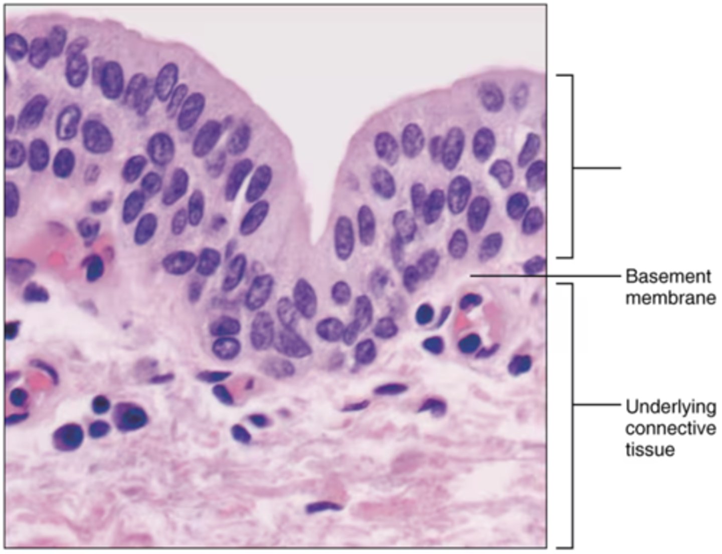
11
New cards

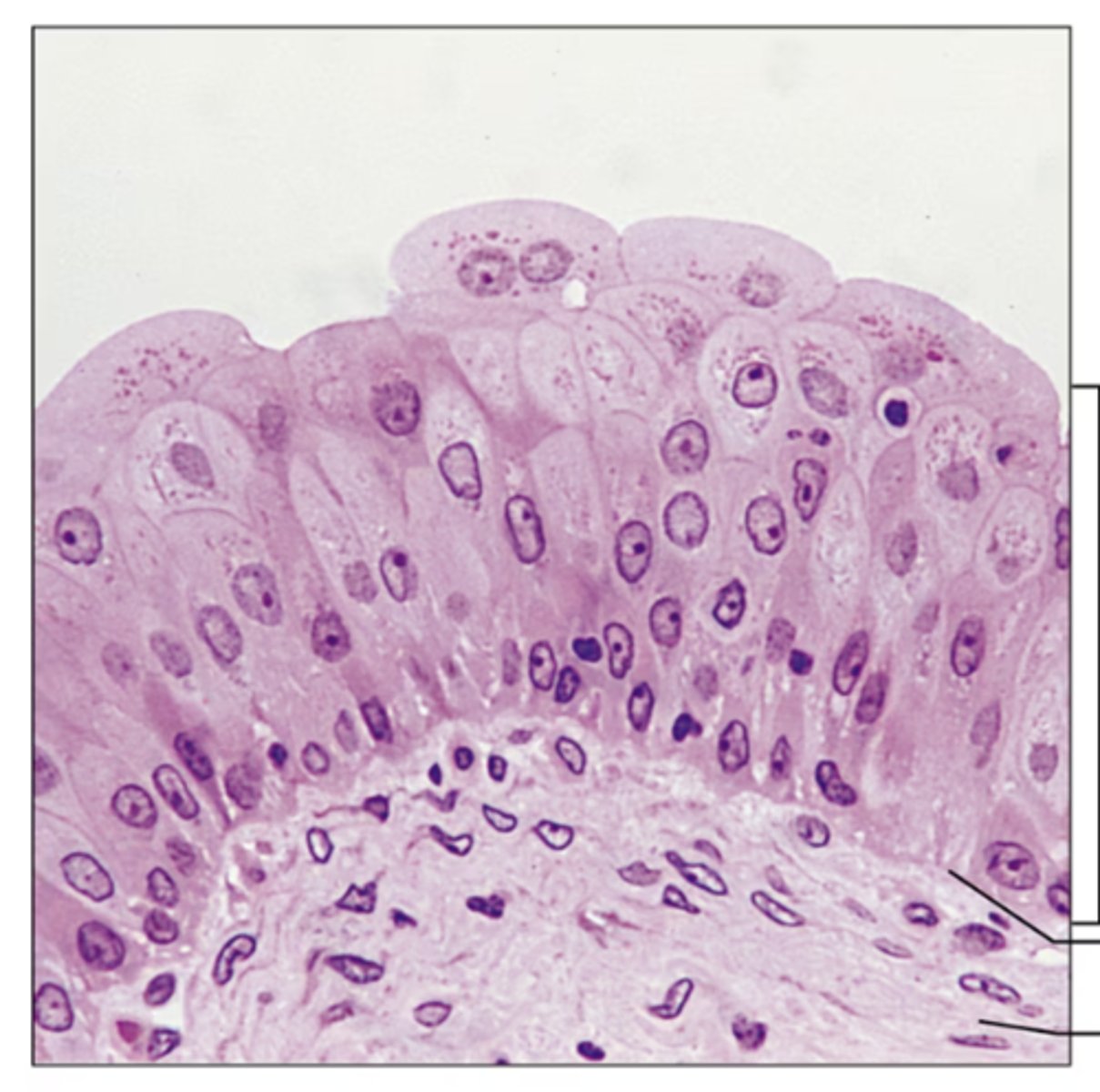
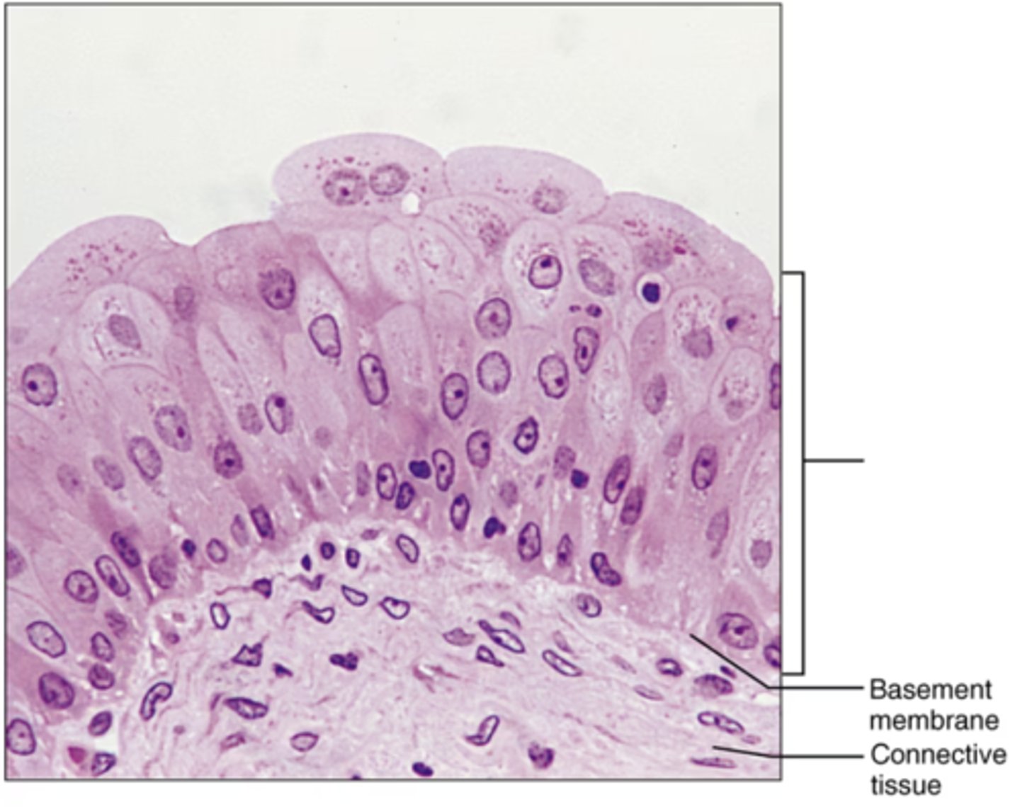
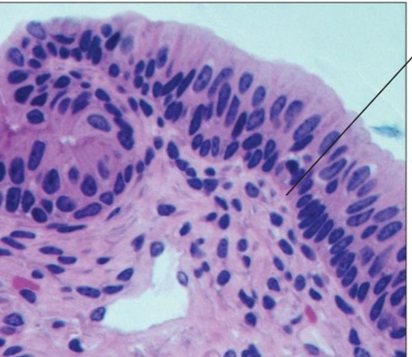
Psuedostratified Columnar ET

Identify the tissue.

<p>Identify the tissue.</p>
12
New cards

lumen

what is white space?

