1/28
Looks like no tags are added yet.
Name | Mastery | Learn | Test | Matching | Spaced |
|---|
No study sessions yet.
Functions of the ET
Equalize ME pressure
Protection from nasopharynx
Clearance of secretions of the ME
Abnormally open ET
Patulous tube
ET normally open or closed?
closed
What if ET fails to open
Obstructive ET → negative ME pressure
Causes of patulous ET and sx
extensive weight loss
pregnancy
sx: autophony
Causes of obstructive ET and sx
Intrinsic inflammation within the nasal cavity
sx: sensation of pain and aural fullness, popping sounds, difficulty hearing

Patulous ET
Otitis media
inflammation of the ME, can lead to mastoid
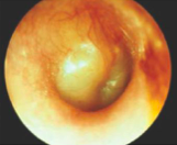
Otitis media with effusion (OME)
otitis media with effusion
fluid in the middle ear space without signs/symptoms of acute ear infection
acute otitis media (AOM)
acute otitis media
rapid onset, with signs/sx of inflammation of ME, most often with otalgia and bulging TM

OME, bubbles

acute OM
Causes of OM
ETD
Complications of chronic OME
TM perf
mastoiditis
cholesteatoma
tympanosclerosis
eroded ossicles
damaged inner ear
brain abscess

mastoiditis
glomus tumor and sx
Benign, slow growing vascular tumor
sx: pulsatile tinnitus, otalgia, aural fullness
otosclerosis
Abnormal spongy-bone growth over the footplate of the stapes caused by abnormal metabolic bone remodeling
sx: CHL, Carhart’s notch
Temporal bone trauma
Longitudinal and transverse fracture
Otic capsule sparing fracture
Longitudinal fracture
CHL, ossicular separation, TM perf, hemotympanum, bloodyotorrhea
Otic capsule violating fracture
Transverse fracture
severe SNHL, vertigo

Hemotympanum

Traumatic TM perf
Ossicular chain discontinuity causes
Temporal bone trauma, congenital, surgical interventions
Ossicular chain discontinuity sx
Maximum CHL
Ad tymps
Increased stiffness in ME system
Effects low frequencies, making more difficult for low freq sounds to pass through
possible dx: otosclerosis, tympanosclerosis, OM
Increased mass in the ME system
effects high frequencies
possible dx: cholesteatoma, partial ossicular chain discontinuation, OM
What would the audio look like for someone with OME
Flat audio
increased mass and stiffness
What would the audio look like for someone with Otosclerosis
Low freq CHL
Progressive loss of high freq
Completely fixed stapes = maximum CHL
What would the audio look like for someone with ossicular chain discontinuity?
High freq CHL
Complete ossicular chain discon. = maximum CHL