Cardiac Tumors and Masses

0.0(0)
studied byStudied by 0 people
0.0(0)
full-widthCall with Kai
GameKnowt Play
New
learnLearn
examPractice Test
spaced repetitionSpaced Repetition
heart puzzleMatch
flashcardsFlashcards
Card Sorting

1/63

encourage image

There's no tags or description

Looks like no tags are added yet.

Study Analytics
Name
Mastery
Learn
Test
Matching
Spaced

No study sessions yet.

64 Terms

1
New cards

Cardiac tumors

Abnormal growths in the heart or heart valves.

Classified as benign or malignant.

Most are benign, but they can cause problems due to size and location.

Small pieces may break off into the bloodstream and embolize.

2
New cards
  1. Sporadic

  2. Familial

  3. Part of another health condition

What are the causes of cardiac tumors (3)?

3
New cards

Sporadic

Most common form.

Result of cell overgrowth that either starts in the heart or moves to the heart.

4
New cards

Familial

Small percentage of cardiac tumors are due to a genetic component.

Family history of the condition.

5
New cards
  1. NAME syndrome

  2. LAMB syndrome

  3. Carney syndrome

What are some of the other conditions that cardiac tumors can be apart of (3)?

6
New cards

NAME syndrome

Nevi

Atrial myxoma

Myxoid neurofibroma

Ephelides

7
New cards

LAMB syndrome

Lentigines

Atrial myoxoma

Mucocutaneous myxomas

Blue nevi

8
New cards

Carney syndrome

Autosomal dominant syndrome associated with spotty pigmentation of the skin, endocrinopathy, and endocrine and nonendocrine tumors.

9
New cards

Primary tumors

Begin growing in the heart and stay there.

10
New cards

Secondary tumors

Do not start in the heart.

Move to the heart from other parts of the body.

Most often begin in the lungs, breast, stomach, kidneys, liver, and colon.

11
New cards

Secondary

Which are more common, primary or secondary tumors?

12
New cards

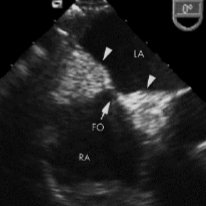
Myxoma

Most common adult primary benign tumor.

75% occur in the right atrium.

Most often arise from the fossa ovalis.

Mobile, lobular mass.

<p>Most common adult primary benign tumor.</p><p>75% occur in the right atrium.</p><p>Most often arise from the fossa ovalis.</p><p>Mobile, lobular mass.</p>
13
New cards

Fossa ovalis of the IVS

Myxomas most often arise from the ____.

14
New cards

Myxoma

Irregular shape with protruding “fronds” of tissue or grape cluster.

Heterogenous - areas of necrosis and hemorrhage.

Usually solitary; multiple if from familial syndromes.

May become quite large and cause hemodynamic obstruction.

15
New cards
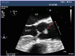
<p>Papillary fibroelastoma</p>

Papillary fibroelastoma

Second most common primary benign tumor of the heart.

Arises on valvular tissue.

Found on the downstream side of the valve - LV side of the MV or aorta side of the AV.

Usually no clinical significance other than possibility of thrombus and emboli.

<p>Second most common primary benign tumor of the heart.</p><p>Arises on valvular tissue.</p><p>Found on the downstream side of the valve - LV side of the MV or aorta side of the AV.</p><p>Usually no clinical significance other than possibility of thrombus and emboli.</p>
16
New cards

Valvular vegetation

A papillary fibroelastoma may mimic the appearance of a ___.

17
New cards

Papillary fibroelastoma - downstream (below valve)

Vegitation - upstream (above valve)

How can you differentiate a vegetation from a papillary fibroelastoma?

18
New cards
<p>Lipoma</p>

Lipoma

Benign, fatty tumor that grows within the heart muscle or pericardium.

Usually solitary.

Most commonly found in LV, RA, and IAS.

<p>Benign, fatty tumor that grows within the heart muscle or pericardium.</p><p>Usually solitary.</p><p>Most commonly found in LV, RA, and IAS.</p>
19
New cards
<p>Lipomatous hypertrophy of IAS</p>

Lipomatous hypertrophy of IAS

Normal variant of the heart muscle that can be mistaken for a tumor.

Superior and inferior fatty portions of the IAS sparing the fossa ovalis region.

“Dumbbell” appearance

<p>Normal variant of the heart muscle that can be mistaken for a tumor.</p><p>Superior and inferior fatty portions of the IAS sparing the fossa ovalis region.</p><p>“Dumbbell” appearance</p>
20
New cards

Dumbbell

Lipomatous hypertrophy of the IAS has a characteristic ___ appearance.