<p>what is white space?</p>
13
New cards

goblet cell

Label the blank structure.

<p>Label the blank structure.</p>
14
New cards

cilia

Label the blank structure.

<p>Label the blank structure.</p>
15
New cards

basement membrane

Label the blank structure.

<p>Label the blank structure.</p>
16
New cards

Stratified Squamous ET

Identify the tissue.

<p>Identify the tissue.</p>
17
New cards

nuclei

Label the blank structure.

<p>Label the blank structure.</p>
18
New cards

basement membrane

Label the blank structure.

<p>Label the blank structure.</p>
19
New cards

connective tissue

Label the blank structure.

<p>Label the blank structure.</p>
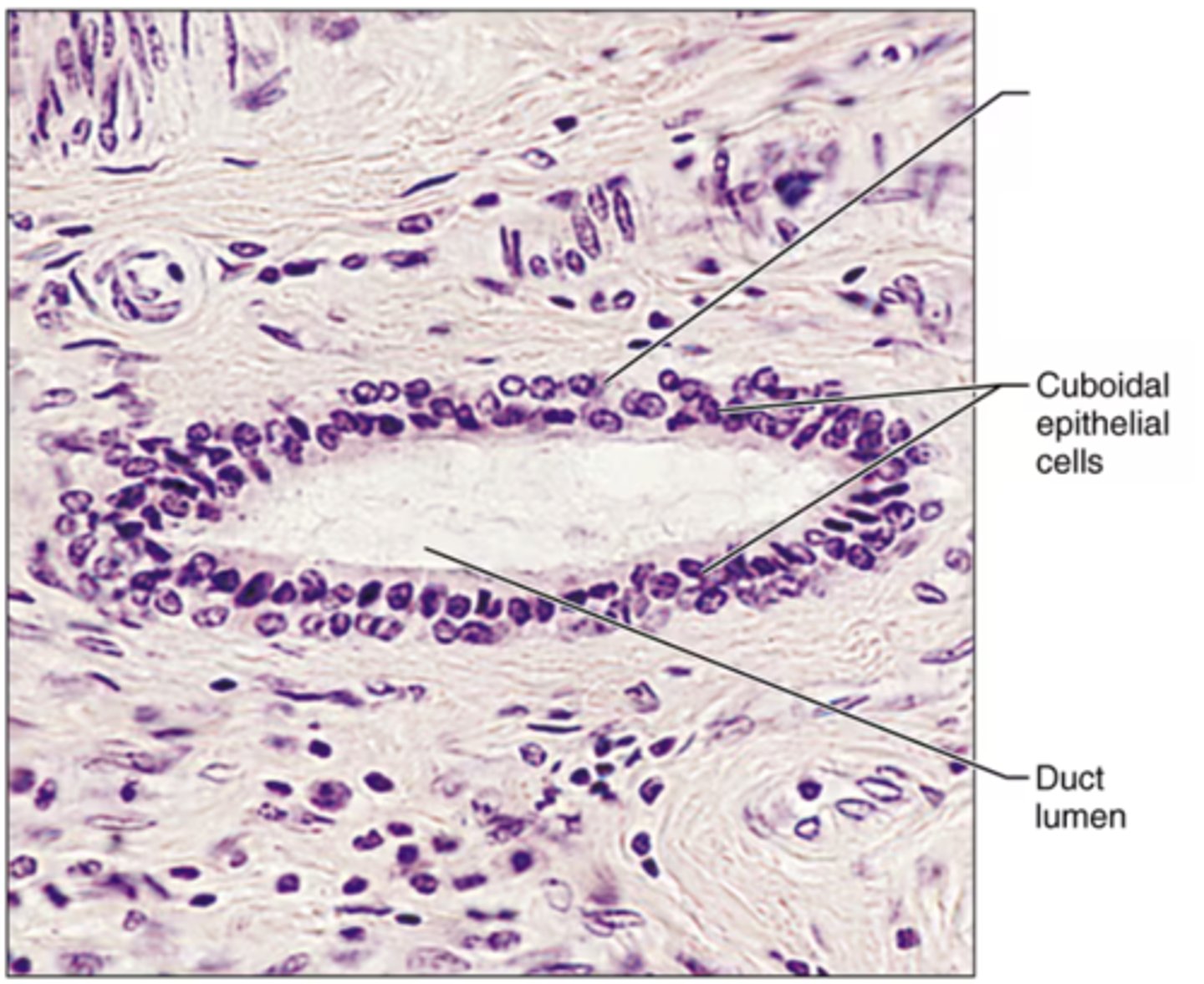
20
New cards

Stratified Cubiodal ET

Identify the tissue.

<p>Identify the tissue.</p>
21
New cards

basement membrane

Label the blank structure.

<p>Label the blank structure.</p>
22
New cards

duct lumen

Label the blank structure.

<p>Label the blank structure.</p>
23
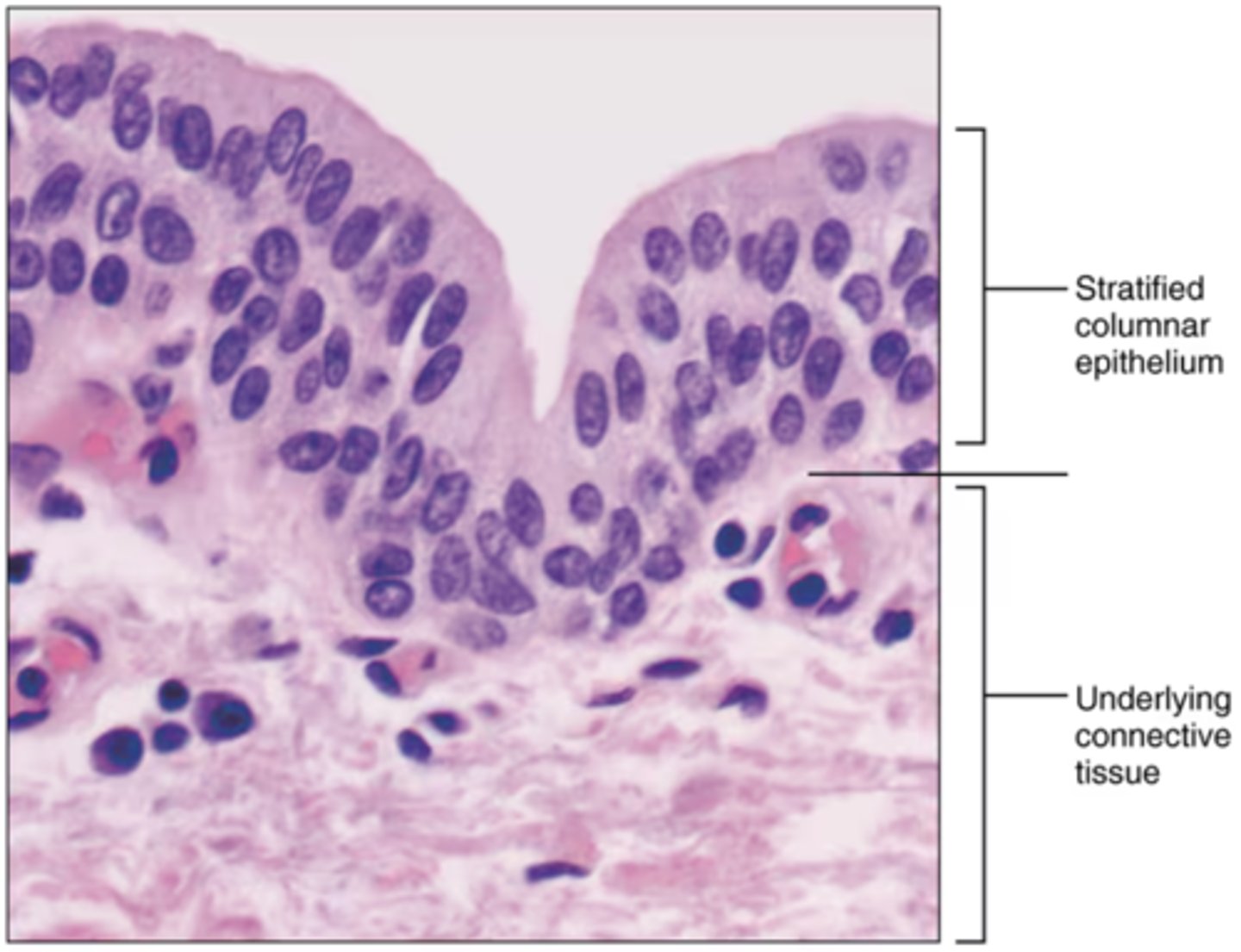
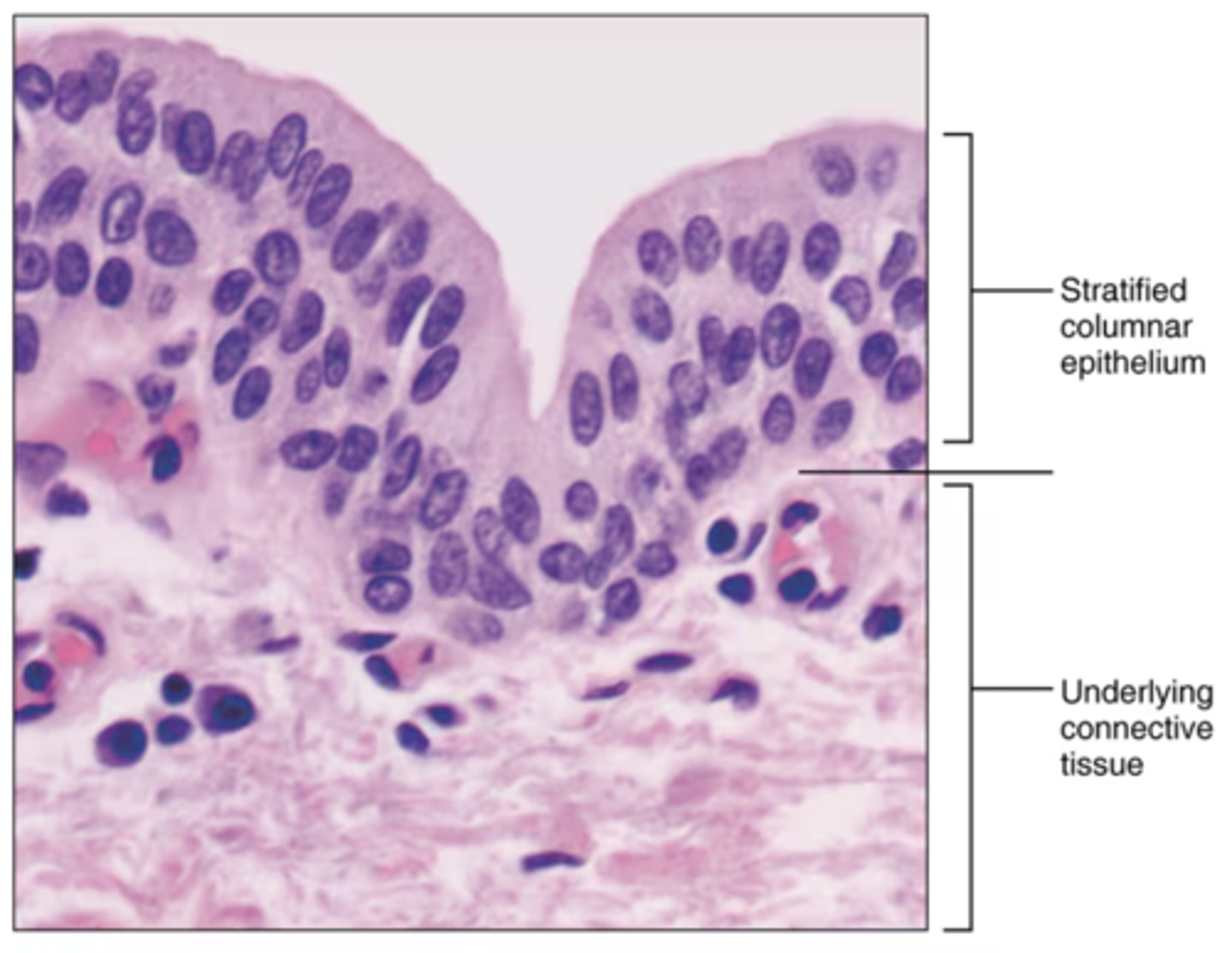
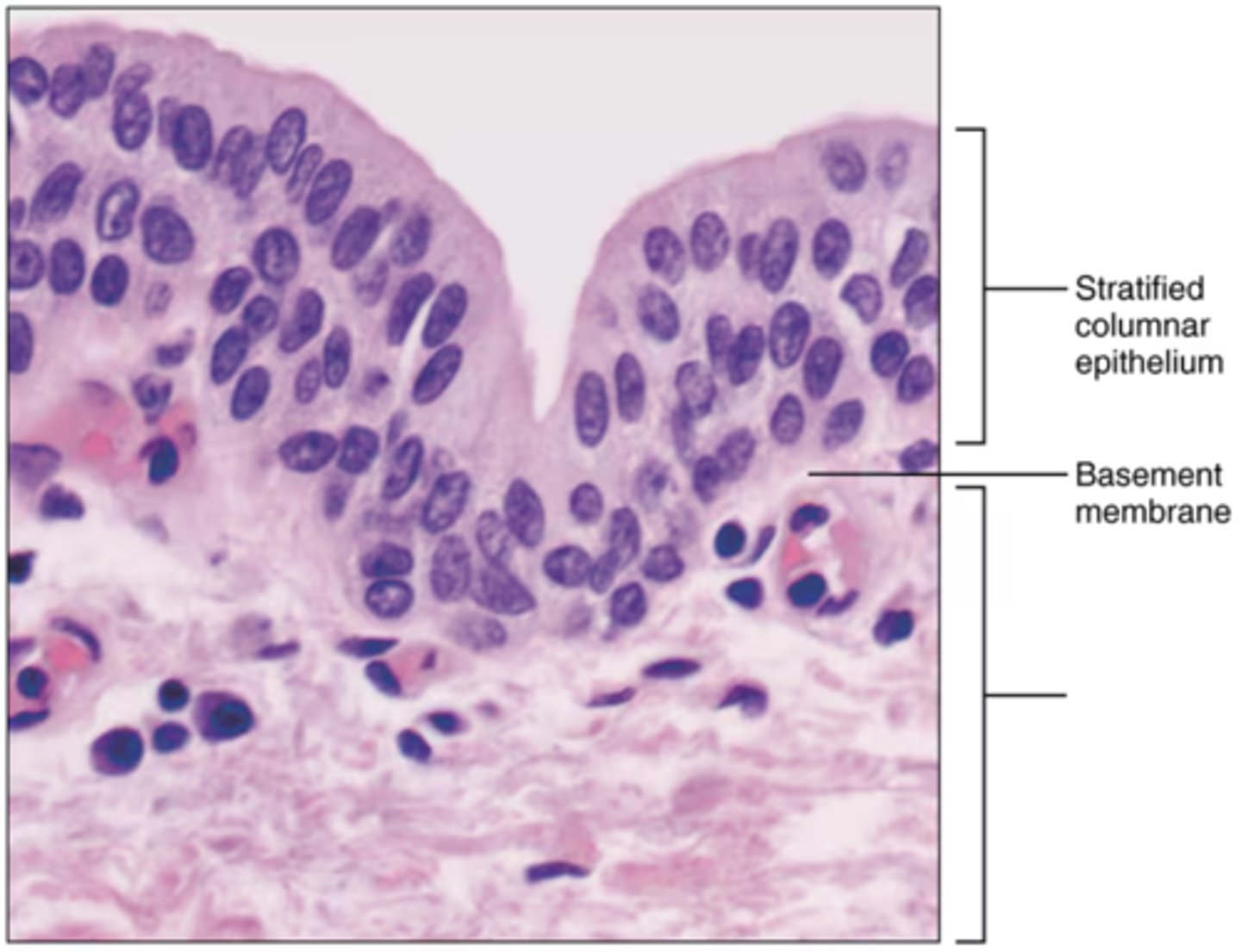
New cards

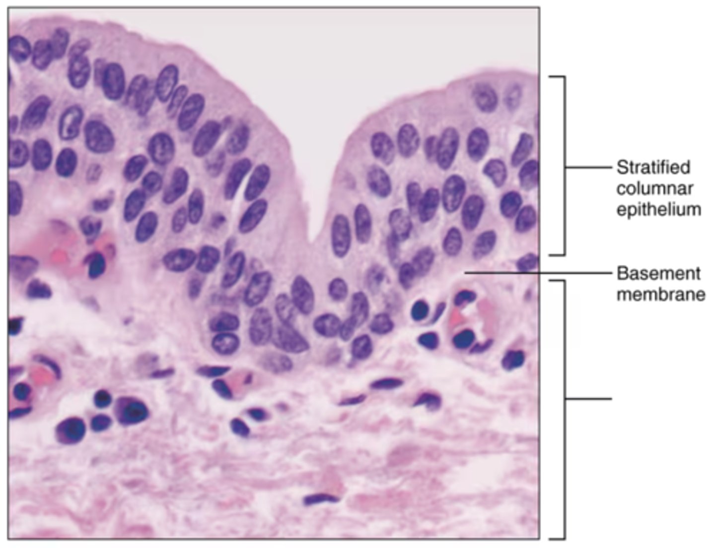
Stratified Columnar ET

Identify the tissue.