21
New cards

Cardiac hemangiomas

A benign tumor of the heart that is made up of blood vessels.

Occur in any chamber, but are usually found in the RA.

On echo, demonstrate complex echogenicity with cystic and solid areas mixed with calcifications.

22
New cards
  1. Cavernous hemangioma

  2. Capillary hemangioma

  3. Arteriovenous hemangioma

What are the three compositions of cardiac hemangiomas?

23
New cards

Cavernous hemangioma

Cardiac hemangioma composition.

Composed of multiple thin-walled ectatic vessels.

24
New cards

Capillary hemangioma

Cardiac hemangioma composition.

Composed of multiple smaller capillary like vessels.

25
New cards

Arteriovenous hemangioma

Cardiac hemangioma composition.

Composed of thick-walled dysplastic arteries, capillaries, and vein like vessels.

26
New cards

Intramural cardiac hemangioma

Poorly circumscribed lesions that are hemorrhagic and congested.

27
New cards

Endocardial cardiac hemangioma

Well-circumscribed lesions that are variably myxoid (clear, mucous substance).

28
New cards

Rhabdomyoma

Benign tumor of striated muscle.

Most common primary cardiac tumor in children.

Multiple in 90% of cases, but can be isolated.

Most frequently arise in the ventricular myocardium.

<p>Benign tumor of striated muscle.</p><p>Most common primary cardiac tumor in children.</p><p>Multiple in 90% of cases, but can be isolated.</p><p>Most frequently arise in the ventricular myocardium.</p>
29
New cards

Tuberous sclerosis

Rhabdomyomas are frequently associated with ___.

30
New cards

Ventricular myocardium

Rhabdomyomas most frequently arise in the ___.

Can also be found in the atria, epicardial surface, or cavo-atrial junction.

31
New cards

Tuberous sclerosis

Autosomal dominant-inherited or sporadically occurring disorder characterized by widespread hamartomas that variably involve the brain, kidneys, heart, skin, and other organs.

Classic clinical triad: mental retardation, epilepsy, and facial angiofibromas

Associated with rhabdomyomas.

32
New cards
  1. Well-circumscribed, homogenous, hyperechoic mass

  2. Small, multiple lesions - may appear as thickened myocardium

Sonographic appearance of rhabdomyomas (2).

<p>Sonographic appearance of rhabdomyomas (2).</p>
33
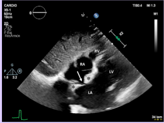
New cards

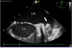
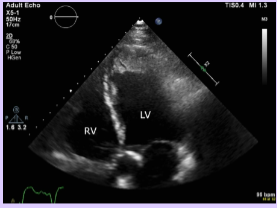
Rhabdomyoma

What is seen in this TTE?

<p>What is seen in this TTE?</p>
34
New cards

Cardiac fibroma

Second most common benign cardiac tumor in children and infants.

Located in the myocardium - usually in the ventricle (at the septum.

Firm or rubbery and don’t demonstrate hemorrhage or necrosis. Very large, sometimes exceeding 10 cm in diameter.

Calcifications; usually solitary. Can regress with age.

<p>Second most common benign cardiac tumor in children and infants.</p><p>Located in the myocardium - usually in the ventricle (at the septum.</p><p>Firm or rubbery and don’t demonstrate hemorrhage or necrosis. Very large, sometimes exceeding 10 cm in diameter.</p><p>Calcifications; usually solitary. Can regress with age.</p>
35
New cards

Fibromas have calcifications

How can rhabdomyomas be distinguished from fibromas?

36
New cards
  1. Myxoma

  2. Papillary fibroelastoma

  3. Cardiac lipoma

  4. Cardiac hemangioma

  5. Rhabdomyoma

  6. Cardiac fibroma

What are the primary benign tumors (6)?

37
New cards

Sarcomas

What are the most common types of malignant primary cardiac tumors?

38
New cards

Malignant primary cardiac tumors

Rare

Most common - sarcomas

Primary cardiac lymphoma

39
New cards

Sarcomas

Aggressive tumors that spread rapidly.

Characterized by rapid growth.

Low survival rate due to: hemodynamic compromise, local invasion, and distant mets.

40
New cards
  1. RA

  2. Pericardium

Sarcomas commonly involve the ___ and ___.

41
New cards
  1. Right sided failure

  2. Pericardial disease

  3. Vena cava obstruction

Right-sided involvement of sarcomas causes ___(3).

42
New cards

Myxomas

When sarcomas occur on the left side, they can be mistaken for ___.