<p>Identify the tissue.</p>
24
New cards

basement membrane

Label the blank structure.

<p>Label the blank structure.</p>
25
New cards

connective tissue

Label the blank structure.

<p>Label the blank structure.</p>
26
New cards

lumen

What is white space on top?

<p>What is white space on top?</p>
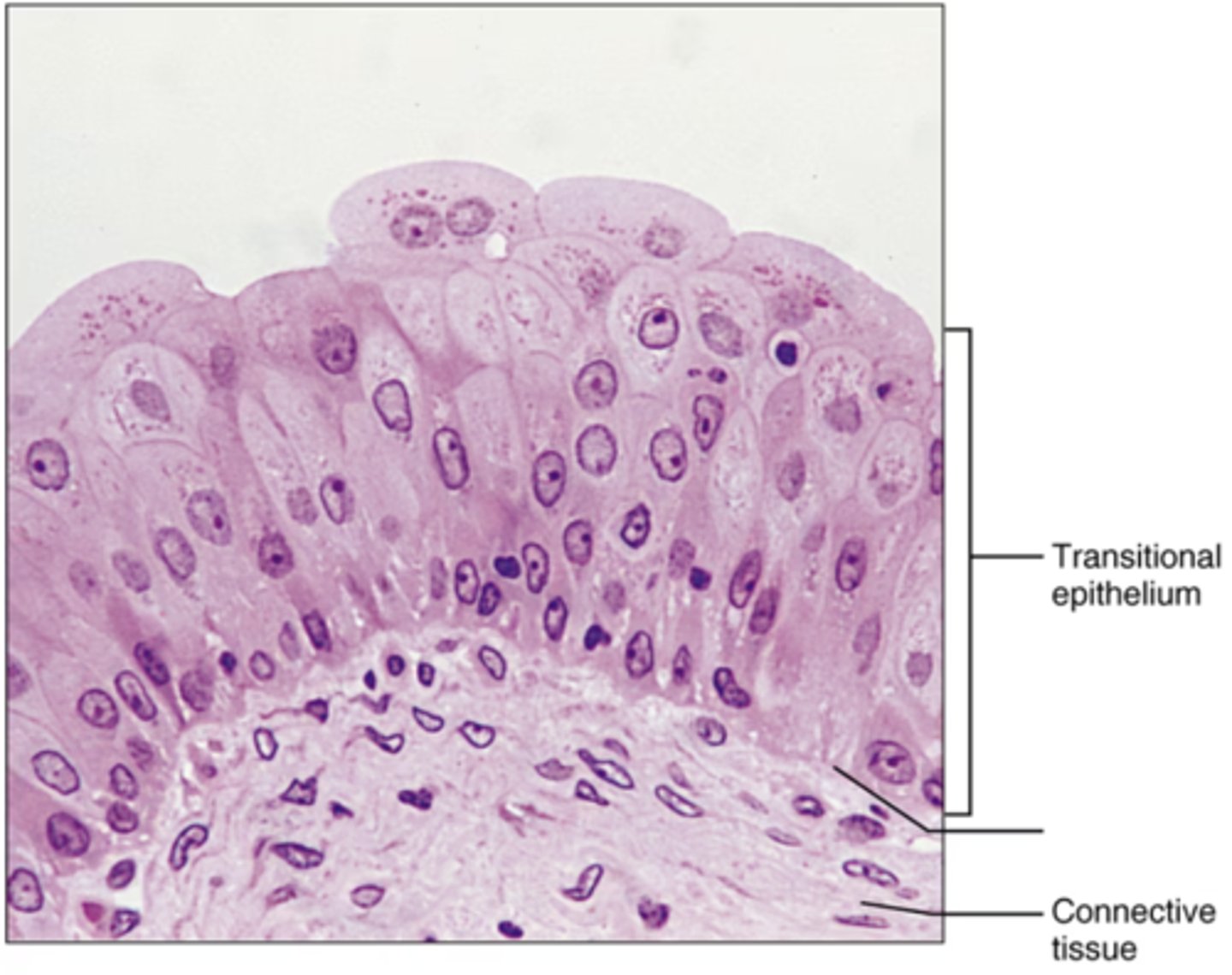
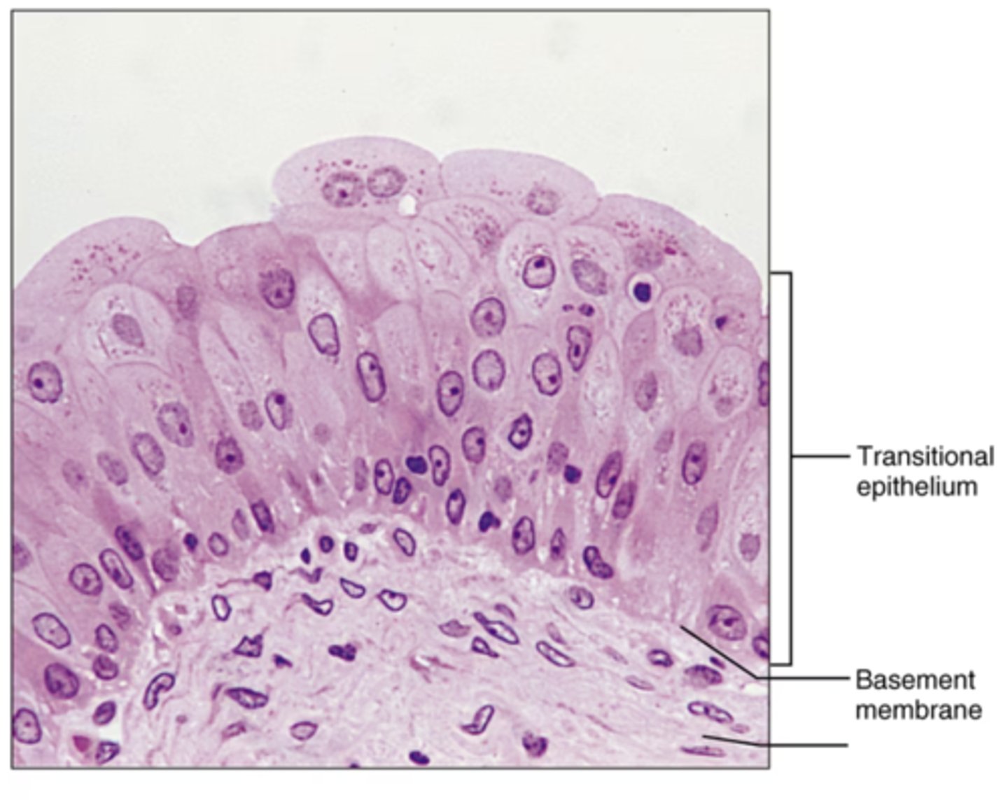
27
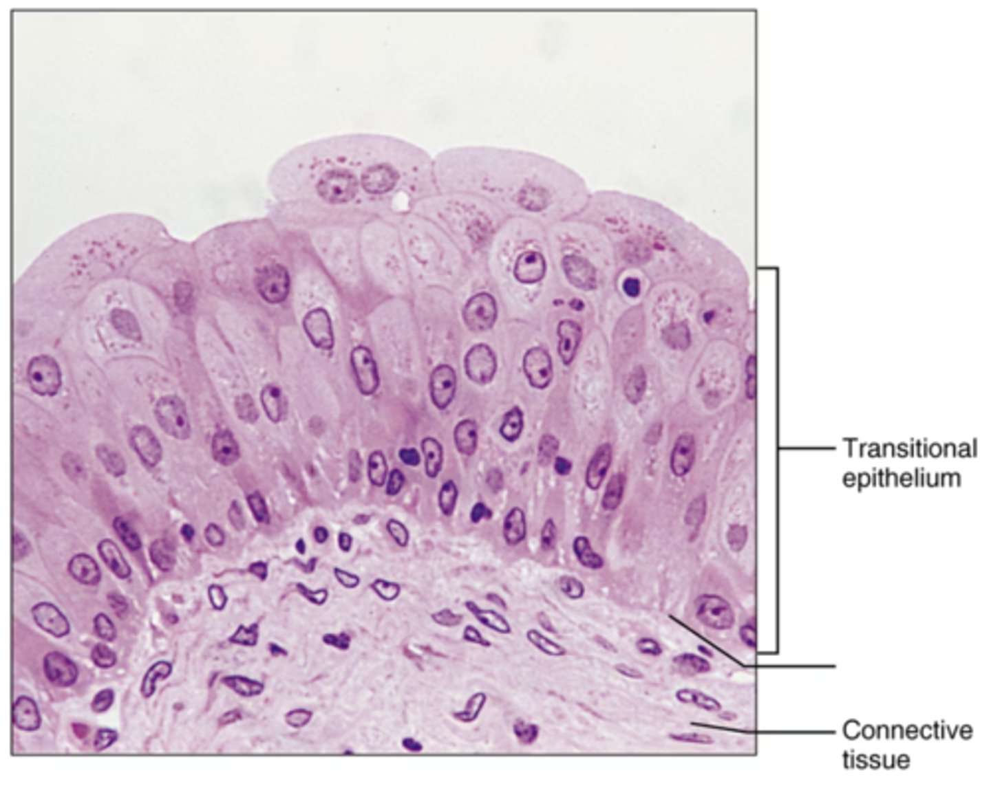
New cards

Transitional ET

Identify the tissue.

<p>Identify the tissue.</p>
28
New cards

connective tissue

Label the blank structure.

<p>Label the blank structure.</p>
29
New cards

basement membrane

Label the blank structure.

<p>Label the blank structure.</p>
30
New cards

lumen

what is white space on top?

<p>what is white space on top?</p>
31
New cards

stratified columnar epithelium

Label the blank structure.

<p>Label the blank structure.</p>
32
New cards

basement membrane

Label the blank structure.

<p>Label the blank structure.</p>
33
New cards

underlying connective tissue

Label the blank structure.

<p>Label the blank structure.</p>
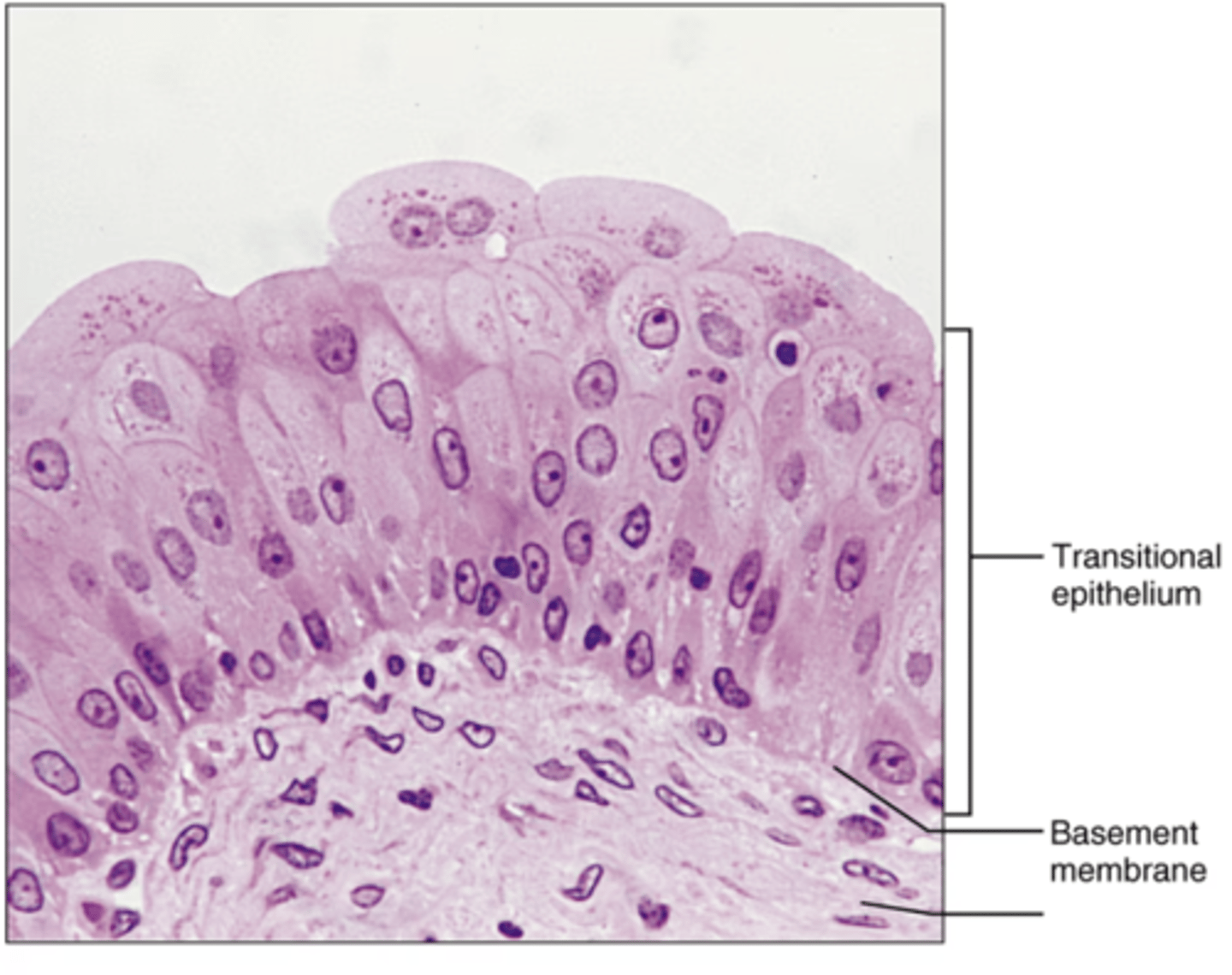
34
New cards

transitional epithelium

Label the blank structure.

<p>Label the blank structure.</p>
35
New cards

basement membrane

Label the blank structure.

<p>Label the blank structure.</p>
36
New cards

connective tissue

Label the blank structure.

<p>Label the blank structure.</p>
37
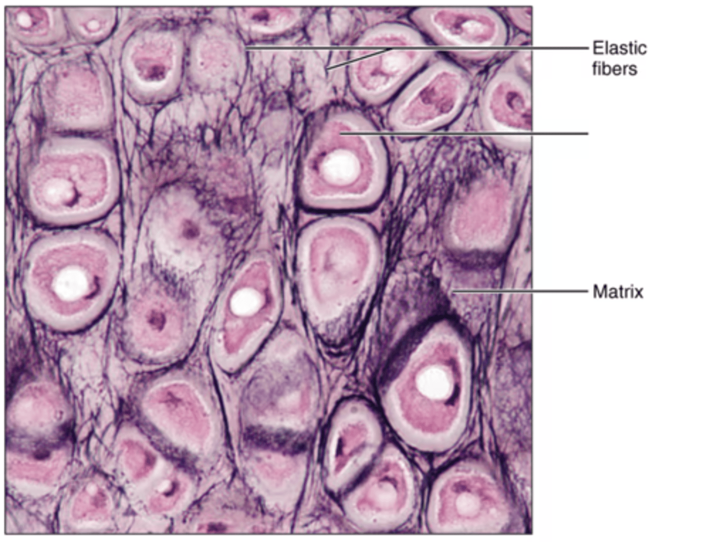
New cards

Loose Areolar CT

Identify the tissue.

<p>Identify the tissue.</p>
38
New cards

elastic fibers

Label the blank structure.

<p>Label the blank structure.</p>
39
New cards

ground substance

Label the blank structure.

<p>Label the blank structure.</p>
40
New cards

fibroblast nuclei

Label the blank structure.

<p>Label the blank structure.</p>
41
New cards

collagen fibers

Label the blank structure.