43
New cards

Cardiac metastases

More common than primary tumors.

Almost always occur in the setting of widespread primary disease.

Reach the heart via the bloodstream, lymphatics, direct invasion or venous extension of the heart.

44
New cards
  1. Pericardium

  2. Myocardium

  3. Endocardium and valves - rare

What are the locations of cardiac metastases (3)?

45
New cards

Pericardium

What is the most common site of cardiac metastases?

46
New cards
  1. Melanoma

  2. Leukemia

  3. Germ cell carcinoma

What cancers most commonly metastases to the heart (3)?

47
New cards

LV thrombus

Most common form of intracardiac thrombus due to impaired LV function.

Rarely occur in patients with preserved LV function.

Commonly found in the apex.

High risk for thromboembolic events, particularly stroke.

<p>Most common form of intracardiac thrombus due to impaired LV function.</p><p>Rarely occur in patients with preserved LV function.</p><p>Commonly found in the apex.</p><p>High risk for thromboembolic events, particularly stroke.</p>
48
New cards
  1. Acute MI

  2. LVEF <40%

  3. Previous MI with apical aneurysm

  4. CM with LVEF <20%

What conditions that impair LV function lead to LV thrombus (4)?

49
New cards

CM with LVEF <20%

Patients with ____ causing impaired LV function are most likely to develop an LV thrombus.

50
New cards
  1. Mural

  2. Protruding

  3. Mobile

What are the three types of LV thrombus (3)?

51
New cards

Mural thrombus

Only one surface is exposed to blood pool; other sides connected to cardiac wall.

Incidence for embolization and thromboembolic event is lowest.

<p>Only one surface is exposed to blood pool; other sides connected to cardiac wall.</p><p>Incidence for embolization and thromboembolic event is lowest.</p>
52
New cards

Protruding thrombus

More than one surface of the thrombus is exposed to the blood pool.

<p>More than one surface of the thrombus is exposed to the blood pool.</p>
53
New cards

Mobile thrombus

Independent motion of part or whole thrombus.

Incidence for embolization and thromboembolic event is highest.

<p>Independent motion of part or whole thrombus.</p><p>Incidence for embolization and thromboembolic event is highest.</p>
54
New cards
  1. Clear endocardial border delineation

  2. Contrast - will still be seen with contrast

Echo requirements for LV thrombus detection (2).

55
New cards

Left atrial appendage thrombus

Caused by stasis of blood within the cavity.

Most common location for atrial thrombus.

Often not seen with TTE; TEE used in patients with CVA.

<p>Caused by stasis of blood within the cavity.</p><p>Most common location for atrial thrombus.</p><p>Often not seen with TTE; TEE used in patients with CVA.</p>
56
New cards

Left atrial appendage

What is the most common location for an atrial thrombus?

57
New cards
  1. Shape of the cavity

  2. Atrial arrhythmias (afib or a flutter)

  3. Increased LV filling pressures, which decrease LA contractility

LAA thrombus formation is caused by stasis of blood in the cavity, which can be due to ___(3).

58
New cards

Right heart thrombus

Relatively common.

Associated with pulmonary embolism.

Better seen on TEE than TTE, due to increased visualization of the SVC and IVC.

59
New cards
  1. RV dilation and dysfunction

  2. PFO

What conditions increase the risk for a right heart thrombus (2)?

60
New cards

Moderator band

Muscular structure located in the right ventricle of the heart.

Can be mistaken for a right heart thrombus.

<p>Muscular structure located in the right ventricle of the heart.</p><p>Can be mistaken for a right heart thrombus.</p>
61
New cards

Nodules of Arantius

Small, fibrous thickening on the free edges of semilunar valves.

Typically seen on the aortic valve.

Can be mistaken for a mass.

<p>Small, fibrous thickening on the free edges of semilunar valves.</p><p>Typically seen on the aortic valve.</p><p>Can be mistaken for a mass.</p>
62
New cards

Lambl excrescences (valvular strands)

Small, filiform, fibrous strands at coaptation sites.

Typically seen on the aortic valve.

Can be mistaken for a mass.

<p>Small, filiform, fibrous strands at coaptation sites.</p><p>Typically seen on the aortic valve.</p><p>Can be mistaken for a mass.</p>
63
New cards

Redundant chordae

An excess of the chordae tendineae that attach the MV to the papillary muscles.

Can be mistaken for a mass.

64
New cards

Myxomatous mitral valve

Degenerative thickening of the MV leaflets.

Can be mistaken for a mass.

<p>Degenerative thickening of the MV leaflets.</p><p>Can be mistaken for a mass.</p>