<p>Label the blank structure.</p>
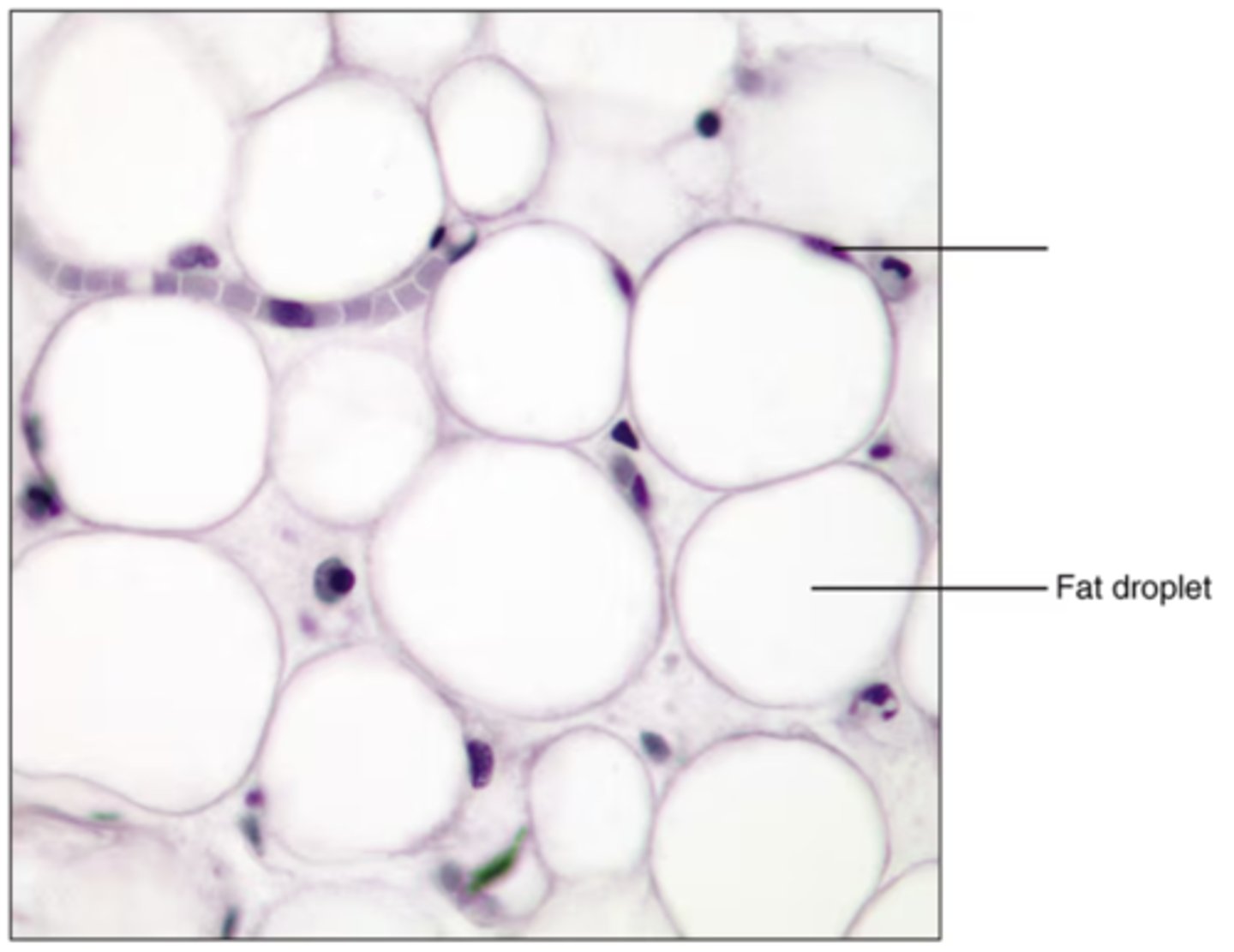
42
New cards

Loose Adipose CT

Identify the tissue.

<p>Identify the tissue.</p>
43
New cards

adipocyte

Label the blank structure.

<p>Label the blank structure.</p>
44
New cards

fat droplet

Label the blank structure.

<p>Label the blank structure.</p>
45
New cards

Loose Reticular CT

Identify the tissue.

<p>Identify the tissue.</p>
46
New cards

reticular fibers

Label the blank structure.

<p>Label the blank structure.</p>
47
New cards

Dense Irregular CT

Identify the tissue.

<p>Identify the tissue.</p>
48
New cards

fibroblasts

Label the blank structure.

<p>Label the blank structure.</p>
49
New cards

collagen fibers

Label the blank structure.

<p>Label the blank structure.</p>
50
New cards

Dense Regular CT

Identify the tissue.

<p>Identify the tissue.</p>
51
New cards

collagen fibers

Label the blank structure.

<p>Label the blank structure.</p>
52
New cards

fibroblasts

Label the blank structure.

<p>Label the blank structure.</p>
53
New cards

Dense Elastic CT

Identify the tissue.

<p>Identify the tissue.</p>
54
New cards

elastic fibers

Label the structure.

<p>Label the structure.</p>
55
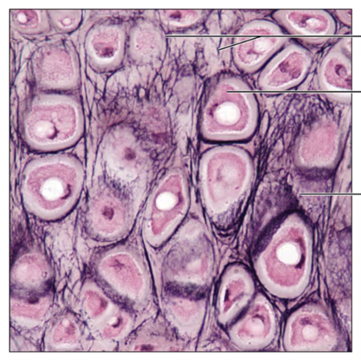
New cards

Hyaline Cartilage CT

Identify the tissue.

<p>Identify the tissue.</p>
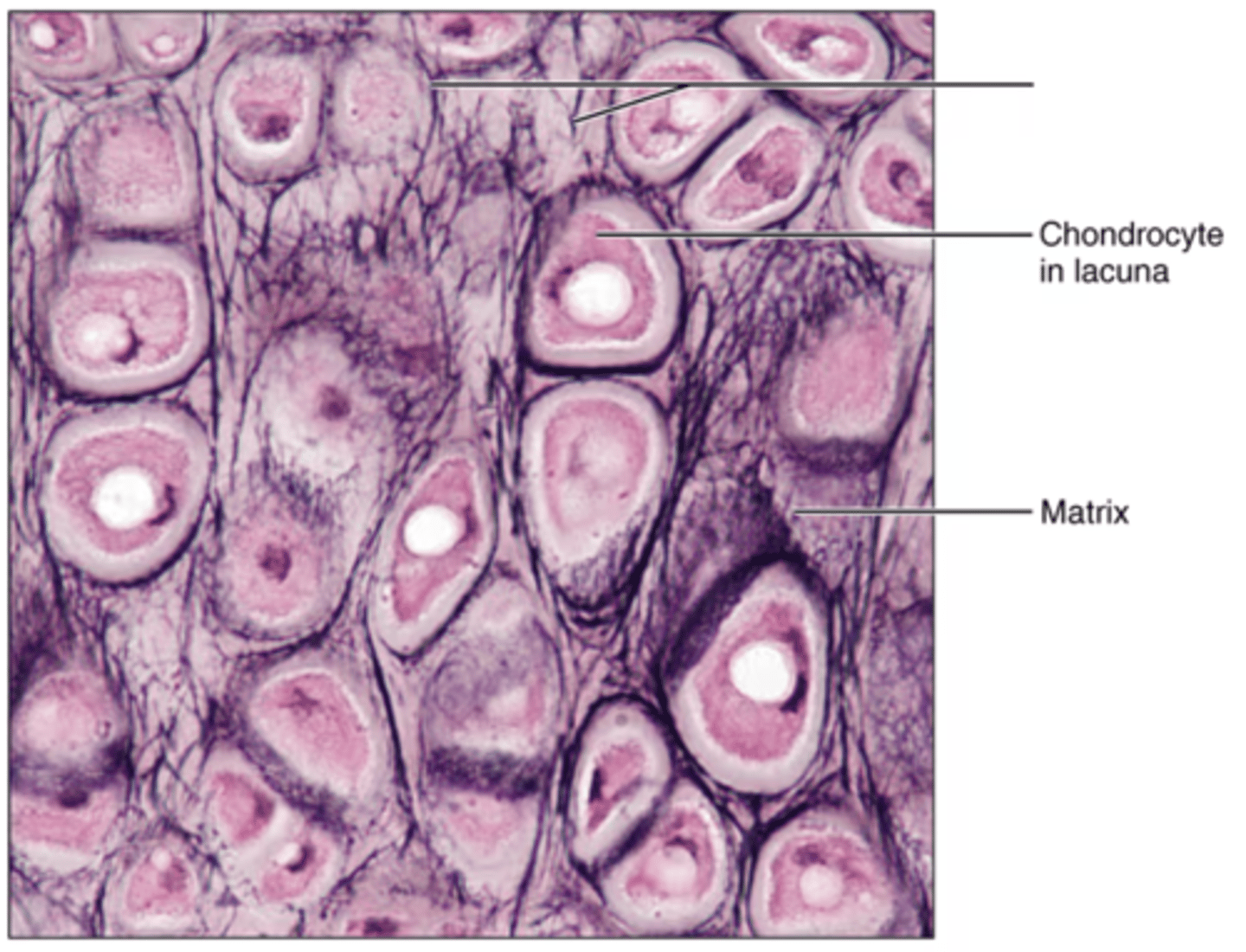
56
New cards

chondrocyte

Label the inner structure.

<p>Label the inner structure.</p>
57
New cards

lacuna

Label the outter structure.

<p>Label the outter structure.</p>
58
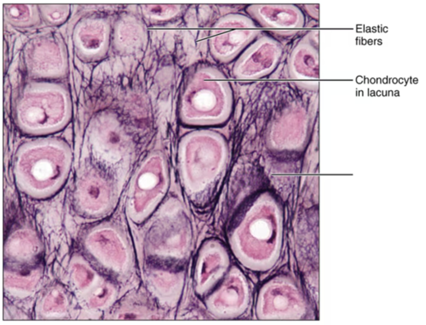
New cards

Elastic Cartilage CT

Identify the tissue.

<p>Identify the tissue.</p>
59
New cards

elastic fibers

Label the blank structure.

<p>Label the blank structure.</p>
60
New cards

chondrocyte

Label the inner structure.

<p>Label the inner structure.</p>
61
New cards

lacuna

Label the outter structure.

<p>Label the outter structure.</p>
62
New cards

Fibrocartilage CT

Identify the tissue.

<p>Identify the tissue.</p>
63
New cards

collagen fibers

Label the blank structure.

<p>Label the blank structure.</p>
64
New cards

chondrocytes in lacunae

Label the blank structure.

<p>Label the blank structure.</p>
65
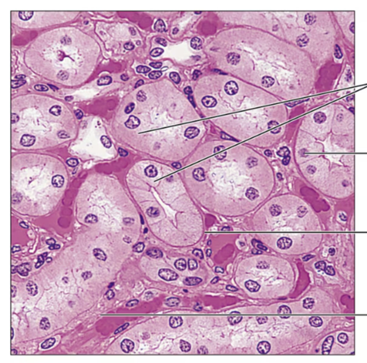
New cards

Bone CT

Identify the tissue.

<p>Identify the tissue.</p>
66
New cards

osteocyte in lacunae

Label the blank structure.

<p>Label the blank structure.</p>
67
New cards

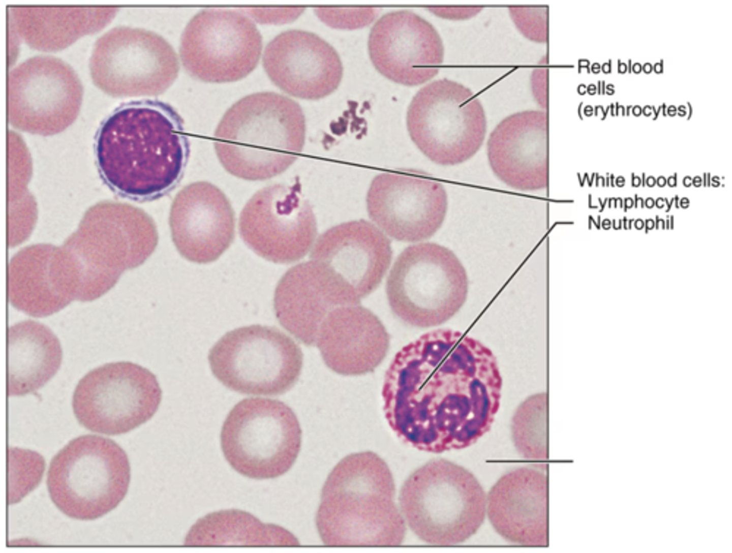
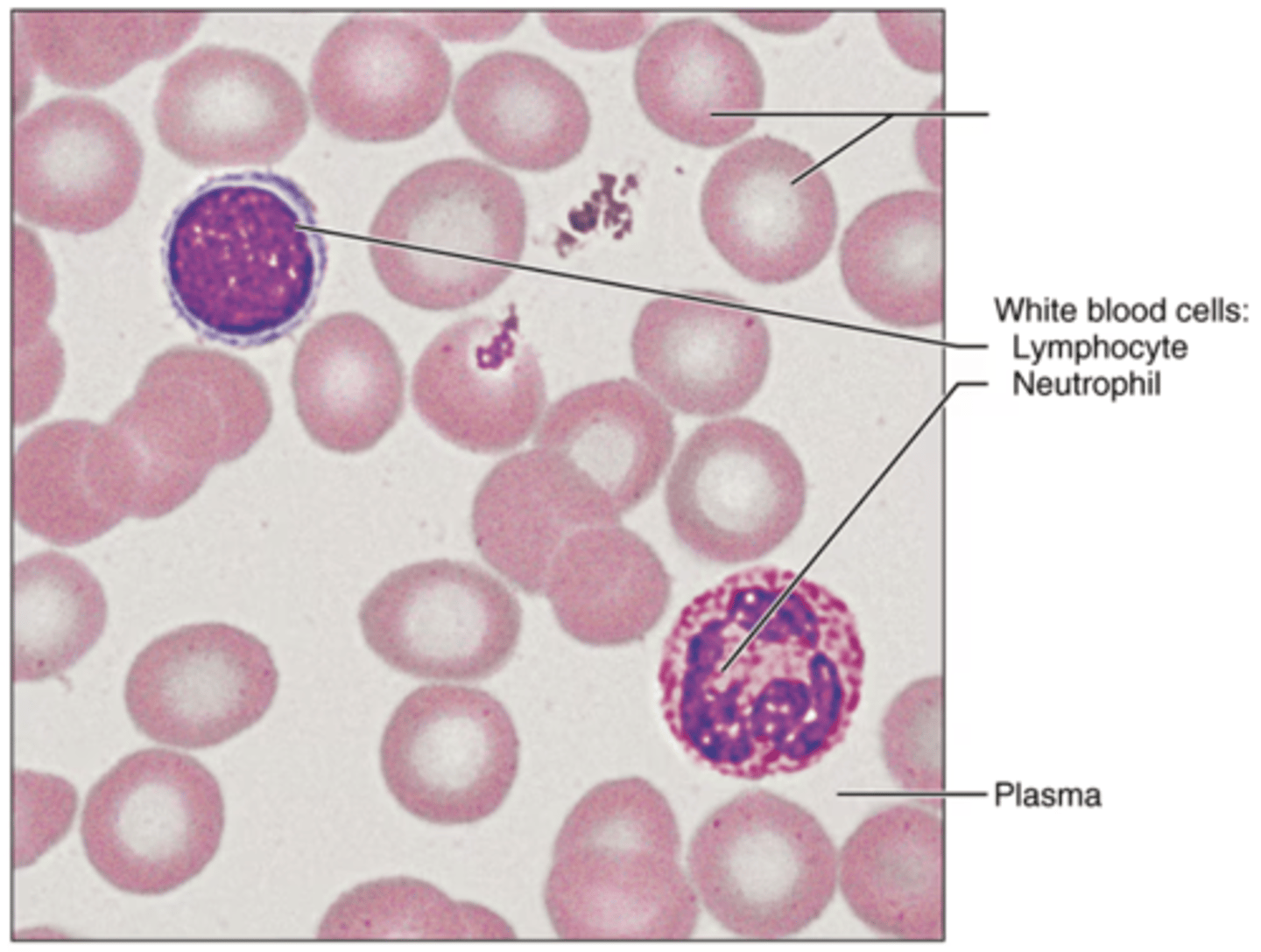
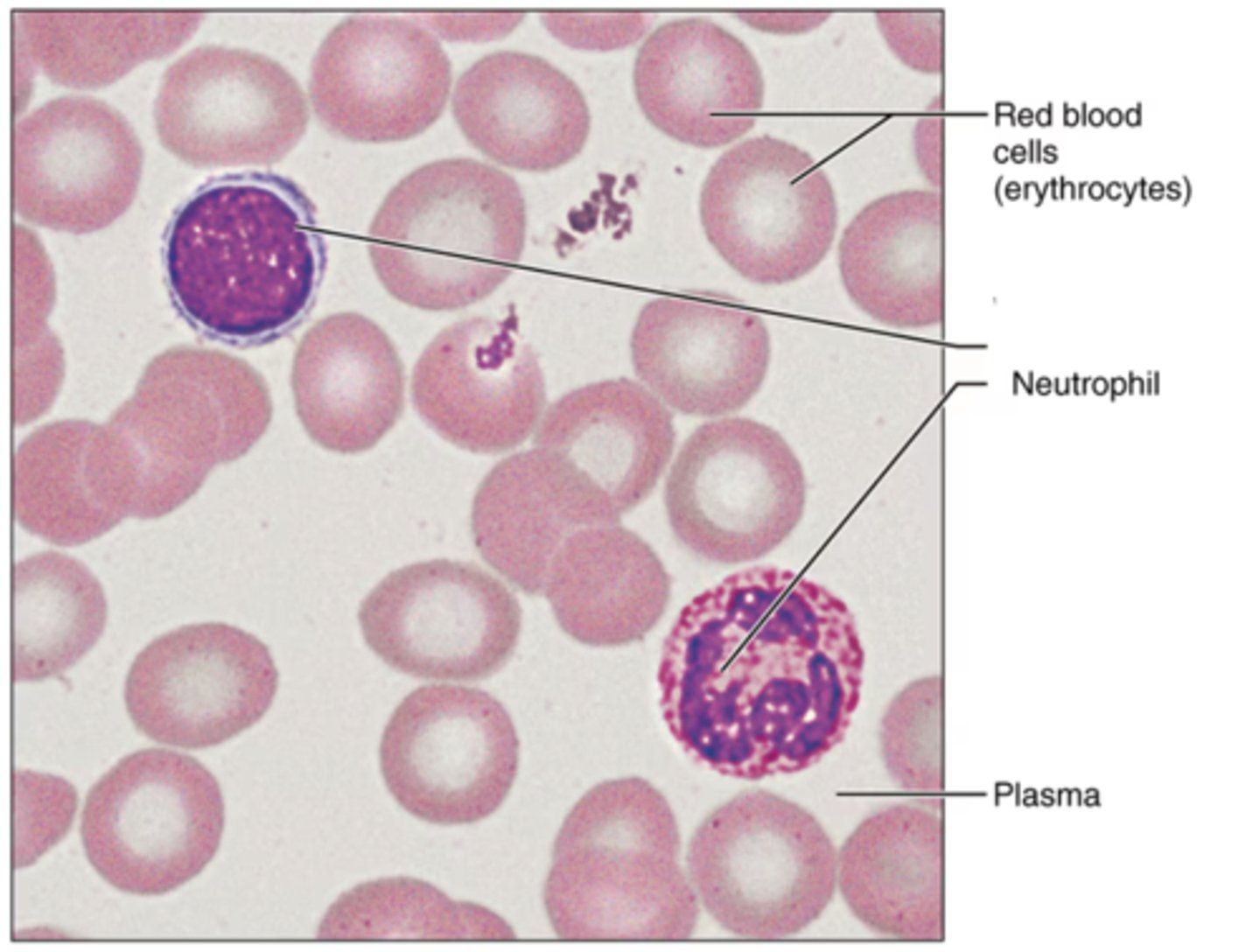
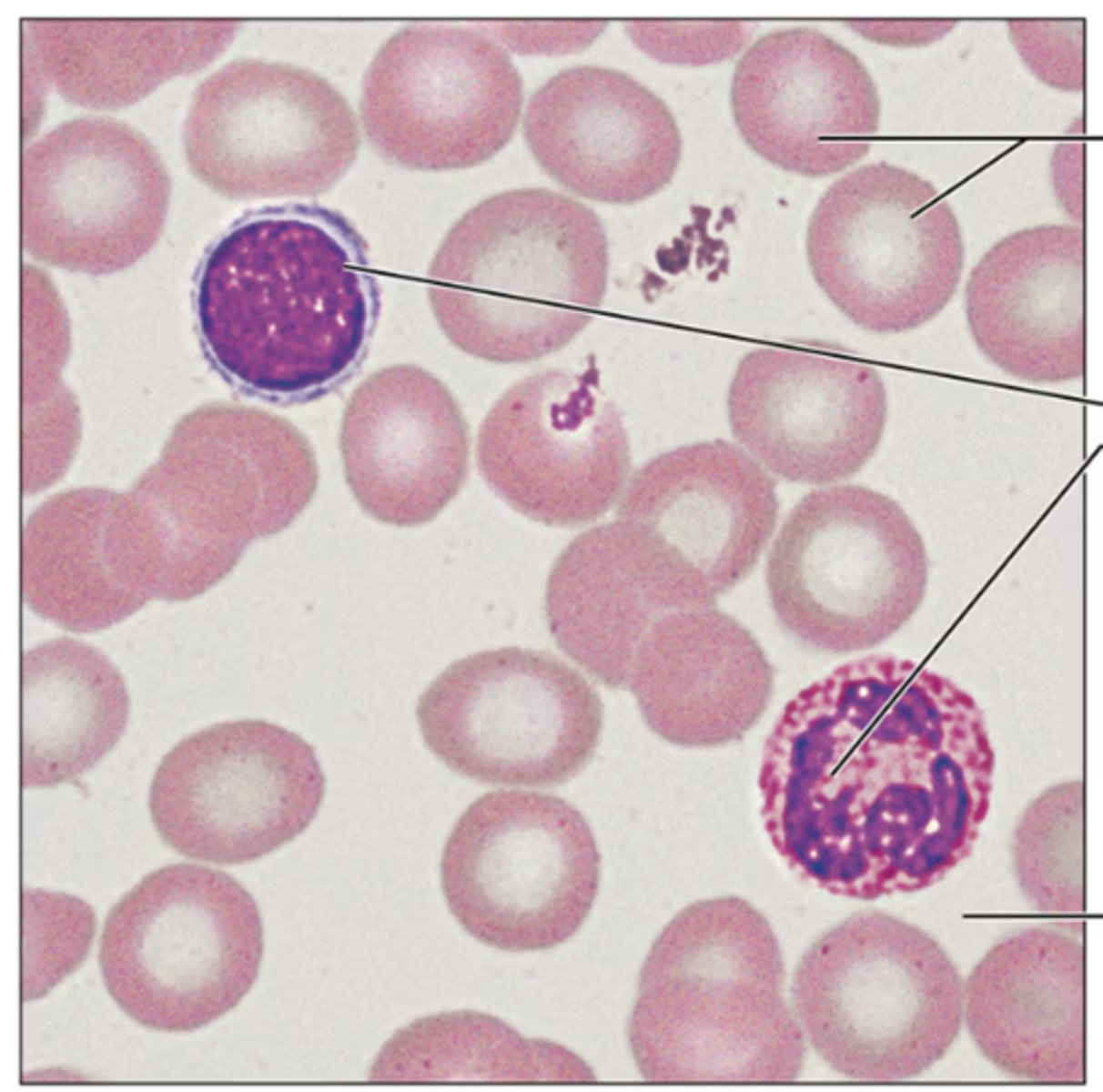
Blood CT

Identify the tissue.

<p>Identify the tissue.</p>
68
New cards

rbc (erythrocytes)

Label the blank structure.

<p>Label the blank structure.</p>
69
New cards

wbc (lymphocyte)

Label the blank structure.

<p>Label the blank structure.</p>
70
New cards

Thrombocytes (Platelets)

Label the small purple structure

<p>Label the small purple structure</p>
71
New cards

Skeletal muscle

Identify the tissue.

<p>Identify the tissue.</p>
72
New cards

nuclei

Label the blank structure.

<p>Label the blank structure.</p>
73
New cards

striations

Label the blank structure.

<p>Label the blank structure.</p>
74
New cards

Cardiac muscle

Identify the tissue.

<p>Identify the tissue.</p>
75
New cards

intercalated disks

Label the blank structure.

<p>Label the blank structure.</p>
76
New cards

nucleus

Label the blank structure.

<p>Label the blank structure.</p>
77
New cards

Smooth muscle

Identify the tissue.

<p>Identify the tissue.</p>
78
New cards

nuclei

Label the blank structure.

<p>Label the blank structure.</p>
79
New cards

Nervous

Identify the tissue.

<p>Identify the tissue.</p>
80
New cards

cell body of a neuron

Label the blank structure.

<p>Label the blank structure.</p>
81
New cards

neuron process

Label the blank structure.

<p>Label the blank structure.</p>
82
New cards

nuclei of neuroglia

Label the blank structure.

<p>Label the blank structure.</p>